相关产品推荐更多 >
万千商家帮你免费找货
0 人在求购买到急需产品
- 详细信息
- 文献和实验
- 技术资料
- 供应商:
上海联迈生物工程有限公司
- 库存:
大量
- 目录编号:
LM-6589R
- 克隆性:
多克隆
- 抗原来源:
Rabbit
- 保质期:
1年
- 抗体英文名:
BCAT2
- 抗体名:
支链氨基酸转氨酶2抗体
- 宿主:
Rabbit
- 适应物种:
Human, Mouse, Rat,
- 免疫原:
KLH conjugated synthetic peptide derived from human BCAT2/BCAM:101-200/392
- 亚型:
IgG
- 形态:
Lyophilized or Liquid
- 应用范围:
WB=1:500-2000 ELISA=1:500-1000 IHC-P=1:400-800 IHC-F=1:400-800 IF=1:100-500 (石蜡切片需做抗原修复)
- 浓度:
1mg/ml
- 保存条件:
Store at -20 °C
- 规格:
100ul 200ul
| 英文名称 | BCAT2 |
| 中文名称 | 支链氨基酸转氨酶2抗体 |
| 别 名 | BCAM; BCAT 2; BCATM; BCT2; Branched chain aminotransferase 2, mitochondrial; ECA40; Placental protein 18; PP18. |
| 规格价格 | 100ul/1380元 购买 200ul/2200元 购买 大包装/询价 |
| 说 明 书 | 100ul 200ul |
| 研究领域 | 细胞生物 信号转导 |
| 抗体来源 | Rabbit |
| 克隆类型 | Polyclonal |
| 交叉反应 | Human, Mouse, Rat, |
| 产品应用 | WB=1:500-2000 ELISA=1:500-1000 IHC-P=1:400-800 IHC-F=1:400-800 IF=1:100-500 (石蜡切片需做抗原修复) not yet tested in other applications. optimal dilutions/concentrations should be determined by the end user. |
| 分 子 量 | 41kDa |
| 细胞定位 | 细胞浆 |
| 性 状 | Lyophilized or Liquid |
| 浓 度 | 1mg/ml |
| 免 疫 原 | KLH conjugated synthetic peptide derived from human BCAT2/BCAM:101-200/392 |
| 亚 型 | IgG |
| 纯化方法 | affinity purified by Protein A |
| 储 存 液 | 0.01M TBS(pH7.4) with 1% BSA, 0.03% Proclin300 and 50% Glycerol. |
| 保存条件 | Store at -20 °C for one year. Avoid repeated freeze/thaw cycles. The lyophilized antibody is stable at room temperature for at least one month and for greater than a year when kept at -20°C. When reconstituted in sterile pH 7.4 0.01M PBS or diluent of antibody the antibody is stable for at least two weeks at 2-4 °C. |
| PubMed | PubMed |
| 产品介绍 | background: Class-IV pyridoxal-phosphate-dependent aminotransferase family members ECA39 and BCAT2 are both enzymes that catalyze the first reaction in the catabolism of the essential branched chain amino acids valine, leucine and isoleucine. ECA39, also known as BCAT1 (branched-chain-amino-acid aminotransferase 1, cytosolic) is localized to the cytoplasm where it forms a homodimer. ECA39 is expressed in the brain and kidney during embryogenesis and is overexpressed in c-Myc induced tumors. BCAT2 (branched-chain-amino-acid aminotransferase 2, mitochondrial), also known as placental protein 18 (PP18), is expressed as two isoforms produced by alternative splicing. The first isoform of BCAT2, designated BCAT2A, is expressed in the mitochondrion, while the second isoform, designated BCAT2B, is expressed in the cytoplasm. Ubiquitously expressed, BCAT2 is also thought to act as a transporter of branched chain α-keto acids. Function: Catalyzes the first reaction in the catabolism of the essential branched chain amino acids leucine, isoleucine, and valine. May also function as a transporter of branched chain alpha-keto acids. Subunit: Belongs to the class-IV pyridoxal-phosphate-dependent aminotransferase family. Subcellular Location: Cytoplasm and Mitochondrion. Tissue Specificity: Ubiquitous. Similarity: Belongs to the class-IV pyridoxal-phosphate-dependent aminotransferase family. SWISS: O15382 Gene ID: 587 Database links: Entrez Gene: 587 Human Entrez Gene: 12036 Mouse Omim: 113530 Human SwissProt: O15382 Human SwissProt: O35855 Mouse Unigene: 512670 Human Unigene: 24210 Mouse Important Note: This product as supplied is intended for research use only, not for use in human, therapeutic or diagnostic applications. |
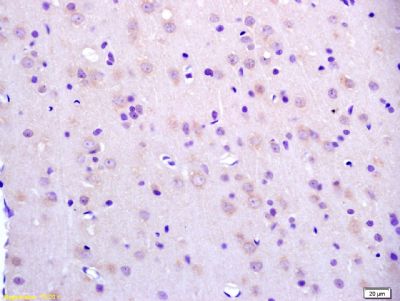
| 产品图片 | ![]() Sample: Brain (Mouse) Lysate at 40 ug Primary: Anti-BCAT2 (bs-6589R)at 1/300 dilution Secondary: IRDye800CW Goat Anti-Rabbit IgG at 1/20000 dilution Predicted band size: 41 kD Observed band size: 41 kD ![]() Sample: Kidney (Mouse) Tissue Lysate at 30 ug Primary: Anti-BCAT2(bs-6589R)at 1/300 dilution Secondary: IRDye800CW Goat Anti-Rabbit IgG at 1/20000 dilution Predicted band size: 41 kD Observed band size: 41 kD ![]() Tissue/cell: rat brain tissue; 4% Paraformaldehyde-fixed and paraffin-embedded; Antigen retrieval: citrate buffer ( 0.01M, pH 6.0 ), Boiling bathing for 15min; Block endogenous peroxidase by 3% Hydrogen peroxide for 30min; Blocking buffer (normal goat serum,C-0005) at 37℃ for 20 min; Incubation: Anti-BCAT2/BCAM Polyclonal Antibody, Unconjugated(bs-6589R) 1:200, overnight at 4°C, followed by conjugation to the secondary antibody(SP-0023) and DAB(C-0010) staining |
风险提示:丁香通仅作为第三方平台,为商家信息发布提供平台空间。用户咨询产品时请注意保护个人信息及财产安全,合理判断,谨慎选购商品,商家和用户对交易行为负责。对于医疗器械类产品,请先查证核实企业经营资质和医疗器械产品注册证情况。
文献和实验、HBsAb、HBeAg、HBeAb、HBcAb)、丙型肝炎病毒抗体(抗HCVIgG)、人类免疫缺陷病毒抗体(抗HIVl+2抗体)、梅毒螺旋体抗体(TRUST法)的检测。 我国是肝炎病毒感染的高发区。HAV主要通过粪口途径传播,传染源多为病人。潜伏期15 d~50 d,平均28 d。病毒常在患者血清转氨酶(ALT)升高前5 d~6 d就存在于患者的血液和粪便中。发病2周~3周后,随血清中特异性抗体的产生,血液和粪便的传染性逐渐消失。HAV随患者粪便排出体外,污染水源、食物、海产
的双链。 2.HBV基因组编码HBV抗原,所有四个功能性读码框架位于DNA负链,P基因编码DNA聚合酶。C基因编码HbcAg。S基因编码S抗原,前S1抗原和前S2抗原。X基因编码X产物。 3.编码不同形式的表面抗原(HBsAg)的HBV基因区域由大蛋白(LHBs),中蛋白(MHBs)和小蛋白(SHBs)组成,其氨基酸组成的肽段长短不同。在第一和第二个起始密码子之间的序列称为Pres1,在第二和第三个之间为Pres2,从第三个密码子到终点密码子的序列为S。
技术资料暂无技术资料 索取技术资料













