相关产品推荐更多 >
万千商家帮你免费找货
0 人在求购买到急需产品
- 详细信息
- 文献和实验
- 技术资料
- 供应商:
上海联迈生物工程有限公司
- 库存:
大量
- 目录编号:
LM-9317R
- 克隆性:
多克隆
- 抗原来源:
Rabbit
- 保质期:
1年
- 抗体英文名:
NEK9
- 抗体名:
丝氨酸/苏氨酸蛋白激酶NEK9抗体
- 宿主:
Rabbit
- 适应物种:
Human, Mouse, Rat, Dog, Pig, Cow, Horse, Rabbit, Sheep,
- 免疫原:
KLH conjugated synthetic peptide derived from human NEK9:531-630/979
- 亚型:
IgG
- 形态:
Lyophilized or Liquid
- 应用范围:
WB=1:500-2000 ELISA=1:500-1000 IHC-P=1:400-800 (石蜡切片需做抗原修复)
- 浓度:
1mg/ml
- 保存条件:
Store at -20 °C
- 规格:
100ul 200ul
| 英文名称 | NEK9 |
| 中文名称 | 丝氨酸/苏氨酸蛋白激酶NEK9抗体 |
| 别 名 | Nek 8; NEK 9; Nek8; nek9; Nek-8; nek-9; NEK9_HUMAN; NERCC 1; Nercc 1 kinase; NERCC; NERCC1; Nercc1 kinase; Never in mitosis A related kinase 9; Never in mitosis A-related kinase 9; NIMA (never in mitosis gene a) related kinase 9; NIMA related kinase 8; NIMA related kinase 9; NIMA related kinase Nek 8; NIMA related kinase Nek 9; NIMA related kinase Nek8; NIMA related kinase Nek9; NimA related protein kinase 9; NIMA-related kinase 8; NimA-related protein kinase 9; Serine/threonine protein kinase Nek 9; Serine/threonine protein kinase Nek9; Serine/threonine-protein kinase Nek9. |
| 规格价格 | 100ul/1380元 购买 200ul/2200元 购买 大包装/询价 |
| 说 明 书 | 100ul 200ul |
| 研究领域 | 细胞生物 信号转导 细胞周期蛋白 激酶和磷酸酶 细胞分化 |
| 抗体来源 | Rabbit |
| 克隆类型 | Polyclonal |
| 交叉反应 | Human, Mouse, Rat, Dog, Pig, Cow, Horse, Rabbit, Sheep, |
| 产品应用 | WB=1:500-2000 ELISA=1:500-1000 IHC-P=1:400-800 (石蜡切片需做抗原修复) not yet tested in other applications. optimal dilutions/concentrations should be determined by the end user. |
| 分 子 量 | 107kDa |
| 细胞定位 | 细胞核 细胞浆 |
| 性 状 | Lyophilized or Liquid |
| 浓 度 | 1mg/ml |
| 免 疫 原 | KLH conjugated synthetic peptide derived from human NEK9:531-630/979 |
| 亚 型 | IgG |
| 纯化方法 | affinity purified by Protein A |
| 储 存 液 | 0.01M TBS(pH7.4) with 1% BSA, 0.03% Proclin300 and 50% Glycerol. |
| 保存条件 | Store at -20 °C for one year. Avoid repeated freeze/thaw cycles. The lyophilized antibody is stable at room temperature for at least one month and for greater than a year when kept at -20°C. When reconstituted in sterile pH 7.4 0.01M PBS or diluent of antibody the antibody is stable for at least two weeks at 2-4 °C. |
| PubMed | PubMed |
| 产品介绍 | background: Pleiotropic regulator of mitotic progression, participating in the control of spindle dynamics and chromosome separation. Phosphorylates different histones, myelin basic protein, beta-casein, and BICD2. Phosphorylates histone H3 on serine and threonine residues and beta-casein on serine residues. Important for G1/S transition and S phase progression. Function: Pleiotropic regulator of mitotic progression, participating in the control of spindle dynamics and chromosome separation. Phosphorylates different histones, myelin basic protein, beta-casein, and BICD2. Phosphorylates histone H3 on serine and threonine residues and beta-casein on serine residues. Important for G1/S transition and S phase progression. Phosphorylates NEK6 and NEK7 and stimulates their activity by releasing the autoinhibitory functions of Tyr-108 and Tyr-97 respectively. Subunit: Homodimer. Binds to Ran GTPase. Has a greater affinity for Ran-GDP over Ran-GTP. Interacts with NEK6, NEK7 and BICD2. Interacts with SSRP1 and SUPT16H, the 2 subunits of the FACT complex. Subcellular Location: Cytoplasm. Nucleus. Tissue Specificity: Most abundant in heart, liver, kidney and testis. Also expressed in smooth muscle cells and fibroblasts. Post-translational modifications: Autophosphorylated on serine and threonine residues. When complexed with FACT, exhibits markedly elevated phosphorylation on Thr-210. During mitosis, not phosphorylated on Thr-210. Phosphorylated by CDK1 in vitro. [SIMILARITY] Belongs to the protein kinase superfamily. NEK Ser/Thr protein kinase family. NIMA subfamily. [SIMILARITY] Contains 1 protein kinase domain. Similarity: Contains 6 RCC1 repeats. SWISS: Q8TD19 Gene ID: 91754 Database links: Entrez Gene: 91754 Human Entrez Gene: 217718 Mouse Entrez Gene: 299204 Rat Omim: 609798 Human SwissProt: Q8TD19 Human SwissProt: Q8K1R7 Mouse Unigene: 7200 Human Unigene: 29071 Mouse Unigene: 102369 Rat Important Note: This product as supplied is intended for research use only, not for use in human, therapeutic or diagnostic applications. |
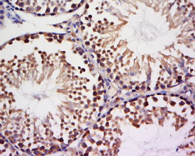
| 产品图片 | ![]() Tissue/cell: Mouse testis tissue; 4% Paraformaldehyde-fixed and paraffin-embedded; Antigen retrieval: citrate buffer ( 0.01M, pH 6.0 ), Boiling bathing for 15min; Block endogenous peroxidase by 3% Hydrogen peroxide for 30min; Blocking buffer (normal goat serum,C-0005) at 37℃ for 20 min; Incubation: Anti-NEK9 Polyclonal Antibody, Unconjugated(bs-9317R) 1:500, overnight at 4°C, followed by conjugation to the secondary antibody(SP-0023) and DAB(C-0010) staining |
风险提示:丁香通仅作为第三方平台,为商家信息发布提供平台空间。用户咨询产品时请注意保护个人信息及财产安全,合理判断,谨慎选购商品,商家和用户对交易行为负责。对于医疗器械类产品,请先查证核实企业经营资质和医疗器械产品注册证情况。
文献和实验的研究已经成为蛋白质科学的热点之一。 磷酸化多肽(主要指肽链中的酪氨酸、丝氨酸和苏氨酸残基的侧链羟基被磷酸化生成酸式磷酸酯的修饰多肽)是研究蛋白质磷酸化过程的必不可少的工具,它可作为磷酸酶模型底物,或作为可产生抗磷酸化蛋白抗体的抗原,也可以在确定磷酸化蛋白的物理参数时作为参考化合物等[3]。因此磷酸化多肽的合成在过去的几年中吸引了相当大的兴趣,目前已确定了较为成熟的合成路线,使磷酸化多肽的合成趋于常规。目前磷酸化多肽的合成主要有两个策略:后磷酸化法(Global
。如果你研究的蛋白激酶恰好既不是 AMPK 也不是 AKT,那该怎么办呢?办法还是有的。下面就以当前研究得如火如荼的蛋白激酶 mTORC1 为例。mTORC1 是一类丝氨酸 / 苏氨酸蛋白激酶复合物,在细胞增殖、细胞代谢和细胞自噬等生物学过程中发挥重要的调控作用。关于 mTORC1 的研究虽然火热,但目前市面上并没有可用的针对其底物的泛磷酸化抗体。好在 mTORC1 偏好的底物蛋白序列已经由 David Sabatini 实验室在 2011 年的一篇《Science》论文中予以揭示。David
1. 前言 蛋白质翻译后磷酸化修饰是影响真核细胞每一个细胞内活动过程的最丰富的细胞调节形式。一个蛋白质的磷酸化能引起结构、稳定性、酶活,与其他分子之间相互作用的能力或其亚细胞定位的改变。蛋白激酶催化可逆的蛋白质底物的磷酸化,作用在其丝氨 酸、苏氨酸和酪氨酸残基位点上。如在拟南芥中,丝氨酸/苏氨酸激酶占整个蛋白质组 的 4% [1] ,但对它们的生物学功能还不十分了解。因此,我们需要能开展蛋白激酶全球分析的高通量蛋白质组学方法[ 2,3] 来鉴定下游底物。 用于确定磷酸化共有
技术资料暂无技术资料 索取技术资料











