相关产品推荐更多 >
万千商家帮你免费找货
0 人在求购买到急需产品
- 详细信息
- 文献和实验
- 技术资料
- 供应商:
上海联迈生物工程有限公司
- 库存:
大量
- 目录编号:
LM-8694R
- 克隆性:
多克隆
- 抗原来源:
Rabbit
- 保质期:
1年
- 抗体英文名:
RELL2
- 抗体名:
淋巴组织表达受体蛋白样蛋白2抗体
- 宿主:
Rabbit
- 适应物种:
Human, Mouse, Rat, Dog, Pig, Cow, Horse, Rabbit, Sheep,
- 免疫原:
KLH conjugated synthetic peptide derived from human RELL2:101-200/303
- 亚型:
IgG
- 形态:
Lyophilized or Liquid
- 应用范围:
WB=1:500-2000 ELISA=1:500-1000 IHC-P=1:400-800 IHC-F=1:400-800 ICC=1:100-500 IF=1:100-500 (石蜡切片需做抗原修复)
- 浓度:
1mg/ml
- 保存条件:
Store at -20 °C
- 规格:
100ul 200ul
| 英文名称 | RELL2 |
| 中文名称 | 淋巴组织表达受体蛋白样蛋白2抗体 |
| 别 名 | C5orf16; FLJ90583; Receptor expressed in lymphoid tissues like 2; RELL2; RELL2_HUMAN; RELT like 2; RELT-like protein 2; UNQ9423/PRO34565. |
| 规格价格 | 100ul/1380元 购买 200ul/2200元 购买 大包装/询价 |
| 说 明 书 | 100ul 200ul |
| 研究领域 | 细胞膜受体 淋巴细胞 |
| 抗体来源 | Rabbit |
| 克隆类型 | Polyclonal |
| 交叉反应 | Human, Mouse, Rat, Dog, Pig, Cow, Horse, Rabbit, Sheep, |
| 产品应用 | WB=1:500-2000 ELISA=1:500-1000 IHC-P=1:400-800 IHC-F=1:400-800 ICC=1:100-500 IF=1:100-500 (石蜡切片需做抗原修复) not yet tested in other applications. optimal dilutions/concentrations should be determined by the end user. |
| 分 子 量 | 32kDa |
| 细胞定位 | 细胞膜 |
| 性 状 | Lyophilized or Liquid |
| 浓 度 | 1mg/ml |
| 免 疫 原 | KLH conjugated synthetic peptide derived from human RELL2:101-200/303 |
| 亚 型 | IgG |
| 纯化方法 | affinity purified by Protein A |
| 储 存 液 | Preservative: 15mM Sodium Azide, Constituents: 1% BSA, 0.01M PBS, pH 7.4 |
| 保存条件 | Store at -20 °C for one year. Avoid repeated freeze/thaw cycles. The lyophilized antibody is stable at room temperature for at least one month and for greater than a year when kept at -20°C. When reconstituted in sterile pH 7.4 0.01M PBS or diluent of antibody the antibody is stable for at least two weeks at 2-4 °C. |
| PubMed | PubMed |
| 产品介绍 | Subcellular Location: Cell membrane. Tissue Specificity: Primarily expressed in spleen, thymus, testis, peripheral blood leukocytes, brain and placenta. Not detected in prostate, ovary, small intestine, colon, heart, lung, liver, skeletal muscle, kidney and pancreas. Post-translational modifications: Phosphorylated in vitro by OXSR1. Similarity: Belongs to the RELT family. SWISS: Q8NC24 Gene ID: 285613 Database links: Entrez Gene: 285613 Human Entrez Gene: 225392 Mouse Omim: 611213 Human SwissProt: Q8NC24 Human SwissProt: Q8BRJ3 Mouse Unigene: 120094 Human Unigene: 233516 Mouse Important Note: This product as supplied is intended for research use only, not for use in human, therapeutic or diagnostic applications. |
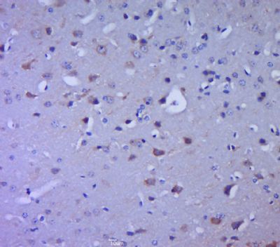
| 产品图片 | ![]() Paraformaldehyde-fixed, paraffin embedded (mouse brain tissue); Antigen retrieval by boiling in sodium citrate buffer (pH6.0) for 15min; Block endogenous peroxidase by 3% hydrogen peroxide for 20 minutes; Blocking buffer (normal goat serum) at 37°C for 30min; Antibody incubation with (RELL2) Polyclonal Antibody, Unconjugated (bs-8694R) at 1:400 overnight at 4°C, followed by a conjugated secondary (sp-0023) for 20 minutes and DAB staining. |
风险提示:丁香通仅作为第三方平台,为商家信息发布提供平台空间。用户咨询产品时请注意保护个人信息及财产安全,合理判断,谨慎选购商品,商家和用户对交易行为负责。对于医疗器械类产品,请先查证核实企业经营资质和医疗器械产品注册证情况。
文献和实验趁年轻,动起来:Nature 报道运动促进骨髓产生免疫细胞,但这种能力随年龄增长而消失
niche)。而 HSPCs 又负责生产血细胞系,包括免疫细胞 [3]。 在小鼠中,一些间质祖细胞产生一种被称为干细胞因子(stem cell factor,SCF)的信号分子,对 HSPCs 维持起到关键作用 [4]。这些细胞同时表达一种细胞表面蛋白,瘦素受体蛋白(Leptin Receptor,LepR)。这群 LepR+ 细胞在包括两种类型的血管、小动脉和血窦等完全不同的位置都有存留。然而,LepR+ 细胞群是由多种基质祖细胞组成的混合细胞群,哪些细胞是真正在维持 HSPC 微环境中起作用
为多价配位体与细胞膜上的复数受体的蛋白质分子结合,在细胞的一端聚集所成的帽状覆盖物。例如对给与淋巴细胞以荧光色素所标记的抗体时,在细胞膜上抗原和抗体同样进行结合,这种结合物聚集成小块(patch),不久便集中一处形成帽( cap)。随后结合物通过内吞作用( endocytosis)被纳入细胞中。在细胞膜内受体蛋白质的移动是依赖于膜的流动性(参见流动嵌合模型),但可受低温阻碍。
10%左右),慢性丙型肝炎患者中约 2%~10%也可检测到抗LKM-1抗体,AIH中抗LKM-1抗体阳性患者,较多具有典型的自身免疫现象,大多为青年女性,自身抗体滴度较高,血清免疫球蛋白显著增高,病情比较严重,对激素治疗反应好,欧美地区多见;HCV感染伴有抗LKM-1抗体阳性患者,大多年龄较大,女性并不多见,自身抗体滴度较低,血清免疫球蛋白不高,病情为慢性肝炎表现,对干扰素治疗有反应,地中海地区多见。 抗LKM-2抗体仅见于应用药物替尼酸治疗后诱发
技术资料暂无技术资料 索取技术资料











