相关产品推荐更多 >
万千商家帮你免费找货
0 人在求购买到急需产品
- 详细信息
- 技术资料
- 供应商:
上海联迈生物工程有限公司
- 库存:
大量
- 目录编号:
LM-6253R
- 克隆性:
多克隆
- 抗原来源:
Rabbit
- 保质期:
1年
- 抗体英文名:
CAMKK2
- 抗体名:
钙调蛋白激酶激酶β抗体
- 宿主:
Rabbit
- 适应物种:
Human, Mouse, Rat, Pig, Cow, Horse, Sheep,
- 免疫原:
KLH conjugated synthetic peptide derived from human CAMKK2:501-588/588
- 亚型:
IgG
- 形态:
Lyophilized or Liquid
- 应用范围:
WB=1:500-2000 IHC-P=1:400-800 IHC-F=1:400-800 Flow-Cyt=1ug/Test (石蜡切片需做抗原修复)
- 浓度:
1mg/ml
- 保存条件:
Store at -20 °C
- 规格:
50ul 100ul 200ul
CAMKK2钙调蛋白激酶激酶β抗体
| 英文名称 | CAMKK2 |
| 中文名称 | 钙调蛋白激酶激酶β抗体 |
| 别 名 | Calcium/calmodulin dependent protein kinase beta; Calcium/calmodulin dependent protein kinase kinase 2; Calcium/calmodulin dependent protein kinase kinase beta; CaM kinase kinase beta; CaM KK beta; CAMKK 2; CAMKK; CaMKK beta; CAMKK beta protein; CAMKKB. |
| 规格价格 | 50ul/780元 购买 100ul/1380元 购买 200ul/2200元 购买 大包装/询价 |
| 说 明 书 | 50ul 100ul 200ul |
| 研究领域 | 肿瘤 信号转导 转录调节因子 激酶和磷酸酶 |
| 抗体来源 | Rabbit |
| 克隆类型 | Polyclonal |
| 交叉反应 | Human, Mouse, Rat, Pig, Cow, Horse, Sheep, |
| 产品应用 | WB=1:500-2000 IHC-P=1:400-800 IHC-F=1:400-800 Flow-Cyt=1ug/Test (石蜡切片需做抗原修复) not yet tested in other applications. optimal dilutions/concentrations should be determined by the end user. |
| 分 子 量 | 55kDa |
| 细胞定位 | 细胞核 |
| 性 状 | Lyophilized or Liquid |
| 浓 度 | 1mg/ml |
| 免 疫 原 | KLH conjugated synthetic peptide derived from human CAMKK2:501-588/588 |
| 亚 型 | IgG |
| 纯化方法 | affinity purified by Protein A |
| 储 存 液 | 0.01M TBS(pH7.4) with 1% BSA, 0.03% Proclin300 and 50% Glycerol. |
| 保存条件 | Store at -20 °C for one year. Avoid repeated freeze/thaw cycles. The lyophilized antibody is stable at room temperature for at least one month and for greater than a year when kept at -20°C. When reconstituted in sterile pH 7.4 0.01M PBS or diluent of antibody the antibody is stable for at least two weeks at 2-4 °C. |
| PubMed | PubMed |
| 产品介绍 | background: The product of this gene belongs to the Serine/Threonine protein kinase family, and to the Ca(2+)/calmodulin-dependent protein kinase subfamily. This protein plays a role in the calcium/calmodulin-dependent (CaM) kinase cascade by phosphorylating the downstream kinases CaMK1 and CaMK4. Seven transcript variants encoding six distinct isoforms have been identified for this gene. Additional splice variants have been described but their full-length nature has not been determined. The identified isoforms exhibit a distinct ability to undergo autophosphorylation and to phosphorylate the downstream kinases. [provided by RefSeq, Jul 2008]. Function: Calcium/calmodulin-dependent protein kinase belonging to a proposed calcium-triggered signaling cascade involved in a number of cellular processes. Isoform 1, isoform 2 and isoform 3 phosphorylate CAMK1 and CAMK4. Isoform 3 phosphorylates CAMK1D. Isoform 4, isoform 5 and isoform 6 lacking part of the calmodulin-binding domain are inactive. Efficiently phosphorylates 5'-AMP-activated protein kinase (AMPK) trimer, including that consisting of PRKAA1, PRKAB1 and PRKAG1. This phosphorylation is stimulated in response to Ca(2+) signals (By similarity). Seems to be involved in hippocampal activation of CREB1 (By similarity). May play a role in neurite growth. Isoform 3 may promote neurite elongation, while isoform 1 may promoter neurite branching. Subunit: Interacts with calmodulin. Subcellular Location: Nucleus. Cytoplasm. Cell projection. Note=Predominantly nuclear in unstimulated cells. Found in the cytoplasm and neurites after forskolin induction. Tissue Specificity: Ubiquitously expressed with higher levels in the brain. Intermediate levels are detected in spleen, prostate, thyroid and leukocytes. The lowest level is in lung. Post-translational modifications: Autophosphorylated and phosphorylated by PKA. Each isoform may show a different pattern of phosphorylation. Similarity: Belongs to the protein kinase superfamily. Ser/Thr protein kinase family. Contains 1 protein kinase domain. SWISS: Q96RR4 Gene ID: 10645 Database links: Entrez Gene: 10645 Human Entrez Gene: 83506 Rat Omim: 615002 Human SwissProt: Q96RR4 Human SwissProt: O88831 Rat Unigene: 297343 Human Unigene: 88589 Rat Important Note: This product as supplied is intended for research use only, not for use in human, therapeutic or diagnostic applications. |
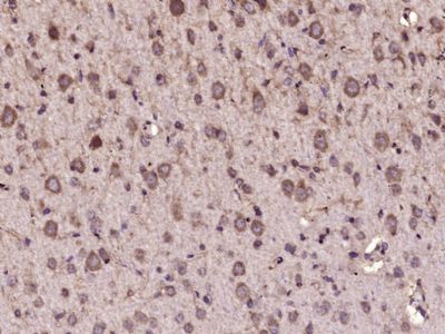
| 产品图片 | ![]() Sample: Cerebral cortex (Mouse) Lysate at 40 ug Cerebral cortex (Rat) Lysate at 40 ug Primary: Anti-CAMKK2 (bs-6253R) at 1/1000 dilution Secondary: IRDye800CW Goat Anti-Rabbit IgG at 1/20000 dilution Predicted band size: 55 kD Observed band size: 55 kD ![]() Sample: Hela Cell (Human) Lysate at 40 ug Primary: Anti-CAMKK2 (bs-6253R) at 1/300 dilution Secondary: IRDye800CW Goat Anti-Rabbit IgG at 1/20000 dilution Predicted band size: 55 kD Observed band size: 55 kD ![]() Paraformaldehyde-fixed, paraffin embedded (Rat brain); Antigen retrieval by microwave in sodium citrate buffer (pH6.0) ; Block endogenous peroxidase by 3% hydrogen peroxide for 30 minutes; Blocking buffer (3% BSA) at RT for 30min; Antibody incubation with (CAMKK2) Polyclonal Antibody, Unconjugated (bs-6253R) at 1:400 overnight at 4°C, followed by conjugation to the secondary antibody (labeled with HRP)and DAB staining. ![]() Molt-4 cells were fixed with 4% PFA for 10min at room temperature,permeabilized with 20% PBST for 20 min at room temperature, and incubated in 5% BSA blocking buffer for 30 min at room temperature. Cells were then stained with CAMKK2 Antibody(bs-6253R)at 1:100 dilution in blocking buffer and incubated for 30 min at room temperature, washed twice with 2%BSA in PBS, followed by secondary antibody incubation for 40 min at room temperature. Acquisitions of 20,000 events were performed. Cells stained with primary antibody (green), and isotype control (orange). ![]() Blank control (Black line): Molt4 (Black). Primary Antibody (green line):Rabbit Anti-CAMKK2 antibody (bs-6253R) Dilution: 1μg /10^6 cells; Isotype Control Antibody (orange line): Rabbit IgG . Secondary Antibody (white blue line): Goat anti-rabbit IgG-AF647 Dilution: 1μg /test. Protocol The cells were fixed with 4% PFA (10min at room temperature)and then permeabilized with PBST for 20 min at room temperature. The cells were then incubated in 5%BSA to block non-specific protein-protein interactions for 30 min at room temperature .Cells stained with Primary Antibody for 30 min at room temperature. The secondary antibody used for 40 min at room temperature. Acquisition of 20,000 events was performed. |
风险提示:丁香通仅作为第三方平台,为商家信息发布提供平台空间。用户咨询产品时请注意保护个人信息及财产安全,合理判断,谨慎选购商品,商家和用户对交易行为负责。对于医疗器械类产品,请先查证核实企业经营资质和医疗器械产品注册证情况。
技术资料暂无技术资料 索取技术资料
CAMKK2钙调蛋白激酶激酶β抗体
¥780 - 2200















