相关产品推荐更多 >
万千商家帮你免费找货
0 人在求购买到急需产品
- 详细信息
- 文献和实验
- 技术资料
- 供应商:
上海联迈生物工程有限公司
- 库存:
大量
- 目录编号:
LM-9056R
- 克隆性:
多克隆
- 抗原来源:
Rabbit
- 保质期:
1年
- 抗体英文名:
Dermokine beta
- 抗体名:
Dermokine β蛋白抗体
- 宿主:
Rabbit
- 适应物种:
Human, Rat,
- 免疫原:
KLH conjugated synthetic peptide derived from human Dermokine beta:401-476/476
- 亚型:
IgG
- 形态:
Lyophilized or Liquid
- 应用范围:
ELISA=1:500-1000 IHC-P=1:400-800 IHC-F=1:400-800 IF=1:50-200 (石蜡切片需做抗原修复)
- 浓度:
1mg/ml
- 保存条件:
Store at -20 °C
- 规格:
100ul 200ul
| 英文名称 | Dermokine beta |
| 中文名称 | Dermokine β蛋白抗体 |
| 别 名 | Dermokineβ; Dermokine-β; DMKN;Dermokine beta; Dermokine delta 1; Dermokine delta 5a; Dermokine delta 5b; Dermokine gamma 1; Dermokine gamma 2; UNQ729; ZD52F10 protein; Epidermis-specific secreted protein SK30/SK89; DMKN_HUMAN. |
| 规格价格 | 100ul/1380元 购买 200ul/2200元 购买 大包装/询价 |
| 说 明 书 | 100ul 200ul |
| 研究领域 | 细胞生物 免疫学 |
| 抗体来源 | Rabbit |
| 克隆类型 | Polyclonal |
| 交叉反应 | Human, Rat, |
| 产品应用 | ELISA=1:500-1000 IHC-P=1:400-800 IHC-F=1:400-800 IF=1:50-200 (石蜡切片需做抗原修复) not yet tested in other applications. optimal dilutions/concentrations should be determined by the end user. |
| 分 子 量 | 45kDa |
| 细胞定位 | 分泌型蛋白 |
| 性 状 | Lyophilized or Liquid |
| 浓 度 | 1mg/ml |
| 免 疫 原 | KLH conjugated synthetic peptide derived from human Dermokine beta:401-476/476 |
| 亚 型 | IgG |
| 纯化方法 | affinity purified by Protein A |
| 储 存 液 | 0.01M TBS(pH7.4) with 1% BSA, 0.03% Proclin300 and 50% Glycerol. |
| 保存条件 | Store at -20 °C for one year. Avoid repeated freeze/thaw cycles. The lyophilized antibody is stable at room temperature for at least one month and for greater than a year when kept at -20°C. When reconstituted in sterile pH 7.4 0.01M PBS or diluent of antibody the antibody is stable for at least two weeks at 2-4 °C. |
| PubMed | PubMed |
| 产品介绍 | background: Dermokine, also known as DMKN, ZD52F10 or UNQ729, is a 476 amino acid secreted protein that belongs to the dermokine family and exists as 15 alternatively spliced isoforms, the most notable of which are designated å and ∫. Existing as a homooligomer that can either homodimerize or homotrimerize, Dermokine is expressed in the epidermis, as well as in the epithelia of the lung and small intestine where it is thought to function as a regulator of keratinocyte differentiation, possibly playing a role in inflammatory responses. The gene encoding Dermokine maps to human chromosome 19, which consists of over 63 million bases, houses approximately 1,400 genes and is recognized for having the greatest gene density of the human chromosomes. It is the genetic home for a number of immunoglobulin (Ig) superfamily members, including the killer cell and leukocyte Ig-like receptors, a number of ICAMs, the CEACAM and PSG family and Fc receptors (FcRs). Function: May act as a soluble regulator of keratinocyte differentiation (Potential). Subunit: Homooligomer. Seems to be able to homodimerize and homotrimerize. Subcellular Location: Secreted. Tissue Specificity: Expressed in epidermis; in the spinous and granular layers and in placenta. Also found in the epithelia of the small intestine, macrophages of the lung and endothelial cells of the lung. Isoform 15 is expressed in epidermis and placenta. Isoform 1 is expressed in epidermis. Post-translational modifications: O-glycosylated. Similarity: Belongs to the dermokine family. SWISS: Q6E0U4 Gene ID: 93099 Database links: Entrez Gene: 93099 Human SwissProt: Q6E0U4 Human SwissProt: Q96EW8 Human Unigene: 417795 Human Important Note: This product as supplied is intended for research use only, not for use in human, therapeutic or diagnostic applications. |
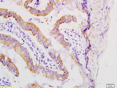
| 产品图片 | ![]() Tissue/cell: rat small intestine tissue; 4% Paraformaldehyde-fixed and paraffin-embedded; Antigen retrieval: citrate buffer ( 0.01M, pH 6.0 ), Boiling bathing for 15min; Block endogenous peroxidase by 3% Hydrogen peroxide for 30min; Blocking buffer (normal goat serum,C-0005) at 37℃ for 20 min; Incubation: Anti-Dermokine beta Polyclonal Antibody, Unconjugated(bs-9056R) 1:200, overnight at 4°C, followed by conjugation to the secondary antibody(SP-0023) and DAB(C-0010) staining |
风险提示:丁香通仅作为第三方平台,为商家信息发布提供平台空间。用户咨询产品时请注意保护个人信息及财产安全,合理判断,谨慎选购商品,商家和用户对交易行为负责。对于医疗器械类产品,请先查证核实企业经营资质和医疗器械产品注册证情况。
文献和实验真爱满行囊 我最近在体外细胞做的关于gsk3-beta功能问题,发现药物处理以后,gsk-3-beta的总表达量下调,如果是这样的话 1、我是否能够得出gsk-3-beta的活性下调的结论? 2、是否还有必要做非活性形式的表达量?我的理解是,基础状态下,gsk-3beta维持的是低活性状态,如果总量都下调了,那应该能够得出活性降低的结论了吧? 3、另外,在这种情况下我是否有必要去做gsk-3-beta的216位点的活性形式的表达
医生和球 看的文献较少,自己知道的只有wnt、PTEN等,请问还有哪些通路与β-catenin有关,有无类似的综述?谢谢! 狐狸renart 只知道wnt chuckdouble The canonical Wnt/beta-catenin signalling pathway. Barker N. Methods Mol Biol. 2008;468:5-15
attenuator 有一个问题一直没有查出相关资料或信息。 就是:β globin 蛋白在血液组织之外的细胞有没有表达,能不能RT检测出transcripts或western检测出protein。 为了这个去重复实验,条件不允许,但前人肯定有做过的,教科书里没有介绍,只介绍了时间特异性(胚胎到成体),没有介绍组织特异性——除了造血组织(或成红祖细胞)之外,在其他组织里,β globin是不是就沉默了,它那一簇基因是不是从它LCR
技术资料暂无技术资料 索取技术资料











