相关产品推荐更多 >
万千商家帮你免费找货
0 人在求购买到急需产品
- 详细信息
- 文献和实验
- 技术资料
- 供应商:
上海联迈生物工程有限公司
- 库存:
大量
- 目录编号:
LM-6587R
- 克隆性:
多克隆
- 抗原来源:
Rabbit
- 保质期:
1年
- 抗体英文名:
APEX2
- 抗体名:
嘌呤嘧啶核酸内切酶2抗体
- 宿主:
Rabbit
- 适应物种:
Human, Mouse, Rat, Dog, Cow,
- 免疫原:
KLH conjugated synthetic peptide derived from human APEX2:301-200/518
- 亚型:
IgG
- 形态:
Lyophilized or Liquid
- 应用范围:
WB=1:500-2000 ELISA=1:500-1000 IHC-P=1:400-800 IHC-F=1:400-800 IF=1:100-500 (石蜡切片需做抗原修复)
- 浓度:
1mg/ml
- 保存条件:
Store at -20 °C
- 规格:
100ul 200ul
| 英文名称 | APEX2 |
| 中文名称 | 嘌呤嘧啶核酸内切酶2抗体 |
| 别 名 | AP endonuclease 2; AP endonuclease XTH2; APE 2; APE2; APEX 2; APEX L2; APEX nuclease (apurinic/apyrimidinic endonuclease) 2; APEX Nuclease 2; APEX nuclease like 2; APEXL 2; APEXL2; Apurinic apyrimidinic endonuclease 2; Apurinic/apyrimidinic endonuclease 2; Apurinic/apyrimidinic endonuclease like 2; C430040P13Rik; DNA (apurinic or apyrimidinic site) lyase 2; XTH 2; XTH2; APEX2_HUMAN. |
| 规格价格 | 100ul/1380元 购买 200ul/2200元 购买 大包装/询价 |
| 说 明 书 | 100ul 200ul |
| 研究领域 | 细胞生物 染色质和核信号 |
| 抗体来源 | Rabbit |
| 克隆类型 | Polyclonal |
| 交叉反应 | Human, Mouse, Rat, Dog, Cow, |
| 产品应用 | WB=1:500-2000 ELISA=1:500-1000 IHC-P=1:400-800 IHC-F=1:400-800 IF=1:100-500 (石蜡切片需做抗原修复) not yet tested in other applications. optimal dilutions/concentrations should be determined by the end user. |
| 分 子 量 | 57kDa |
| 细胞定位 | 细胞核 细胞浆 |
| 性 状 | Lyophilized or Liquid |
| 浓 度 | 1mg/ml |
| 免 疫 原 | KLH conjugated synthetic peptide derived from human APEX2:301-200/518 |
| 亚 型 | IgG |
| 纯化方法 | affinity purified by Protein A |
| 储 存 液 | 0.01M TBS(pH7.4) with 1% BSA, 0.03% Proclin300 and 50% Glycerol. |
| 保存条件 | Store at -20 °C for one year. Avoid repeated freeze/thaw cycles. The lyophilized antibody is stable at room temperature for at least one month and for greater than a year when kept at -20°C. When reconstituted in sterile pH 7.4 0.01M PBS or diluent of antibody the antibody is stable for at least two weeks at 2-4 °C. |
| PubMed | PubMed |
| 产品介绍 | background: Apurinic/apyrimidinic (AP) sites occur frequently in DNA molecules by spontaneous hydrolysis, by DNA damaging agents or by DNA glycosylases that remove specific abnormal bases. AP sites are pre-mutagenic lesions that can prevent normal DNA replication so the cell contains systems to identify and repair such sites. Class II AP endonucleases cleave the phosphodiester backbone 5' to the AP site. This gene encodes a protein shown to have a weak class II AP endonuclease activity. Most of the encoded protein is located in the nucleus but some is also present in mitochondria. This protein may play an important role in both nuclear and mitochondrial base excision repair (BER). Function: Function as a weak apurinic/apyrimidinic (AP) endodeoxyribonuclease in the DNA base excision repair (BER) pathway of DNA lesions induced by oxidative and alkylating agents. Initiates repair of AP sites in DNA by catalyzing hydrolytic incision of the phosphodiester backbone immediately adjacent to the damage, generating a single-strand break with 5'-deoxyribose phosphate and 3'-hydroxyl ends. Displays also double-stranded DNA 3'-5' exonuclease, 3'-phosphodiesterase activities. Shows robust 3'-5' exonuclease activity on 3'-recessed heteroduplex DNA and is able to remove mismatched nucleotides preferentially. Shows fairly strong 3'-phosphodiesterase activity involved in the removal of 3'-damaged termini formed in DNA by oxidative agents. In the nucleus functions in the PCNA-dependent BER pathway. Required for somatic hypermutation (SHM) and DNA cleavage step of class switch recombination (CSR) of immunoglobulin genes. Required for proper cell cycle progression during proliferation of peripheral lymphocytes. Subunit: Interacts with PCNA; this interaction is triggered by reactive oxygen species and increased by misincorporation of uracil in nuclear DNA. Subcellular Location: Nucleus. Cytoplasm. Mitochondrion (Probable). Note=Together with PCNA, is redistributed in discrete nuclear foci in presence of oxidative DNA damaging agents. Tissue Specificity: Highly expressed in brain and kidney. Weakly expressed in the fetal brain. Similarity: Belongs to the DNA repair enzymes AP/ExoA family. SWISS: Q9UBZ4 Gene ID: 27301 Database links: Entrez Gene: Human Entrez Gene: 77622 Mouse Entrez Gene: 289662 Rat Omim: 300773 Human SwissProt: Q9UBZ4 Human SwissProt: Q68G58 Mouse Unigene: 659558 Human Unigene: 440275 Mouse Important Note: This product as supplied is intended for research use only, not for use in human, therapeutic or diagnostic applications. |
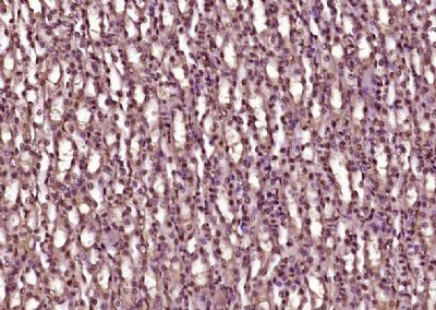
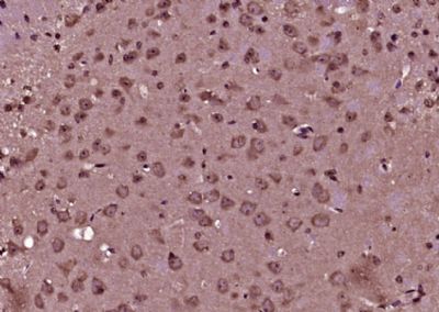
| 产品图片 | ![]() Sample: Thymus (Mouse) Lysate at 40 ug Primary: Anti- APEX2 (bs-6587R)at 1/300 dilution Secondary: IRDye800CW Goat Anti-Rabbit IgG at 1/20000 dilution Predicted band size: 57kD Observed band size: 57kD ![]() Sample: Lymph node(Mouse) Lysate at 40 ug Primary: Anti- APEX2 (bs-6587R)at 1/300 dilution Secondary: IRDye800CW Goat Anti-Rabbit IgG at 1/20000 dilution Predicted band size: 57kD Observed band size: 57kD ![]() Paraformaldehyde-fixed, paraffin embedded (Mouse kidney); Antigen retrieval by boiling in sodium citrate buffer (pH6.0) for 15min; Block endogenous peroxidase by 3% hydrogen peroxide for 20 minutes; Blocking buffer (normal goat serum) at 37°C for 30min; Antibody incubation with (APEX2) Polyclonal Antibody, Unconjugated (bs-6587R) at 1:400 overnight at 4°C, followed by operating according to SP Kit(Rabbit) (sp-0023) instructionsand DAB staining. ![]() Paraformaldehyde-fixed, paraffin embedded (Mouse brain); Antigen retrieval by boiling in sodium citrate buffer (pH6.0) for 15min; Block endogenous peroxidase by 3% hydrogen peroxide for 20 minutes; Blocking buffer (normal goat serum) at 37°C for 30min; Antibody incubation with (APEX2) Polyclonal Antibody, Unconjugated (bs-6587R) at 1:400 overnight at 4°C, followed by operating according to SP Kit(Rabbit) (sp-0023) instructionsand DAB staining. ![]() Tissue/cell: rat brain tissue; 4% Paraformaldehyde-fixed and paraffin-embedded; Antigen retrieval: citrate buffer ( 0.01M, pH 6.0 ), Boiling bathing for 15min; Block endogenous peroxidase by 3% Hydrogen peroxide for 30min; Blocking buffer (normal goat serum,C-0005) at 37℃ for 20 min; Incubation: Anti-APEX2 Polyclonal Antibody, Unconjugated(bs-6587R) 1:200, overnight at 4°C, followed by conjugation to the secondary antibody(SP-0023) and DAB(C-0010) staining |
风险提示:丁香通仅作为第三方平台,为商家信息发布提供平台空间。用户咨询产品时请注意保护个人信息及财产安全,合理判断,谨慎选购商品,商家和用户对交易行为负责。对于医疗器械类产品,请先查证核实企业经营资质和医疗器械产品注册证情况。
文献和实验的浓度。 4.抽提的质粒 DNA 电泳时怎么出现切口、断裂或降解现象? (1)使用的是收集后冷冻保藏的细菌。解决方法:使用新鲜培养的细菌。 (2)宿主菌富含核酸内切酶。解决方法:增加一步 Rinse A 洗涤步骤以彻底去除残留的核酸内切酶。或者将质粒 DNA 进行乙醇沉淀。 (3)质粒 DNA 在 Solution II 中暴露过久,易造成质粒 DNA 的切口断裂。裂解步骤控制在 5 分钟内完成。 (4)培养的细菌被杂菌污染。解决方法:重新挑取单菌落培养细菌。 5.抽提的质粒 DNA 电泳时怎么出现基因
主要内容:背景PCR引物设计原则常用PCR引物设计软件Primer Premier 5.0 介绍Oligo 6.22 介绍在线Primer3 介绍一、PCR聚合酶链反应(Polymerase Chain Reaction ,PCR)是80年代中期发展起来的体外核酸扩增技术。它具有特异、敏感、产率高、快速、简便、重复性好、易自动化等突出优点;能在一个试管内将所要研究的目的基因或某一DNA片段于数小时内扩增至十万乃至百万倍,使肉眼能直接观察和判断;可从一根毛发、一滴血、甚至一个细胞中扩增出足量
DNA聚合酶 限制性核酸内切酶(restriction endonuclease):识别DNA的特异序列, 并在识别位点或其周围切割双链DNA的一类内切酶。 Ⅱ类酶识别序列特点— (三)目的基因(又称外源DNA) •cDNA:经反转录合成的、与RNA(mRNA或病毒RNA)互补的单链DNA。 •基因组DNA:在真核生物体,基因组是指一套完整单倍体DNA(染色体DNA)和线粒体DNA的全部序列。(四)基因载体(克隆载体):为携带目的基因,实现其无性繁殖或表达有意义的蛋白质所采用
技术资料暂无技术资料 索取技术资料















