相关产品推荐更多 >
万千商家帮你免费找货
0 人在求购买到急需产品
- 详细信息
- 文献和实验
- 技术资料
- 供应商:
上海联迈生物工程有限公司
- 库存:
大量
- 目录编号:
LM-4897R
- 克隆性:
多克隆
- 抗原来源:
Rabbit
- 保质期:
1年
- 抗体英文名:
CXCR7
- 抗体名:
细胞表面趋化因子受体7抗体
- 宿主:
Rabbit
- 适应物种:
Human, Mouse, Rat, Dog, Pig, Cow, Horse, Rabbit,
- 免疫原:
KLH conjugated synthetic peptide derived from human CXCR7/RDC1:151-250/362 <Extracellular>
- 亚型:
IgG
- 形态:
Lyophilized or Liquid
- 应用范围:
ELISA=1:500-1000 IHC-P=1:400-800 IHC-F=1:400-800 ICC=1:100-500 IF=1:100-500 (石蜡切片需做抗原修复)
- 浓度:
1mg/ml
- 保存条件:
Store at -20 °C
- 规格:
50ul 100ul 200ul
| 英文名称 | CXCR7 |
| 中文名称 | 细胞表面趋化因子受体7抗体 |
| 别 名 | GPCR RDC1; C X C chemokine receptor type 7; Chemokine C X C motif receptor 7; Chemokine orphan receptor 1; CMKOR1; CXC R7; CXCR 7; CXCR7; G protein coupled receptor 159; G protein coupled receptor RDC1 homolog; GPR159; RDC 1; RDC1; CXCR7_HUMAN. |
| 规格价格 | 50ul/780元 购买 100ul/1380元 购买 200ul/2200元 购买 大包装/询价 |
| 说 明 书 | 50ul 100ul 200ul |
| 研究领域 | 血管内皮细胞 b-淋巴细胞 内皮细胞 |
| 抗体来源 | Rabbit |
| 克隆类型 | Polyclonal |
| 交叉反应 | Human, Mouse, Rat, Dog, Pig, Cow, Horse, Rabbit, |
| 产品应用 | ELISA=1:500-1000 IHC-P=1:400-800 IHC-F=1:400-800 ICC=1:100-500 IF=1:100-500 (石蜡切片需做抗原修复) not yet tested in other applications. optimal dilutions/concentrations should be determined by the end user. |
| 分 子 量 | 40kDa |
| 细胞定位 | 细胞浆 细胞膜 细胞外基质 |
| 性 状 | Lyophilized or Liquid |
| 浓 度 | 1mg/ml |
| 免 疫 原 | KLH conjugated synthetic peptide derived from human CXCR7/RDC1:151-250/362 <Extracellular> |
| 亚 型 | IgG |
| 纯化方法 | affinity purified by Protein A |
| 储 存 液 | 0.01M TBS(pH7.4) with 1% BSA, 0.03% Proclin300 and 50% Glycerol. |
| 保存条件 | Store at -20 °C for one year. Avoid repeated freeze/thaw cycles. The lyophilized antibody is stable at room temperature for at least one month and for greater than a year when kept at -20°C. When reconstituted in sterile pH 7.4 0.01M PBS or diluent of antibody the antibody is stable for at least two weeks at 2-4 °C. |
| PubMed | PubMed |
| 产品介绍 | background: This gene encodes a member of the G-protein coupled receptor family. Although this protein was earlier thought to be a receptor for vasoactive intestinal peptide (VIP), it is now considered to be an orphan receptor, in that its endogenous ligand has not been identified. The protein is also a coreceptor for human immunodeficiency viruses (HIV). Translocations involving this gene and HMGA2 on chromosome 12 have been observed in lipomas. GCPR RDC1 is reported to be expressed in human cell lines and in cultured vascular endothelial cells and in rodent brain, kidney, lung, heart, spleen, pancreas, small intestine, blood, colon, and blood vessels. ESTs have been isolated from human normal bone marrow, brain, breast, cartilage, embryo, eye, fetal lung/testis/B-cell, heart, heart/melanocyte/uterus, kidney, liver/spleen, nerve, placenta, and umbilical libraries as well as several human cancer libraries. Function: Receptor for chemokines CXCL12/SDF1 and CXCL11. Does not elicit classical chemokine receptor signaling; chemokine binding does not activate G-protein-mediated signal transduction but instead induces beta-arrestin recruitment, leading to ligand internalization and activation of MAPK signaling pathway. Acts as a scavenger for CXCL12/SDF1 and, to a lesser extent, for CXCL11. Required for regulation of CXCR4 protein levels in migrating interneurons, thereby adapting their chemokine responsiveness. In glioma cells, transduces signals via MEK/ERK pathway, mediating resistance to apoptosis. Promotes cell growth and survival. Not involved in cell migration, adhesion or proliferation of normal haematopoietic progenitors but activated by CXCL11 in malignant hemapoietic cells, leading to phosphorylation of ERK1/2 (MAPK3/MAPK1) and enhanced cell adhesion and migration. Plays a regulatory role in CXCR4-mediated activation of cell surface integrins by CXCL12. Required for heart valve development. Acts as coreceptor with CXCR4 for a restricted number of HIV isolates. Subunit: Homodimer. Can form heterodimers with CXCR4; heterodimerization may regulate CXCR4 signaling activity. Subcellular Location: Cell membrane; Multi-pass membrane protein. Cytoplasm, perinuclear region. Early endosome. Recycling endosome. Note=Localized mainly in perinuclear regions in neurons and in early endosomes in T-lymphocytes and some other cell types, with very low levels detected on the cell surface. May spontaneously cycle between the plasma membrane and endosomal compartments. Tissue Specificity: Expressed in monocytes, basophils, B-cells, umbilical vein endothelial cells (HUVEC) and B-lymphoblastoid cells. Lower expression detected in CD4+ T-lymphocytes and natural killer cells. In the brain, detected in endothelial cells and capillaries, and in mature neurons of the frontal cortex and hippocampus. Expressed in tubular formation in the kidney. Highly expressed in astroglial tumor endothelial, microglial and glioma cells. Expressed at low levels in normal CD34+ progenitor cells, but at very high levels in several myeloid malignant cell lines. Expressed in breast carcinomas but not in normal breast tissue (at protein level). Similarity: Belongs to the G-protein coupled receptor 1 family. SWISS: P25106 Gene ID: 57007 Database links: Entrez Gene: 57007 Human Entrez Gene: 12778 Mouse Entrez Gene: 84348 Rat Omim: 610376 Human SwissProt: P25106 Human SwissProt: P56485 Mouse SwissProt: O89039 Rat Unigene: 471751 Human Unigene: 6522 Mouse Unigene: 12959 Rat Important Note: This product as supplied is intended for research use only, not for use in human, therapeutic or diagnostic applications. |
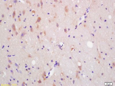
| 产品图片 | ![]() Tissue/cell: rat brain tissue; 4% Paraformaldehyde-fixed and paraffin-embedded; Antigen retrieval: citrate buffer ( 0.01M, pH 6.0 ), Boiling bathing for 15min; Block endogenous peroxidase by 3% Hydrogen peroxide for 30min; Blocking buffer (normal goat serum,C-0005) at 37℃ for 20 min; Incubation: Anti-CXCR7/RDC1 Polyclonal Antibody, Unconjugated(bs-4897R) 1:200, overnight at 4°C, followed by conjugation to the secondary antibody(SP-0023) and DAB(C-0010) staining |
风险提示:丁香通仅作为第三方平台,为商家信息发布提供平台空间。用户咨询产品时请注意保护个人信息及财产安全,合理判断,谨慎选购商品,商家和用户对交易行为负责。对于医疗器械类产品,请先查证核实企业经营资质和医疗器械产品注册证情况。
文献和实验B细胞的增殖与分化在外周淋巴组织中进行。其中,包括B细胞进入B细胞区、识别抗原、与T细胞发生相互作用、出现增殖性原发灶、形成生发中心,并在生发中心中完成抗体亲和力成熟及类别转换,最终形成浆细胞及记忆B细胞。 B细胞可以经过两种途径进入外周淋巴结,一是经由输入淋巴管,二是穿越位于淋巴结中的HEV。下面将要提到,HEV位于T细胞区,该区中的基质细胞、HEV内皮细胞以及DC可以分泌特定的趋化因子,但末被抗原激发的B细胞不表达相应的受体,因而不会停留于T细胞区
的治疗效果。 研究团队在建立的皮下胰腺癌肿瘤小鼠模型、原位胰腺癌肿瘤小鼠模型和患者来源的异种移植瘤小鼠中进行实验,可以发现共表达CXCR-6的T细胞相比较而言会表现出增强的瘤内积累,具有更持久的抗肿瘤活性,进而延长动物的生存时间。最后研究团队提出:通过在特异性CAR T细胞上共表达肿瘤特异性的趋化因子受体,是增强获得性免疫疗法治疗实体瘤的一种新策略。 研究团队为了确定胰腺癌小鼠模型中合适的趋化因子靶点,使用QPCR的方法定量不同趋化因子的RNA水平。实时荧光定量PCR(Quantitative Real
今天让我们跟着教程,以趋化因子基因家族为背景来获取序列进行多序列比对后绘制系统发育树。趋化因子背景知识趋化因子被分为四个主要的亚家族:CXC,CC,CX3C 和 XC。所有这些蛋白质都通过与 G 蛋白质连接的跨膜受体(称为趋化因子受体)相互作用而发挥其生物学作用,该受体在其靶细胞表面被选择性地发现。维基百科关于趋化因子介绍:https://zh.wikipedia.org/wiki/参考文章:Charo IF, Ransohoff RM. The many roles
技术资料暂无技术资料 索取技术资料











