相关产品推荐更多 >
万千商家帮你免费找货
0 人在求购买到急需产品
- 详细信息
- 文献和实验
- 技术资料
- 供应商:
上海抚生
- 库存:
大量
- 靶点:
VAP1
- 克隆性:
多克隆
- 抗原来源:
Rabbit
- 抗体英文名:
Anti-VAP1
- 抗体名:
血管粘附蛋白1抗体
- 标记物:
HRP,AKP
- 宿主:
人,鼠,猴,鸡,狗,猪等
- 适应物种:
Human, Mouse, Rat
- 免疫原:
KLH conjugated synthetic peptide derived from human VAP1
- 亚型:
IgG
- 形态:
冻干或液体
- 应用范围:
WB,ELISA,ICC,IP等
- 浓度:
1mg/1ml
- 保存条件:
-20℃
- 规格:
0.1ml/100μg0.2ml/200μg
英文名称 Anti-VAP1
中文名称 血管粘附蛋白1抗体
别 名 vascular adhesion protein 1; Amine oxidase, copper containing 3 (vascular adhesion protein 1); AOC3; Copper amine oxidase; HPAO; Membrane copper amine oxidase; Semicarbazide sensitive amine oxidase; SSAO; Vascular adhesion protein 1; VP97.
浓 度 1mg/1ml
规 格 0.1ml/100μg 0.2ml/200μg
抗体来源 Rabbit
克隆类型 polyclonal
交叉反应 Human, Mouse, Rat
产品类型 一抗
研究领域 心血管 神经生物学 信号转导 细胞粘附分子 血管内皮细胞 细胞骨架 Alzheimer's
蛋白分子量 predicted molecular weight:85kDa
性 状 Lyophilized or Liquid
免 疫 原 KLH conjugated synthetic peptide derived from human VAP1
亚 型 IgG
纯化方法 affinity purified by Protein A
储 存 液 0.01M PBS, pH 7.4 with 10 mg/ml BSA and 0.1% Sodium azide
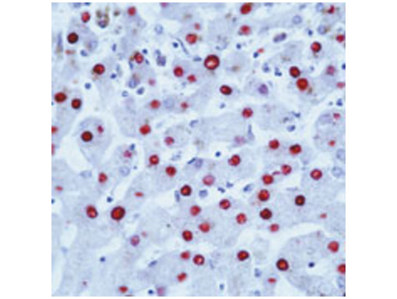
产品应用 WB=1:100-500 ELISA=1:500-1000 IP=1:20-100 IHC-P=1:100-500 IHC-F=1:100-500 IF=1:100-500
血管粘附蛋白1抗体产品优势:
| ※支持定制服务,客户提前下单,我们根据客户需求进行生产,可保证产品的新批次和应具备的活跃度和灵敏度; ※产品来源正规,由权威保藏中心进行保藏; ※产品价格公允,新老客户皆能享受我司提供的价格优惠,客户可来电获取实时报价; ※我司配备完善的服务体系,详细客户只要与我司达成合作关系,定能感受到我司的诚意。 |
荧光标记抗体实验要点:
1.偶联反应要求在尽可能接近pH9.8的溶液中进行,而且注意在反应过程中要保持此pH水平;
2.要确定在偶联反应缓冲液中不含游离氨基(Tris,氨及叠氮钠均可与FITC反应,因此会降低蛋白质与FITC的偶联率);
3.FITC与蛋白质的比值(F/P),可通过测定495m与280nm吸光度来鉴定;
4.FITC缺限是易被光淬灭,因此复合物必须始终避光保存;
5.如果FITC一复合物对PBS透析不充分,可能造成高本底,对免疫荧光染色产生干扰;
与血管粘附蛋白1抗体相关的其他产品:
特价促销GIDRP88 生长抑制和分化相关蛋白抗体规格 0.2ml
特价促销Gibberellins 牛磺酸/β-氨基乙磺酸抗体规格 0.1ml
特价促销Gibberellins 抗赤霉素抗体规格 0.1ml
特价促销GHRF/GHRH 生长激素释放激素抗体规格 0.1ml
特价促销Ghrelin/Obestatin 脑肠肽抗体规格 0.1ml
特价促销Ghrelin 28 脑肠肽抗体规格 0.1ml
特价促销GHR 生长激素受体抗体规格 0.1ml
血管粘附蛋白1抗体20支BR酚红葡萄糖肉汤发酵管酚红葡萄糖肉汤发酵管
20支BR麦芽糖发酵管麦芽糖发酵管
20支BR乳糖发酵管乳糖发酵管
20支BR1% NaC1乳糖发酵管1% NaC1乳糖发酵管
20支BR3% NaC1乳糖发酵管3% NaC1乳糖发酵管
20支BR3.5% NaC1乳糖发酵管3.5% NaC1乳糖发酵管
20支BR5%乳糖发酵管5%乳糖发酵管
风险提示:丁香通仅作为第三方平台,为商家信息发布提供平台空间。用户咨询产品时请注意保护个人信息及财产安全,合理判断,谨慎选购商品,商家和用户对交易行为负责。对于医疗器械类产品,请先查证核实企业经营资质和医疗器械产品注册证情况。
文献和实验内皮细胞形成管腔,是生物体血管新生的模型。这个实验筛选了超过40种单糖的效果,并确定一部分的稀少糖、核糖、2-脱氧核糖对管腔形成有抑制作用。核糖、2-脱氧核糖不用细说,因为它们是生物体内核酸的组成成分。为此研究人员将研究对象扩大到单糖衍生体的核酸,核酸医药品、合成核酸和其衍生体等的活性。研究的核酸达到30多种。与预期相同,多数核酸会抑制管腔形成,但其中只有一种物质显示了强大的促进作用。那个物质就是本文要介绍的2-Cl-C.OXT-A)。 2-Cl-C.OXT-A简介 2-Cl-C.OXT-A及其类似
抗肝肾微粒体抗体(LKM)是一种自身抗体。是诊断II型自身免疫性肝炎的血清学指标,靶抗原为LKM-1(细胞色素P450IID6)、LKM-2、LKM-3和肝微粒体。 自身免疫性肝炎按血清学标志至少可分为三型:Ⅰ型(“狼疮样”肝炎)以出现抗核抗体(ANA)、平滑肌抗体(ASMA)、肝细胞膜抗体(LMA抗体)为特征;Ⅱ型以出现LKM抗体为特征;Ⅲ型以出现可溶性肝抗原抗体(SLA抗体)为特征。 LKM-1抗体为自身免疫性肝炎Ⅱ型的血清
附加FLAG tag、PA tag、IDH1 (IDH1-FLAG-PA)的骨肉瘤细胞裂解液为电泳样品。(A)泳道1在一次抗体中加入1μg/Mlnz-1,二抗使用抗大鼠Pa tag NZ-1抗体,泳道2在一抗中加入3.5μg/Mlm2,二抗使用抗小鼠FLAG抗体,这两个条件的样品的转录膜经CBB染色再进行比较。结果由于二抗不同产生了一些差别,用PA TAG/NZ-1法可以很好地见到目的条带。(B)在一抗中加入1μg/Mlnz-1,二抗使用抗大鼠Pa tag NZ-1抗体的条件下,对一次抗体
技术资料暂无技术资料 索取技术资料









