相关产品推荐更多 >
万千商家帮你免费找货
0 人在求购买到急需产品
- 详细信息
- 询价记录
- 文献和实验
- 技术资料
- 供应商:
上海联迈生物工程有限公司
- 库存:
大量
- 目录编号:
LM-7556R
- 克隆性:
多克隆
- 抗原来源:
Rabbit
- 保质期:
1年
- 抗体英文名:
FLAP
- 抗体名:
5脂氧合酶激活蛋白抗体
- 宿主:
Rabbit
- 适应物种:
Human, Mouse, Rat, Pig, Cow, Horse, Rabbit, Sheep,
- 免疫原:
KLH conjugated synthetic peptide derived from human FLAP/5-lipoxygenase activating protein:65-161/161
- 亚型:
IgG
- 形态:
Lyophilized or Liquid
- 应用范围:
WB=1:500-2000 ELISA=1:500-1000 IHC-P=1:400-800 IHC-F=1:400-800 IF=1:100-500 (石蜡切片需做抗原修复)
- 浓度:
1mg/ml
- 保存条件:
Store at -20 °C
- 规格:
100ul 200ul
| 英文名称 | FLAP |
| 中文名称 | 5脂氧合酶激活蛋白抗体 |
| 别 名 | 5-lipoxygenase activating protein; Arachidonate 5 lipoxygenase activating protein; 5-lipoxygenase activating protein; AL5AP_HUMAN; ALOX 5AP; ALOX5 AP; ALOX5AP; Arachidonate 5-lipoxygenase-activating protein; Five lipoxygenase activating protein; FLAP; MK 886 binding protein; MK-886-binding protein. |
| 规格价格 | 100ul/1380元 购买 200ul/2200元 购买 大包装/询价 |
| 说 明 书 | 100ul 200ul |
| 研究领域 | 心血管 细胞生物 免疫学 信号转导 |
| 抗体来源 | Rabbit |
| 克隆类型 | Polyclonal |
| 交叉反应 | Human, Mouse, Rat, Pig, Cow, Horse, Rabbit, Sheep, |
| 产品应用 | WB=1:500-2000 ELISA=1:500-1000 IHC-P=1:400-800 IHC-F=1:400-800 IF=1:100-500 (石蜡切片需做抗原修复) not yet tested in other applications. optimal dilutions/concentrations should be determined by the end user. |
| 分 子 量 | 18kDa |
| 细胞定位 | 细胞核 细胞浆 细胞膜 |
| 性 状 | Lyophilized or Liquid |
| 浓 度 | 1mg/ml |
| 免 疫 原 | KLH conjugated synthetic peptide derived from human FLAP/5-lipoxygenase activating protein:65-161/161 |
| 亚 型 | IgG |
| 纯化方法 | affinity purified by Protein A |
| 储 存 液 | 0.01M TBS(pH7.4) with 1% BSA, 0.03% Proclin300 and 50% Glycerol. |
| 保存条件 | Store at -20 °C for one year. Avoid repeated freeze/thaw cycles. The lyophilized antibody is stable at room temperature for at least one month and for greater than a year when kept at -20°C. When reconstituted in sterile pH 7.4 0.01M PBS or diluent of antibody the antibody is stable for at least two weeks at 2-4 °C. |
| PubMed | PubMed |
| 产品介绍 | background: Required for leukotriene biosynthesis by ALOX5 (5-lipoxygenase). Anchors ALOX5 to the membrane. Binds arachidonic acid, and could play an essential role in the transfer of arachidonic acid to ALOX5. Binds to MK-886, a compound that blocks the biosynthesis of leukotrienes. Involvement in disease: Genetic variations in ALOX5AP may be a cause of susceptibility to ischemic stroke (ISCHSTR) ; also known as cerebrovascular accident or cerebral infarction. A stroke is an acute neurologic event leading to death of neural tissue of the brain and resulting in loss of motor, sensory and/or cognitive function. Ischemic strokes, resulting from vascular occlusion, is considered to be a highly complex disease consisting of a group of heterogeneous disorders with multiple genetic and environmental risk factors. Function: Required for leukotriene biosynthesis by ALOX5 (5-lipoxygenase). Anchors ALOX5 to the membrane. Binds arachidonic acid, and could play an essential role in the transfer of arachidonic acid to ALOX5. Binds to MK-886, a compound that blocks the biosynthesis of leukotrienes. Subunit: Homotrimer. Interacts with LTC4S and ALOX5. Subcellular Location: Nucleus membrane; Multi-pass membrane protein. Endoplasmic reticulum membrane; Multi-pass membrane protein. DISEASE: Genetic variations in ALOX5AP may be a cause of susceptibility to ischemic stroke (ISCHSTR) [MIM:601367]; also known as cerebrovascular accident or cerebral infarction. A stroke is an acute neurologic event leading to death of neural tissue of the brain and resulting in loss of motor, sensory and/or cognitive function. Ischemic strokes, resulting from vascular occlusion, is considered to be a highly complex disease consisting of a group of heterogeneous disorders with multiple genetic and environmental risk factors. Note=Genetic variations in ALOX5AP may be associated with susceptibility to myocardial infarction. Involvement in myocardial infarction is however unclear: according to some authors (PubMed:14770184), a 4-SNP haplotype in ALOX5AP confers risk of myocardial infarction, while according to other (PubMed:17304054) ALOX5AP is not implicated in this condition. Similarity: Belongs to the MAPEG family. SWISS: P20292 Gene ID: 241 Database links: Entrez Gene: 477323 Dog Entrez Gene: 241 Human Omim: 603700 Human SwissProt: Q2PG08 Cynomolgus Monkey SwissProt: P30353 Horse SwissProt: P20292 Human SwissProt: P30354 Macaque Monkey SwissProt: P30357 Rabbit Unigene: 507658 Human Important Note: This product as supplied is intended for research use only, not for use in human, therapeutic or diagnostic applications. |
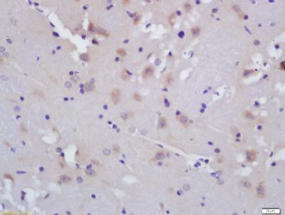
| 产品图片 | ![]() Tissue/cell: rat brain tissue; 4% Paraformaldehyde-fixed and paraffin-embedded; Antigen retrieval: citrate buffer ( 0.01M, pH 6.0 ), Boiling bathing for 15min; Block endogenous peroxidase by 3% Hydrogen peroxide for 30min; Blocking buffer (normal goat serum,C-0005) at 37℃ for 20 min; Incubation: Anti-FLAP Polyclonal Antibody, Unconjugated(bs-7556R) 1:200, overnight at 4°C, followed by conjugation to the secondary antibody(SP-0023) and DAB(C-0010) staining |
风险提示:丁香通仅作为第三方平台,为商家信息发布提供平台空间。用户咨询产品时请注意保护个人信息及财产安全,合理判断,谨慎选购商品,商家和用户对交易行为负责。对于医疗器械类产品,请先查证核实企业经营资质和医疗器械产品注册证情况。
- 作者
- 内容
- 询问日期
文献和实验在低等昆虫的成虫,特别是在雌虫的腹部末端第十一节有三角形的硬片覆盖于中间部位,此片状物称为肛上板。
Invader Assay for SNP Genotyping
to have two regions: a target-specific region that is complementary to the target sequence, and a 5′ arm or flap that is noncomplementary to both the target and the invasive probe sequences. Structure-specific 5′ nucleases (1 ), known as Cleavase enzymes, recognize
-activating protein (FLAP) is essential for leukotriene biosynthesis in response to cellular activation. The crystal structures of human FLAP with two inhibitors were recently determined. Inhibitors are bound within the lipid-exposed portion of FLAP
技术资料暂无技术资料 索取技术资料











