相关产品推荐更多 >
万千商家帮你免费找货
0 人在求购买到急需产品
- 详细信息
- 文献和实验
- 技术资料
- 供应商:
上海联迈生物工程有限公司
- 库存:
大量
- 目录编号:
LM-5203R
- 克隆性:
多克隆
- 抗原来源:
Rabbit
- 保质期:
1年
- 抗体英文名:
phospho-ATG4D (Ser467)
- 抗体名:
磷酸化自噬相关蛋白4D抗体
- 宿主:
Rabbit
- 适应物种:
Human, Mouse, Rat, Dog, Pig, Cow, Horse, Rabbit,
- 免疫原:
KLH conjugated Synthesised phosphopeptide derived from human ATG4D around the phosphorylation site of Ser467:RP(p-S)SE
- 亚型:
IgG
- 形态:
Lyophilized or Liquid
- 应用范围:
WB=1:500-2000 ELISA=1:500-1000 IHC-P=1:400-800 IHC-F=1:400-800 IF=1:100-500 (石蜡切片需做抗原修复)
- 浓度:
1mg/ml
- 保存条件:
Store at -20 °C
- 规格:
100ul
| 英文名称 | phospho-ATG4D (Ser467) |
| 中文名称 | 磷酸化自噬相关蛋白4D抗体 |
| 别 名 | ATG4D (phospho-S467); 9830134P12Rik; APG4 autophagy 4 homolog D; APG4 D; APG4, S. cerevisiae, homolog of, D; APG4D; ATG4 autophagy related 4 homolog D (S. cerevisiae); Atg4d; ATG4D_HUMAN; Atg4dl; AUT like 4 cysteine endopeptidase; AUT-like 4 cysteine endopeptidase; AUTL4; Autophagin 4; Autophagin-4; autophagy 4, S. cerevisiae, homolog of, D; autophagy related 4D, cysteine peptidase; Autophagy related cysteine endopeptidase 4; Autophagy related protein 4 homolog D; Autophagy-related cysteine endopeptidase 4; Autophagy-related protein 4 homolog D; Cysteine protease ATG4D; Cysteine protease involved in autophagy; MGC31226. |
| 规格价格 | 100ul/1580元 购买 大包装/询价 |
| 说 明 书 | 100ul |
| 产品类型 | 磷酸化抗体 |
| 研究领域 | 肿瘤 信号转导 细胞凋亡 |
| 抗体来源 | Rabbit |
| 克隆类型 | Polyclonal |
| 交叉反应 | Human, Mouse, Rat, Dog, Pig, Cow, Horse, Rabbit, |
| 产品应用 | WB=1:500-2000 ELISA=1:500-1000 IHC-P=1:400-800 IHC-F=1:400-800 IF=1:100-500 (石蜡切片需做抗原修复) not yet tested in other applications. optimal dilutions/concentrations should be determined by the end user. |
| 分 子 量 | 53kDa |
| 细胞定位 | 细胞浆 |
| 性 状 | Lyophilized or Liquid |
| 浓 度 | 1mg/ml |
| 免 疫 原 | KLH conjugated Synthesised phosphopeptide derived from human ATG4D around the phosphorylation site of Ser467:RP(p-S)SE |
| 亚 型 | IgG |
| 纯化方法 | affinity purified by Protein A |
| 储 存 液 | 0.01M TBS(pH7.4) with 1% BSA, 0.03% Proclin300 and 50% Glycerol. |
| 保存条件 | Store at -20 °C for one year. Avoid repeated freeze/thaw cycles. The lyophilized antibody is stable at room temperature for at least one month and for greater than a year when kept at -20°C. When reconstituted in sterile pH 7.4 0.01M PBS or diluent of antibody the antibody is stable for at least two weeks at 2-4 °C. |
| PubMed | PubMed |
| 产品介绍 | background: Autophagy is the process by which endogenous proteins and damaged organelles are destroyed intracellularly. Autophagy is postulated to be essential for cell homeostasis and cell remodeling during differentiation, metamorphosis, non-apoptotic cell death, and aging. Reduced levels of autophagy have been described in some malignant tumors, and a role for autophagy in controlling the unregulated cell growth linked to cancer has been proposed. This gene belongs to the autophagy-related protein 4 (Atg4) family of C54 endopeptidases. Members of this family encode proteins that play a role in the biogenesis of autophagosomes, which sequester the cytosol and organelles for degradation by lysosomes. Alternative splicing results in multiple transcript variants. [provided by RefSeq, Jul 2013] Function: Cysteine protease ATG4D: Cysteine protease required for the cytoplasm to vacuole transport (Cvt) and autophagy. Cleaves the C-terminal amino acid of ATG8 family proteins MAP1LC3 and GABARAPL2, to reveal a C-terminal glycine. Exposure of the glycine at the C-terminus is essential for ATG8 proteins conjugation to phosphatidylethanolamine (PE) and insertion to membranes, which is necessary for autophagy. Has also an activity of delipidating enzyme for the PE-conjugated forms. Cysteine protease ATG4D, mitochondrial: Plays a role as an autophagy regulator that links mitochondrial dysfunction with apoptosis. The mitochondrial import of ATG4D during cellular stress and differentiation may play important roles in the regulation of mitochondrial physiology, ROS, mitophagy and cell viability. Subcellular Location: Cysteine protease ATG4D: Cytoplasm. Cysteine protease ATG4D, mitochondrial: Cytoplasm. Mitochondrion matrix. Note=Imported into mitochondrial matrix after cleavage by CASP3 during oxidative stress and cell death. Tissue Specificity: Mainly expressed in skeletal muscle and, to a lower extent, in testis. Post-translational modifications: Cleaved by CASP3 during apoptosis which leads to increased activity. The cleavage by CASP3 reveals a cryptic mitochondrial targeting sequence immediately downstream of their canonical caspase cleavage sites which leads to mitochondroal import of the protein. Similarity: Belongs to the peptidase C54 family. SWISS: Q86TL0 Gene ID: 84971 Database links: Entrez Gene: 84971 Human Entrez Gene: 235040 Mouse Entrez Gene: 100141400 Pig Entrez Gene: 686505 Rat Omim: 611340 Human SwissProt: Q86TL0 Human SwissProt: Q8BGV9 Mouse SwissProt: Q684M2 Pig Unigene: 512799 Human Unigene: 440165 Mouse Unigene: 202643 Rat Important Note: This product as supplied is intended for research use only, not for use in human, therapeutic or diagnostic applications. |
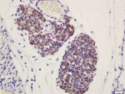
| 产品图片 | ![]() Tissue/cell: Mouse embryos tissue; 4% Paraformaldehyde-fixed and paraffin-embedded; Antigen retrieval: citrate buffer ( 0.01M, pH 6.0 ), Boiling bathing for 15min; Block endogenous peroxidase by 3% Hydrogen peroxide for 30min; Blocking buffer (normal goat serum,C-0005) at 37℃ for 20 min; Incubation: Anti-phospho-ATG4D (Ser467) Polyclonal Antibody, Unconjugated(bs-5203R) 1:200, overnight at 4°C, followed by conjugation to the secondary antibody(SP-0023) and DAB(C-0010) staining |
风险提示:丁香通仅作为第三方平台,为商家信息发布提供平台空间。用户咨询产品时请注意保护个人信息及财产安全,合理判断,谨慎选购商品,商家和用户对交易行为负责。对于医疗器械类产品,请先查证核实企业经营资质和医疗器械产品注册证情况。
文献和实验Using Phospho‐Motif Antibodies to Determine Kinase Substrates
the phosphorylation site; therefore, substrate?directed, phosphorylation?state?sensitive, motif?specific (?phospho?motif?) antibodies represent powerful tools to identify novel kinase substrates and to investigate mechanisms of substrate phosphorylation
), and causes activation of KOR. Agonist-activated KOR becomes a substrate for G protein receptor kinase (GRK), which phosphorylates the Ser369 residue at the C-terminal tail of the receptor in the first step in the β-Arrestin-dependent desensitization cascade
at 10, 25, and 50 μM). At 24 h post-treatment, celllysates were obtained; SDS-PAGE and Western blotting were performed as described in Section 3, Methods. AR-A014418dose-dependent decreases of phospho-β-catenin (Ser33/37) and phospho-glycogen synthase
技术资料暂无技术资料 索取技术资料











