相关产品推荐更多 >
万千商家帮你免费找货
0 人在求购买到急需产品
- 详细信息
- 文献和实验
- 技术资料
- 供应商:
上海联迈生物工程有限公司
- 库存:
大量
- 目录编号:
LM-7253R
- 克隆性:
多克隆
- 抗原来源:
Rabbit
- 保质期:
1年
- 抗体英文名:
ZNF408
- 抗体名:
锌指蛋白408抗体
- 宿主:
Rabbit
- 适应物种:
Human, Mouse, Pig, Cow, Horse, Rabbit, Sheep,
- 免疫原:
KLH conjugated synthetic peptide derived from human ZNF408:541-640/720
- 亚型:
IgG
- 形态:
Lyophilized or Liquid
- 应用范围:
ELISA=1:500-1000 IHC-P=1:400-800 IHC-F=1:400-800 ICC=1:100-500 IF=1:100-500 (石蜡切片需做抗原修复)
- 浓度:
1mg/ml
- 保存条件:
Store at -20 °C
- 规格:
100ul 200ul
| 英文名称 | ZNF408 |
| 中文名称 | 锌指蛋白408抗体 |
| 别 名 | PFM14; PR domain zinc finger protein 17; PRDM17; Zinc finger protein 408; ZN408_HUMAN; ZNF408. |
| 规格价格 | 100ul/1380元 购买 200ul/2200元 购买 大包装/询价 |
| 说 明 书 | 100ul 200ul |
| 研究领域 | 转录调节因子 锌指蛋白 表观遗传学 |
| 抗体来源 | Rabbit |
| 克隆类型 | Polyclonal |
| 交叉反应 | Human, Mouse, Pig, Cow, Horse, Rabbit, Sheep, |
| 产品应用 | ELISA=1:500-1000 IHC-P=1:400-800 IHC-F=1:400-800 ICC=1:100-500 IF=1:100-500 (石蜡切片需做抗原修复) not yet tested in other applications. optimal dilutions/concentrations should be determined by the end user. |
| 分 子 量 | 78kDa |
| 细胞定位 | 细胞核 |
| 性 状 | Lyophilized or Liquid |
| 浓 度 | 1mg/ml |
| 免 疫 原 | KLH conjugated synthetic peptide derived from human ZNF408:541-640/720 |
| 亚 型 | IgG |
| 纯化方法 | affinity purified by Protein A |
| 储 存 液 | Preservative: 15mM Sodium Azide, Constituents: 1% BSA, 0.01M PBS, pH 7.4 |
| 保存条件 | Store at -20 °C for one year. Avoid repeated freeze/thaw cycles. The lyophilized antibody is stable at room temperature for at least one month and for greater than a year when kept at -20°C. When reconstituted in sterile pH 7.4 0.01M PBS or diluent of antibody the antibody is stable for at least two weeks at 2-4 °C. |
| PubMed | PubMed |
| 产品介绍 | background: ZNF408 (Zinc Finger Protein 408) is a Protein Coding gene. Diseases associated with ZNF408 include exudative vitreoretinopathy 6 and retinitis pigmentosa 72. GO annotations related to this gene include identical protein binding. Function: May be involved in transcriptional regulation. Subcellular Location: Nucleus. Similarity: Contains 10 C2H2-type zinc fingers. SWISS: Q9H9D4 Gene ID: 79797 Database links: Entrez Gene: 617377 Cow Entrez Gene: 483630 Dog Entrez Gene: 100057443 Horse Entrez Gene: 79797 Human SwissProt: Q9H9D4 Human Unigene: 656931 Human Important Note: This product as supplied is intended for research use only, not for use in human, therapeutic or diagnostic applications. |
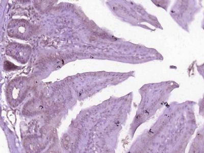
| 产品图片 | ![]() Paraformaldehyde-fixed, paraffin embedded (Mouse small intestine); Antigen retrieval by boiling in sodium citrate buffer (pH6.0) for 15min; Block endogenous peroxidase by 3% hydrogen peroxide for 20 minutes; Blocking buffer (normal goat serum) at 37°C for 30min; Antibody incubation with (ZNF408) Polyclonal Antibody, Unconjugated (bs-7253R) at 1:400 overnight at 4°C, followed by operating according to SP Kit(Rabbit) (sp-0023) instructionsand DAB staining. |
风险提示:丁香通仅作为第三方平台,为商家信息发布提供平台空间。用户咨询产品时请注意保护个人信息及财产安全,合理判断,谨慎选购商品,商家和用户对交易行为负责。对于医疗器械类产品,请先查证核实企业经营资质和医疗器械产品注册证情况。
文献和实验本文已发表于中国肿瘤生物治疗杂志.2003,10(3):221-222.【摘要】表皮生长因子受体(Epidermal Growth Factor Receptor EGFR)是原癌基因c-erb-B1的表达产物。其过表达和突变体均与肿瘤发生发展有密切关系,基于此优点成为目前肿瘤治疗的新靶点。本文就EGFR与肿瘤的关系及其单抗治疗肿瘤的进展作一综述。【关键词】表皮生长因子受体(EGFR),单克隆抗体,肿瘤治疗【中图分类号】R730.5 [文献标识码] AEGFR monocolonal
表现 Hp抗体 阳性 总数(%) 农村 有症状 358 403(88.8) (1010人) 无症状 276 637(43.3) 城市 有症状 231 441(52.4) (896人) 无症状 132 455(29.0) 合计 有症状 589 844(69.8) (1936人) 无症状 408 1092(37.4) P 2.2 Hp感染与症状的关系 由表2可见,无论城市或农村,有症状者的Hp抗体阳性率明显高于无症状者,说明症状与Hp感染密切相关。另外,Hp感染与性别、职业、是否吸�
的Morrissey博士课题组和加拿大渥太华干细胞研究中心的Brand教授课题组合作在Cell Stem Cell发表了通过单细胞蛋白质组学的方法,测定造血干细胞转录因子共表达谱系的时间特异性变化,首次直接提供了造血干细胞命运决定的蛋白质表达数据。研究人员首先对多能干细胞(CD34+ HSPC)分化为红细胞的完整进程(共22天,包括各个进程的红细胞)定时取样(每隔两天), 在每个时间点对每个单细胞进行标记,通过27种抗体联合标记对应的蛋白质,再通过质谱流式细胞术(CyTOF)同时测定多种蛋白质的表达,这样科学
技术资料暂无技术资料 索取技术资料











