相关产品推荐更多 >
万千商家帮你免费找货
0 人在求购买到急需产品
- 详细信息
- 文献和实验
- 技术资料
- 供应商:
上海联迈生物工程有限公司
- 库存:
大量
- 目录编号:
LM-7746R
- 克隆性:
多克隆
- 抗原来源:
Rabbit
- 保质期:
1年
- 抗体英文名:
DCTN3
- 抗体名:
动力蛋白激活蛋白亚基3抗体
- 宿主:
Rabbit
- 适应物种:
Human, Mouse, Rat, Dog, Pig, Cow, Horse, Rabbit,
- 免疫原:
KLH conjugated synthetic peptide derived from human DCTN3:41-150/186
- 亚型:
IgG
- 形态:
Lyophilized or Liquid
- 应用范围:
WB=1:500-2000 ELISA=1:500-1000 IHC-P=1:400-800 IHC-F=1:400-800 IF=1:100-500 (石蜡切片需做抗原修复)
- 浓度:
1mg/ml
- 保存条件:
Store at -20 °C
- 规格:
100ul 200ul
| 英文名称 | DCTN3 |
| 中文名称 | 动力蛋白激活蛋白亚基3抗体 |
| 别 名 | DCNT22; DCTN 22; DCTN22; Dctn3; DCTN3_HUMAN; dynactin 3 (p22); dynactin 3; dynactin 3 isoform 1; Dynactin complex subunit 22 kDa subunit; dynactin light chain; Dynactin subunit 3; p22. |
| 规格价格 | 100ul/1380元 购买 200ul/2200元 购买 大包装/询价 |
| 说 明 书 | 100ul 200ul |
| 研究领域 | 细胞生物 细胞周期蛋白 细胞分化 细胞骨架 细胞外基质 |
| 抗体来源 | Rabbit |
| 克隆类型 | Polyclonal |
| 交叉反应 | Human, Mouse, Rat, Dog, Pig, Cow, Horse, Rabbit, |
| 产品应用 | WB=1:500-2000 ELISA=1:500-1000 IHC-P=1:400-800 IHC-F=1:400-800 IF=1:100-500 (石蜡切片需做抗原修复) not yet tested in other applications. optimal dilutions/concentrations should be determined by the end user. |
| 分 子 量 | 21kDa |
| 细胞定位 | 细胞核 细胞浆 |
| 性 状 | Lyophilized or Liquid |
| 浓 度 | 1mg/ml |
| 免 疫 原 | KLH conjugated synthetic peptide derived from human DCTN3:41-150/186 |
| 亚 型 | IgG |
| 纯化方法 | affinity purified by Protein A |
| 储 存 液 | 0.01M TBS(pH7.4) with 1% BSA, 0.03% Proclin300 and 50% Glycerol. |
| 保存条件 | Store at -20 °C for one year. Avoid repeated freeze/thaw cycles. The lyophilized antibody is stable at room temperature for at least one month and for greater than a year when kept at -20°C. When reconstituted in sterile pH 7.4 0.01M PBS or diluent of antibody the antibody is stable for at least two weeks at 2-4 °C. |
| PubMed | PubMed |
| 产品介绍 | background: Together with dynein may be involved in spindle assembly and cytokinesis. Tissue specificity:Ubiquitously expressed. Highly expressed in muscle and pancreas and detected at lower levels in brain. Function: ogether with dynein may be involved in spindle assembly and cytokinesis. Subunit: Subunit of dynactin, a multiprotein complex associated with dynein. Subcellular Location: Cytoplasm. Cytoplasm, cytoskeleton, centrosome. Chromosome, centromere, kinetochore. Cytoplasm, cytoskeleton, spindle. Cleavage furrow. Midbody. Note=Localizes to punctate cytoplasmic structures and to the centrosome during interphase, and to kinetochores and to spindle poles throughout mitosis. Colocalizes with dynein to the cleavage furrow and to midbody of dividing cells. Tissue Specificity: Ubiquitously expressed. Highly expressed in muscle and pancreas and detected at lower levels in brain. Similarity: Belongs to the dynactin subunit 3 family. SWISS: O75935 Gene ID: 11258 Database links: Entrez Gene: 11258 Human Entrez Gene: 53598 Mouse Entrez Gene: 362504 Rat Omim: 607387 Human SwissProt: O75935 Human SwissProt: Q9Z0Y1 Mouse Unigene: 511768 Human Unigene: 29025 Mouse Unigene: 2038 Rat Important Note: This product as supplied is intended for research use only, not for use in human, therapeutic or diagnostic applications. |
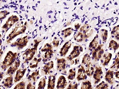
| 产品图片 | ![]() Paraformaldehyde-fixed, paraffin embedded (Mouse brain); Antigen retrieval by boiling in sodium citrate buffer (pH6.0) for 15min; Block endogenous peroxidase by 3% hydrogen peroxide for 20 minutes; Blocking buffer (normal goat serum) at 37°C for 30min; Antibody incubation with (DCTN3) Polyclonal Antibody, Unconjugated (bs-7746R) at 1:400 overnight at 4°C, followed by operating according to SP Kit(Rabbit) (sp-0023) instructionsand DAB staining. ![]() Paraformaldehyde-fixed, paraffin embedded (Rat stomach); Antigen retrieval by boiling in sodium citrate buffer (pH6.0) for 15min; Block endogenous peroxidase by 3% hydrogen peroxide for 20 minutes; Blocking buffer (normal goat serum) at 37°C for 30min; Antibody incubation with (DCTN3) Polyclonal Antibody, Unconjugated (bs-7746R) at 1:400 overnight at 4°C, followed by operating according to SP Kit(Rabbit) (sp-0023) instructionsand DAB staining. |
风险提示:丁香通仅作为第三方平台,为商家信息发布提供平台空间。用户咨询产品时请注意保护个人信息及财产安全,合理判断,谨慎选购商品,商家和用户对交易行为负责。对于医疗器械类产品,请先查证核实企业经营资质和医疗器械产品注册证情况。
文献和实验三句话读懂一篇 CNS,剪接体靶向疗法诱导癌细胞「自杀」,皮炎瘙痒突然加重的机制,免疫调节因子 STING 感知疼痛机制...
在 Nature 杂志上发表研究论文 STING controls nociception via type I interferon signalling in sensory neurons。 该工作证实 STING--I 型信号通路是调节机体感知疼痛的关键因素,或可是缓解及治疗慢性疼痛的靶点之一。首先,研究者向小鼠脊椎内注射 STING 激动剂,结果表明小鼠的运动性能不变,感知疼痛的阈值显著提高。排除机体激活成瘾机制,证明 STING 激动剂能够减弱疼痛感知。 该研究进一步揭开了免疫系统和疼痛关系的神秘
【求助】新手 请问western-blot测NF-KB、FLT3是用总蛋白提取试剂盒吗
的是总蛋白,余见上述 2 IkB相当于把P65捆绑在胞浆,P65活化后IkB虽然与P65解离,但本身并不降解,所以虽然游离的IkB是增加了,但胞浆表达总量并不变化。western要使用SDS变性,蛋白亚基之间是分开的,不能反映在活体细胞二者结合与否,仅能反映量的多少。所以western做IkB,解离还是不解离IkB在胞浆的总量都是一样的,所以是没有变化的。 为人为己,特此更正上面的错误,在下面简单叙述一下: 磷酸化改变的是IkB而非P65,反映转录激活的抗体是识别p65
B 细胞内抗体产生新机制!两篇 Nature 重磅揭示染色质环挤压导致 V(D)J 重组和抗体类别转换重组
)的三种基因片段将 DNA 重新排列起来,以组装编码抗体的基因。这些基因片段的两侧是进化上较为保守的称为重组信号序列(recombination signal sequence, RSSs)的 DNA 序列,V(D)J 重组发生在 RSS 和编码序列之间,由重组酶催化。重组激活基因(recombination-activating gene, RAG)RNG1 和 RNG2 编码的蛋白质是一种核酸内切酶,通过将 D 片段连接到 J 片段来启动 B 细胞前体的 Igh V (D) J 组装,然后再将上游
技术资料暂无技术资料 索取技术资料












