相关产品推荐更多 >
万千商家帮你免费找货
0 人在求购买到急需产品
- 详细信息
- 文献和实验
- 技术资料
- 供应商:
上海联迈生物工程有限公司
- 库存:
大量
- 目录编号:
LM-3491R
- 克隆性:
多克隆
- 抗原来源:
Rabbit
- 保质期:
1年
- 抗体英文名:
Phospho-HER3 (Tyr1289)
- 抗体名:
磷酸化HER3抗体
- 宿主:
Rabbit
- 适应物种:
Human, Mouse, Rat, Dog, Cow, Horse, Rabbit,
- 免疫原:
KLH conjugated Synthesised phosphopeptide derived from human HER3 around the phosphorylation site of Tyr1289 [QG(p-Y)EE]:QG(p-Y)EE <Cytoplasmic>
- 亚型:
IgG
- 形态:
Lyophilized or Liquid
- 应用范围:
WB=1:500-2000 ELISA=1:500-1000 IHC-P=1:400-800 IHC-F=1:400-800 IF=1:100-500 (石蜡切片需做抗原修复)
- 浓度:
1mg/ml
- 保存条件:
Store at -20 °C
- 规格:
100ul
| 英文名称 | Phospho-HER3 (Tyr1289) |
| 中文名称 | 磷酸化HER3抗体 |
| 别 名 | Her3/ErbB3(phospho-Tyr1289); p-HRE3 (Tyr1289); ErbB 3 (phospho Y1289); ERBB3; c erbB 3; c erbB3; ERBB3 protein; erbB3 S; Glial growth factor receptor; HER 3; HER3; LCCS2; MDA BF 1; MGC88033; p180 ErbB3; p45 sErbB3; p85 sErbB3; proto-oncogene-like protein c ErbB 3; proto-oncogene-like protein c ErbB3; receptor tyrosine protein kinase ERB3; Receptor tyrosine protein kinase erbB 3; Receptor tyrosine protein kinase erbB3; Tyrosine kinase type cell surface receptor HER3; ERBB3_HUMAN. |
| 规格价格 | 100ul/1580元 购买 大包装/询价 |
| 说 明 书 | 100ul |
| 产品类型 | 磷酸化抗体 |
| 研究领域 | 肿瘤 细胞生物 免疫学 信号转导 细胞凋亡 生长因子和激素 转录调节因子 细胞膜受体 肿瘤细胞生物标志物 跨膜蛋白 |
| 抗体来源 | Rabbit |
| 克隆类型 | Polyclonal |
| 交叉反应 | Human, Mouse, Rat, Dog, Cow, Horse, Rabbit, |
| 产品应用 | WB=1:500-2000 ELISA=1:500-1000 IHC-P=1:400-800 IHC-F=1:400-800 IF=1:100-500 (石蜡切片需做抗原修复) not yet tested in other applications. optimal dilutions/concentrations should be determined by the end user. |
| 分 子 量 | 148kDa |
| 细胞定位 | 细胞膜 分泌型蛋白 |
| 性 状 | Lyophilized or Liquid |
| 浓 度 | 1mg/ml |
| 免 疫 原 | KLH conjugated Synthesised phosphopeptide derived from human HER3 around the phosphorylation site of Tyr1289 [QG(p-Y)EE]:QG(p-Y)EE <Cytoplasmic> |
| 亚 型 | IgG |
| 纯化方法 | affinity purified by Protein A |
| 储 存 液 | 0.01M TBS(pH7.4) with 1% BSA, 0.03% Proclin300 and 50% Glycerol. |
| 保存条件 | Store at -20 °C for one year. Avoid repeated freeze/thaw cycles. The lyophilized antibody is stable at room temperature for at least one month and for greater than a year when kept at -20°C. When reconstituted in sterile pH 7.4 0.01M PBS or diluent of antibody the antibody is stable for at least two weeks at 2-4 °C. |
| PubMed | PubMed |
| 产品介绍 | background: ErbB3 is a member of the epidermal growth factor receptor (EGFR) family of receptor tyrosine kinases. ErbB3 is a membrane-bound protein which has a neuregulin binding domain but not an active kinase domain. It can therefore bind this ligand but cannot convey a signal into the cell via protein phosphorylation. However it does form heterodimers with other EGF receptor family members which do have kinase activity. Heterodimerization leads to the activation of pathways which lead to cell proliferation or differentiation. Amplification of this gene and/or overexpression of its protein have been reported in numerous cancers including prostate, bladder and breast tumors. Alternate transcriptional splice variants encoding different isoforms have been characterized. Isoform 2 lacks the intermembrane region and is secreted outside the cell. This form acts to modulate the activity of the membrane-bound form. Additional splice variants have also been reported but they have not been thoroughly characterized. Defects in ERBB3 are the cause of lethal congenital contracture syndrome type 2 (LCCS2); also called Israeli Bedouin multiple contracture syndrome type A. LCCS2 is an autosomal recessive neurogenic form of a neonatally lethal arthrogryposis that is associated with atrophy of the anterior horn of the spinal cord. Function: Binds and is activated by neuregulins and NTAK. Subunit: Monomer and homodimer. Heterodimer with each of the other ERBB receptors (Potential). Interacts with CSPG5, PA2G4, GRB7 and MUC1. Subcellular Location: Isoform 1: Cell membrane; Single-pass type I membrane protein. Isoform 2: Secreted. Tissue Specificity: Epithelial tissues and brain. Post-translational modifications: Ligand-binding increases phosphorylation on tyrosine residues and promotes its association with the p85 subunit of phosphatidylinositol 3-kinase. Subject to autophosphorylation. DISEASE: Defects in ERBB3 are the cause of lethal congenital contracture syndrome type 2 (LCCS2) [MIM:607598]; also called Israeli Bedouin multiple contracture syndrome type A. LCCS2 is an autosomal recessive neurogenic form of a neonatally lethal arthrogryposis that is associated with atrophy of the anterior horn of the spinal cord. The LCCS2 syndrome is characterized by multiple joint contractures, anterior horn atrophy in the spinal cord, and a unique feature of a markedly distended urinary bladder. The phenotype suggests a spinal cord neuropathic etiology. Similarity: Belongs to the protein kinase superfamily. Tyr protein kinase family. EGF receptor subfamily. Contains 1 protein kinase domain. SWISS: P21860 Gene ID: 2065 Database links: Entrez Gene: 2065 Human Entrez Gene: 13867 Mouse Entrez Gene: 29496 Rat Omim: 190151 Human SwissProt: P21860 Human SwissProt: Q61526 Mouse SwissProt: Q62799 Rat Unigene: 118681 Human Unigene: 373043 Mouse Unigene: 10228 Rat
Important Note: This product as supplied is intended for research use only, not for use in human, therapeutic or diagnostic applications. |
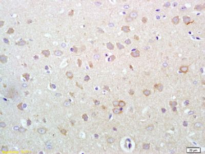
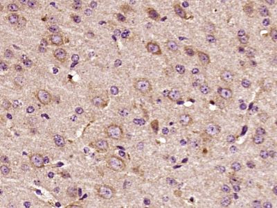
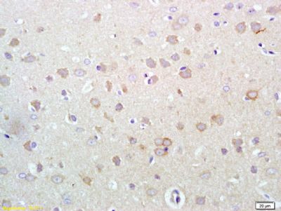
| 产品图片 | ![]() Paraformaldehyde-fixed, paraffin embedded (Mouse brain); Antigen retrieval by boiling in sodium citrate buffer (pH6.0) for 15min; Block endogenous peroxidase by 3% hydrogen peroxide for 20 minutes; Blocking buffer (normal goat serum) at 37°C for 30min; Antibody incubation with (Phospho-HER3 (Tyr1289)) Polyclonal Antibody, Unconjugated (bs-3491R) at 1:400 overnight at 4°C, followed by a conjugated secondary antibody (sp-0023) for 20 minutes and DAB staining. ![]() Paraformaldehyde-fixed, paraffin embedded (Rat brain); Antigen retrieval by boiling in sodium citrate buffer (pH6.0) for 15min; Block endogenous peroxidase by 3% hydrogen peroxide for 20 minutes; Blocking buffer (normal goat serum) at 37°C for 30min; Antibody incubation with (Phospho-HER3 (Tyr1289)) Polyclonal Antibody, Unconjugated (bs-3491R) at 1:400 overnight at 4°C, followed by a conjugated secondary antibody (sp-0023) for 20 minutes and DAB staining. ![]() Tissue/cell: rat brain tissue; 4% Paraformaldehyde-fixed and paraffin-embedded; Antigen retrieval: citrate buffer ( 0.01M, pH 6.0 ), Boiling bathing for 15min; Block endogenous peroxidase by 3% Hydrogen peroxide for 30min; Blocking buffer (normal goat serum,C-0005) at 37℃ for 20 min; Incubation: Anti-Phospho-HER3(Tyr1289) Polyclonal Antibody, Unconjugated(bs-3491R) 1:200, overnight at 4°C, followed by conjugation to the secondary antibody(SP-0023) and DAB(C-0010) staining |
风险提示:丁香通仅作为第三方平台,为商家信息发布提供平台空间。用户咨询产品时请注意保护个人信息及财产安全,合理判断,谨慎选购商品,商家和用户对交易行为负责。对于医疗器械类产品,请先查证核实企业经营资质和医疗器械产品注册证情况。
文献和实验Using Phospho‐Motif Antibodies to Determine Kinase Substrates
the phosphorylation site; therefore, substrate?directed, phosphorylation?state?sensitive, motif?specific (?phospho?motif?) antibodies represent powerful tools to identify novel kinase substrates and to investigate mechanisms of substrate phosphorylation
运用Cell Based Elisa检测信号通路蛋白和磷酸化蛋白
results of phosphorylated proteins磷酸化的试剂盒中的抗体是经过大量筛选,选取了高特异性和低背景的抗体。p-P38MAPK抗体是基于P38的磷酸化Thr180到Tyr182这个位点多肽片段所制备。P-JNK抗体是基于人的Thr183和Tyr185.这个抗体可以同时识别P-JNK1和P-JNK2.我们在运用Cell Based Elisa P38和JNK两个试剂盒做检测的同时,又用传统的WB方式来验证这个结果。经过反复验证,都得出了同样的结果, Cell Based
,EDTA 缓冲液适用于多数磷酸化酪氨酸特异性抗体,而柠檬酸盐缓冲液适用于其他多数抗体。每天都需制备新鲜的 1X 溶液。抗体:hospho-HER3/ErbB3 (Tyr1289) (D1B5) Rabbit mAb #2842样本:蜡包埋人类肺部肿瘤抗原修复缓冲液:柠檬酸盐缓冲液(左)或者 EDTA 缓冲液(右)煮沸装置载玻片在所推荐的缓冲液中加热煮沸一段时间后,才可引起抗原修复。该步骤通常在微波炉或高压锅中进行。虽然,一些研究人员也使用水浴锅,但是,因为该步骤中所选择的装置对染色存在积极或消极的影响
技术资料暂无技术资料 索取技术资料













