相关产品推荐更多 >
万千商家帮你免费找货
0 人在求购买到急需产品
- 详细信息
- 文献和实验
- 技术资料
- 供应商:
上海联迈生物工程有限公司
- 库存:
大量
- 目录编号:
LM-0029R
- 克隆性:
多克隆
- 抗原来源:
Rabbit
- 保质期:
1年
- 抗体英文名:
PP2A alpha + beta
- 抗体名:
蛋白质磷酸酶-2A抗体
- 宿主:
Rabbit
- 适应物种:
Human, Mouse, Rat, Chicken, Dog, Pig, Cow, Rabbit,
- 免疫原:
KLH conjugated synthetic peptide derived from human PP-2A C-terminus:205-309/309
- 亚型:
IgG
- 形态:
Lyophilized or Liquid
- 应用范围:
WB=1:500-2000 ELISA=1:500-1000 IHC-P=1:400-800 IHC-F=1:400-800 Flow-Cyt=1ug/Test IF=1:100-500 (石蜡切片需做抗原修复)
- 浓度:
1mg/ml
- 保存条件:
Store at -20 °C
- 规格:
50ul 100ul 200ul
| 英文名称 | PP2A alpha + beta |
| 中文名称 | 蛋白质磷酸酶-2A抗体 |
| 别 名 | PP2A; PP2A alpha; PP-2A; PP2A C; PP2Ac; PP2CA; PPP2CA; PP2Calpha; RP-C; Protein phosphatase 2, catalytic subunit, alpha isoform; Replication protein C; RP C; PP2AA_HUMAN. PP2A-Cα/β; PP2A-C α/β; PP2A-C α + β; PP2A-C α+β. |
![]() |
Specific References (2) | bs-0029R has been referenced in 2 publications.
[IF=3.70] Lin, Lai-xiang, et al. "Feasibility of β-Sheet Breaker Peptide-H102 Treatment for Alzheimers Disease Based on β-Amyloid Hypothesis." PLoS one 9.11 (2014): e112052. IHC-P ; Mouse.
PubMed:25372040
[IF=3.33] Zhao, Hai-hua, et al. "Involvement of GSK3 and PP2A in ginsenoside Rb1's attenuation of aluminum-induced tau hyperphosphorylation." Behavioural Brain Research (2012). WB, IHC-P ; Mouse.
PubMed:23219964
|
| 规格价格 | 50ul/780元 购买 100ul/1380元 购买 200ul/2200元 购买 大包装/询价 |
| 说 明 书 | 50ul 100ul 200ul |
| 研究领域 | 细胞生物 免疫学 信号转导 细胞周期蛋白 激酶和磷酸酶 |
| 抗体来源 | Rabbit |
| 克隆类型 | Polyclonal |
| 交叉反应 | Human, Mouse, Rat, Chicken, Dog, Pig, Cow, Rabbit, |
| 产品应用 | WB=1:500-2000 ELISA=1:500-1000 IHC-P=1:400-800 IHC-F=1:400-800 Flow-Cyt=1ug/Test IF=1:100-500 (石蜡切片需做抗原修复) not yet tested in other applications. optimal dilutions/concentrations should be determined by the end user. |
| 分 子 量 | 34kDa |
| 细胞定位 | 细胞核 细胞浆 |
| 性 状 | Lyophilized or Liquid |
| 浓 度 | 1mg/ml |
| 免 疫 原 | KLH conjugated synthetic peptide derived from human PP-2A C-terminus:205-309/309 |
| 亚 型 | IgG |
| 纯化方法 | affinity purified by Protein A |
| 储 存 液 | 0.01M TBS(pH7.4) with 1% BSA, 0.03% Proclin300 and 50% Glycerol. |
| 保存条件 | Store at -20 °C for one year. Avoid repeated freeze/thaw cycles. The lyophilized antibody is stable at room temperature for at least one month and for greater than a year when kept at -20°C. When reconstituted in sterile pH 7.4 0.01M PBS or diluent of antibody the antibody is stable for at least two weeks at 2-4 °C. |
| PubMed | PubMed |
| 产品介绍 | background: This gene encodes the phosphatase 2A catalytic subunit. Protein phosphatase 2A is one of the four major Ser/Thr phosphatases, and it is implicated in the negative control of cell growth and division. It consists of a common heteromeric core enzyme, which is composed of a catalytic subunit and a constant regulatory subunit, that associates with a variety of regulatory subunits. This gene encodes an alpha isoform of the catalytic subunit. [provided by RefSeq, Jul 2008]. This antibody is crosed with PP-2A subunit A,B. Function: PP2A can modulate the activity of phosphorylase B kinase casein kinase 2, mitogen-stimulated S6 kinase, and MAP-2 kinase. Cooperates with SGOL2 to protect centromeric cohesin from separase-mediated cleavage in oocytes specifically during meiosis I (By similarity). Can dephosphorylate SV40 large T antigen and p53/TP53. Dephosphorylates SV40 large T antigen, preferentially on serine residues 120, 123, 677, and perhaps 679. The C subunit was most active, followed by the AC form, which was more active than the ABC form, and activity of all three forms was strongly stimulated by manganese, and to a lesser extent by magnesium. Dephosphorylation by the AC form, but not C or ABC form is inhibited by small T antigen. Activates RAF1 by dephosphorylating it at 'Ser-259'. Subunit: PP2A consists of a common heterodimeric core enzyme, composed of PPP2CA a 36 kDa catalytic subunit (subunit C) and PPP2R1A a 65 kDa constant regulatory subunit (PR65 or subunit A), that associates with a variety of regulatory subunits. Proteins that associate with the core dimer include three families of regulatory subunits B (the R2/B/PR55/B55, R3/B''/PR72/PR130/PR59 and R5/B'/B56 families), the 48 kDa variable regulatory subunit, viral proteins, and cell signaling molecules. Interacts with NXN; the interaction is direct (By similarity). Interacts with TP53, SGOL1 and SGOL2. Interacts with AXIN1; the interaction dephosphorylates AXIN1. Interacts with PIM3; this interaction promotes dephosphorylation, ubiquitination and proteasomal degradation of PIM3. Interacts with RAF1. Subcellular Location: Cytoplasm. Nucleus. Chromosome, centromere. Cytoplasm, cytoskeleton, spindle pole. Note=In prometaphase cells, but not in anaphase cells, localizes at centromeres. During mitosis, also found at spindle poles. Centromeric localization requires the presence of SGOL2 (By similarity). Post-translational modifications: Reversibly methyl esterified on Leu-309. Carboxyl methylation may play a role in holoenzyme assembly, enhancing the affinity of the PP2A core enzyme for some, but not all, regulatory subunits. It varies during the cell cycle. Phosphorylation of either threonine (by autophosphorylation-activated protein kinase) or tyrosine results in inactivation of the phosphatase. Auto-dephosphorylation has been suggested as a mechanism for reactivation. Similarity: Belongs to the PPP phosphatase family. PP-1 subfamily. SWISS: P67775 Gene ID: 5515 Database links: Entrez Gene: 416318 Chicken Entrez Gene: 282320 Cow Entrez Gene: 5515 Human Entrez Gene: 19052 Mouse Entrez Gene: 397656 Pig Entrez Gene: 100009252 Rabbit Entrez Gene: 24672 Rat Omim: 176915 Human SwissProt: P48463 Chicken SwissProt: P67774 Cow SwissProt: P67775 Human SwissProt: P63330 Mouse SwissProt: P67776 Pig SwissProt: P67777 Rabbit SwissProt: P63331 Rat Unigene: 105818 Human Unigene: 260288 Mouse Unigene: 1271 Rat Important Note: This product as supplied is intended for research use only, not for use in human, therapeutic or diagnostic applications. 激酶和磷酸酶(Kinases and Phosphatases) PP-2A (protein phosphatase 2A catalytic subunit;PP2A alpha;)参与酵母细胞及两栖类卵母细胞有丝分裂的蛋白丝/苏氨酸磷酸酶。 此酶的表达与细胞周期调节有关。此抗体与PP-2A subunit A,B,C 均有交叉反应。 |
| 产品图片 |
Sample:
Liver (Mouse) Lysate at 30 ug Kidney (Mouse) Lysate at 30 ug Muscle (Mouse) Lysate at 30 ug Primary: Anti- PP2A alpha + beta (bs-0029R) at 1/300 dilution Secondary: IRDye800CW Goat Anti-Rabbit IgG at 1/20000 dilution Predicted band size: 34 kD Observed band size: 34 kD
Sample:
A549 Cell (Human) Lysate at 30 ug Primary: Anti-PP2A alpha + beta (Bs- 0029R) at 1/300 dilution Secondary: IRDye800CW Goat Anti-Rabbit IgG at 1/20000 dilution Predicted band size: 34 kD Observed band size: 34 kD
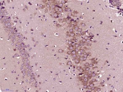
Paraformaldehyde-fixed, paraffin embedded (Mouse brain); Antigen retrieval by boiling in sodium citrate buffer (pH6.0) for 15min; Block endogenous peroxidase by 3% hydrogen peroxide for 20 minutes; Blocking buffer (normal goat serum) at 37°C for 30min; Antibody incubation with (PP2A alpha + beta) Polyclonal Antibody, Unconjugated (bs-0029R) at 1:400 overnight at 4°C, followed by operating according to SP Kit(Rabbit) (sp-0023) instructionsand DAB staining.
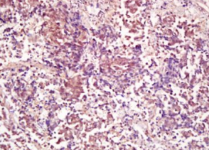
Tissue/cell: human lung carcinoma; 4% Paraformaldehyde-fixed and paraffin-embedded;
Antigen retrieval: citrate buffer ( 0.01M, pH 6.0 ), Boiling bathing for 15min; Block endogenous peroxidase by 3% Hydrogen peroxide for 30min; Blocking buffer (normal goat serum,C-0005) at 37℃ for 20 min; Incubation: Anti-PP2A alpha+beta Polyclonal Antibody, Unconjugated(bs-0029R) 1:200, overnight at 4°C, followed by conjugation to the secondary antibody(SP-0023) and DAB(C-0010) staining
Blank control: A431.
Primary Antibody (green line): Rabbit Anti-PP2A alpha + beta antibody (bs-0029R) Dilution: 1μg /10^6 cells; Isotype Control Antibody (orange line): Rabbit IgG . Secondary Antibody : Goat anti-rabbit IgG-AF647 Dilution: 1μg /test. Protocol The cells were fixed with 4% PFA (10min at room temperature)and then permeabilized with 90% ice-cold methanol for 20 min at-20℃. The cells were then incubated in 5%BSA to block non-specific protein-protein interactions for 30 min at at room temperature .Cells stained with Primary Antibody for 30 min at room temperature. The secondary antibody used for 40 min at room temperature. Acquisition of 20,000 events was performed. |
风险提示:丁香通仅作为第三方平台,为商家信息发布提供平台空间。用户咨询产品时请注意保护个人信息及财产安全,合理判断,谨慎选购商品,商家和用户对交易行为负责。对于医疗器械类产品,请先查证核实企业经营资质和医疗器械产品注册证情况。
文献和实验物,于薄膜一端加微量血清,膜两端连接于缓冲液。血清蛋白质的等电点均低于 pH7.0 ,电泳时常采用 pH8.6 的缓冲液,因此,各种蛋白质皆带负电荷,在电场中向正极移动,因泳动速度不同而被分离。醋酸纤维素薄膜电泳可把血清蛋白质分离为清蛋白 A 、 α1 、 α2 、 β 和 γ - 球蛋白,将蛋白质染色后,可按染色区带位置进行定性观察,也可对各条色带进行定量测定。 【 器材和试剂】 1. 器材 电泳仪、醋酸纤维素薄膜( 2.5 cm
等)得到表达,然后将此细菌培养物涂在含有氨苄青霉素的选择性培养基上。 重组质粒转化宿主细胞后,还需对转化菌落进行筛选鉴定。利用α互补现象进行筛选是最常用的一种鉴定方法。现在使用的许多载体都具有一段大肠杆菌β半乳糖苷酶的启动子及其编码α肽链的DNA序列,此结构称为lacZ’基因。lacZ’基因编码的α肽链是β半乳糖苷酶的氨基端的短片段(146个氨基酸)。宿主和质粒编码的片段都不具有酶活性,但它们可以通过片段互补的机制形成具有功能活性
体的遗传特征筛选重组子,如α-互补、抗生素基因等。现在使用的许多载体都带有一个大肠杆菌的DNA的短区段,其中有β-半乳糖苷酶基因(lacZ)的调控序列和前146个氨基酸的编码信息。在这个编码区中插入了一个多克隆位点(MCS),它并不破坏读框,但可使少数几个氨基酸插入到β-半乳糖苷酶的氨基端而不影响功能,这种载体适用于可编码β-半乳糖苷酶C端部分序列的宿主细胞。因此,宿主和质粒编码的片段虽都没有酶活性,但它们同时存在时,可形成具有酶学活性的蛋白质。这样,lacZ
技术资料暂无技术资料 索取技术资料
















