相关产品推荐更多 >
万千商家帮你免费找货
0 人在求购买到急需产品
- 详细信息
- 文献和实验
- 技术资料
- 供应商:
上海联迈生物工程有限公司
- 库存:
大量
- 目录编号:
LM-5515R
- 克隆性:
多克隆
- 抗原来源:
Rabbit
- 保质期:
1年
- 抗体英文名:
phospho-IKB alpha (Tyr305)
- 抗体名:
磷酸化IKB alpha抗体
- 宿主:
Rabbit
- 适应物种:
Human, Mouse, Rat, Pig, Cow, Rabbit, Sheep,
- 免疫原:
KLH conjugated Synthesised phosphopeptide derived from human IKB alpha around the phosphorylation site of Tyr305:LP(p-Y)DD
- 亚型:
IgG
- 形态:
Lyophilized or Liquid
- 应用范围:
WB=1:500-2000 ELISA=1:500-1000 IHC-P=1:400-800 IHC-F=1:400-800 Flow-Cyt=1μg/Test IF=1:100-500 (石蜡切片需做抗原修复)
- 浓度:
1mg/ml
- 保存条件:
Store at -20 °C
- 规格:
100ul
| 英文名称 | phospho-IKB alpha (Tyr305) |
| 中文名称 | 磷酸化IKB alpha抗体 |
| 别 名 | IKB alpha (phospho Y305); p-IKB alpha (phospho Y305); NFKBIA(phospho Y305); Inhibitor of KB alpha; I kappa B alpha; I(Kappa)B(alpha); IkappaBalpha; IKBA; IKBalpha; IkB-alpha; MAD 3; MAD3; Major histocompatibility complex enhancer binding protein MAD3; NF kappa B inhibitor alpha; NFKBI; NFKBIA; Nuclear factor of kappa light chain gene enhancer in B cells; Nuclear factor of kappa light polypeptide gene enhancer in B cells inhibitor alpha; IKBA_HUMAN. |
![]() |
Specific References (6) | bs-5515R has been referenced in 6 publications. [IF=2.81] Li, Yuanchao, et al. "Valproate ameliorates nitroglycerin-induced migraine in trigeminal nucleus caudalis in rats through inhibition of NF-кB." The Journal of Headache and Pain 17.1 (2016): 1-9. WB ; Rat. PubMed:27150105 [IF=1.35] Gao, Wenyan, et al. "Indirubin ameliorates dextran sulfate sodium-induced ulcerative colitis in mice through the inhibition of inflammation and the induction of Foxp3-expressing regulatory T cells." Acta Histochemica (2016). WB ; Mouse. PubMed:27396532 [IF=2.35] Tian, Yue, et al. "Minocycline attenuates sevoflurane-induced cell injury via activation of Nrf2." International Journal of Molecular Medicine. WB ; Human. PubMed:28260081 [IF=4.42] Yu, Haijie, et al. "Gypenoside Protects Cardiomyocytes against Ischemia-Reperfusion Injury via the Inhibition of Mitogen-Activated Protein Kinase Mediated Nuclear Factor Kappa B Pathway In Vitro and In Vivo." Frontiers in Pharmacology 7 (2016). WB ; Rat. PubMed:27313532 [IF=1.72] Yan, Xuerui, et al. "Cyanidin-3-O-glucoside Induces Apoptosis and Inhibits Migration of Tumor Necrosis Factor-α-Treated Rat Aortic Smooth Muscle Cells." Cardiovascular Toxicology (2015): 1-9. WB ; Rat. PubMed:26138096 [IF=2.70] Zhao, Hongyu, et al. "Betulin attenuates kidney injury in septic rats through inhibiting TLR4/NF-κB signaling pathway."Life Sciences (2016). WB ; Rat. PubMed:26656467 |
| 规格价格 | 100ul/1580元 购买 大包装/询价 |
| 说 明 书 | 100ul |
| 产品类型 | 磷酸化抗体 |
| 研究领域 | 肿瘤 免疫学 信号转导 转录调节因子 激酶和磷酸酶 |
| 抗体来源 | Rabbit |
| 克隆类型 | Polyclonal |
| 交叉反应 | Human, Mouse, Rat, Pig, Cow, Rabbit, Sheep, |
| 产品应用 | WB=1:500-2000 ELISA=1:500-1000 IHC-P=1:400-800 IHC-F=1:400-800 Flow-Cyt=1μg/Test IF=1:100-500 (石蜡切片需做抗原修复) not yet tested in other applications. optimal dilutions/concentrations should be determined by the end user. |
| 分 子 量 | 35kDa |
| 细胞定位 | 细胞核 细胞浆 |
| 性 状 | Lyophilized or Liquid |
| 浓 度 | 1mg/ml |
| 免 疫 原 | KLH conjugated Synthesised phosphopeptide derived from human IKB alpha around the phosphorylation site of Tyr305:LP(p-Y)DD |
| 亚 型 | IgG |
| 纯化方法 | affinity purified by Protein A |
| 储 存 液 | 0.01M TBS(pH7.4) with 1% BSA, 0.03% Proclin300 and 50% Glycerol. |
| 保存条件 | Store at -20 °C for one year. Avoid repeated freeze/thaw cycles. The lyophilized antibody is stable at room temperature for at least one month and for greater than a year when kept at -20°C. When reconstituted in sterile pH 7.4 0.01M PBS or diluent of antibody the antibody is stable for at least two weeks at 2-4 °C. |
| PubMed | PubMed |
| 产品介绍 | background: This gene encodes a member of the NF-kappa-B inhibitor family, which contain multiple ankrin repeat domains. The encoded protein interacts with REL dimers to inhibit NF-kappa-B/REL complexes which are involved in inflammatory responses. The encoded protein moves between the cytoplasm and the nucleus via a nuclear localization signal and CRM1-mediated nuclear export. Mutations in this gene have been found in ectodermal dysplasia anhidrotic with T-cell immunodeficiency autosomal dominant disease. [provided by RefSeq, Aug 2011]. Function: Inhibits the activity of dimeric NF-kappa-B/REL complexes by trapping REL dimers in the cytoplasm through masking of their nuclear localization signals. On cellular stimulation by immune and proinflammatory responses, becomes phosphorylated promoting ubiquitination and degradation, enabling the dimeric RELA to translocate to the nucleus and activate transcription. Subunit: Interacts with RELA; the interaction requires the nuclear import signal. Interacts with NKIRAS1 and NKIRAS2. Part of a 70-90 kDa complex at least consisting of CHUK, IKBKB, NFKBIA, RELA, IKBKAP and MAP3K14. Interacts with HBV protein X. Interacts with RWDD3; the interaction enhances sumoylation. Interacts (when phosphorylated at the 2 serine residues in the destruction motif D-S-G-X(2,3,4)-S) with BTRC. Associates with the SCF(BTRC) complex, composed of SKP1, CUL1 and BTRC; the association is mediated via interaction with BTRC. Part of a SCF(BTRC)-like complex lacking CUL1, which is associated with RELA; RELA interacts directly with NFKBIA. Interacts with PRMT2. Interacts with PRKACA in platelets; this interaction is disrupted by thrombin and collagen. Interacts with HIF1AN. Subcellular Location: Cytoplasm. Nucleus. Note=Shuttles between the nucleus and the cytoplasm by a nuclear localization signal (NLS) and a CRM1-dependent nuclear export. Post-translational modifications: Phosphorylated; disables inhibition of NF-kappa-B DNA-binding activity. Phosphorylation at positions 32 and 36 is prerequisite to recognition by UBE2D3 leading to polyubiquitination and subsequent degradation. Sumoylated; sumoylation requires the presence of the nuclear import signal. Monoubiquitinated at Lys-21 and/or Lys-22 by UBE2D3. Ubiquitin chain elongation is then performed by CDC34 in cooperation with the SCF(FBXW11) E3 ligase complex, building ubiquitin chains from the UBE2D3-primed NFKBIA-linked ubiquitin. The resulting polyubiquitination leads to protein degradation. Also ubiquitinated by SCF(BTRC) following stimulus-dependent phosphorylation at Ser-32 and Ser-36. Deubiquitinated by porcine reproductive and respiratory syndrome virus Nsp2 protein, which thereby interferes with NFKBIA degradation and impairs subsequent NF-kappa-B activation. DISEASE: Defects in NFKBIA are the cause of ectodermal dysplasia anhidrotic with T-cell immunodeficiency autosomal dominant (ADEDAID) [MIM:612132]. Ectodermal dysplasia defines a heterogeneous group of disorders due to abnormal development of two or more ectodermal structures. ADEDAID is an ectodermal dysplasia associated with decreased production of pro-inflammatory cytokines and certain interferons, rendering patients susceptible to infection. Similarity: Belongs to the NF-kappa-B inhibitor family. Contains 5 ANK repeats. SWISS: P25963 Gene ID: 4792 Database links: Entrez Gene: 4792 Human Entrez Gene: 18035 Mouse Entrez Gene: 25493 Rat Omim: 164008 Human SwissProt: P25963 Human SwissProt: Q9Z1E3 Mouse SwissProt: Q63746 Rat Unigene: 81328 Human Unigene: 170515 Mouse Unigene: 12550 Rat Important Note: This product as supplied is intended for research use only, not for use in human, therapeutic or diagnostic applications. |
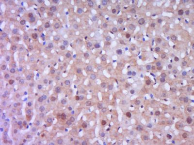
| 产品图片 | ![]() Sample:293T Cell (Human) Lysate at 40 ug Primary: Anti-p-NFKBIA(Tyr305)(bs-5515R)at 1/300 dilution Secondary: IRDye800CW Goat Anti-Rabbit IgG at 1/20000 dilution Predicted band size: 35 kD Observed band size: 38 kD ![]() Paraformaldehyde-fixed, paraffin embedded (mouse brain); Antigen retrieval by boiling in sodium citrate buffer (pH6.0) for 15min; Block endogenous peroxidase by 3% hydrogen peroxide for 20 minutes; Blocking buffer (normal goat serum) at 37°C for 30min; Antibody incubation with (phospho-IKB alpha (Tyr305) ) Polyclonal Antibody, Unconjugated (bs-5515R) at 1:400 overnight at 4°C, followed by a conjugated secondary antibody (sp-0023) for 20 minutes and DAB staining. ![]() Tissue/cell: human colon carcinoma; 4% Paraformaldehyde-fixed and paraffin-embedded; Antigen retrieval: citrate buffer ( 0.01M, pH 6.0 ), Boiling bathing for 15min; Block endogenous peroxidase by 3% Hydrogen peroxide for 30min; Blocking buffer (normal goat serum,C-0005) at 37℃ for 20 min; Incubation: Anti-NFKBIA Polyclonal Antibody, Unconjugated(bs-5515R) 1:200, overnight at 4°C, followed by conjugation to the secondary antibody(SP-0023) and DAB(C-0010) staining ![]() Paraformaldehyde-fixed, paraffin embedded (Mouse liver); Antigen retrieval by boiling in sodium citrate buffer (pH6.0) for 15min; Block endogenous peroxidase by 3% hydrogen peroxide for 20 minutes; Blocking buffer (normal goat serum) at 37°C for 30min; Antibody incubation with (p-IKB alpha (Tyr305)) Polyclonal Antibody, Unconjugated (bs-5515R) at 1:400 overnight at 4°C, followed by operating according to SP Kit(Rabbit) (sp-0023) instructionsand DAB staining. ![]() Blank control (blue line): Hela (fixed with 70% methanol (Overnight at 4℃) and then permeabilized with 90% ice-cold methanol for 20 min at -20℃). Primary Antibody (green line): Rabbit Anti-phospho-IKB alpha (Tyr305) antibody (bs-5515R),Dilution: 1μg /10^6 cells; Isotype Control Antibody (orange line): Rabbit IgG . Secondary Antibody (white blue line): Goat anti-rabbit IgG-PE,Dilution: 1μg /test. ![]() Blank control (blue line): Jurkat (fixed with 2% paraformaldehyde (10 min) , then permeabilized with 90% ice-cold methanol for 30 min on ice). Primary Antibody (green line): Rabbit Anti-phospho-IKB alpha (Tyr305) antibody (bs-5515R),Dilution: 1μg /10^6 cells; Isotype Control Antibody (orange line): Rabbit IgG . Secondary Antibody (white blue line): Goat anti-rabbit IgG-FITC,Dilution: 1μg /test. |
风险提示:丁香通仅作为第三方平台,为商家信息发布提供平台空间。用户咨询产品时请注意保护个人信息及财产安全,合理判断,谨慎选购商品,商家和用户对交易行为负责。对于医疗器械类产品,请先查证核实企业经营资质和医疗器械产品注册证情况。
文献和实验【求助】矛盾的实验结果:IKb alpha和NFKB同时升高
吴佰霖 我的基因过表达,结合文献,推理应该是IKb alpha下降,而NFKB升高 (IKb可磷酸化NFKB,使后者降低) 但现在我的结果是两者同时升高,请问可能的原因有哪些呢? 谢谢 woxingwosu 可否检测一下NFKB的磷酸化情况? erik NFKB是检测核内的吗?检测p65还是p50/ 吴佰霖 检测总蛋白
NF-kB活化用western检测的话,一般是用磷酸化的抗体检测,这是比较常用的 好的杂志特别是NCS系列的,那些文章会用WB,报告基因,EMSA,免疫组化等几种方法同时使用去说明问题的 本文由丁香园论坛提供,想了解更多有用的、有意思的前沿资讯以及酷炫的实验方法的你,都可以成为师兄的好伙伴 师兄微信号:shixiongcoming
运用Cell Based Elisa检测信号通路蛋白和磷酸化蛋白
results of phosphorylated proteins磷酸化的试剂盒中的抗体是经过大量筛选,选取了高特异性和低背景的抗体。p-P38MAPK抗体是基于P38的磷酸化Thr180到Tyr182这个位点多肽片段所制备。P-JNK抗体是基于人的Thr183和Tyr185.这个抗体可以同时识别P-JNK1和P-JNK2.我们在运用Cell Based Elisa P38和JNK两个试剂盒做检测的同时,又用传统的WB方式来验证这个结果。经过反复验证,都得出了同样的结果, Cell Based
技术资料暂无技术资料 索取技术资料
















