相关产品推荐更多 >
万千商家帮你免费找货
0 人在求购买到急需产品
- 详细信息
- 文献和实验
- 技术资料
- 供应商:
上海联迈生物工程有限公司
- 库存:
大量
- 目录编号:
LM-0933M
- 克隆性:
多克隆
- 抗原来源:
Rabbit
- 保质期:
1年
- 抗体英文名:
GLP-1(1G9)
- 抗体名:
GLP-1单克隆抗体
- 宿主:
Rabbit
- 适应物种:
Human, Mouse, Rat,
- 免疫原:
KLH conjugated synthetic peptide derived from human GLP-1:1-31/31
- 亚型:
IgG
- 形态:
Lyophilized or Liquid
- 应用范围:
ELISA=1:500-1000 IHC-P=1:400-800 IHC-F=1:400-800 IF=1:100-500 (石蜡切片需做抗原修复)
- 浓度:
1mg/ml
- 保存条件:
Store at -20 °C
- 规格:
50ul 100ul
| 英文名称 | GLP-1(1G9) |
| 中文名称 | GLP-1单克隆抗体 |
| 别 名 | GCG; GLP 1; glucagon; Glucagon like peptide 1; GRPP; GLP-1(7-36); GLP-1(7-37); Oxyntomodulin; OXM; OXY; GLUC_HUMAN. |
| 规格价格 | 50ul/860元 购买 100ul/1580元 购买 大包装/询价 |
| 说 明 书 | 50ul 100ul |
| 研究领域 | 肿瘤 心血管 免疫学 神经生物学 信号转导 生长因子和激素 糖尿病 内分泌病 新陈代谢 |
| 抗体来源 | Mouse |
| 克隆类型 | Monoclonal |
| 克 隆 号 | 1G9 |
| 交叉反应 | Human, Mouse, Rat, |
| 产品应用 | ELISA=1:500-1000 IHC-P=1:400-800 IHC-F=1:400-800 IF=1:100-500 (石蜡切片需做抗原修复) not yet tested in other applications. optimal dilutions/concentrations should be determined by the end user. |
| 分 子 量 | 21kDa |
| 细胞定位 | 分泌型蛋白 |
| 性 状 | Lyophilized or Liquid |
| 浓 度 | 1mg/ml |
| 免 疫 原 | KLH conjugated synthetic peptide derived from human GLP-1:1-31/31 |
| 亚 型 | IgG |
| 纯化方法 | affinity purified by Protein G |
| 储 存 液 | 0.01M TBS(pH7.4) with 1% BSA, 0.03% Proclin300 and 50% Glycerol. |
| 保存条件 | Store at -20 °C for one year. Avoid repeated freeze/thaw cycles. The lyophilized antibody is stable at room temperature for at least one month and for greater than a year when kept at -20°C. When reconstituted in sterile pH 7.4 0.01M PBS or diluent of antibody the antibody is stable for at least two weeks at 2-4 °C. |
| PubMed | PubMed |
| 产品介绍 | background: Glucagon plays a key role in glucose metabolism and homeostasis. Regulates blood glucose by increasing gluconeogenesis and decreasing glycolysis. A counterregulatory hormone of insulin, raises plasma glucose levels in response to insulin-induced hypoglycemia. GLP-1 is a potent stimulator of glucose-dependent insulin release. Play important roles on gastric motility and the suppression of plasma glucagon levels. May be involved in thesuppression of satiety and stimulation of glucose disposal in peripheral tissues, independent of the actions of insulin. Have growth-promoting activities on intestinal epithelium. May also regulate the hypothalamic pituitary axis (HPA) via effects on LH, TSH, CRH, oxytocin, and vasopressin. Belongs to the glucagon family. Function: Glucagon plays a key role in glucose metabolism and homeostasis. Regulates blood glucose by increasing gluconeogenesis and decreasing glycolysis. A counterregulatory hormone of insulin, raises plasma glucose levels in response to insulin-induced hypoglycemia. Plays an important role in initiating and maintaining hyperglycemic conditions in diabetes. GLP-1 is a potent stimulator of glucose-dependent insulin release. Play important roles on gastric motility and the suppression of plasma glucagon levels. May be involved in the suppression of satiety and stimulation of glucose disposal in peripheral tissues, independent of the actions of insulin. Have growth-promoting activities on intestinal epithelium. May also regulate the hypothalamic pituitary axis (HPA) via effects on LH, TSH, CRH, oxytocin, and vasopressin secretion. Increases islet mass through stimulation of islet neogenesis and pancreatic beta cell proliferation. Inhibits beta cell apoptosis. GLP-2 stimulates intestinal growth and up-regulates villus height in the small intestine, concomitant with increased crypt cell proliferation and decreased enterocyte apoptosis. The gastrointestinal tract, from the stomach to the colon is the principal target for GLP-2 action. Plays a key role in nutrient homeostasis, enhancing nutrient assimilation through enhanced gastrointestinal function, as well as increasing nutrient disposal. Stimulates intestinal glucose transport and decreases mucosal permeability. Oxyntomodulin significantly reduces food intake. Inhibits gastric emptying in humans. Suppression of gastric emptying may lead to increased gastric distension, which may contribute to satiety by causing a sensation of fullness. Glicentin may modulate gastric acid secretion and the gastro-pyloro-duodenal activity. May play an important role in intestinal mucosal growth in the early period of life Subcellular Location: Secreted. Tissue Specificity: Glucagon is secreted in the A cells of the islets of Langerhans. GLP-1, GLP-2, oxyntomodulin and glicentin are secreted from enteroendocrine cells throughout the gastrointestinal tract. GLP1 and GLP2 are also secreted in selected neurons in the brain. Post-translational modifications: Proglucagon is post-translationally processed in a tissue-specific manner in pancreatic A cells and intestinal L cells. In pancreatic A cells, the major bioactive hormone is glucagon cleaved by PCSK2/PC2. In the intestinal L cells PCSK1/PC1 liberates GLP-1, GLP-2, glicentin and oxyntomodulin. GLP-1 is further N-terminally truncated by post-translational processing in the intestinal L cells resulting in GLP-1(7-37) GLP-1-(7-36)amide. The C-terminal amidation is neither important for the metabolism of GLP-1 nor for its effects on the endocrine pancreas. Similarity: Belongs to the glucagon family. SWISS: P01275 Gene ID: 2641 Database links: Entrez Gene: 2641 Human Entrez Gene: 14526 Mouse Entrez Gene: 24952 Rat Omim: 138030 Human SwissProt: P01275 Human SwissProt: P55095 Mouse SwissProt: P06883 Rat Unigene: 516494 Human Unigene: 45494 Mouse Unigene: 54383 Rat Important Note: This product as supplied is intended for research use only, not for use in human, therapeutic or diagnostic applications. 胰高血糖素(Glucagon)在糖代谢和体内平衡中起重要作用,通过释放糖原和糖酵解调节血糖。作为反调节激素的胰岛素,当血糖升高时,胰岛素可诱导低血糖。 胰高血糖素样肽-1(Glucagon-like peptide-1, GLP-1)是一个具有强的刺激糖依赖的胰岛素释放的肽,在胃运动性和抑制血糖水平上起重要作用。还可能参与外周组织糖的控制,不依赖胰岛素的作用。具有促进肠上皮生长等作用。GLP-1属于胰高血糖素家族成员。 |
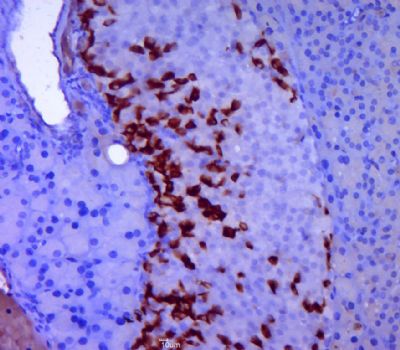
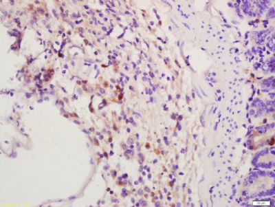
| 产品图片 | ![]() Paraformaldehyde-fixed, paraffin embedded (mouse pancreas tissue); Antigen retrieval by boiling in sodium citrate buffer (pH6.0) for 15min; Block endogenous peroxidase by 3% hydrogen peroxide for 20 minutes; Blocking buffer (normal goat serum) at 37°C for 30min; Antibody incubation with (GLP-1(1G9)) Polyclonal Antibody, Unconjugated (bs-0933M) at 1:400 overnight at 4°C, followed by a conjugated secondary (sp-0024) for 20 minutes and DAB staining. ![]() Tissue/cell: mouse intestine tissue; 4% Paraformaldehyde-fixed and paraffin-embedded; Antigen retrieval: citrate buffer ( 0.01M, pH 6.0 ), Boiling bathing for 15min; Block endogenous peroxidase by 3% Hydrogen peroxide for 30min; Blocking buffer (normal goat serum,C-0005) at 37℃ for 20 min; Incubation: Anti-GLP-1(1G9) Polyclonal Antibody, Unconjugated(bsm-0933M) 1:200, overnight at 4°C, followed by conjugation to the secondary antibody(SP-0024) and DAB(C-0010) staining |
风险提示:丁香通仅作为第三方平台,为商家信息发布提供平台空间。用户咨询产品时请注意保护个人信息及财产安全,合理判断,谨慎选购商品,商家和用户对交易行为负责。对于医疗器械类产品,请先查证核实企业经营资质和医疗器械产品注册证情况。
文献和实验腺和肺的肿瘤在该小鼠有一定的发生率。②易患慢性肺炎。③对放射线甚为敏感。④与其他近交系相比,肝、脾与体重的比值较大。20月龄的雄鼠脾脏有淀粉样变。⑤有自发高血压症,老年鼠心脏有病变,雌雄鼠均有动脉硬化。⑥对鼠伤寒沙门氏菌补体敏感,对麻疹病毒中度敏感。对利什曼原虫属、立克次氏体和百日咳组织胺易感因子敏感。主要用途:广泛地应用于肿瘤学、生理学、免疫学、核医学研究,以及单克隆抗体的制备等。2、〖名称〗:C57BL〖简介〗:1921年立特(Little)用艾比-拉特洛坡(Abby Lathrop)的小鼠株
,用含有10%热灭活胎牛血清的RPMI1640培养基于5% CO2,37C条件下培养。抗CD20单克隆抗体HI47由我所免疫室提供。辣根过氧化酶标记羊抗人IgG,FITC标记的羊抗鼠IgG购于北京中山生物工程公司。2、抗CD20单克隆抗体轻、重链基因的克隆利用RT-PCR法,采用抗体通用的兼并性引物,从HI47杂交瘤细胞特异性地分别扩增抗体轻链、重链可变区基因(VL和VH)后,利用编码短肽(G4S)3的连接链DNA片段,经overlap PCR,将VH和VL基因连接构成ScFv基因(约750bp
【求购】Aphase代理商以及组化用锌固定剂作者:happykama 回复数:0000【转让】santa公司小包装bcl-2、bax鼠单克隆抗体作者:sunny75 回复数:0000【求购】联合免疫缺陷动物(小鼠)作者:wangchuanbao369 回复数:0000【转让】博士德兔抗鼠NOS免疫组化一抗作者:sunny75 回复数:0000【求购】急购抗兔角蛋白3和角蛋白12抗体作者:清心草 回复数:0000【求购】ADL)公司的产品作者:tiaoyue 回复数:0000【求购
技术资料暂无技术资料 索取技术资料












