相关产品推荐更多 >
万千商家帮你免费找货
0 人在求购买到急需产品
- 详细信息
- 文献和实验
- 技术资料
- 供应商:
上海联迈生物工程有限公司
- 库存:
大量
- 目录编号:
LM-4187R
- 克隆性:
多克隆
- 抗原来源:
Rabbit
- 保质期:
1年
- 抗体英文名:
ZEB1
- 抗体名:
负调控因子白细胞介素2抗体
- 宿主:
Rabbit
- 适应物种:
Human, Mouse, Rat, Chicken, Dog, Pig, Cow, Rabbit,
- 免疫原:
KLH conjugated synthetic peptide derived from human ZEB1:211-320/1124
- 亚型:
IgG
- 形态:
Lyophilized or Liquid
- 应用范围:
WB=1:500-2000 ELISA=1:500-1000 Flow-Cyt=1μg/Test (石蜡切片需做抗原修复)
- 浓度:
1mg/ml
- 保存条件:
Store at -20 °C
- 规格:
50ul 100ul 200ul
| 英文名称 | ZEB1/NIL2A |
| 中文名称 | 负调控因子白细胞介素2抗体 |
| 别 名 | AREB 6; AREB6; BZP; Delta crystallin enhancer binding factor 1; DELTA EF1; FECD6; MGC133261; Negative regulator of IL 2; Negative regulator of IL2; NIL 2 A; NIL 2 A zinc finger protein; NIL 2A; NIL-2-A zinc finger protein; NIL2A; Posterior polymorphous corneal dystrophy 3; PPCD3; Represses interleukin 2 expression; TCF 8; TCF-8; TCF8; Transcription factor 8 (represses interleukin 2 expression); Transcription factor 8; ZEB 1; ZEB; ZEB1; ZEB1_HUMAN; ZFHEP; ZFHX 1A; ZFHX1A; Zinc finger E box binding homeobox 1; Zinc finger E-box-binding homeobox 1; Zinc finger homeodomain enhancer binding protein. |
![]() |
Specific References (2) | bs-4187R has been referenced in 2 publications. [IF=3.48] Sasaki, Takamitsu, et al. "Significance of epithelial growth factor in the epithelial?Cmesenchymal transition of human gallbladder cancer cells."Cancer Science (2012).0 WB ; Human. PubMed:22404757 [IF=2.06] Xiang, Shuai, et al. "ZEB1 Expression Is Correlated With Tumor Metastasis and Reduced Prognosis of Breast Carcinoma in Asian Patients." Cancer Investigation (2015). other ; PubMed:25950745 |
| 规格价格 | 50ul/780元 购买 100ul/1380元 购买 200ul/2200元 购买 大包装/询价 |
| 说 明 书 | 50ul 100ul 200ul |
| 研究领域 | 肿瘤 免疫学 染色质和核信号 信号转导 表观遗传学 |
| 抗体来源 | Rabbit |
| 克隆类型 | Polyclonal |
| 交叉反应 | Human, Mouse, Rat, Chicken, Dog, Pig, Cow, Rabbit, |
| 产品应用 | WB=1:500-2000 ELISA=1:500-1000 Flow-Cyt=1μg/Test (石蜡切片需做抗原修复) not yet tested in other applications. optimal dilutions/concentrations should be determined by the end user. |
| 分 子 量 | 124kDa |
| 细胞定位 | 细胞核 |
| 性 状 | Lyophilized or Liquid |
| 浓 度 | 1mg/ml |
| 免 疫 原 | KLH conjugated synthetic peptide derived from human ZEB1:211-320/1124 |
| 亚 型 | IgG |
| 纯化方法 | affinity purified by Protein A |
| 储 存 液 | 0.01M TBS(pH7.4) with 1% BSA, 0.03% Proclin300 and 50% Glycerol. |
| 保存条件 | Store at -20 °C for one year. Avoid repeated freeze/thaw cycles. The lyophilized antibody is stable at room temperature for at least one month and for greater than a year when kept at -20°C. When reconstituted in sterile pH 7.4 0.01M PBS or diluent of antibody the antibody is stable for at least two weeks at 2-4 °C. |
| PubMed | PubMed |
| 产品介绍 | background: This gene encodes a zinc finger transcription factor. The encoded protein likely plays a role in transcriptional repression of interleukin 2. Mutations in this gene have been associated with posterior polymorphous corneal dystrophy-3 and late-onset Fuchs endothelial corneal dystrophy. Alternatively spliced transcript variants encoding different isoforms have been described.[provided by RefSeq, Mar 2010] Function: Acts as a transcriptional repressor. Inhibits interleukin-2 (IL-2) gene expression. Enhances or represses the promoter activity of the ATP1A1 gene depending on the quantity of cDNA and on the cell type. Represses E-cadherin promoter and induces an epithelial-mesenchymal transition (EMT) by recruiting SMARCA4/BRG1. Represses BCL6 transcription in the presence of the corepressor CTBP1. Positively regulates neuronal differentiation. Represses RCOR1 transcription activation during neurogenesis. Represses transcription by binding to the E box (5'-CANNTG-3'). Promotes tumorigenicity by repressing stemness-inhibiting microRNAs. Subunit: Interacts (via N-terminus) with SMARCA4/BRG1. Subcellular Location: Nucleus. Tissue Specificity: Colocalizes with SMARCA4/BRG1 in E-cadherin-negative cells from established lines, and stroma of normal colon as well as in de-differentiated epithelial cells at the invasion front of colorectal carcinomas (at protein level). Expressed in heart and skeletal muscle, but not in liver, spleen, or pancreas. DISEASE: Corneal dystrophy, posterior polymorphous, 3 (PPCD3) [MIM:609141]: A subtype of posterior corneal dystrophy, a disease characterized by alterations of Descemet membrane presenting as vesicles, opacities or band-like lesions on slit-lamp examination and specular microscopy. Affected patient typically are asymptomatic. Note=The disease is caused by mutations affecting the gene represented in this entry. Corneal dystrophy, Fuchs endothelial, 6 (FECD6) [MIM:613270]: A corneal disease caused by loss of endothelium of the central cornea. It is characterized by focal wart-like guttata that arise from Descemet membrane and develop in the central cornea, epithelial blisters, reduced vision and pain. Descemet membrane is thickened by abnormal collagenous deposition. Note=The disease is caused by mutations affecting the gene represented in this entry. Similarity: Belongs to the delta-EF1/ZFH-1 C2H2-type zinc-finger family. Contains 7 C2H2-type zinc fingers. Contains 1 homeobox DNA-binding domain. SWISS: P37275 Gene ID: 6935 Database links: Entrez Gene: 396029 Chicken Entrez Gene: 535183 Cow Entrez Gene: 6935 Human Entrez Gene: 21417 Mouse Entrez Gene: 25705 Rat Omim: 189909 Human SwissProt: P36197 Chicken SwissProt: P37275 Human Important Note: This product as supplied is intended for research use only, not for use in human, therapeutic or diagnostic applications. |
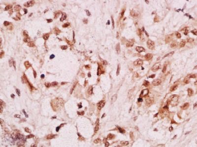
| 产品图片 | ![]() Paraformaldehyde-fixed, paraffin embedded (Human breast cancer); Antigen retrieval by boiling in sodium citrate buffer (pH6.0) for 15min; Block endogenous peroxidase by 3% hydrogen peroxide for 20 minutes; Blocking buffer (normal goat serum) at 37°C for 30min; Antibody incubation with (ZEB1) Polyclonal Antibody, Unconjugated (bs-4187R) at 1:400 overnight at 4°C, followed by operating according to SP Kit(Rabbit) (sp-0023) instructionsand DAB staining. ![]() Blank control: H9C2 cells Isotype Control Antibody: Rabbit IgG-PE ; Primary Antibody Dilution: 5μl in 100 μL1X PBS containing 0.5% BSA. ![]() Positive control: (mo)H9C2(2% Paraformaldehyde-fixed ) Isotype Control Antibody: Rabbit IgG; Dilution: 1μg in 100 μl 1 X PBS containing 0.5% BSA Secondary Antibody: Goat anti-rabbit IgG-FITC; Dilution: 1:200 in 1 X PBS containing 0.5% BSA Primary Antibody catalog number: bs-4187R; Dilution: 1μg in 100 μl 1X PBS containing 0.5% BSA |
风险提示:丁香通仅作为第三方平台,为商家信息发布提供平台空间。用户咨询产品时请注意保护个人信息及财产安全,合理判断,谨慎选购商品,商家和用户对交易行为负责。对于医疗器械类产品,请先查证核实企业经营资质和医疗器械产品注册证情况。
文献和实验三句话读懂一篇 CNS:曹雪涛团队最新研究揭示免疫炎症调控新机制;每天多运动 20 分钟,可降低 9 种相关疾病风险
138 是炎症先天反应的负调控因子,表明 RNF138 与 SMARCC1 相互作用,介导其 K48 连接的 Lys643 位点多泛素化和蛋白酶体降解,进而抑制天然免疫应答晚期炎症因子产生。为核小体重塑、炎症和泛素化之间的相互作用提供了机制见解。 图 3:来源 Cell Reports 4. Nature Plants:揭示翻译调控植物免疫新机制 免疫基因的表达对于植物的生长和抗性维持平衡至关重要。 2023 年 2 月 16 日,武汉大学高等研究院、杂交水稻全国重点实验室、洪山实验室胥国勇
将DIGIRR注入到斑马鱼胚胎中可显著抑制脂多糖(LPS)和IL-1β诱导的NF-κB激活。当研究人员在斑马鱼体内用小干扰RNA(siRNA)沉默DIGIRR基因表达时发现在DIGIRR沉默的肝肾组织及白细胞中IL-1β即促炎细胞因子IL-6的表达水平显著增高。研究结果表明DIGIRR是LPS和IL-1β介导的信号传导通路及炎症反应中发挥重要的负调控因子作用。此外研究人员还证实一个胞外Ig结构域的缺失和胞内TIR结构域中Arg-Tyr536位点的突变,是IL-1R家族成员演化为负调节受体的重要机制
。 ??2.抗肿瘤多肽 ??肿瘤的发生是多种原因作用的结果,但最终都要涉及及癌基因的表达调控。不同的肿瘤产生时所需要的酶等调控因子不同,选择特异性小肽作小于肿瘤发生时所需的调控因子等,封闭其活性位点,可防止肿瘤发生。现在已发现很多肿瘤相关基因及肿瘤产生调控因子,筛选与这些靶点特异结合的多肽,已成为寻找抗癌药物的新热点。美国学者发现了一个小肽(6个氨基酸),它在体内能显著抑制腺癌的生长,包括肺、胃及在大肠腺癌为治疗这一死亡率很高的恶性肿瘤开辟了一条新路。瑞士科学家发现另外一个小肽(8个氨基酸),它能进入肿瘤
技术资料暂无技术资料 索取技术资料














