相关产品推荐更多 >
万千商家帮你免费找货
0 人在求购买到急需产品
- 详细信息
- 文献和实验
- 技术资料
- 供应商:
上海联迈生物工程有限公司
- 库存:
大量
- 目录编号:
LM-5900R
- 克隆性:
多克隆
- 抗原来源:
Rabbit
- 保质期:
1年
- 抗体英文名:
ADORA2B
- 抗体名:
腺苷A2b受体/神经生长因子1受体抗体
- 宿主:
Rabbit
- 适应物种:
Human, Mouse, Rat, Dog, Rabbit, Guinea Pig,
- 免疫原:
KLH conjugated synthetic peptide derived from human ADORA2B:101-200/332 <Extracellular>
- 亚型:
IgG
- 形态:
Lyophilized or Liquid
- 应用范围:
WB=1:500-2000 IHC-P=1:400-800 IHC-F=1:400-800 Flow-Cyt=3ug/test ICC=1:100-500 IF=1:100-500 (石蜡切片需做抗原修复)
- 浓度:
1mg/ml
- 保存条件:
Store at -20 °C
- 规格:
100ul 200ul
| 英文名称 | ADORA2B |
| 中文名称 | 腺苷A2b受体/神经生长因子1受体抗体 |
| 别 名 | Adenosine A2b Receptor; adora 2; adora 2b; ADORA2; ADORA2B; HGNC:264; Netrin 1 receptor; AA2BR_HUMAN. |
| 规格价格 | 100ul/1380元 购买 200ul/2200元 购买 大包装/询价 |
| 说 明 书 | 100ul 200ul |
| 研究领域 | 肿瘤 心血管 免疫学 染色质和核信号 信号转导 G蛋白偶联受体 |
| 抗体来源 | Rabbit |
| 克隆类型 | Polyclonal |
| 交叉反应 | Human, Mouse, Rat, Dog, Rabbit, Guinea Pig, |
| 产品应用 | WB=1:500-2000 IHC-P=1:400-800 IHC-F=1:400-800 Flow-Cyt=3ug/test ICC=1:100-500 IF=1:100-500 (石蜡切片需做抗原修复) not yet tested in other applications. optimal dilutions/concentrations should be determined by the end user. |
| 分 子 量 | 37kDa |
| 细胞定位 | 细胞膜 |
| 性 状 | Lyophilized or Liquid |
| 浓 度 | 1mg/ml |
| 免 疫 原 | KLH conjugated synthetic peptide derived from human ADORA2B:101-200/332 <Extracellular> |
| 亚 型 | IgG |
| 纯化方法 | affinity purified by Protein A |
| 储 存 液 | 0.01M TBS(pH7.4) with 1% BSA, 0.03% Proclin300 and 50% Glycerol. |
| 保存条件 | Store at -20 °C for one year. Avoid repeated freeze/thaw cycles. The lyophilized antibody is stable at room temperature for at least one month and for greater than a year when kept at -20°C. When reconstituted in sterile pH 7.4 0.01M PBS or diluent of antibody the antibody is stable for at least two weeks at 2-4 °C. |
| PubMed | PubMed |
| 产品介绍 | background: This gene encodes an adenosine receptor that is a member of the G protein-coupled receptor superfamily. This integral membrane protein stimulates adenylate cyclase activity in the presence of adenosine. This protein also interacts with netrin-1, which is involved in axon elongation. The gene is located near the Smith-Magenis syndrome region on chromosome 17. [provided by RefSeq, Jul 2008]. Function: Receptor for adenosine. The activity of this receptor is mediated by G proteins which activate adenylyl cyclase. Subcellular Location: Cell membrane; Multi-pass membrane protein. Similarity: Belongs to the G-protein coupled receptor 1 family. SWISS: P29275 Gene ID: 136 Database links: Entrez Gene: 136 Human Omim: 600446 Human SwissProt: P29275 Human Unigene: 167046 Human Important Note: This product as supplied is intended for research use only, not for use in human, therapeutic or diagnostic applications. |
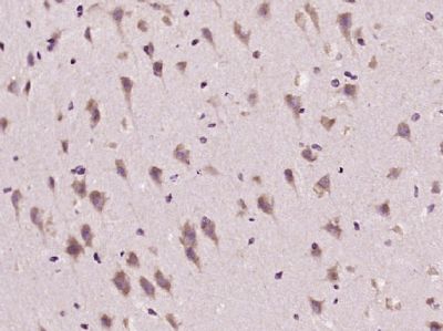
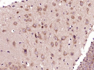
| 产品图片 | ![]() Sample: Brain (Mouse) Lysate at 40 ug Primary: Anti-ADORA2B (bs-5900R) at 1/300 dilution Secondary: HRP conjugated Goat-Anti-rabbit IgG (bs-0295G-HRP) at 1/5000 dilution Predicted band size: 37 kD Observed band size: 36 kD ![]() Paraformaldehyde-fixed, paraffin embedded (Rat brain); Antigen retrieval by boiling in sodium citrate buffer (pH6.0) for 15min; Block endogenous peroxidase by 3% hydrogen peroxide for 20 minutes; Blocking buffer (normal goat serum) at 37°C for 30min; Antibody incubation with (ADORA2B) Polyclonal Antibody, Unconjugated (bs-5900R) at 1:400 overnight at 4°C, followed by operating according to SP Kit(Rabbit) (sp-0023) instructions and DAB staining. ![]() Paraformaldehyde-fixed, paraffin embedded (Mouse brain); Antigen retrieval by boiling in sodium citrate buffer (pH6.0) for 15min; Block endogenous peroxidase by 3% hydrogen peroxide for 20 minutes; Blocking buffer (normal goat serum) at 37°C for 30min; Antibody incubation with (ADORA2B) Polyclonal Antibody, Unconjugated (bs-5900R) at 1:400 overnight at 4°C, followed by operating according to SP Kit(Rabbit) (sp-0023) instructions and DAB staining. ![]() Tissue/cell: HepG2 cell; 4% Paraformaldehyde-fixed; Triton X-100 at room temperature for 20 min; Block endogenous peroxidase by 3% hydrogen peroxide for 20 minutes; Blocking buffer (normal goat serum) at 37°C for 30min; Antibody incubation with (ADORA2B) Polyclonal Antibody, Unconjugated (bs-5900R) at 1:100 overnight at 4°C, followed by operating according to SP Kit(Rabbit) (sp-0023) instructionsand DAB staining. ![]() Blank control: A549. Primary Antibody (green line): Rabbit Anti-ADORA2B antibody (bs-5900R) Dilution: 3μg /10^6 cells; Isotype Control Antibody (orange line): Rabbit IgG . Secondary Antibody : Goat anti-rabbit IgG-PE Dilution: 1μg /test. Protocol The cells were incubated in 5%BSA to block non-specific protein-protein interactions for 30 min at at room temperature .Cells stained with Primary Antibody for 30 min at room temperature. The secondary antibody used for 40 min at room temperature. Acquisition of 20,000 events was performed. |
风险提示:丁香通仅作为第三方平台,为商家信息发布提供平台空间。用户咨询产品时请注意保护个人信息及财产安全,合理判断,谨慎选购商品,商家和用户对交易行为负责。对于医疗器械类产品,请先查证核实企业经营资质和医疗器械产品注册证情况。
文献和实验-钙粘着蛋白(P-Cadherin) ELISA 48T/96T 2000/3000 进口分装 F00330 环磷酸腺苷 (cAMP) ELISA 48T/96T 1500/2500 进口分装 F00340 心营养素 -1(Cardiotrophin-1) ELISA 48T/96T 2000/3000 进口分装 F00350 Caspase-1 ELISA 48T/96T 2000/3000 进口分装 F00360 Caspase-2 ELISA 48T/96T 2000
KC) ELISA 48T/96T 2000/3000 进口分装 F10255 小鼠环磷酸腺苷 (mouse cAMP) ELISA 48T/96T 2000/3000 进口分装 F10256 小鼠环磷酸鸟苷 (mouse cGMP) ELISA 48T/96T 2000/3000 进口分装 F10257 小鼠睫状神经营养因子 (mouse CNTF) ELISA 48T/96T 2000/3000 进口分装 F10300 小鼠 CD34(mouse CD
自分泌生长因子,由肿瘤细胞产生的一种作用于它自己同种细胞的促分裂的生长因子。 Autocrine motility factor 自分泌生长因子,由肿瘤细胞分泌的一种蛋白质因子,能刺激同种细胞的移动(自发性移动)。 Autophosphorylation 自家磷酸化,由底物的酪氨酸激酶催化磷酸从ATP转移到其自身序列中的酪氨酸侧链的酚羟基,以作为下游底物的停靠位点。 Autosomal 常染色体的,指与任何除X和Y染色体
技术资料暂无技术资料 索取技术资料















