相关产品推荐更多 >
万千商家帮你免费找货
0 人在求购买到急需产品
- 详细信息
- 文献和实验
- 技术资料
- 供应商:
上海联迈生物工程有限公司
- 库存:
大量
- 目录编号:
LM-6706R
- 克隆性:
多克隆
- 抗原来源:
Rabbit
- 保质期:
1年
- 抗体英文名:
PP2A alpha + beta
- 抗体名:
蛋白质磷酸酶2A (alpha + beta)抗体
- 宿主:
Rabbit
- 适应物种:
Human, Mouse, Rat, Chicken, Pig, Cow, Horse, Rabbit,
- 免疫原:
KLH conjugated synthetic peptide derived from human PP2A beta/PPP2CB:21-120/309
- 亚型:
IgG
- 形态:
Lyophilized or Liquid
- 应用范围:
WB=1:500-2000 ELISA=1:500-1000 IHC-P=1:400-800 IHC-F=1:400-800 IF=1:100-500 (石蜡切片需做抗原修复)
- 浓度:
1mg/ml
- 保存条件:
Store at -20 °C
- 规格:
100ul 200ul
| 英文名称 | PP2A alpha + beta |
| 中文名称 | 蛋白质磷酸酶2A (alpha + beta)抗体 |
| 别 名 | Medium tumour antigen associated 61kDa protein; MGC786; PP2A beta; PP2A PR65 alpha isoform; PP2A-beta; PP2AB_HUMAN; PP2Abeta; PP2CB; Ppp2cb; Protein phosphatase 2 (formerly 2A), catalytic subunit, beta isoform; Protein phosphatase 2 catalytic subunit beta isozyme; Protein phosphatase 2 regulatory subunit A alpha isoform; Protein phosphatase 2, catalytic subunit, beta isoform; Protein phosphatase 2A catalytic subunit beta isoform; Protein phosphatase type 2A catalytic subunit; Serine threonine protein phosphatase 65 kDa; Serine/threonine protein phosphatase 2A catalytic subunit beta; Serine/threonine-protein phosphatase 2A catalytic subunit beta isoform. PP2A β; PP2A-β; PP2Aβ; PP2Aα; PP2A-Cα/β; PP2A-C α/β; PP2A-C α + β; PP2A-C α+β. |
| 规格价格 | 100ul/1380元 购买 200ul/2200元 购买 大包装/询价 |
| 说 明 书 | 100ul 200ul |
| 研究领域 | 细胞生物 信号转导 细胞周期蛋白 激酶和磷酸酶 |
| 抗体来源 | Rabbit |
| 克隆类型 | Polyclonal |
| 交叉反应 | Human, Mouse, Rat, Chicken, Pig, Cow, Horse, Rabbit, |
| 产品应用 | WB=1:500-2000 ELISA=1:500-1000 IHC-P=1:400-800 IHC-F=1:400-800 IF=1:100-500 (石蜡切片需做抗原修复) not yet tested in other applications. optimal dilutions/concentrations should be determined by the end user. |
| 分 子 量 | 36kDa |
| 细胞定位 | 细胞核 细胞浆 |
| 性 状 | Lyophilized or Liquid |
| 浓 度 | 1mg/ml |
| 免 疫 原 | KLH conjugated synthetic peptide derived from human PP2A beta/PPP2CB:21-120/309 |
| 亚 型 | IgG |
| 纯化方法 | affinity purified by Protein A |
| 储 存 液 | 0.01M TBS(pH7.4) with 1% BSA, 0.03% Proclin300 and 50% Glycerol. |
| 保存条件 | Store at -20 °C for one year. Avoid repeated freeze/thaw cycles. The lyophilized antibody is stable at room temperature for at least one month and for greater than a year when kept at -20°C. When reconstituted in sterile pH 7.4 0.01M PBS or diluent of antibody the antibody is stable for at least two weeks at 2-4 °C. |
| PubMed | PubMed |
| 产品介绍 | background: This gene encodes the phosphatase 2A catalytic subunit. Protein phosphatase 2A is one of the four major Ser/Thr phosphatases, and it is implicated in the negative control of cell growth and division. It consists of a common heteromeric core enzyme, which is composed of a catalytic subunit and a constant regulatory subunit, that associates with a variety of regulatory subunits. This gene encodes a beta isoform of the catalytic subunit. [provided by RefSeq, Mar 2010]. Function: PP2A can modulate the activity of phosphorylase B kinase casein kinase 2, mitogen-stimulated S6 kinase, and MAP-2 kinase. Subunit: Found in a complex with at least ARL2, PPP2CB, PPP2R1A, PPP2R2A, PPP2R5E and TBCD. Interacts with TBCD (By similarity). PP2A consists of a common heterodimeric core enzyme (composed of a 36 kDa catalytic subunit (subunit C) and a 65 kDa constant regulatory subunit (PR65) (subunit A)) that associates with a variety of regulatory subunits. Proteins that associate with the core dimer include three families of regulatory subunits B (the R2/B/PR55/B55, R3/B''/PR72/PR130/PR59 and R5/B'/B56 families), the 48 kDa variable regulatory subunit, viral proteins, and cell signaling molecules. Binds PPME1. May indirectly interact with SGOL1, most probably through regulatory B56 subunits. Subcellular Location: Cytoplasm. Nucleus. Chromosome, centromere. Cytoplasm, cytoskeleton, spindle pole. Note=In prometaphase cells, but not in anaphase cells, localizes at centromeres. During mitosis, also found at spindle poles. Post-translational modifications: Reversibly methyl esterified on Leu-309. Carboxyl methylation may play a role in holoenzyme assembly. It varies during the cell cycle. Demethylated by PME1 (in vitro). Phosphorylation of either threonine (by autophosphorylation-activated protein kinase) or tyrosine results in inactivation of the phosphatase. Auto-dephosphorylation has been suggested as a mechanism for reactivation. Similarity: Belongs to the PPP phosphatase family. PP-1 subfamily. SWISS: P62714 Gene ID: 5515 Database links: Entrez Gene: 5515 Human Entrez Gene: 5516 Human Entrez Gene: 19052 Mouse Entrez Gene: 19053 Mouse Entrez Gene: 24672 Rat Entrez Gene: 24673 Rat Omim: 176915 Human Omim: 176916 Human SwissProt: P62714 Human SwissProt: P67775 Human SwissProt: P62715 Mouse SwissProt: P63330 Mouse SwissProt: P62716 Rat SwissProt: P63331 Rat Unigene: 105818 Human Unigene: 491440 Human Unigene: 260288 Mouse Unigene: 288765 Mouse Unigene: 1271 Rat Unigene: 977 Rat Important Note: This product as supplied is intended for research use only, not for use in human, therapeutic or diagnostic applications. |
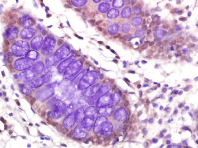
| 产品图片 | ![]() Sample: Testis (Mouse) Lysate at 40 ug Primary: Anti-PP2A beta (bs-6706R) at 1/300 dilution Secondary: IRDye800CW Goat Anti-Rabbit IgG at 1/20000 dilution Predicted band size: 36 kD Observed band size: 40 kD ![]() Sample: Brain (Mouse) Lysate at 40 ug Primary: Anti-PP2A beta (bs-6706R) at 1/300 dilution Secondary: IRDye800CW Goat Anti-Rabbit IgG at 1/20000 dilution Predicted band size: 36 kD Observed band size: 40 kD ![]() Paraformaldehyde-fixed, paraffin embedded (Human colon cancer); Antigen retrieval by boiling in sodium citrate buffer (pH6.0) for 15min; Block endogenous peroxidase by 3% hydrogen peroxide for 20 minutes; Blocking buffer (normal goat serum) at 37°C for 30min; Antibody incubation with (PP2A beta) Polyclonal Antibody, Unconjugated (bs-6706R) at 1:400 overnight at 4°C, followed by operating according to SP Kit(Rabbit) (sp-0023) instructionsand DAB staining. |
风险提示:丁香通仅作为第三方平台,为商家信息发布提供平台空间。用户咨询产品时请注意保护个人信息及财产安全,合理判断,谨慎选购商品,商家和用户对交易行为负责。对于医疗器械类产品,请先查证核实企业经营资质和医疗器械产品注册证情况。
文献和实验motifs located prevalently in the 3′ untranslated regions of target messenger RNAs (mRNA). Interferon-alpha-2a (IFNα) induces a large set of protein coding genes mediating antiproliferative and antiviral responses. Here we use a global microarray-based
物,于薄膜一端加微量血清,膜两端连接于缓冲液。血清蛋白质的等电点均低于 pH7.0 ,电泳时常采用 pH8.6 的缓冲液,因此,各种蛋白质皆带负电荷,在电场中向正极移动,因泳动速度不同而被分离。醋酸纤维素薄膜电泳可把血清蛋白质分离为清蛋白 A 、 α1 、 α2 、 β 和 γ - 球蛋白,将蛋白质染色后,可按染色区带位置进行定性观察,也可对各条色带进行定量测定。 【 器材和试剂】 1. 器材 电泳仪、醋酸纤维素薄膜( 2.5 cm
/ampoule 重组人干扰素α 2a(rHuIFN-alpha2(alpha-A)) 冻干粉 63,000IU/ampoule 第八页 重组人干扰素α 2b (rHuIFN-alpha2(alpha-2b)) 冻干粉 70,000IU/ampoule 重组人干扰素β ser - 17 (rHuIFN-beta (ser-17)) 冻干粉 6,000IU/ampoule 人成纤维细胞干扰素β(HuIFN-beta) 冻干粉 4,000IU/ampoule 重组人干扰素γ冻干粉 标准品 80,000
技术资料暂无技术资料 索取技术资料













