相关产品推荐更多 >
万千商家帮你免费找货
0 人在求购买到急需产品
- 详细信息
- 文献和实验
- 技术资料
- 供应商:
上海联迈生物工程有限公司
- 库存:
大量
- 目录编号:
LM-8268R
- 克隆性:
多克隆
- 抗原来源:
Rabbit
- 保质期:
1年
- 抗体英文名:
GIMAP2
- 抗体名:
GTP酶IMAP家族成员2抗体
- 宿主:
Rabbit
- 适应物种:
Human
- 免疫原:
KLH conjugated synthetic peptide derived from human GIMAP2:21-120/337
- 亚型:
IgG
- 形态:
Lyophilized or Liquid
- 应用范围:
ELISA=1:500-1000 IHC-P=1:400-800 IHC-F=1:400-800 ICC=1:100-500 IF=1:100-500 (石蜡切片需做抗原修复)
- 浓度:
1mg/ml
- 保存条件:
Store at -20 °C
- 规格:
100ul 200ul
| 英文名称 | GIMAP2 |
| 中文名称 | GTP酶IMAP家族成员2抗体 |
| 别 名 | GTPase, IMAP family member 2; HIMAP2; IMAP2; Immunity associated protein 2; GIMA2_HUMAN. |
| 规格价格 | 100ul/1380元 购买 200ul/2200元 购买 大包装/询价 |
| 说 明 书 | 100ul 200ul |
| 研究领域 | 细胞生物 免疫学 G蛋白偶联受体 G蛋白信号 |
| 抗体来源 | Rabbit |
| 克隆类型 | Polyclonal |
| 交叉反应 | Human, |
| 产品应用 | ELISA=1:500-1000 IHC-P=1:400-800 IHC-F=1:400-800 ICC=1:100-500 IF=1:100-500 (石蜡切片需做抗原修复) not yet tested in other applications. optimal dilutions/concentrations should be determined by the end user. |
| 分 子 量 | 38kDa |
| 细胞定位 | 细胞浆 细胞膜 |
| 性 状 | Lyophilized or Liquid |
| 浓 度 | 1mg/ml |
| 免 疫 原 | KLH conjugated synthetic peptide derived from human GIMAP2:21-120/337 |
| 亚 型 | IgG |
| 纯化方法 | affinity purified by Protein A |
| 储 存 液 | 0.01M TBS(pH7.4) with 1% BSA, 0.03% Proclin300 and 50% Glycerol. |
| 保存条件 | Store at -20 °C for one year. Avoid repeated freeze/thaw cycles. The lyophilized antibody is stable at room temperature for at least one month and for greater than a year when kept at -20°C. When reconstituted in sterile pH 7.4 0.01M PBS or diluent of antibody the antibody is stable for at least two weeks at 2-4 °C. |
| PubMed | PubMed |
| 产品介绍 | background: The GTPase of the immunity-associated protein (GIMAP) family of proteins include seven members that are expressed by genes residing on human chromosome 7. GIMAP proteins have been implicated in the regulation of lymphomyeloid cell survival. GIMAP2 (GTPase IMAP family member 2), also known as IMAP2 (immunity-associated protein 2) or HIMAP2, is a 337 amino acid multi-pass membrane protein that is encoded by a gene located on human chromosome 7. Chromosome 7 houses over 1,000 genes and comprises nearly 5% of the human genome. Chromosome 7 has been linked to Osteogenesis imperfecta, Pendred syndrome, Lissencephaly, Citrullinemia and Shwachman-Diamond syndrome. The deletion of a portion of the q arm of chromosome 7 is associated with Williams-Beuren syndrome, a condition characterized by mild mental retardation, an unusual comfort and friendliness with strangers and an elfin appearance. Function: Monomer in the presence of bound GDP and in the absence of bound nucleotide. Homodimer in the presence of bound GTP. Can form linear oligomers. Subcellular Location: Membrane; Multi-pass membrane protein (Potential). Cytoplasm. Note=Detected on the surface of cytoplasmic lipid droplets. Similarity: Belongs to the IAN GTP-binding protein family. SWISS: Q9UG22 Gene ID: 26157 Database links: Entrez Gene: 26157 Human Omim: 608085 Human SwissProt: Q9UG22 Human Unigene: 647071 Human Important Note: This product as supplied is intended for research use only, not for use in human, therapeutic or diagnostic applications. |
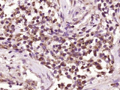
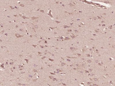
| 产品图片 | ![]() Paraformaldehyde-fixed, paraffin embedded (Human lung cancer); Antigen retrieval by boiling in sodium citrate buffer (pH6.0) for 15min; Block endogenous peroxidase by 3% hydrogen peroxide for 20 minutes; Blocking buffer (normal goat serum) at 37°C for 30min; Antibody incubation with (GIMAP2) Polyclonal Antibody, Unconjugated (bs-8268R) at 1:400 overnight at 4°C, followed by operating according to SP Kit(Rabbit) (sp-0023) instructions and DAB staining. ![]() Paraformaldehyde-fixed, paraffin embedded (Human brain glioma); Antigen retrieval by boiling in sodium citrate buffer (pH6.0) for 15min; Block endogenous peroxidase by 3% hydrogen peroxide for 20 minutes; Blocking buffer (normal goat serum) at 37°C for 30min; Antibody incubation with (GIMAP2) Polyclonal Antibody, Unconjugated (bs-8268R) at 1:400 overnight at 4°C, followed by operating according to SP Kit(Rabbit) (sp-0023) instructionsand DAB staining. ![]() Tissue/cell: HUVEC cell; 4% Paraformaldehyde-fixed; Triton X-100 at room temperature for 20 min; Block endogenous peroxidase by 3% hydrogen peroxide for 20 minutes; Blocking buffer (normal goat serum) at 37°C for 30min; Antibody incubation with (GIMAP2) Polyclonal Antibody, Unconjugated (bs-8268R) at 1:150 overnight at 4°C, followed by operating according to SP Kit(Rabbit) (sp-0023) instructionsand DAB staining. |
风险提示:丁香通仅作为第三方平台,为商家信息发布提供平台空间。用户咨询产品时请注意保护个人信息及财产安全,合理判断,谨慎选购商品,商家和用户对交易行为负责。对于医疗器械类产品,请先查证核实企业经营资质和医疗器械产品注册证情况。
文献和实验膜受体可将其分成非受体型和膜受体型。 1.非受体型 以src基因产物为代表,此外还有Yes、Fyn、Lck、Fgr、Lyn、Fps/Fes及Ab1等。徐后两者外,其余非受体型蛋白酪氨酸激酶src家族分子理约为60kDa的蛋白质,它们之间除了N末端80个氨基酸组成不同外,其作部分都非常相似。 2.受体型 根据它们的结构不同,受体型酪氨酸激酶可以分为9种类型,其中较常见的有4种类型(图8-5)。 (1)表皮生长因子受体(EGFR)家族:EGF-R家族成员包括EGF-R(分子量为170kDa
受体(CD2l、CDl9、CD81)以及CD45分子。这一点,和T细胞识别抗原时发生TCR-CD3、辅助受体(CD4/CD8)和CD45的多聚作用十分相似。多聚化产生两个结果:一是CD45分子胞内段的PTP解除PTKSrc分子C端对PTK分子活性中心的抑制;第二个结果是,受体相关性蛋白酪氨酸激酶即Src家族的成员彼此成簇而发生相互磷酸化,SrcPTK因而激活。表10-1表明,B细胞中参与这一重要步骤的Src家族成员有Lyn、Fyn、Blk和Lck,比参与丁细胞激活的Src家族多了两个成员。
MAP 激酶相关途径 1.Ras蛋白与信号转导 原癌基因FaS产物p21ras的参与。p21ras(简称Ras蛋白)分子质量为2lkDa,属鸟苷酸结合蛋白,是小G蛋白家族中的一个重要成员。G蛋白分两类,除了此处的小G蛋白外,另一类为异源三聚体G蛋白(heterotrimerlc G protein)。异源三聚体G蛋白相关受体为七次跨膜型结构,是一个包括100多个成员的大家族(见第五章图5―10)。但只有小G蛋白家族直接参与抗原诱导的T细胞识别信号转导。 Ras蛋白和鸟苷
技术资料暂无技术资料 索取技术资料













