相关产品推荐更多 >
万千商家帮你免费找货
0 人在求购买到急需产品
- 详细信息
- 文献和实验
- 技术资料
- 供应商:
上海联迈生物工程有限公司
- 库存:
大量
- 目录编号:
LM-9934R
- 克隆性:
多克隆
- 抗原来源:
Rabbit
- 保质期:
1年
- 抗体英文名:
C11ORF77
- 抗体名:
11号染色体开放阅读框77抗体
- 宿主:
Rabbit
- 适应物种:
Human, Mouse, Rat, Chicken, Dog, Pig, Cow, Horse, Rabbit, Sheep,
- 免疫原:
KLH conjugated synthetic peptide derived from human C11ORF77/HARBI1:11-100/349
- 亚型:
IgG
- 形态:
Lyophilized or Liquid
- 应用范围:
WB=1:500-2000 ELISA=1:500-1000 IHC-P=1:400-800 IHC-F=1:400-800 IF=1:50-200 (石蜡切片需做抗原修复)
- 浓度:
1mg/ml
- 保存条件:
Store at -20 °C
- 规格:
100ul 200ul
| 英文名称 | C11ORF77 |
| 中文名称 | 11号染色体开放阅读框77抗体 |
| 别 名 | Chromosome 11 open reading frame 77; FLJ32675; HARB1_HUMAN; HARBI1; Harbinger transposase derived 1; Harbinger transposase-derived nuclease; Putative nuclease HARBI1. |
| 规格价格 | 100ul/1380元 购买 200ul/2200元 购买 大包装/询价 |
| 说 明 书 | 100ul 200ul |
| 研究领域 | 肿瘤 细胞生物 免疫学 神经生物学 细胞周期蛋白 |
| 抗体来源 | Rabbit |
| 克隆类型 | Polyclonal |
| 交叉反应 | Human, Mouse, Rat, Chicken, Dog, Pig, Cow, Horse, Rabbit, Sheep, |
| 产品应用 | WB=1:500-2000 ELISA=1:500-1000 IHC-P=1:400-800 IHC-F=1:400-800 IF=1:50-200 (石蜡切片需做抗原修复) not yet tested in other applications. optimal dilutions/concentrations should be determined by the end user. |
| 分 子 量 | 39kDa |
| 细胞定位 | 细胞核 细胞浆 |
| 性 状 | Lyophilized or Liquid |
| 浓 度 | 1mg/ml |
| 免 疫 原 | KLH conjugated synthetic peptide derived from human C11ORF77/HARBI1:11-100/349 |
| 亚 型 | IgG |
| 纯化方法 | affinity purified by Protein A |
| 储 存 液 | 0.01M TBS(pH7.4) with 1% BSA, 0.03% Proclin300 and 50% Glycerol. |
| 保存条件 | Store at -20 °C for one year. Avoid repeated freeze/thaw cycles. The lyophilized antibody is stable at room temperature for at least one month and for greater than a year when kept at -20°C. When reconstituted in sterile pH 7.4 0.01M PBS or diluent of antibody the antibody is stable for at least two weeks at 2-4 °C. |
| PubMed | PubMed |
| 产品介绍 | background: HARBI1 is a 349 amino acid nuclear and cytoplasmic protein belonging to the HARBI1 family. Members of the HARBI1 family of proteins are highly conserved in humans to various bony fish. Considered a transposase-derived protein, HARBI1 may possess nuclease activity and is expressed in brain, eye, nerve tissue, kidney and lung. HARBI1 utilizes divalent metal cations as cofactors, interacts with NAIF1 and promotes translocation to the nucleus. HARBI1 is encoded by a gene located on human chromosome 11, which houses over 1,400 genes and comprises nearly 4% of the human genome. Jervell and Lange-Nielsen syndrome, Jacobsen syndrome, Niemann-Pick disease, hereditary angioedema and Smith-Lemli-Opitz syndrome are associated with defects in genes that maps to chromosome 11. Function: Transposase-derived protein that may have nuclease activity (Potential). Does not have transposase activity. Subunit: Interacts with NAIF1. Subcellular Location: Nucleus. Cytoplasm. Interaction with NAIF1 promotes translocation to the nucleus. Tissue Specificity: Detected in brain, eye, nerve tissue, kidney and lung. Similarity: Belongs to the HARBI1 family. SWISS: Q96MB7 Gene ID: 283254 Database links: Entrez Gene: 283254 Human Entrez Gene: 241547 Mouse Entrez Gene: 690164 Rat SwissProt: Q96MB7 Human SwissProt: Q8BR93 Mouse SwissProt: B0BN95 Rat Unigene: 714463 Human Unigene: 130331 Mouse Unigene: 198635 Rat Important Note: This product as supplied is intended for research use only, not for use in human, therapeutic or diagnostic applications. |
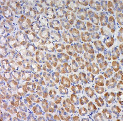
| 产品图片 | ![]() Paraformaldehyde-fixed, paraffin embedded (Rat stomach); Antigen retrieval by boiling in sodium citrate buffer (pH6.0) for 15min; Block endogenous peroxidase by 3% hydrogen peroxide for 20 minutes; Blocking buffer (normal goat serum) at 37°C for 30min; Antibody incubation with (C11ORF77) Polyclonal Antibody, Unconjugated (bs-9934R) at 1:500 overnight at 4°C, followed by a conjugated secondary (sp-0023) for 20 minutes and DAB staining. |
风险提示:丁香通仅作为第三方平台,为商家信息发布提供平台空间。用户咨询产品时请注意保护个人信息及财产安全,合理判断,谨慎选购商品,商家和用户对交易行为负责。对于医疗器械类产品,请先查证核实企业经营资质和医疗器械产品注册证情况。
文献和实验长度为1450bp即483个密码子,最长的是位于XII号染色体上的一个功能未知的开放阅读框(4910个密码子),还有极少数的开放阅读框长度超过1500个密码子。在酵母基因组中,也有编码短蛋白的基因,例如,编码由40个氨基酸组成的细胞质 膜蛋白 脂质的PMP1基因。此外,酵母基因组中还包含:约140个编码RNA的基因,排列在XII号染色体的长末端;40个编码SnRNA的基因,散布于16条染色体;属于43个家族的275个tRNA基因也广泛分布于基因组中。 表1 酵母染色体
,即整个基因组有72%的核苷酸顺序由开放阅读框组成。这说明酿酒酵母基因要比其它高等真核生物基因排列紧密。如在人类基因组中,大约平均每隔30kb或更多的碱基才能发现一个编码蛋白质的基因。酵母基因组的紧密性是因为基因间隔区较短与基因中内含子稀少。酵母基因组的开放阅读框平均长度为483个密码子,最长的是位于XII号染色体上的一个功能未知的开放阅读框(4910个密码子)。此外,酿酒酵母基因组中还包含有大约140个编码rRNA的基因,排列在XII号染色体的长末端;40个编码snRNA(small nuclear
。 思路:本文首先采用 DSV(Discovery Studio Visualizer)构建了 B40t77 闭合型和开放型的三维结构模型,并基于 DS_CHARMm 进行了结构优化。接着将 B40t77 模型对接至 gp120 晶体结构(2B4C)得到复合物的三维结构,并对其作用模式进行了预测(图 4)。发现抗 gp120 适体之所以可以阻止 HIV-1 的入胞过程是通过对 CD4 诱导的抗原表位产生了立体位阻效应并介导了构象的变化从而扰乱了在结合位点的结合
技术资料暂无技术资料 索取技术资料











