相关产品推荐更多 >
万千商家帮你免费找货
0 人在求购买到急需产品
- 详细信息
- 文献和实验
- 技术资料
- 供应商:
上海联迈生物工程有限公司
- 库存:
大量
- 目录编号:
LM-9607R
- 克隆性:
多克隆
- 抗原来源:
Rabbit
- 保质期:
1年
- 抗体英文名:
ZNF828
- 抗体名:
锌指蛋白828抗体
- 宿主:
Rabbit
- 适应物种:
Human, Mouse, Rat, Dog, Cow, Horse, Sheep,
- 免疫原:
KLH conjugated synthetic peptide derived from human ZNF828/C13orf8:621-720/812
- 亚型:
IgG
- 形态:
Lyophilized or Liquid
- 应用范围:
ELISA=1:500-1000 IHC-P=1:400-800 IHC-F=1:400-800 ICC=1:100-500 IF=1:100-500 (石蜡切片需做抗原修复)
- 浓度:
1mg/ml
- 保存条件:
Store at -20 °C
- 规格:
100ul 200ul
| 英文名称 | ZNF828 |
| 中文名称 | 锌指蛋白828抗体 |
| 别 名 | chromosome 13 open reading frame 8; zinc finger protein 828; FLJ90413; KIAA1802; Zinc finger protein KIAA1802; CHAP1_HUMAN. |
| 规格价格 | 100ul/1380元 购买 200ul/2200元 购买 大包装/询价 |
| 说 明 书 | 100ul 200ul |
| 研究领域 | 肿瘤 转录调节因子 锌指蛋白 表观遗传学 |
| 抗体来源 | Rabbit |
| 克隆类型 | Polyclonal |
| 交叉反应 | Human, Mouse, Rat, Dog, Cow, Horse, Sheep, |
| 产品应用 | ELISA=1:500-1000 IHC-P=1:400-800 IHC-F=1:400-800 ICC=1:100-500 IF=1:100-500 (石蜡切片需做抗原修复) not yet tested in other applications. optimal dilutions/concentrations should be determined by the end user. |
| 分 子 量 | 89kDa |
| 细胞定位 | 细胞核 细胞浆 |
| 性 状 | Lyophilized or Liquid |
| 浓 度 | 1mg/ml |
| 免 疫 原 | KLH conjugated synthetic peptide derived from human ZNF828/C13orf8:621-720/812 |
| 亚 型 | IgG |
| 纯化方法 | affinity purified by Protein A |
| 储 存 液 | 0.01M TBS(pH7.4) with 1% BSA, 0.03% Proclin300 and 50% Glycerol. |
| 保存条件 | Store at -20 °C for one year. Avoid repeated freeze/thaw cycles. The lyophilized antibody is stable at room temperature for at least one month and for greater than a year when kept at -20°C. When reconstituted in sterile pH 7.4 0.01M PBS or diluent of antibody the antibody is stable for at least two weeks at 2-4 °C. |
| PubMed | PubMed |
| 产品介绍 | background: Zinc-finger proteins contain DNA-binding domains and have a wide variety of functions, most of which encompass some form of transcriptional activation or repression. ZNF828, is a 812 amino acid protein that contains one C2H2-type zinc finger and is localized to the cytoplasm and the nucleus. The gene encoding ZNF828 maps to chromosome 13. Comprising nearly 4% of the human genome, chromosome 13 contains around 114 million base pairs and encodes over 400 genes. Chromosome 13 houses key tumor suppressor genes, including BRCA2 and RB1, which are associated with breast cancer susceptibility and retinoblastoma, respectively. Trisomy 13, also known as Patau syndrome, is deadly and the few who survive past one year suffer from permanent neurologic defects, difficulty eating and vulnerability to serious respiratory infections. Function: Required for proper alignment of chromosomes at metaphase and their accurate segregation during mitosis. Involved in the maintenance of spindle microtubules attachment to the kinetochore during sister chromatid biorientation. May recruit CENPE and CENPF to the kinetochore. Subunit: Interacts with MAD2L2. Interacts with POGZ, CBX1, CBX3 and CBX5. Subcellular Location: Nucleus. Chromosome. Chromosome, centromere, kinetochore. Cytoplasm, cytoskeleton, spindle. Post-translational modifications: Phosphorylated by CDK1. Mitotic phosphorylation is required for the attachment of spindle microtubules to the kinetochore. Similarity: Contains 1 C2H2-type zinc finger. SWISS: Q96JM3 Gene ID: 283489 Database links: Entrez Gene: 283489 Human Entrez Gene: 101994 Mouse Entrez Gene: 306647 Rat SwissProt: Q96JM3 Human SwissProt: Q8K327 Mouse Unigene: 7542 Human Unigene: 289346 Mouse Unigene: 412576 Mouse Unigene: 3851 Rat Important Note: This product as supplied is intended for research use only, not for use in human, therapeutic or diagnostic applications. |
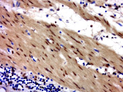
| 产品图片 | ![]() Paraformaldehyde-fixed, paraffin embedded (human cervical cancer); Antigen retrieval by boiling in sodium citrate buffer (pH6.0) for 15min; Block endogenous peroxidase by 3% hydrogen peroxide for 20 minutes; Blocking buffer (normal goat serum) at 37°C for 30min; Antibody incubation with (ZNF828) Polyclonal Antibody, Unconjugated (bs-9607R) at 1:500 overnight at 4°C, followed by a conjugated secondary (sp-0023) for 20 minutes and DAB staining. ![]() Paraformaldehyde-fixed, paraffin embedded (rat brain); Antigen retrieval by boiling in sodium citrate buffer (pH6.0) for 15min; Block endogenous peroxidase by 3% hydrogen peroxide for 20 minutes; Blocking buffer (normal goat serum) at 37°C for 30min; Antibody incubation with (ZNF828) Polyclonal Antibody, Unconjugated (bs-9607R) at 1:500 overnight at 4°C, followed by a conjugated secondary (sp-0023) for 20 minutes and DAB staining. |
风险提示:丁香通仅作为第三方平台,为商家信息发布提供平台空间。用户咨询产品时请注意保护个人信息及财产安全,合理判断,谨慎选购商品,商家和用户对交易行为负责。对于医疗器械类产品,请先查证核实企业经营资质和医疗器械产品注册证情况。
文献和实验的Morrissey博士课题组和加拿大渥太华干细胞研究中心的Brand教授课题组合作在Cell Stem Cell发表了通过单细胞蛋白质组学的方法,测定造血干细胞转录因子共表达谱系的时间特异性变化,首次直接提供了造血干细胞命运决定的蛋白质表达数据。研究人员首先对多能干细胞(CD34+ HSPC)分化为红细胞的完整进程(共22天,包括各个进程的红细胞)定时取样(每隔两天), 在每个时间点对每个单细胞进行标记,通过27种抗体联合标记对应的蛋白质,再通过质谱流式细胞术(CyTOF)同时测定多种蛋白质的表达,这样科学
独体—基于纤连蛋白类型Ⅲ结构域框架的抗体模拟 Akiko Koide and Shohei Koide
1. 介绍 蛋白质工程的一个主要目的是生产能够与特定靶分子结合的新的生物分子。这样的分子会应用于生物技术的许多领域,包括诊断、治疗和催化。虽然存在大量的天然蛋白,可供这些应用和开发,但用工程手段制造新的、有用的生物分子的办法仍是有吸引力的。 因为,它不受天然生物分子可用性的限制。抗体的基本构架中可变的链套呈现在基本不变的框架上,以及抗体工程的成功启发了一些研究组去发展“分子框架”[ 1,2] 。这些努力的主要目标一直是在保留呈递多重肽片段以与靶分子结合的能力的同时,克服抗体和抗体
【转帖】史上最强的56邮箱共享资源各个学科合集,相信总有一些你想要的资料!!!
敲除技术 270.91Kb 免疫组织化学实验方法 71.08Kb 分子生物学试验技术,实验方法与步骤详解 828.00Kb 分子生物学基本技术和实验方法 821.24Kb SiRNA 443.38Kb GE蛋白纯化讲座 5391.65Kb 单链抗体操作手册 基因8中文版 endnote中文使用手册.pdf 蛋白质分离纯化指导教材 临床肿瘤学 全国博士英语词汇大纲欢迎各位到doudou1314521@56.com共享下载 其中包括: BioChemistry [精品电子
技术资料暂无技术资料 索取技术资料












