相关产品推荐更多 >
万千商家帮你免费找货
0 人在求购买到急需产品
- 详细信息
- 文献和实验
- 技术资料
- 供应商:
上海联迈生物工程有限公司
- 库存:
大量
- 目录编号:
LM-33037M
- 克隆性:
多克隆
- 抗原来源:
Rabbit
- 保质期:
1年
- 抗体英文名:
COX4
- 抗体名:
细胞色素c氧化酶IV亚型1单克隆抗体
- 宿主:
Rabbit
- 适应物种:
Human, Mouse, Rat,
- 免疫原:
Recombinant human COX4:
- 亚型:
IgG
- 形态:
Lyophilized or Liquid
- 应用范围:
WB=1:500-1000 IHC-P=1:400-800 IHC-F=1:400-800 ICC=1:100-500 IF=1:200-800 (石蜡切片需做抗原修复)
- 浓度:
1mg/ml
- 保存条件:
Store at -20 °C
- 规格:
50ul 100ul
| 英文名称 | COX4 |
| 中文名称 | 细胞色素c氧化酶IV亚型1单克隆抗体 |
| 别 名 | COX-IV; COX 4; COX 4I1; COX 4I2; COXIV Isoform 2; COX IV 1; COX IV-1; COX IV; COX4 2; COX4; COX4B; COX4I1; COX4I2; COX4L2; COXIV 2; COXIV; Cytochrome c oxidase polypeptide IV; Cytochrome c oxidase subunit 4 isoform 1 mitochondrial; Cytochrome C Oxidase Subunit IV; Cytochrome c oxidase subunit IV isoform 1; Cytochrome c oxidase subunit IV isoform 2 (lung); dJ857M17.2; MGC72016; COX IV-1; Cox4a Cytochrome c oxidase polypeptide IV; COX41_HUMAN; COX4I1. |
| 规格价格 | 50ul/860元 购买 100ul/1580元 购买 大包装/询价 |
| 说 明 书 | 50ul 100ul |
| 研究领域 | 细胞生物 免疫学 线粒体 |
| 抗体来源 | Mouse |
| 克隆类型 | Monoclonal |
| 克 隆 号 | 8D8 |
| 交叉反应 | Human, Mouse, Rat, |
| 产品应用 | WB=1:500-1000 IHC-P=1:400-800 IHC-F=1:400-800 ICC=1:100-500 IF=1:200-800 (石蜡切片需做抗原修复) not yet tested in other applications. optimal dilutions/concentrations should be determined by the end user. |
| 分 子 量 | 17kDa |
| 细胞定位 | 细胞浆 细胞膜 线粒体 |
| 性 状 | Lyophilized or Liquid |
| 浓 度 | 1mg/ml |
| 免 疫 原 | Recombinant human COX4: |
| 亚 型 | IgG |
| 纯化方法 | affinity purified by Protein G |
| 储 存 液 | 0.01M TBS(pH7.4) with 1% BSA, 0.03% Proclin300 and 50% Glycerol. |
| 保存条件 | Store at -20 °C for one year. Avoid repeated freeze/thaw cycles. The lyophilized antibody is stable at room temperature for at least one month and for greater than a year when kept at -20°C. When reconstituted in sterile pH 7.4 0.01M PBS or diluent of antibody the antibody is stable for at least two weeks at 2-4 °C. |
| PubMed | PubMed |
| 产品介绍 | background: Cytochrome c oxidase (COX) is the terminal enzyme of the mitochondrial respiratory chain. It is a multi-subunit enzyme complex that couples the transfer of electrons from cytochrome c to molecular oxygen and contributes to a proton electrochemical gradient across the inner mitochondrial membrane. The complex consists of 13 mitochondrial- and nuclear-encoded subunits. The mitochondrially-encoded subunits perform the electron transfer and proton pumping activities. The functions of the nuclear-encoded subunits are unknown but they may play a role in the regulation and assembly of the complex. This gene encodes the nuclear-encoded subunit IV isoform 1 of the human mitochondrial respiratory chain enzyme. It is located at the 3' of the NOC4 (neighbor of COX4) gene in a head-to-head orientation, and shares a promoter with it. [provided by RefSeq, Jul 2008] Function: This protein is one of the nuclear-coded polypeptide chains of cytochrome c oxidase, the terminal oxidase in mitochondrial electron transport. Subcellular Location: Mitochondrion inner membrane. Tissue Specificity: Ubiquitous. Similarity: Belongs to the cytochrome c oxidase IV family. SWISS: P13073 Gene ID: 1327 Database links: Entrez Gene: 1327 Human Entrez Gene: 12857 Mouse Entrez Gene: 29445 Rat Entrez Gene: 281090 Cow Omim: 123864 Human SwissProt: P00423 Cow SwissProt: Q3SZS0 Cow SwissProt: P13073 Human SwissProt: P19783 Mouse SwissProt: P10888 Rat Unigene: 433419 Human Unigene: 386758 Mouse Unigene: 2528 Rat Important Note: This product as supplied is intended for research use only, not for use in human, therapeutic or diagnostic applications. 细胞色素c氧化酶4亚型1抗体;(细胞色素c氧化酶IV亚型1)是一种存在线粒体上的大型跨膜蛋白复合物。由于细胞色素氧化酶是呼吸电子传递链的第四个中心酶复合物,因此又被称为复合物IV。 |
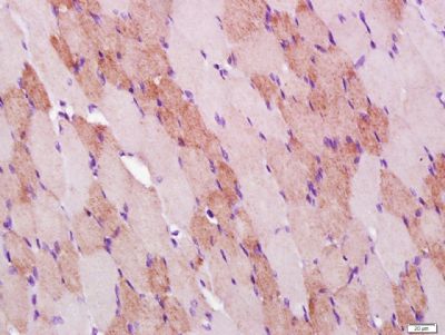
| 产品图片 | ![]() Sample: Jurkat Cell (Human) Lysate at 40 ug Primary: Anti- COX4 (bsm-33037M) at 1/1000 dilution Secondary: IRDye800CW Goat Anti-Mouse IgG at 1/20000 dilution Predicted band size: 17 kD Observed band size: 16 kD ![]() Sample: HepG2 Cell (Human) Lysate at 40 ug Primary: Anti- COX4 (bsm-33037M) at 1/1000 dilution Secondary: IRDye800CW Goat Anti-Mouse IgG at 1/20000 dilution Predicted band size: 17 kD Observed band size: 16 kD ![]() Paraformaldehyde-fixed, paraffin embedded (Rat skeletal muscle); Antigen retrieval by boiling in sodium citrate buffer (pH6.0) for 15min; Block endogenous peroxidase by 3% hydrogen peroxide for 20 minutes; Blocking buffer (normal goat serum) at 37°C for 30min; Antibody incubation with (COX4) Monoclonal Antibody, Unconjugated (bsm-33037M) at 1:400 overnight at 4°C, followed by a conjugated secondary (sp-0023) for 20 minutes and DAB staining. ![]() Paraformaldehyde-fixed, paraffin embedded (Rat skeletal muscle); Antigen retrieval by boiling in sodium citrate buffer (pH6.0) for 15min; Block endogenous peroxidase by 3% hydrogen peroxide for 20 minutes; Blocking buffer (normal goat serum) at 37°C for 30min; Antibody incubation with (COX4) Monoclonal Antibody, Unconjugated (bsm-33037M-8D8) at 1:500 overnight at 4°C, followed by a conjugated secondary (sp-0023) for 20 minutes and DAB staining. ![]() Paraformaldehyde-fixed, paraffin embedded (Rat skeletal muscle); Antigen retrieval by boiling in sodium citrate buffer (pH6.0) for 15min; Block endogenous peroxidase by 3% hydrogen peroxide for 20 minutes; Blocking buffer (normal goat serum) at 37°C for 30min; Antibody incubation with (COX4) Monoclonal Antibody, Unconjugated (bsm-33037M) at 1:400 overnight at 4°C, followed by a conjugated Goat Anti-Mouse IgG antibody (bs-0296G-CY3) for 90 minutes, and DAPI for nuclei staining. ![]() Paraformaldehyde-fixed, paraffin embedded (Rat skeletal muscle); Antigen retrieval by boiling in sodium citrate buffer (pH6.0) for 15min; Block endogenous peroxidase by 3% hydrogen peroxide for 20 minutes; Blocking buffer (normal goat serum) at 37°C for 30min; Antibody incubation with (COX4) Monoclonal Antibody, Unconjugated (bsm-33037M) at 1:400 overnight at 4°C, followed by a conjugated Goat Anti-Mouse IgG antibody (bs-0296G-FITC) for 90 minutes, and DAPI for nuclei staining. |
风险提示:丁香通仅作为第三方平台,为商家信息发布提供平台空间。用户咨询产品时请注意保护个人信息及财产安全,合理判断,谨慎选购商品,商家和用户对交易行为负责。对于医疗器械类产品,请先查证核实企业经营资质和医疗器械产品注册证情况。
文献和实验级联反应:细胞色素C/Apaf-1复合物激活caspase-9,后者再激活caspase-3和其它下游caspase。细胞色素C氧化酶亚单位Ⅳ(cytochrome c oxidase subunit Ⅳ:COX4)是定位在线粒体内膜上的膜蛋白,凋亡发生时,它保留在线粒体内,因而它是线粒体富集部分的一个非常有用的标志。 ApoAlertTMCell Fractionation Kit不用超离心,可从凋亡和非凋亡细胞中快速有效分离出高度富集的线粒体部分,再进一步通过Western杂交
3)细胞色素C的定位检测 细胞色素C作为一种信号物质,在细胞凋亡中发挥着重要的作用。正常情况下,它存在于线粒体 内膜和外膜之间的腔中,凋亡信号刺激使其从线粒体释放至细胞液,结合Apaf-1 (apoptotic protease activating factor-1)后启动caspase级联反应:细胞色素C/Apaf-1复合物激活caspase-9,后者再激活caspase-3和其它下游caspase。细胞色素C氧化酶亚单位Ⅳ(cytochrome c oxidase subunit
。正常情况下,它存在于线粒体内膜和外膜之间的腔中,凋亡信号刺激使其从线粒体释放至细胞液,结合Apaf-1 (apoptotic protease activating factor-1)后启动caspase级联反应:细胞色素C/Apaf-1复合物激活caspase-9,后者再激活caspase-3和其它下游caspase。细胞色素C氧化酶亚单位Ⅳ(cytochrome c oxidase subunit Ⅳ:COX4)是定位在线粒体内膜上的膜蛋白,凋亡发生时,它保留在线粒体内,因而它是线粒体富集
技术资料暂无技术资料 索取技术资料
















