相关产品推荐更多 >
万千商家帮你免费找货
0 人在求购买到急需产品
- 详细信息
- 文献和实验
- 技术资料
- 供应商:
上海联迈生物工程有限公司
- 库存:
大量
- 目录编号:
LM-33192M
- 克隆性:
多克隆
- 抗原来源:
Rabbit
- 保质期:
1年
- 抗体英文名:
GAP43
- 抗体名:
神经生长相关蛋白43单克隆抗体
- 宿主:
Rabbit
- 适应物种:
Human, Mouse, Rat,
- 免疫原:
Recombinant human GAP43 Protein:
- 亚型:
IgG
- 形态:
Lyophilized or Liquid
- 应用范围:
WB=1:500-2000 IHC-P=1:400-800 IHC-F=1:400-800 IF=1:100-500 (石蜡切片需做抗原修复)
- 浓度:
1mg/ml
- 保存条件:
Store at -20 °C
- 规格:
50ul 100ul
| 英文名称 | GAP43 |
| 中文名称 | 神经生长相关蛋白43单克隆抗体 |
| 别 名 | Growth Associated Protein-43; Neuromodulin; Axonal membrane protein GAP 43; B-50; F1; GAP 43; Growth Associated Protein 43; Nerve Growth Related Peptide; Neural phosphoprotein B 50; Neuromodulin; GAP-43; pp46; NEUM_HUMAN; Protein F1; QtrA-11580; QtrA-13071. |
| 规格价格 | 50ul/860元 购买 100ul/1580元 购买 大包装/询价 |
| 说 明 书 | 50ul 100ul |
| 研究领域 | 肿瘤 免疫学 神经生物学 |
| 抗体来源 | Mouse |
| 克隆类型 | Monoclonal |
| 克 隆 号 | 6F11 |
| 交叉反应 | Human, Mouse, Rat, |
| 产品应用 | WB=1:500-2000 IHC-P=1:400-800 IHC-F=1:400-800 IF=1:100-500 (石蜡切片需做抗原修复) not yet tested in other applications. optimal dilutions/concentrations should be determined by the end user. |
| 分 子 量 | 43kDa |
| 细胞定位 | 细胞浆 细胞膜 分泌型蛋白 |
| 性 状 | Lyophilized or Liquid |
| 浓 度 | 1mg/ml |
| 免 疫 原 | Recombinant human GAP43 Protein: |
| 亚 型 | IgG |
| 纯化方法 | affinity purified by Protein G |
| 储 存 液 | 0.01M TBS(pH7.4) with 1% BSA, 0.03% Proclin300 and 50% Glycerol. |
| 保存条件 | Store at -20 °C for one year. Avoid repeated freeze/thaw cycles. The lyophilized antibody is stable at room temperature for at least one month and for greater than a year when kept at -20°C. When reconstituted in sterile pH 7.4 0.01M PBS or diluent of antibody the antibody is stable for at least two weeks at 2-4 °C. |
| PubMed | PubMed |
| 产品介绍 | background: The protein encoded by this gene has been termed a 'growth' or 'plasticity' protein because it is expressed at high levels in neuronal growth cones during development and axonal regeneration. This protein is considered a crucial component of an effective regenerative response in the nervous system. Alternatively spliced transcript variants encoding distinct isoforms have been found for this gene. [provided by RefSeq, Jul 2008] Function: This protein is associated with nerve growth. It is a major component of the motile 'growth cones' that form the tips of elongating axons. Plays a role in axonal and dendritic filopodia induction. Subunit: Identified in a complex containing FGFR4, NCAM1, CDH2, PLCG1, FRS2, SRC, SHC1, GAP43 and CTTN. Binds calmodulin with a greater affinity in the absence of Ca(2+) than in its presence. Subcellular Location: Cell membrane; Peripheral membrane protein; Cytoplasmic side. Cell projection, growth cone membrane; Peripheral membrane protein; Cytoplasmic side. Cell junction, synapse. Cell projection, filopodium membrane; Peripheral membrane protein. Note=Cytoplasmic surface of growth cone and synaptic plasma membranes. Post-translational modifications: Phosphorylated at Ser-41 by PHK. Phosphorylation of this protein by a protein kinase C is specifically correlated with certain forms of synaptic plasticity. Palmitoylation by ARF6 is essential for plasma membrane association and axonal and dendritic filopodia induction. Deacylated by LYPLA2. Similarity: Belongs to the neuromodulin family. Contains 1 IQ domain. SWISS: P17677 Gene ID: 2596 Database links: Entrez Gene: 2596 Human Entrez Gene: 14432 Mouse Entrez Gene: 29423 Rat GenBank: NP_002036 Human Omim: 162060 Human SwissProt: P17677 Human SwissProt: P06837 Mouse SwissProt: P07936 Rat Unigene: 134974 Human Unigene: 1222 Mouse Unigene: 10928 Rat Important Note: This product as supplied is intended for research use only, not for use in human, therapeutic or diagnostic applications. 神经生物学相关蛋白(Neurobiology);神经标志物 GAP43 (Growth associated protein-43)又称作neuromodulin,是一个轴突膜蛋白,是一种神经特异性的蛋白质,参与神经细胞外生长及突触发育形成和神经细胞再生。在神经元发育和再生过程中以高水平表达。能调解轴突延伸作用,改变细胞形态。作为细胞内信号,可大大增强与G蛋白偶联的受体转运作用。 神经生长相关蛋白-GAP-43和神经细胞黏附因子(neural cell adhesion molecule,NCAM)与突触可塑性密切相关.GAP-43是一种神经细胞膜上的特异性磷蛋白,在神经发育和再生过程中呈现高表达,被作为突触生长的标志物,有称脊髓生长相关蛋白 GAP-43与CaM结合,参与G蛋白相互作用,神经递质的释放,作用于胞吞/胞吐过程,通过小囊溶合或诱导生长锥和突触前末端的胞吞促进膜扩展,与海马长时程增强密切相关. 神经细胞黏附因子是细胞表面糖蛋白大家族的成员之一,促进轴突生长,对长时记忆的保持有重要影响,同时,GAP-43对其具调节作用,广泛而深入地研究GAP-43意义深远。 |
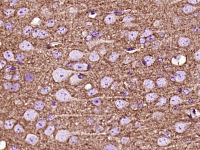
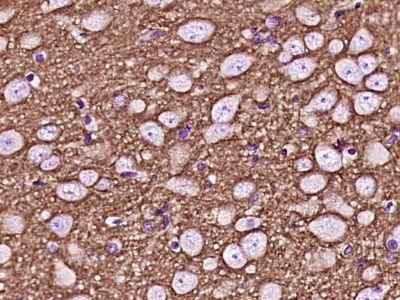
| 产品图片 | ![]() Sample: BV2 (Mouse) Lysate at 40 ug VSC4.1(Rat) Lysate at 40 ug Primary: Anti-GAP43 (bsm-33192M) at 1/1000 dilution Secondary: IRDye800CW Goat Anti-Mouse IgG at 1/20000 dilution Predicted band size: 43 kD Observed band size: 43 kD ![]() Paraformaldehyde-fixed, paraffin embedded (Mouse brain); Antigen retrieval by boiling in sodium citrate buffer (pH6.0) for 15min; Block endogenous peroxidase by 3% hydrogen peroxide for 20 minutes; Blocking buffer (normal goat serum) at 37°C for 30min; Antibody incubation with (GAP43) Monoclonal Antibody, Unconjugated (bs-33192M-8A8) at 1:400 overnight at 4°C, followed by a conjugated secondary antibody (sp-0023) for 20 minutes and DAB staining. ![]() Paraformaldehyde-fixed, paraffin embedded (Rat brain); Antigen retrieval by boiling in sodium citrate buffer (pH6.0) for 15min; Block endogenous peroxidase by 3% hydrogen peroxide for 20 minutes; Blocking buffer (normal goat serum) at 37°C for 30min; Antibody incubation with (GAP43) Monoclonal Antibody, Unconjugated (bs-33192M-8A8) at 1:400 overnight at 4°C, followed by a conjugated secondary antibody (sp-0023) for 20 minutes and DAB staining. |
风险提示:丁香通仅作为第三方平台,为商家信息发布提供平台空间。用户咨询产品时请注意保护个人信息及财产安全,合理判断,谨慎选购商品,商家和用户对交易行为负责。对于医疗器械类产品,请先查证核实企业经营资质和医疗器械产品注册证情况。
文献和实验光分光光度计(Polarstar)分析荧光强度(激发光波长380nm,发射光波长为430-460nm)。 结果:[图10] 3、流式细胞术分析 方法:收获细胞正常或凋亡细胞?PBS洗涤?加Ac-DEVD-AMC?37°C反应1h?UV流式细胞计分析caspase-3阳性细胞数和平均荧光强度。 结果:[图11] 七、凋亡相关蛋白TFAR19蛋白的表达和细胞定位分析 TFAR19(PDCD5)是由本研究室在国际上首先报导的一个拥有自己知识产权的人类新基因,前期的功能研究表明,它是促进细胞凋亡的增强剂。利用
-sylphosphatidylinositol,GPI)连接方式“锚”在细胞膜上。少数白细胞分化抗原是碳水化合物半抗原。白细胞分化抗原参与机体重要的生理和病理过程。假如:(1)免疫应答过程中免疫细胞的相互识别,免疫细胞抗原识别、活化、增殖和分化,免疫效应功能的发挥;(2)造血细胞的分化和造血过程的调控;(3)炎症发生;(4)细胞的迁移如肿瘤细胞的转移等。 第一节 白细胞分化抗原的分类 80年代初以来,由于单克隆抗体,分子克隆、基因转染细胞系等技术在白细胞分化抗原研究中得到广泛深入的应用,有关白细胞分化抗原的研究
lymphoma,低度恶性淋巴瘤 LHR:lymphocytic homing function receptor, 淋巴细胞归家功能受体 LI:labeling index,标记指数 LIF:leukemia inhibition factor,白血病抑制因子 LOH:loss of heterozygosity,杂合性丢失 LP:lymphocyte predominance,淋巴细胞为主型 LRP:lung resistance related protein,肺抗性相关蛋白 LTB
技术资料暂无技术资料 索取技术资料













