相关产品推荐更多 >
万千商家帮你免费找货
0 人在求购买到急需产品
- 详细信息
- 文献和实验
- 技术资料
- 供应商:
上海联迈生物工程有限公司
- 库存:
大量
- 目录编号:
LM-7738R
- 克隆性:
多克隆
- 抗原来源:
Rabbit
- 保质期:
1年
- 抗体英文名:
Anillin
- 抗体名:
胞环蛋白肌动蛋白结合蛋白抗体
- 宿主:
Rabbit
- 适应物种:
Human, Mouse, Rat, Dog, Cow, Horse, Rabbit,
- 免疫原:
KLH conjugated synthetic peptide derived from human Anillin:501-600/1124
- 亚型:
IgG
- 形态:
Lyophilized or Liquid
- 应用范围:
ELISA=1:500-1000 IHC-P=1:400-800 IHC-F=1:400-800 Flow-Cyt=1ug/test ICC=1:100-500 IF=1:100-500 (石蜡切片需做抗原修复)
- 浓度:
1mg/ml
- 保存条件:
Store at -20 °C
- 规格:
50ul 100ul 200ul
| 英文名称 | Anillin |
| 中文名称 | 胞环蛋白肌动蛋白结合蛋白抗体 |
| 别 名 | Actin binding protein scraps homolog Drosophila; Actin binding protein anillin; Anillin actin binding protein; ANLN; DKFZp779A055; Scra; Scraps; Scraps homolog. |
| 规格价格 | 50ul/780元 购买 100ul/1380元 购买 200ul/2200元 购买 大包装/询价 |
| 说 明 书 | 50ul 100ul 200ul |
| 研究领域 | 细胞生物 细胞周期蛋白 结合蛋白 细胞骨架 |
| 抗体来源 | Rabbit |
| 克隆类型 | Polyclonal |
| 交叉反应 | Human, Mouse, Rat, Dog, Cow, Horse, Rabbit, |
| 产品应用 | ELISA=1:500-1000 IHC-P=1:400-800 IHC-F=1:400-800 Flow-Cyt=1ug/test ICC=1:100-500 IF=1:100-500 (石蜡切片需做抗原修复) not yet tested in other applications. optimal dilutions/concentrations should be determined by the end user. |
| 分 子 量 | 124kDa |
| 细胞定位 | 细胞核 细胞浆 |
| 性 状 | Lyophilized or Liquid |
| 浓 度 | 1mg/ml |
| 免 疫 原 | KLH conjugated synthetic peptide derived from human Anillin:501-600/1124 |
| 亚 型 | IgG |
| 纯化方法 | affinity purified by Protein A |
| 储 存 液 | 0.01M TBS(pH7.4) with 1% BSA, 0.03% Proclin300 and 50% Glycerol. |
| 保存条件 | Store at -20 °C for one year. Avoid repeated freeze/thaw cycles. The lyophilized antibody is stable at room temperature for at least one month and for greater than a year when kept at -20°C. When reconstituted in sterile pH 7.4 0.01M PBS or diluent of antibody the antibody is stable for at least two weeks at 2-4 °C. |
| PubMed | PubMed |
| 产品介绍 | background: Anillin, also known as scraps homolog, is an evolutionarily conserved Actin- binding protein required for cytokinesis that was first identified in Drosophila melanogaster. Anillin is a ubiquitously expressed protein with highest expression levels in the central nervous system. It is predominantly found in the nucleus and it localizes to the cleavage furrow during cytokinesis, forming a ring with the help of Rac GTPase. During cytokinesis, Anillin interacts with CD2AP and functions to concentrate Rho A and maintain the localization of active Myosin. In Anillin knockout cells the cleavage furrow fails to complete ingression. Anillin expression levels fluctuate with the cell cycle, peaking in mitosis. Before the cell exits into G1, Anillin associates with E-cadherin and is ubiquitinated by the anaphase-promoting complex/cyclosome (APC/C). APC/C recognizes the D-box domain at the N-terminal region of Anillin. Anillin is commonly overexpressed in tumors and may serve as a potential biomarker.Anillin is required for cytokinesis. It is essential for the structural integrity of the cleavage furrow and for completion of cleavage furrow ingression. Function: Required for cytokinesis. Essential for the structural integrity of the cleavage furrow and for completion of cleavage furrow ingression. Subunit: Interacts with F-actin. Interacts with CD2AP. May interact with RHOA. Interacts with FZR1/CDH1 during mitotic exit. Subcellular Location: Nucleus. Cytoplasm, cytoskeleton. Cytoplasm, cell cortex. Note=Mainly found in the nucleus during interphase. Colocalizes with cortical F-actin upon nuclear envelope breakdown in mitosis and subsequently concentrates in the area of the prospective contractile ring in anaphase. This pattern persists until telophase, when the protein becomes concentrated in the midbody. Tissue Specificity: Ubiquitously expressed. Present at highest levels in the brain, at high levels in the placenta and testis, at intermediate levels in the intestine, ovary, skeletal muscle and thymus and at lower levels in heart, kidney, liver, lung, pancreas, prostate and spleen. Overexpressed in many tumor types including breast, colorectal, endometrial, hepatic, kidney, lung, ovarian and pancreatic tumors. Post-translational modifications: Phosphorylated during mitosis. Ubiquitinated, and this requires FZR1/CDH1. Similarity: Contains 1 PH domain. SWISS: Q9NQW6 Gene ID: 54443 Important Note: This product as supplied is intended for research use only, not for use in human, therapeutic or diagnostic applications. |
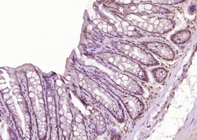
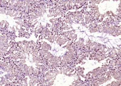
| 产品图片 | ![]() Paraformaldehyde-fixed, paraffin embedded (Mouse colon); Antigen retrieval by boiling in sodium citrate buffer (pH6.0) for 15min; Block endogenous peroxidase by 3% hydrogen peroxide for 20 minutes; Blocking buffer (normal goat serum) at 37°C for 30min; Antibody incubation with (Anillin) Polyclonal Antibody, Unconjugated (bs-7738R) at 1:400 overnight at 4°C, followed by operating according to SP Kit(Rabbit) (sp-0023) instructionsand DAB staining. ![]() Paraformaldehyde-fixed, paraffin embedded (Mouse testis); Antigen retrieval by boiling in sodium citrate buffer (pH6.0) for 15min; Block endogenous peroxidase by 3% hydrogen peroxide for 20 minutes; Blocking buffer (normal goat serum) at 37°C for 30min; Antibody incubation with (Anillin) Polyclonal Antibody, Unconjugated (bs-7738R) at 1:400 overnight at 4°C, followed by operating according to SP Kit(Rabbit) (sp-0023) instructionsand DAB staining. ![]() Tissue/cell: human placenta tissue; 4% Paraformaldehyde-fixed and paraffin-embedded; Antigen retrieval: citrate buffer ( 0.01M, pH 6.0 ), Boiling bathing for 15min; Block endogenous peroxidase by 3% Hydrogen peroxide for 30min; Blocking buffer (normal goat serum,C-0005) at 37℃ for 20 min; Incubation: Anti-Anillin Polyclonal Antibody, Unconjugated(bs-7738R) 1:200, overnight at 4°C, followed by conjugation to the secondary antibody(SP-0023) and DAB(C-0010) staining ![]() Blank control:A431. Primary Antibody (green line): Rabbit Anti-Anillin antibody (bs-7738R) Dilution: 1μg /10^6 cells; Isotype Control Antibody (orange line): Rabbit IgG . Secondary Antibody : Goat anti-rabbit IgG-AF647 Dilution: 1μg /test. Protocol The cells were fixed with 4% PFA (10min at room temperature)and then permeabilized with 90% ice-cold methanol for 20 min at-20℃. The cells were then incubated in 5%BSA to block non-specific protein-protein interactions for 30 min at at room temperature .Cells stained with Primary Antibody for 30 min at room temperature. The secondary antibody used for 40 min at room temperature. Acquisition of 20,000 events was performed. |
风险提示:丁香通仅作为第三方平台,为商家信息发布提供平台空间。用户咨询产品时请注意保护个人信息及财产安全,合理判断,谨慎选购商品,商家和用户对交易行为负责。对于医疗器械类产品,请先查证核实企业经营资质和医疗器械产品注册证情况。
文献和实验应力纤维 stress fiber 为存在于分裂间期细胞的纤维结构之一。单层培养的动物细胞,特别在成纤细胞更明显可见,多是沿细胞长轴方向长伸,其末端达至细胞膜。应力纤维进入细胞分裂期则消失。 M. Heidenhain( 1899)在固定的蝾螈胚细胞中发现细胞质性的纤维结构,接着又有在活细胞中存在同样的纤维结构的报道,以后也就把这种纤维结构称为应力纤维。现在,通过电镜观察和用荧光标记的 H-酶解肌球蛋白与纤维的结合的方法以及用肌动蛋白抗体的间接荧光抗体法等,了解到应力纤维主要是由肌动
肌细胞的纯度几乎99%。结论:该方法易行、可靠、在短期内可获得大量高纯度膀胱平滑肌细胞。二、材料及方法 1、试剂及标本成同龄雄性新西兰白兔2只,体重约2.5~3k(购于南京军区南京总医院动物实验中心),一只为正常成年雄性新西兰白兔,一只为膀胱出口不全梗阻8周成年雄性新西兰白兔。DMEM、Ⅱ型胶原酶及α-肌动蛋白抗体(α-actin)购于北京华美公司;胎牛血清购于杭州四季青公司;胰蛋白酶购于南京生兴公司。2、 膀胱平滑肌细胞酶法分离肌注盐酸氯胺酮200mg及氟哌利多5mg麻醉,待兔进入麻醉状态后消毒,下腹
calcium sequestration|集钙(作用) calcyclin|钙(细胞)周边蛋白 calcyphosine|钙磷蛋白[是依赖于cAMP的蛋白激酶的磷酸化底物] caldesmon|钙调(蛋白)结合蛋白[主要见于平滑肌,可与钙调蛋白及肌动蛋白结合] calelectrin|钙电蛋白[最初发现于鳗鱼电器官的一种钙结合蛋白] calf intestinal alkaline phosphatase|(小)牛小肠碱性
技术资料暂无技术资料 索取技术资料














