相关产品推荐更多 >
万千商家帮你免费找货
0 人在求购买到急需产品
- 详细信息
- 询价记录
- 文献和实验
- 技术资料
- 供应商:
上海联迈生物工程有限公司
- 库存:
大量
- 目录编号:
LM-8551R
- 克隆性:
多克隆
- 抗原来源:
Rabbit
- 保质期:
1年
- 抗体英文名:
3-Nitrotyrosine
- 抗体名:
硝基酪氨酸抗体
- 宿主:
Rabbit
- 适应物种:
Human, Rat, Nitrotyrosine
- 免疫原:
KLH conjugated to Nitrotyrosine:
- 亚型:
IgG
- 形态:
Lyophilized or Liquid
- 应用范围:
ELISA=1:500-1000 IHC-P=1:400-800 IHC-F=1:400-800 Flow-Cyt=1μg/Test IF=1:50-200 (石蜡切片需做抗原修复)
- 浓度:
1mg/ml
- 保存条件:
Store at -20 °C
- 规格:
100ul
| 英文名称 | 3-Nitrotyrosine |
| 中文名称 | 硝基酪氨酸/硝基化酪氨酸抗体 |
| 别 名 | NO tyrosine; nTyr; Nitrotyrosine; nitro-Tyrosine; nitro Tyrosine. 酪氨酸硝基化; |
![]() |
Specific References (4) | bs-8551R has been referenced in 4 publications. [IF=5.78] Li, Dawei, et al. "Hepatic Hypoxia-Inducible Factors Inhibit PPARα Expression To Exacerbate Acetaminophen induced Oxidative Stress And Hepatotoxicity." Free Radical Biology and Medicine (2017). IHC-P ; Mouse. PubMed:28583670 [IF=2.43] Zhang, Jing-Yao, et al. "Hydrogen-rich water protects against acetaminophen-induced hepatotoxicity in mice." World Journal of Gastroenterology 21.14 (2015): 4195-4209. IHC-P ; Mouse. PubMed:25892869 [IF=4.38] Chen, Yu-Lin, and Wai-Ming Kan. "Down-regulation of superoxide dismutase 1 by PMA is involved in cell fate determination and mediated via protein kinase D2 in myeloid leukemia cells." Biochimica et Biophysica Acta (BBA)-Molecular Cell Research (2015). Human. PubMed:26241492 [IF=3.40] Wang, Lin-Feng, et al. "Tert-butylhydroquinone ameliorates doxorubicin-induced cardiotoxicity by activating Nrf2 and inducing the expression of its target genes." American Journal of Translational Research 7.10 (2015): 1724-1735. IHC-P ; Mouse. PubMed:26692920 |
| 规格价格 | 100ul/1580元 购买 大包装/询价 |
| 说 明 书 | 100ul |
| 产品类型 | 药物与化合物抗体 |
| 研究领域 | 肿瘤 细胞生物 信号转导 Alzheimer's |
| 抗体来源 | Rabbit |
| 克隆类型 | Polyclonal |
| 交叉反应 | Human, Rat, Nitrotyrosine |
| 产品应用 | ELISA=1:500-1000 IHC-P=1:400-800 IHC-F=1:400-800 Flow-Cyt=1μg/Test IF=1:50-200 (石蜡切片需做抗原修复) not yet tested in other applications. optimal dilutions/concentrations should be determined by the end user. |
| 细胞定位 | 细胞浆 |
| 性 状 | Lyophilized or Liquid |
| 浓 度 | 1mg/ml |
| 免 疫 原 | KLH conjugated to Nitrotyrosine: |
| 亚 型 | IgG |
| 纯化方法 | affinity purified by Protein A |
| 储 存 液 | 0.01M TBS(pH7.4) with 1% BSA, 0.03% Proclin300 and 50% Glycerol. |
| 保存条件 | Store at -20 °C for one year. Avoid repeated freeze/thaw cycles. The lyophilized antibody is stable at room temperature for at least one month and for greater than a year when kept at -20°C. When reconstituted in sterile pH 7.4 0.01M PBS or diluent of antibody the antibody is stable for at least two weeks at 2-4 °C. |
| PubMed | PubMed |
| 产品介绍 | background: Nitrotyrosine is a marker for inflammation and nitric oxide (NO) production and is formed in the presence of the active metabolite NO. Because nitrotyrosine is a stable product of multiple pathways, such as the formation of peroxynitrite, its plasma concentration may be a useful determinant of NO-dependent damage in vivo. Nitrotyrosine has been detected in inflammatory processes such as septic shock, rheumatoid arthritis, celiac disease, atherosclerotic plaques and chronic renal failure. Protein tyrosine nitration results in a post-translational modification that is increasingly receiving attention as an important component of nitric oxide signaling. While multiple nonenzymatic mechanisms are known to be capable of producing nitrated tyrosine residues, most tyrosine nitration events involve catalysis by metalloproteins such as myeloperoxidase, eosinophilperoxidase, myoglobin, the cytochrome P-450s, superoxide dismutase and prostacyclin synthase. Various studies have shown that protein tyrosinenitration is limited to specific proteins and that the process is selective. For example, exposure of human surfactant protein A, SP-A, to oxygen-nitrogen intermediates generated by activated alveolar macrophages resulted in specific nitration of SP-A at tyrosines 164 and 166, while addition of 1.2 mMCO 2 resulted in additional nitration at tyrosine 161. The presence of nitrotyrosine-containing proteins has shown high correlation to disease states such as atherosclerosis, Alzheimer’s disease, Parkinson’s disease and amyotrophic lateral sclerosis. Subcellular Location: Cytoplasm. SWISS: N/A CAS: 621-44-3 Important Note: This product as supplied is intended for research use only, not for use in human, therapeutic or diagnostic applications. |
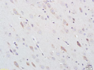
| 产品图片 | ![]() Sample: 8551PB(3-Nitrotyrosine-BSA conjugate Protein ) Primary:Anti-3-Nitrotyrosine (bs-8551R) at 1/300 dilution Secondary: IRDye800CW Goat Anti-Rabbit IgG at 1/20000 dilution ![]() Tissue/cell: rat brain tissue; 4% Paraformaldehyde-fixed and paraffin-embedded; Antigen retrieval: citrate buffer ( 0.01M, pH 6.0 ), Boiling bathing for 15min; Block endogenous peroxidase by 3% Hydrogen peroxide for 30min; Blocking buffer (normal goat serum,C-0005) at 37℃ for 20 min; Incubation: Anti-Nitro tyrosine Polyclonal Antibody, Unconjugated(bs-8551R) 1:500, overnight at 4°C, followed by conjugation to the secondary antibody(SP-0023) and DAB(C-0010) staining ![]() Blank control: Hela(blue), the cells were fixed with 2% paraformaldehyde (10 min) and then permeabilized with ice-cold 90% methanol for 30 min on ice.. Isotype Control Antibody: Rabbit IgG(orange) ; Secondary Antibody: Goat anti-rabbit IgG-FITC(white blue), Dilution: 1:100 in 1 X PBS containing 0.5% BSA ; Primary Antibody Dilution: 1μg in 100 μL1X PBS containing 0.5% BSA(green). |
风险提示:丁香通仅作为第三方平台,为商家信息发布提供平台空间。用户咨询产品时请注意保护个人信息及财产安全,合理判断,谨慎选购商品,商家和用户对交易行为负责。对于医疗器械类产品,请先查证核实企业经营资质和医疗器械产品注册证情况。
- 作者
- 内容
- 询问日期
文献和实验人酪氨酸激酶抗体(MUCK-Ab)酶联免疫分析(ELISA)
人酪氨酸激酶抗体( MUCK-Ab ) 酶联免疫分析(ELISA ) 试剂盒使用说明书 本试剂仅供研究使用 目的:本试剂盒用于检测人血清,血浆及相关液体样本中酪氨酸激酶抗体(MUCK-Ab )水平,感染人的血液学诊断。 实验原理: 本试剂盒采用双抗原夹心酶联免疫法( ELISA )测定标本中人酪氨酸激酶抗体( MUCK-Ab )。用纯化的抗原包被微孔板,制成固相抗原,可与样品中酪氨酸激酶抗体( MUCK
or mass spectrometry.图示:S-亚硝基化 Weste Blot 试剂盒标记和检测 S-亚硝基化的反应。样品首先与 MMTS 反应,封闭 S-亚硝基化蛋白质中的游离巯基。然后用抗坏血酸盐选择性还原 snitroscysteine,并用 Thermo Scientific iodotmt zero 标记试剂进行标记。随后,使用提供的抗 TMT 抗体在免疫印迹中检测 TMT 标记蛋白。5、Methylation:一碳甲基转移至氮或氧(分别为 N-和 O-甲基化)至氨基酸侧链,增加了蛋白质的疏水
反应。几乎所有可用于偶联反应的活泼酯都可用于合成环肽,主要有对硝基酚酯、N-羟基琥珀酰亚胺酯、五氟苯酯和2,4,5-三氯苯酚酯。线性多肽的C端羧基与对硝基酚、N-羟基琥珀酰亚胺、五氟苯酚或2,4,5-三氯苯酚,在DCC或其他缩合剂存在下,于低温反应,很容易得到相应的活泼酯。这种N端通常带有BOC或Z保护的活泼酯在酸性条件下脱去保护基,形成活泼酯的氢卤酸盐,在弱碱性稀溶液中,如在吡啶,DMF或二氧六环一类介电常数较大的溶剂中,保持pH8~9,加热(60~100℃)或室温搅拌数小时至数日,最终可得到环肽
技术资料暂无技术资料 索取技术资料














