相关产品推荐更多 >
万千商家帮你免费找货
0 人在求购买到急需产品
- 详细信息
- 文献和实验
- 技术资料
- 供应商:
上海联迈生物工程有限公司
- 库存:
大量
- 目录编号:
LM-9251R
- 克隆性:
多克隆
- 抗原来源:
Rabbit
- 保质期:
1年
- 抗体英文名:
RNF128
- 抗体名:
环指蛋白128抗体
- 宿主:
Rabbit
- 适应物种:
Human, Mouse, Rat, Chicken, Dog, Pig, Cow, Zebrafish,
- 免疫原:
KLH conjugated synthetic peptide derived from human RNF128:151-260/428
- 亚型:
IgG
- 形态:
Lyophilized or Liquid
- 应用范围:
WB=1:500-2000 ELISA=1:500-1000 IHC-P=1:400-800 IHC-F=1:400-800 IF=1:50-200 (石蜡切片需做抗原修复)
- 浓度:
1mg/ml
- 保存条件:
Store at -20 °C
- 规格:
100ul 200ul
| 英文名称 | RNF128 |
| 中文名称 | 环指蛋白128抗体 |
| 别 名 | E3 ubiquitin protein ligase RNF128; E3 ubiquitin-protein ligase RNF128; FLJ23516; Gene related to anergy in lymphocytes protein; GRAIL; ring finger protein 128; RN128_HUMAN; RNF128. |
| 规格价格 | 100ul/1380元 购买 200ul/2200元 购买 大包装/询价 |
| 说 明 书 | 100ul 200ul |
| 研究领域 | 细胞生物 免疫学 |
| 抗体来源 | Rabbit |
| 克隆类型 | Polyclonal |
| 交叉反应 | Human, Mouse, Rat, Chicken, Dog, Pig, Cow, Zebrafish, |
| 产品应用 | WB=1:500-2000 ELISA=1:500-1000 IHC-P=1:400-800 IHC-F=1:400-800 IF=1:50-200 (石蜡切片需做抗原修复) not yet tested in other applications. optimal dilutions/concentrations should be determined by the end user. |
| 分 子 量 | 43kDa |
| 细胞定位 | 细胞浆 |
| 性 状 | Lyophilized or Liquid |
| 浓 度 | 1mg/ml |
| 免 疫 原 | KLH conjugated synthetic peptide derived from human RNF128:151-260/428 |
| 亚 型 | IgG |
| 纯化方法 | affinity purified by Protein A |
| 储 存 液 | 0.01M TBS(pH7.4) with 1% BSA, 0.03% Proclin300 and 50% Glycerol. |
| 保存条件 | Store at -20 °C for one year. Avoid repeated freeze/thaw cycles. The lyophilized antibody is stable at room temperature for at least one month and for greater than a year when kept at -20°C. When reconstituted in sterile pH 7.4 0.01M PBS or diluent of antibody the antibody is stable for at least two weeks at 2-4 °C. |
| PubMed | PubMed |
| 产品介绍 | background: The protein encoded by this gene is a type I transmembrane protein that localizes to the endocytic pathway. This protein contains a RING zinc-finger motif and has been shown to possess E3 ubiquitin ligase activity. Expression of this gene in retrovirally transduced T cell hybridoma significantly inhibits activation-induced IL2 and IL4 cytokine production. Induced expression of this gene was observed in anergic CD4(+) T cells, which suggested a role in the induction of anergic phenotype. Alternatively spliced transcript variants encoding distinct isoforms have been reported. [provided by RefSeq, Jul 2008]. Function: E3 ubiquitin-protein ligase that catalyzes polyubiquitin chains. Functions as an inhibitor of cytokine gene transcription. Inhibits IL2 and IL4 transcription and this activity is likely to be mediated by E3 ligase activity. Plays an important role in the induction of the anergic phenotype. Functions in the patterning of the dorsal ectoderm; sensitizes ectoderm to respond to neural-inducing signals. Subcellular Location: Endomembrane system; Single-pass membrane protein. Cytoplasm, perinuclear region. Note=Localized in an asymmetric perinuclear punctuate manner. Localizes to the internal pool of the transferrin recycling endosomal pathway. Partially colocalized with the endoplasmic reticulum resident HSPA5, with Golgi resident STX5, and with the late endosomal GTPase RAB7A. Post-translational modifications: Auto-ubiquitinated. Controls the development of T-cell clonal anergy by ubiquitination. Similarity: Contains 1 PA (protease associated) domain. Contains 1 RING-type zinc finger. SWISS: Q8TEB7 Gene ID: 79589 Database links: Entrez Gene: 79589 Human Entrez Gene: 66889 Mouse Entrez Gene: 315911 Rat Omim: 300439 Human SwissProt: Q8TEB7 Human SwissProt: Q9D304 Mouse Unigene: 496542 Human Unigene: 27764 Mouse Important Note: This product as supplied is intended for research use only, not for use in human, therapeutic or diagnostic applications. |
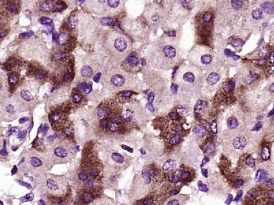
| 产品图片 | ![]() Sample: 293T(Human) Cell Lysate at 30 ug Primary: Anti- RNF128 (bs-9251R) at 1/1000 dilution Secondary: IRDye800CW Goat Anti-Rabbit IgG at 1/20000 dilution Predicted band size: 43 kD Observed band size: 61kD ![]() Paraformaldehyde-fixed, paraffin embedded (Mouse stomach); Antigen retrieval by boiling in sodium citrate buffer (pH6.0) for 15min; Block endogenous peroxidase by 3% hydrogen peroxide for 20 minutes; Blocking buffer (normal goat serum) at 37°C for 30min; Antibody incubation with (RNF128) Polyclonal Antibody, Unconjugated (bs-9251R) at 1:400 overnight at 4°C, followed by operating according to SP Kit(Rabbit) (sp-0023) instructionsand DAB staining. ![]() Paraformaldehyde-fixed, paraffin embedded (Rat brain); Antigen retrieval by boiling in sodium citrate buffer (pH6.0) for 15min; Block endogenous peroxidase by 3% hydrogen peroxide for 20 minutes; Blocking buffer (normal goat serum) at 37°C for 30min; Antibody incubation with (RNF128) Polyclonal Antibody, Unconjugated (bs-9251R) at 1:400 overnight at 4°C, followed by operating according to SP Kit(Rabbit) (sp-0023) instructionsand DAB staining. ![]() Paraformaldehyde-fixed, paraffin embedded (Mouse brain); Antigen retrieval by boiling in sodium citrate buffer (pH6.0) for 15min; Block endogenous peroxidase by 3% hydrogen peroxide for 20 minutes; Blocking buffer (normal goat serum) at 37°C for 30min; Antibody incubation with (RNF128) Polyclonal Antibody, Unconjugated (bs-9251R) at 1:400 overnight at 4°C, followed by operating according to SP Kit(Rabbit) (sp-0023) instructionsand DAB staining. ![]() Tissue/cell: HepG2 cell; 4% Paraformaldehyde-fixed; Triton X-100 at room temperature for 20 min; Blocking buffer (normal goat serum, C-0005) at 37°C for 20 min; Antibody incubation with (RNF128) Polyclonal Antibody, Unconjugated (bs-9251R) 1:200, 90 minutes at 37°C; followed by a conjugated Goat Anti-Rabbit IgG antibody (bs-0295G-FITC) at 37°C for 90 minutes, DAPI (5ug/ml, blue, C-0033) was used to stain the cell nuclei. |
风险提示:丁香通仅作为第三方平台,为商家信息发布提供平台空间。用户咨询产品时请注意保护个人信息及财产安全,合理判断,谨慎选购商品,商家和用户对交易行为负责。对于医疗器械类产品,请先查证核实企业经营资质和医疗器械产品注册证情况。
文献和实验检验技士考试辅导 何为效价和滴度2011 经常看到有“效价”和“滴度”这样的术语,在其他用免疫学方法进行的实验中也有同样的报告方式。这些是免疫学实验中表达实验结果的方式,效价和滴度的含义是一致的,是一个抗原与最适稀释度的抗体进行正常抗原抗体反映的比例。用通俗的方法来说,它表示患者血清中能与特定抗原结合的抗体的量为多少。 例如血清滴度1:128为阳性,表示将患者血清稀释到128倍后仍能与抗原结合,出现阳性结果,表明患者血清中抗体的含量较高。 在免疫学实验中,效价
胡忠义 靳安佳 殷扣福 王惠峰 关键词 肺结核;抗结核菌抗体;免疫色谱层析法;斑点免疫金渗滤法;酶联免疫吸附试验 用进口免疫色谱层析抗结核菌抗体测试卡(ICT-TB卡)对128例肺结核病人血清和103份对照血清进行测试,并与国产免疫金渗滤法(DIGFA)和38 kD抗原酶联免疫试剂(ELISA)进行比较。 1 材料
对照的作用是: 1. 调节仪器电压:用于确定细胞的基础信号水平(即自发荧光),帮助将仪器各通道的电压设置在合理范围,避免信号"压线"; 2. 界定阴性细胞群:在FSC/SSC散点图上圈定目标细胞群,并作为后续判断阳性的基础参照。 Section 02 — 补偿(单染)对照 在多色流式实验中,由于不同荧光染料的发射光谱会重叠,必须进行荧光补偿校准,这就需要单染对照。单染对照即分别只染一种抗体的样本,有多少色的流式抗体就要做多少个单染对照。单染对照作用是: .用于计算每个荧光染料渗漏到其他通道
技术资料暂无技术资料 索取技术资料















