相关产品推荐更多 >
万千商家帮你免费找货
0 人在求购买到急需产品
- 详细信息
- 文献和实验
- 技术资料
- 供应商:
上海联迈生物工程有限公司
- 库存:
大量
- 目录编号:
LM-6293R
- 克隆性:
多克隆
- 抗原来源:
Rabbit
- 保质期:
1年
- 抗体英文名:
Prostatic Acid Phosphatase
- 抗体名:
前列腺酸性磷酸酶抗体
- 宿主:
Rabbit
- 适应物种:
Human, Mouse, Rat, Dog, Horse,
- 免疫原:
KLH conjugated synthetic peptide derived from human Prostatic Acid Phosphatase:21-120/386
- 亚型:
IgG
- 形态:
Lyophilized or Liquid
- 应用范围:
WB=1:500-2000 IHC-P=1:400-800 IHC-F=1:400-800 IF=1:100-500 (石蜡切片需做抗原修复)
- 浓度:
1mg/ml
- 保存条件:
Store at -20 °C
- 规格:
100ul 200ul
| 英文名称 | Prostatic Acid Phosphatase |
| 中文名称 | 前列腺酸性磷酸酶抗体 |
| 别 名 | Acid phosphatase prostate; ACP 3; ACP3; ACPP; Ecto-5'-nucleotidase; PAP; PPAP_HUMAN; Prostatic acid phosphatase; Thiamine monophosphatase; TMPase; 5'-NT; 5'-nucleotidase. |
| 规格价格 | 100ul/1380元 购买 200ul/2200元 购买 大包装/询价 |
| 说 明 书 | 100ul 200ul |
| 研究领域 | 肿瘤 细胞生物 激酶和磷酸酶 肿瘤细胞生物标志物 |
| 抗体来源 | Rabbit |
| 克隆类型 | Polyclonal |
| 交叉反应 | Human, Mouse, Rat, Dog, Horse, |
| 产品应用 | WB=1:500-2000 IHC-P=1:400-800 IHC-F=1:400-800 IF=1:100-500 (石蜡切片需做抗原修复) not yet tested in other applications. optimal dilutions/concentrations should be determined by the end user. |
| 分 子 量 | 41kDa |
| 细胞定位 | 细胞膜 分泌型蛋白 |
| 性 状 | Lyophilized or Liquid |
| 浓 度 | 1mg/ml |
| 免 疫 原 | KLH conjugated synthetic peptide derived from human Prostatic Acid Phosphatase:21-120/386 |
| 亚 型 | IgG |
| 纯化方法 | affinity purified by Protein A |
| 储 存 液 | 0.01M TBS(pH7.4) with 1% BSA, 0.03% Proclin300 and 50% Glycerol. |
| 保存条件 | Store at -20 °C for one year. Avoid repeated freeze/thaw cycles. The lyophilized antibody is stable at room temperature for at least one month and for greater than a year when kept at -20°C. When reconstituted in sterile pH 7.4 0.01M PBS or diluent of antibody the antibody is stable for at least two weeks at 2-4 °C. |
| PubMed | PubMed |
| 产品介绍 | background: Prostatic Acid Phosphatase is Belongs to the histidine acid phosphatase family.Cellular localization;Secreted and Lysosome membrane. Predominantly localized in the plasma membrane but also detected in intracellular vesicles. Function: A non-specific tyrosine phosphatase that dephosphorylates a diverse number of substrates under acidic conditions (pH 4-6) including alkyl, aryl, and acyl orthophosphate monoesters and phosphorylated proteins. Has lipid phosphatase activity and inactivates lysophosphatidic acid in seminal plasma. Subunit: Homodimer; dimer formation is required for phosphatase activity. Subcellular Location: Isoform 1: Secreted. Isoform 2: Cell membrane. Isoform 2: the cellular form also has ecto-5'-nucleotidase activity in dorsal root ganglion (DRG) neurons. Generates adenosine from AMP which acts as a pain suppressor. Acts as a tumor suppressor of prostate cancer through dephosphorylation of ERBB2 and deactivation of MAPK-mediated signaling. Tissue Specificity: Highly expressed in the prostate, restricted to glandular and ductal epithelial cells. Post-translational modifications: N-glycosylated. High mannose content, partially sialylated and fucosylated biantennary complex. Also fucosylated with partially sialylated triantennary complex oligosaccharides. Proteolytically cleaved in seminal fluid to produce several peptides. Peptide PAPf39, the most prominent, forms amyloid beta-sheet fibrils, SEVI (semen-derived enhancer of viral infection) which entrap HIV virions, attach them to target cells and enhance infection. SEVI amyloid fibrils are degraded by polyphenol epigallocatechin-3-gallate (EGCG), a constituent of green tea. Target cell attachment and enhancement of HIV infection is inhibited by surfen. Also similarly boosts XMRV (xenotropic murine leukemia virus-related virus) infection. Similarity: Belongs to the histidine acid phosphatase family. SWISS: P24666 Gene ID: 55 Database links: Entrez Gene: 504700 Cow Entrez Gene: 55 Human Entrez Gene: 56318 Mouse Entrez Gene: 56780 Rat Omim: 171790 Human SwissProt: A6H730 Cow SwissProt: P15309 Human SwissProt: Q8CE08 Mouse SwissProt: P20646 Rat Unigene: 433060 Human Unigene: 19941 Mouse Unigene: 40121 Rat Important Note: This product as supplied is intended for research use only, not for use in human, therapeutic or diagnostic applications. |
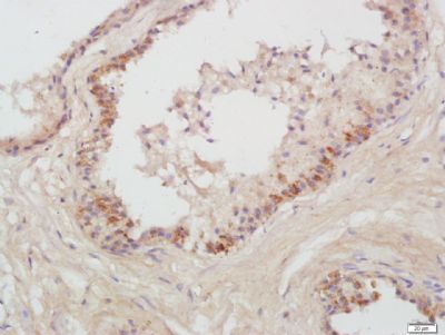
| 产品图片 | ![]() Sample: PC3 Cell (Human) Lysate at 40 ug Primary: Anti-Prostatic Acid Phosphatase (bs-6293R) at 1/300 dilution Secondary: IRDye800CW Goat Anti-Rabbit IgG at 1/20000 dilution Predicted band size: 41 kD Observed band size: 48 kD ![]() Paraformaldehyde-fixed, paraffin embedded (Human prostate); Antigen retrieval by boiling in sodium citrate buffer (pH6.0) for 15min; Block endogenous peroxidase by 3% hydrogen peroxide for 20 minutes; Blocking buffer (normal goat serum) at 37°C for 30min; Antibody incubation with (Prostatic Acid Phosphatase) Polyclonal Antibody, Unconjugated (bs-6293R) at 1:400 overnight at 4°C, followed by a conjugated secondary (sp-0023) for 20 minutes and DAB staining. |
风险提示:丁香通仅作为第三方平台,为商家信息发布提供平台空间。用户咨询产品时请注意保护个人信息及财产安全,合理判断,谨慎选购商品,商家和用户对交易行为负责。对于医疗器械类产品,请先查证核实企业经营资质和医疗器械产品注册证情况。
文献和实验-retmotc acid caused complete or partial resolutton of leukoplakia and concombiant decreased expression of TGFα (3 ). Thus, TGFα could be considered a candidate surrogate intermediate endpoint btomarker for chemoprevention studtes of oral dysplasia
的化学成分与抗精子抗体 ①精浆果糖减低:先天性精囊缺如时无果糖,精囊炎时含量降低。果糖不足导致精子运动能量缺乏,以致不易受孕。 ②乳酸脱氢酶-X同功酶(LD-X)活性降低:具有睾丸及精子的组织特异性,是精子运动获能的关键酶。睾丸萎缩患者LD-X降低或消失,精子发生缺陷时无LD-X形成,少精或无精者可致LD-X活性降低。服用棉酚也可抑制此酶活性。 ③前列腺酸性磷酸酶活性改变:精浆中酸性磷酸酶主要来自前列腺,称为前列腺酸性磷酸酶(prostatic acid
活动的能源。精子轴丝收缩依赖STP供给能量,而ATP可由果糖分解产代谢产生,故精浆果糖浓度减低将使精子活动力减弱,影响受精率。在先天性精囊缺如时无果糖,医学教育|网搜集整理精囊疾病如精囊炎时果糖下降。 [参考值] ≥13μmol/一次射精 (三)酶类 1.酸性磷酸酶(acid phosphatase,ACP)精浆中的酸性磷酸酶几乎全部来自前列腺,属前列腺酸性磷酸酶。因此测定精浆中ACP有助于了解前裂腺功能和对前列腺疾病的诊断。前列腺炎时PAP活性减低;前列腺癌和前列腺肥大时
技术资料暂无技术资料 索取技术资料












