相关产品推荐更多 >
万千商家帮你免费找货
0 人在求购买到急需产品
- 详细信息
- 文献和实验
- 技术资料
- 供应商:
上海联迈生物工程有限公司
- 库存:
大量
- 目录编号:
LM-6235R
- 克隆性:
多克隆
- 抗原来源:
Rabbit
- 保质期:
1年
- 抗体英文名:
NRG3
- 抗体名:
神经调节蛋白3抗体
- 宿主:
Rabbit
- 适应物种:
Human, Mouse, Rat, Dog, Pig, Cow, Horse,
- 免疫原:
KLH conjugated synthetic peptide derived from human NRG3:351-450/720
- 亚型:
IgG
- 形态:
Lyophilized or Liquid
- 应用范围:
WB=1:500-2000 ELISA=1:500-1000 IHC-P=1:400-800 IHC-F=1:400-800 IF=1:100-500 (石蜡切片需做抗原修复)
- 浓度:
1mg/ml
- 保存条件:
Store at -20 °C
- 规格:
100ul 200ul
| 英文名称 | NRG3 |
| 中文名称 | 神经调节蛋白3抗体 |
| 别 名 | HRG3; Neuregulin 3; Neuregulin 3 like polypeptide; Neuregulin-3; Neuregulin3; NRG-3; Nrg3; NRG3_HUMAN; pro NRG3; Pro-NRG3. |
| 规格价格 | 100ul/1380元 购买 200ul/2200元 购买 大包装/询价 |
| 说 明 书 | 100ul 200ul |
| 研究领域 | 肿瘤 细胞生物 免疫学 神经生物学 信号转导 |
| 抗体来源 | Rabbit |
| 克隆类型 | Polyclonal |
| 交叉反应 | Human, Mouse, Rat, Dog, Pig, Cow, Horse, |
| 产品应用 | WB=1:500-2000 ELISA=1:500-1000 IHC-P=1:400-800 IHC-F=1:400-800 IF=1:100-500 (石蜡切片需做抗原修复) not yet tested in other applications. optimal dilutions/concentrations should be determined by the end user. |
| 分 子 量 | 78kDa |
| 细胞定位 | 细胞膜 分泌型蛋白 |
| 性 状 | Lyophilized or Liquid |
| 浓 度 | 1mg/ml |
| 免 疫 原 | KLH conjugated synthetic peptide derived from human NRG3:351-450/720 |
| 亚 型 | IgG |
| 纯化方法 | affinity purified by Protein A |
| 储 存 液 | 0.01M TBS(pH7.4) with 1% BSA, 0.03% Proclin300 and 50% Glycerol. |
| 保存条件 | Store at -20 °C for one year. Avoid repeated freeze/thaw cycles. The lyophilized antibody is stable at room temperature for at least one month and for greater than a year when kept at -20°C. When reconstituted in sterile pH 7.4 0.01M PBS or diluent of antibody the antibody is stable for at least two weeks at 2-4 °C. |
| PubMed | PubMed |
| 产品介绍 | background: Direct ligand for the ERBB4 tyrosine kinase receptor. Binding results in ligand-stimulated tyrosine phosphorylation and activation of the receptor. Does not bind to the EGF receptor, ERBB2 or ERBB3 receptors. May be a survival factor for oligodendrocytes. Function: Direct ligand for the ERBB4 tyrosine kinase receptor. Binding results in ligand-stimulated tyrosine phosphorylation and activation of the receptor. Does not bind to the EGF receptor, ERBB2 or ERBB3 receptors. May be a survival factor for oligodendrocytes. Subunit: Interacts with ERBB4. Subcellular Location: Pro-neuregulin-3, membrane-bound isoform: Cell membrane; Single-pass type I membrane protein. Neuregulin-3: Secreted. Isoform 3: Cell membrane; Single-pass type I membrane protein. Tissue Specificity: Highly expressed in most regions of the brain with the exception of corpus callosum. Expressed at lower level in testis. Not detected in heart, placenta, lung, liver, skeletal muscle, kidney, pancreas, spleen, thymus, prostate, ovary, small intestine, colon and peripheral blood leukocytes. Post-translational modifications: Proteolytic cleavage close to the plasma membrane on the external face leads to the release of the soluble growth factor form. Extensive glycosylation precedes the proteolytic cleavage (By similarity). Isoform 3 is glycosylated. Similarity: Belongs to the neuregulin family. Contains 1 EGF-like domain. SWISS: P56975 Gene ID: 10718 Database links: Entrez Gene: 10718 Human Entrez Gene: 18183 Mouse Entrez Gene: 498596 Rat Omim: 605533 Human SwissProt: P56975 Human SwissProt: O35181 Mouse Unigene: 125119 Human Unigene: 258705 Mouse Important Note: This product as supplied is intended for research use only, not for use in human, therapeutic or diagnostic applications. |
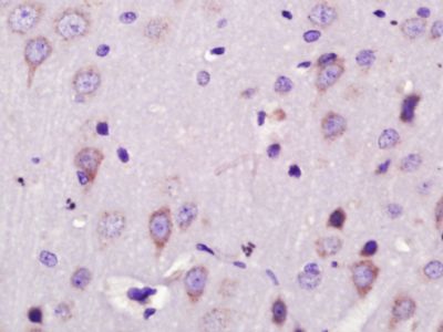
| 产品图片 | ![]() Paraformaldehyde-fixed, paraffin embedded (Rat brain); Antigen retrieval by boiling in sodium citrate buffer (pH6.0) for 15min; Block endogenous peroxidase by 3% hydrogen peroxide for 20 minutes; Blocking buffer (normal goat serum) at 37°C for 30min; Antibody incubation with (NRG3) Polyclonal Antibody, Unconjugated (bs-6235R) at 1:400 overnight at 4°C, followed by operating according to SP Kit(Rabbit) (sp-0023) instructionsand DAB staining. ![]() Paraformaldehyde-fixed, paraffin embedded (Rat brain); Antigen retrieval by boiling in sodium citrate buffer (pH6.0) for 15min; Block endogenous peroxidase by 3% hydrogen peroxide for 20 minutes; Blocking buffer (normal goat serum) at 37°C for 30min; Antibody incubation with (NRG3) Polyclonal Antibody, Unconjugated (bs-6235R) at 1:400 overnight at 4°C, followed by operating according to SP Kit(Rabbit) (sp-0023) instructionsand DAB staining. |
风险提示:丁香通仅作为第三方平台,为商家信息发布提供平台空间。用户咨询产品时请注意保护个人信息及财产安全,合理判断,谨慎选购商品,商家和用户对交易行为负责。对于医疗器械类产品,请先查证核实企业经营资质和医疗器械产品注册证情况。
文献和实验益生菌竟然有害健康?破坏免疫抑制,刺激肿瘤生长,化身「癌症帮凶」
-associated macrophages to suppress anti-tumor immunity 的研究论文,揭示了乳酸菌通过代谢食物中的色氨酸激活肿瘤相关巨噬细胞(Tumor-associated macrophage,TAM)发挥促进胰腺导管癌生长的机制。 色氨酸(Trp)是人体必需氨基酸之一,其代谢产物具有免疫、代谢、神经调节等功能, Nature reviews 杂志在 2019 年发表的一篇综述文章中就详细描述了色氨酸代谢产物在中枢神经疾病,感染性疾病,自身免疫疾病,肿瘤等疾病中发挥的作用
试剂和材料:1. 一抗:(1) ABCG2-----------------小鼠单克隆BXP-21---------1:100(2) 连接蛋白-43-----------兔多克隆CX43-------------1:100(3) 细胞角蛋白3(K3)-----小鼠单克隆AE5----------- 1:500(4) 细胞角蛋白12(K12)---兔多克隆J7-------------- 1:2002. 二抗;(1) 抗小鼠IgG-------------Alexa-488----
人血管生成素样蛋白3(ANGPTL3)ELISA试剂盒 说明书
上海西唐生物科技有限公司 021-55229872, 65333639 www.westang.com 人血管生成素样蛋白3 (ANGPTL3)ELISA 试剂盒 ( 用于血清、血浆、细胞培养上清液和其它生物体液内 ) 原理 本实验采用双抗体夹心 ABC-ELISA 法。用抗人 ANGPTL3 单抗包被于酶标板上,标准品和样品中的 ANGPTL3与单抗结合,加入生物素化的抗人
技术资料暂无技术资料 索取技术资料












