相关产品推荐更多 >
万千商家帮你免费找货
0 人在求购买到急需产品
- 详细信息
- 文献和实验
- 技术资料
- 供应商:
上海联迈生物工程有限公司
- 库存:
大量
- 目录编号:
LM-10148R
- 克隆性:
多克隆
- 抗原来源:
Rabbit
- 保质期:
1年
- 抗体英文名:
hnRNP M
- 抗体名:
异质性核糖核蛋白M抗体
- 宿主:
Rabbit
- 适应物种:
Human, Mouse, Rat, Chicken, Pig, Cow, Horse, Sheep,
- 免疫原:
KLH conjugated synthetic peptide derived from human hnRNP M:51-150/730
- 亚型:
IgG
- 形态:
Lyophilized or Liquid
- 应用范围:
WB=1:500-2000 ELISA=1:500-1000 IHC-P=1:400-800 IHC-F=1:400-800 ICC=1:100-500 IF=1:100-500 (石蜡切片需做抗原修复)
- 浓度:
1mg/ml
- 保存条件:
Store at -20 °C
- 规格:
100ul 200ul
| 英文名称 | hnRNP M |
| 中文名称 | 异质性核糖核蛋白M抗体 |
| 别 名 | CEA receptor; CEAR; Heterogeneous nuclear ribonucleoprotein M; Heterogenous nuclear ribonucleoprotein M4; hnRNA binding protein M4; hnRNP M; Hnrnpm; HNRNPM4; HNRPM; HNRPM_HUMAN; HNRPM4; HTGR1; M3 antibody M4 antibody M4 protein; N-acetylglucosamine receptor 1; NAGR1; Ribonucleotide Protein; SAF A. |
| 规格价格 | 100ul/1380元 购买 200ul/2200元 购买 大包装/询价 |
| 说 明 书 | 100ul 200ul |
| 研究领域 | |
| 抗体来源 | Rabbit |
| 克隆类型 | Polyclonal |
| 交叉反应 | Human, Mouse, Rat, Chicken, Pig, Cow, Horse, Sheep, |
| 产品应用 | WB=1:500-2000 ELISA=1:500-1000 IHC-P=1:400-800 IHC-F=1:400-800 ICC=1:100-500 IF=1:100-500 (石蜡切片需做抗原修复) not yet tested in other applications. optimal dilutions/concentrations should be determined by the end user. |
| 分 子 量 | 77kDa |
| 细胞定位 | 细胞核 |
| 性 状 | Lyophilized or Liquid |
| 浓 度 | 1mg/ml |
| 免 疫 原 | KLH conjugated synthetic peptide derived from human hnRNP M:51-150/730 |
| 亚 型 | IgG |
| 纯化方法 | affinity purified by Protein A |
| 储 存 液 | 0.01M TBS(pH7.4) with 1% BSA, 0.03% Proclin300 and 50% Glycerol. |
| 保存条件 | Store at -20 °C for one year. Avoid repeated freeze/thaw cycles. The lyophilized antibody is stable at room temperature for at least one month and for greater than a year when kept at -20°C. When reconstituted in sterile pH 7.4 0.01M PBS or diluent of antibody the antibody is stable for at least two weeks at 2-4 °C. |
| PubMed | PubMed |
| 产品介绍 | background: This gene belongs to the subfamily of ubiquitously expressed heterogeneous nuclear ribonucleoproteins (hnRNPs). The hnRNPs are RNA binding proteins and they complex with heterogeneous nuclear RNA (hnRNA). These proteins are associated with pre-mRNAs in the nucleus and appear to influence pre-mRNA processing and other aspects of mRNA metabolism and transport. While all of the hnRNPs are present in the nucleus, some seem to shuttle between the nucleus and the cytoplasm. The hnRNP proteins have distinct nucleic acid binding properties. The protein encoded by this gene has three repeats of quasi-RRM domains that bind to RNAs. This protein also constitutes a monomer of the N-acetylglucosamine-specific receptor which is postulated to trigger selective recycling of immature GlcNAc-bearing thyroglobulin molecules. Alternative splicing results in multiple transcript variants. [provided by RefSeq, Aug 2011] Subunit: Identified in the spliceosome C complex. Subcellular Location: Nucleus, nucleolus. Similarity: Contains 3 RRM (RNA recognition motif) domains. SWISS: P52272 Gene ID: 4670 Database links: Entrez Gene: 4670 Human Entrez Gene: 76936 Mouse Omim: 160994 Human SwissProt: P52272 Human SwissProt: Q9D0E1 Mouse Unigene: 465808 Human Important Note: This product as supplied is intended for research use only, not for use in human, therapeutic or diagnostic applications. |
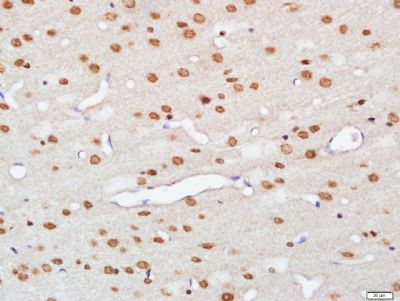
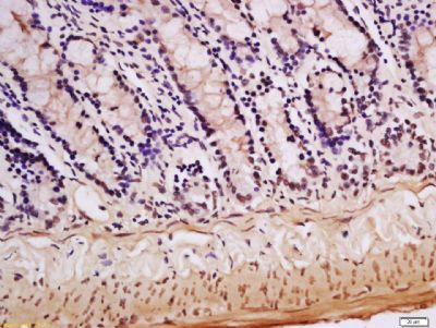
| 产品图片 | ![]() Tissue/cell: Rat brain tissue; 4% Paraformaldehyde-fixed and paraffin-embedded; Antigen retrieval: citrate buffer ( 0.01M, pH 6.0 ), Boiling bathing for 15min; Block endogenous peroxidase by 3% Hydrogen peroxide for 30min; Blocking buffer (normal goat serum,C-0005) at 37℃ for 20 min; Incubation: Anti-hnRNP M Polyclonal Antibody, Unconjugated(bs-10148R) 1:500, overnight at 4°C, followed by conjugation to the secondary antibody(SP-0023) and DAB(C-0010) staining ![]() Tissue/cell: mouse intestine tissue; 4% Paraformaldehyde-fixed and paraffin-embedded; Antigen retrieval: citrate buffer ( 0.01M, pH 6.0 ), Boiling bathing for 15min; Block endogenous peroxidase by 3% Hydrogen peroxide for 30min; Blocking buffer (normal goat serum,C-0005) at 37℃ for 20 min; Incubation: Anti-hnRNP M Polyclonal Antibody, Unconjugated(bs-10148R) 1:200, overnight at 4°C, followed by conjugation to the secondary antibody(SP-0023) and DAB(C-0010) staining |
风险提示:丁香通仅作为第三方平台,为商家信息发布提供平台空间。用户咨询产品时请注意保护个人信息及财产安全,合理判断,谨慎选购商品,商家和用户对交易行为负责。对于医疗器械类产品,请先查证核实企业经营资质和医疗器械产品注册证情况。
文献和实验「小身体,大智慧」Cell 重磅揭示大肠杆菌染色体折叠模式及影响因素
密度在空间上更加均匀,平均网格尺寸较小。细胞质中有效的不良溶剂可以促进染色体结构域(domain)的形成,这种结构类似于 Hi-C 实验中所见到的染色质互相作用域(CIDs)。只有在较差溶剂条件下才能看到大的域状结构。图 3 大肠杆菌染色体构象在不同类型溶剂中的模拟(图片来源:Cell)类核体内核糖体密度的空间异质性与 DNA 密度呈负相关核糖体主要以多聚核糖体形式存在,富集在类核区域之外。断层重建和核糖体定位显示,核糖体密度高度不均匀。除了预期的核糖体在细胞周围富集外,核糖体在细胞质中表现出密度
相关专题 一、肝组织中 DNA 的分离与鉴定 【 实验目的】 1 .掌握 DNA 分离纯化的原理和方法。 2 .熟悉台式离心机 的使用。 3. 掌握 DNA 定量技术。 【 实验原理】 细胞内的核酸多以核蛋白的形式存在,其中脱氧核糖核蛋白主要存在于细胞核 中,核糖核蛋白主要存在于细胞质中。这两类核蛋白在 0.14mol / L 氯化钠溶液中的
质组分,最后得到一系列的亚蛋白质组 [8] 。首先得到漂洗组分包含核膜和残留细胞骨架的蛋白质。随后得到的镏分可溶解在含有 EDTA 的低离子强度缓冲液中,此溶液被称为 S2 , 从这里我们得到溶解性最好的核蛋白质,即核糖核蛋白。第三步,在用糖核酸酶反应后,我们会提取到染色质蛋白质。最后的两份馏分中含有细胞核基质蛋白质,先溶解在高盐缓冲液中,然后得到不溶的沉淀。这些不溶性沉淀和含有 RNA 的微丝网有关系 [ 10] 。 在提取一系列的蛋白质之后,每份馏分都在适合的缓冲液里溶解,以便于单向电泳或双向
技术资料暂无技术资料 索取技术资料












