相关产品推荐更多 >
万千商家帮你免费找货
0 人在求购买到急需产品
- 详细信息
- 文献和实验
- 技术资料
- 供应商:
上海联迈生物工程有限公司
- 库存:
大量
- 目录编号:
LM-5476R
- 克隆性:
多克隆
- 抗原来源:
Rabbit
- 保质期:
1年
- 抗体英文名:
phospho-P38 MAPK (Thr180)
- 抗体名:
磷酸化p38MAPK抗体
- 宿主:
Rabbit
- 适应物种:
Human, Mouse, Rat, Chicken, Dog, Pig, Horse, Rabbit,
- 免疫原:
KLH conjugated Synthesised phosphopeptide derived from human MAPK14 around the phosphorylation site of Thr180:EM(p-T)G
- 亚型:
IgG
- 形态:
Lyophilized or Liquid
- 应用范围:
WB=1:500-2000 ELISA=1:500-1000 IHC-P=1:400-800 IHC-F=1:400-800 Flow-Cyt=1μg/Test IF=1:100-500 (石蜡切片需做抗原修复)
- 浓度:
1mg/ml
- 保存条件:
Store at -20 °C
- 规格:
100ul
| 英文名称 | phospho-P38 MAPK (Thr180) |
| 中文名称 | 磷酸化p38MAPK抗体 |
| 别 名 | p38 (phospho T180); p-p38 (phospho T180); MAPK14(phospho T180); CSAID Binding Protein 1; CSAID binding protein; CSAID-binding protein; Csaids binding protein; CSBP 1; CSBP 2; CSBP; CSBP1; CSBP2; CSPB 1; CSPB1; Cytokine suppressive anti inflammatory drug binding protein; Cytokine suppressive anti-inflammatory drug-binding protein; EXIP; MAP kinase 14; MAP kinase MXI2; MAP kinase p38 alpha; MAPK 14; MAPK14; MAX interacting protein 2; MAX-interacting protein 2; Mitogen Activated Protein Kinase 14; Mitogen activated protein kinase p38 alpha; Mitogen-activated protein kinase 14; Mitogen-activated protein kinase p38 alpha; MK14_HUMAN; Mxi 2; Mxi2; p38 ALPHA; p38; p38 MAP kinase; p38 MAPK; p38 mitogen activated protein kinase; p38ALPHA; p38alpha Exip; PRKM14; PRKM15; RK; SAPK 2A; SAPK2A; Stress Activated Protein Kinase 2A. |
| 规格价格 | 100ul/1580元 购买 大包装/询价 |
| 说 明 书 | 100ul |
| 产品类型 | 磷酸化抗体 |
| 研究领域 | 肿瘤 免疫学 信号转导 转录调节因子 激酶和磷酸酶 |
| 抗体来源 | Rabbit |
| 克隆类型 | Polyclonal |
| 交叉反应 | Human, Mouse, Rat, Chicken, Dog, Pig, Horse, Rabbit, |
| 产品应用 | WB=1:500-2000 ELISA=1:500-1000 IHC-P=1:400-800 IHC-F=1:400-800 Flow-Cyt=1μg/Test IF=1:100-500 (石蜡切片需做抗原修复) not yet tested in other applications. optimal dilutions/concentrations should be determined by the end user. |
| 分 子 量 | 41kDa |
| 细胞定位 | 细胞核 细胞浆 |
| 性 状 | Lyophilized or Liquid |
| 浓 度 | 1mg/ml |
| 免 疫 原 | KLH conjugated Synthesised phosphopeptide derived from human MAPK14 around the phosphorylation site of Thr180:EM(p-T)G |
| 亚 型 | IgG |
| 纯化方法 | affinity purified by Protein A |
| 储 存 液 | 0.01M TBS(pH7.4) with 1% BSA, 0.03% Proclin300 and 50% Glycerol. |
| 保存条件 | Store at -20 °C for one year. Avoid repeated freeze/thaw cycles. The lyophilized antibody is stable at room temperature for at least one month and for greater than a year when kept at -20°C. When reconstituted in sterile pH 7.4 0.01M PBS or diluent of antibody the antibody is stable for at least two weeks at 2-4 °C. |
| PubMed | PubMed |
| 产品介绍 | background: p38 is a 38 kDa Stress Activated Protein Kinase/Map Kinase (SAPK/MAPK) that is fully activated by dual phosphorylation on threonine 180 and tyrosine 182, within the activation loop. p38 MAPK plays a critical role in the initiation of G2 delay after ultraviolet radiation; gene knock out studies have also revealed a critical role for p38 in cardiac remodeling. Downstream targets of p38 include the transcription factors ELK1 and ATF2 and the kinases MAPKAPK2 and MAPKAPK5. p38 MAPK plays a role in the production of IL6 and is thought to stabilize erythropoietin production during hypoxic stress. It is activated by environmental stress, many proinflammatory cytokines and lipopolysaccharide. Dual phosphorylation by MAP2K3 and MAP2K6 is required for activation of p38 MAPK. It interacts with MAX, Cdc25B, Cdc25C and binds to the kinase interaction domain in the protein tyrosine phosphatase PTPRR; this interaction retains p38 MAPK in the cytoplasm. Function: Serine/threonine kinase which acts as an essential component of the MAP kinase signal transduction pathway. MAPK14 is one of the four p38 MAPKs which play an important role in the cascades of cellular responses evoked by extracellular stimuli such as proinflammatory cytokines or physical stress leading to direct activation of transcription factors. Accordingly, p38 MAPKs phosphorylate a broad range of proteins and it has been estimated that they may have approximately 200 to 300 substrates each. Some of the targets are downstream kinases which are activated through phosphorylation and further phosphorylate additional targets. RPS6KA5/MSK1 and RPS6KA4/MSK2 can directly phosphorylate and activate transcription factors such as CREB1, ATF1, the NF-kappa-B isoform RELA/NFKB3, STAT1 and STAT3, but can also phosphorylate histone H3 and the nucleosomal protein HMGN1. RPS6KA5/MSK1 and RPS6KA4/MSK2 play important roles in the rapid induction of immediate-early genes in response to stress or mitogenic stimuli, either by inducing chromatin remodeling or by recruiting the transcription machinery. On the other hand, two other kinase targets, MAPKAPK2/MK2 and MAPKAPK3/MK3, participate in the control of gene expression mostly at the post-transcriptional level, by phosphorylating ZFP36 (tristetraprolin) and ELAVL1, and by regulating EEF2K, which is important for the elongation of mRNA during translation. MKNK1/MNK1 and MKNK2/MNK2, two other kinases activated by p38 MAPKs, regulate protein synthesis by phosphorylating the initiation factor EIF4E2. MAPK14 interacts also with casein kinase II, leading to its activation through autophosphorylation and further phosphorylation of TP53/p53. In the cytoplasm, the p38 MAPK pathway is an important regulator of protein turnover. For example, CFLAR is an inhibitor of TNF-induced apoptosis whose proteasome-mediated degradation is regulated by p38 MAPK phosphorylation. In a similar way, MAPK14 phosphorylates the ubiquitin ligase SIAH2, regulating its activity towards EGLN3. MAPK14 may also inhibit the lysosomal degradation pathway of autophagy by interfering with the intracellular trafficking of the transmembrane protein ATG9. Another function of MAPK14 is to regulate the endocytosis of membrane receptors by different mechanisms that impinge on the small GTPase RAB5A. In addition, clathrin-mediated EGFR internalization induced by inflammatory cytokines and UV irradiation depends on MAPK14-mediated phosphorylation of EGFR itself as well as of RAB5A effectors. Ectodomain shedding of transmembrane proteins is regulated by p38 MAPKs as well. In response to inflammatory stimuli, p38 MAPKs phosphorylate the membrane-associated metalloprotease ADAM17. Such phosphorylation is required for ADAM17-mediated ectodomain shedding of TGF-alpha family ligands, which results in the activation of EGFR signaling and cell proliferation. Another p38 MAPK substrate is FGFR1. FGFR1 can be translocated from the extracellular space into the cytosol and nucleus of target cells, and regulates processes such as rRNA synthesis and cell growth. FGFR1 translocation requires p38 MAPK activation. In the nucleus, many transcription factors are phosphorylated and activated by p38 MAPKs in response to different stimuli. Classical examples include ATF1, ATF2, ATF6, ELK1, PTPRH, DDIT3, TP53/p53 and MEF2C and MEF2A. The p38 MAPKs are emerging as important modulators of gene expression by regulating chromatin modifiers and remodelers. The promoters of several genes involved in the inflammatory response, such as IL6, IL8 and IL12B, display a p38 MAPK-dependent enrichment of histone H3 phosphorylation on 'Ser-10' (H3S10ph) in LPS-stimulated myeloid cells. This phosphorylation enhances the accessibility of the cryptic NF-kappa-B-binding sites marking promoters for increased NF-kappa-B recruitment. Phosphorylates CDC25B and CDC25C which is required for binding to 14-3-3 proteins and leads to initiation of a G2 delay after ultraviolet radiation. Phosphorylates TIAR following DNA damage, releasing TIAR from GADD45A mRNA and preventing mRNA degradation. The p38 MAPKs may also have kinase-independent roles, which are thought to be due to the binding to targets in the absence of phosphorylation. Protein O-Glc-N-acylation catalyzed by the OGT is regulated by MAPK14, and, although OGT does not seem to be phosphorylated by MAPK14, their interaction increases upon MAPK14 activation induced by glucose deprivation. This interaction may regulate OGT activity by recruiting it to specific targets such as neurofilament H, stimulating its O-Glc-N-acylation. Required in mid-fetal development for the growth of embryo-derived blood vessels in the labyrinth layer of the placenta. Also plays an essential role in developmental and stress-induced erythropoiesis, through regulation of EPO gene expression. Isoform MXI2 activation is stimulated by mitogens and oxidative stress and only poorly phosphorylates ELK1 and ATF2. Isoform EXIP may play a role in the early onset of apoptosis. Phosphorylates S100A9 at 'Thr-113'. Subunit: Binds to a kinase interaction motif within the protein tyrosine phosphatase, PTPRR (By similarity). This interaction retains MAPK14 in the cytoplasm and prevents nuclear accumulation. Interacts with SPAG9 and GADD45A. Interacts with CDC25B, CDC25C, DUSP1, DUSP10, DUSP16, NP60, FAM48A and TAB1. Interacts with casein kinase II subunits CSNK2A1 and CSNK2B. Subcellular Location: Cytoplasm. Nucleus. Tissue Specificity: Brain, heart, placenta, pancreas and skeletal muscle. Expressed to a lesser extent in lung, liver and kidney. Post-translational modifications: Dually phosphorylated on Thr-180 and Tyr-182 by the MAP2Ks MAP2K3/MKK3, MAP2K4/MKK4 and MAP2K6/MKK6 in response to inflammatory citokines, environmental stress or growth factors, which a ctivates the enzyme. Dual phosphorylation can also be mediated by TAB1-mediated autophosphorylation. TCR engagement in T-cells also leads to Tyr-323 phosphorylation by ZAP70. Dephosphorylated and inactivated by DUPS1, DUSP10 and DUSP16. Acetylated at Lys-53 and Lys-152 by KAT2B and EP300. Acetylation at Lys-53 increases the affinity for ATP and enhances kinase activity. Lys-53 and Lys-152 are deacetylated by HDAC3. Ubiquitinated. Ubiquitination leads to degradation by the proteasome pathway. Similarity: Belongs to the protein kinase superfamily. CMGC Ser/Thr protein kinase family. MAP kinase subfamily. Contains 1 protein kinase domain. SWISS: Q16539 Gene ID: 1432 Database links: Entrez Gene: 1432 Human Entrez Gene: 26416 Mouse Entrez Gene: 81649 Rat Entrez Gene: 403856 Dog GenBank: NM_001315 Human GenBank: NM_139012 Human GenBank: NM_011951 Mouse GenBank: NM_031020 Rat Omim: 600289 Human SwissProt: O02812 Dog SwissProt: Q16539 Human SwissProt: P47811 Mouse SwissProt: P70618 Rat Unigene: 485233 Human Unigene: 311337 Mouse Unigene: 88085 Rat Important Note: This product as supplied is intended for research use only, not for use in human, therapeutic or diagnostic applications. 丝裂原活化蛋白激酶p38(p38 MAPK、磷酸化pERK)参与细胞生长、增殖、分化、死亡及细胞间的功能同步等多种生理过程。 P-p38MAPK是丝裂原活化蛋白激酶家族中的成员之一,大量研究显示p38在能量代谢中具有广泛的作用。p38参与脂肪组织、骨骼肌、胰岛细胞和肝脏等组织、器官的能量代谢。 p38 MAPK:作为细胞信号传递系统的交汇点,细胞内普遍存在的一条信号转导通路。细胞外的物理应激因子,如高渗透压、热休克、紫外线以及细胞因子、内毒素脂多糖(LPS)等都能激活该途径,诱导细胞内蛋白质合成与分泌、细胞分化及凋亡等生物效应。p38 MAPK还能与细胞内其他信号通路之间相互作用,是细胞内信号传递系统的交汇点或共同通路。p38 MAPK一旦被激活后,可以使一些转录因子如CREB、转录活化因子-1(activating factor-1, ATF-1)、ATF-2及活化蛋白-1(AP-1)等的丝氨酸和苏氨酸位点磷酸化,活化这些转录因子,从而调节目的基因的表达。 p38(丝氨酸位点)磷酸化后可以直接激活转录因子,参与机体的应激反应。 |
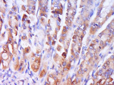
| 产品图片 | ![]() Sample: Muscle (Mouse) Lysate at 40 ug Muscle (Rat) Lysate at 40 ug Primary: Anti- phospho-P38 MAPK (Thr180) (bs-5476R) at 1/300 dilution Secondary: IRDye800CW Goat Anti-Rabbit IgG at 1/20000 dilution Predicted band size: 41 kD Observed band size: 41 kD ![]() Paraformaldehyde-fixed, paraffin embedded (Rat stomach); Antigen retrieval by boiling in sodium citrate buffer (pH6.0) for 15min; Block endogenous peroxidase by 3% hydrogen peroxide for 20 minutes; Blocking buffer (normal goat serum) at 37°C for 30min; Antibody incubation with (p-P38 MAPK (Thr180)) Polyclonal Antibody, Unconjugated (bs-5476R) at 1:400 overnight at 4°C, followed by operating according to SP Kit(Rabbit) (sp-0023) instructions and DAB staining. ![]() Paraformaldehyde-fixed, paraffin embedded (Mouse brain); Antigen retrieval by boiling in sodium citrate buffer (pH6.0) for 15min; Block endogenous peroxidase by 3% hydrogen peroxide for 20 minutes; Blocking buffer (normal goat serum) at 37°C for 30min; Antibody incubation with (p-P38 MAPK (Thr180)) Polyclonal Antibody, Unconjugated (bs-5476R) at 1:400 overnight at 4°C, followed by operating according to SP Kit(Rabbit) (sp-0023) instructionsand DAB staining. ![]() Blank control(blue): Hela (fixed with 2% paraformaldehyde (10 min),then permeabilized with 0.3%tritionx-100 for 5 min at room temperature). Primary Antibody:Rabbit Anti-phospho-P38 MAPK (Thr180) antibody (bs-5476R)Dilution: 1μg in 100 μL 1X PBS containing 0.5% BSA; Isotype Control Antibody: Rabbit IgG(orange) ,used under the same conditions ); Secondary Antibody: Goat anti-rabbit IgG-FITC), Dilution: 1:200 in 1 X PBS containing 0.5% BSA. |
风险提示:丁香通仅作为第三方平台,为商家信息发布提供平台空间。用户咨询产品时请注意保护个人信息及财产安全,合理判断,谨慎选购商品,商家和用户对交易行为负责。对于医疗器械类产品,请先查证核实企业经营资质和医疗器械产品注册证情况。
文献和实验【求助】急急求助答案——关于SB203580抑制P38MAPK的自身磷酸化
影响p38的底物,所以,SB203580不能对p38的自身磷酸化产生作用。 不知道这样的回答能不能解决你的疑问,呵呵。 我是selleckchem中国区域的技术支持,SB203580也正好是公司的产品。 472127081 受用啊 linqinger P38MAPK信号通路阻断剂种类繁多,最常见的是一种啦略咪啤芳基杂环类复合物,常用的有SB203580、SB202190、SB220025
运用Cell Based Elisa检测信号通路蛋白和磷酸化蛋白
results of phosphorylated proteins磷酸化的试剂盒中的抗体是经过大量筛选,选取了高特异性和低背景的抗体。p-P38MAPK抗体是基于P38的磷酸化Thr180到Tyr182这个位点多肽片段所制备。P-JNK抗体是基于人的Thr183和Tyr185.这个抗体可以同时识别P-JNK1和P-JNK2.我们在运用Cell Based Elisa P38和JNK两个试剂盒做检测的同时,又用传统的WB方式来验证这个结果。经过反复验证,都得出了同样的结果, Cell Based
【求助】请问如何检测RAS、MAPK、p38、p21 ?参与者:liqunfeng请问如何检测RAS、MAPK、p38、p21??谁帮帮我啊参与者:xiaolx你在网上搜搜别人的实验中怎么检测的,不就知道了。p38,我师姐做过免疫组化。参与者:zhangyuelin1999检测信号通路现在用的比较多的方法应该是Western blot,它是测细胞中的蛋白含量(半定量)的最好方法了,免疫组化检测是定性的!如果时间充裕的话,你可以两种方法都可以做的。RAS:Ras蛋白是细胞内的一种小分子GTP结合
技术资料暂无技术资料 索取技术资料














