相关产品推荐更多 >
万千商家帮你免费找货
0 人在求购买到急需产品
- 详细信息
- 文献和实验
- 技术资料
- 供应商:
上海联迈生物工程有限公司
- 库存:
大量
- 目录编号:
LM-20797R
- 克隆性:
多克隆
- 抗原来源:
Rabbit
- 保质期:
1年
- 抗体英文名:
DCX/Doublecortin
- 抗体名:
双皮质素抗体
- 宿主:
Rabbit
- 适应物种:
Human, Mouse, Rat, Dog, Pig, Cow, Horse, Rabbit,
- 免疫原:
KLH conjugated synthetic peptide derived from human DCX/Doublecortin:201-300/441
- 亚型:
IgG
- 形态:
Lyophilized or Liquid
- 应用范围:
WB=1:500-2000 ELISA=1:500-1000 IHC-P=1:400-800 IHC-F=1:400-800 ICC=1:100-500 IF=1:100-500 (石蜡切片需做抗原修复)
- 浓度:
1mg/ml
- 保存条件:
Store at -20 °C
- 规格:
100ul 200ul
| 英文名称 | DCX/Doublecortin |
| 中文名称 | 双皮质素抗体 |
| 别 名 | Doublecortex; DBCN; Dbct; DC; Doublin; Lis X; Lissencephalin X; Lissencephaly X linked; Lissencephaly X linked doublecortin; LISX; Neuronal migration protein doublecortin; SCLH; XLIS. |
| 规格价格 | 100ul/1380元 购买 200ul/2200元 购买 大包装/询价 |
| 说 明 书 | 100ul 200ul |
| 研究领域 | 细胞生物 神经生物学 细胞粘附分子 |
| 抗体来源 | Rabbit |
| 克隆类型 | Polyclonal |
| 交叉反应 | Human, Mouse, Rat, Dog, Pig, Cow, Horse, Rabbit, |
| 产品应用 | WB=1:500-2000 ELISA=1:500-1000 IHC-P=1:400-800 IHC-F=1:400-800 ICC=1:100-500 IF=1:100-500 (石蜡切片需做抗原修复) not yet tested in other applications. optimal dilutions/concentrations should be determined by the end user. |
| 分 子 量 | 49kDa |
| 细胞定位 | 细胞浆 |
| 性 状 | Lyophilized or Liquid |
| 浓 度 | 1mg/ml |
| 免 疫 原 | KLH conjugated synthetic peptide derived from human DCX/Doublecortin:201-300/441 |
| 亚 型 | IgG |
| 纯化方法 | affinity purified by Protein A |
| 储 存 液 | 0.01M TBS(pH7.4) with 1% BSA, 0.03% Proclin300 and 50% Glycerol. |
| 保存条件 | Store at -20 °C for one year. Avoid repeated freeze/thaw cycles. The lyophilized antibody is stable at room temperature for at least one month and for greater than a year when kept at -20°C. When reconstituted in sterile pH 7.4 0.01M PBS or diluent of antibody the antibody is stable for at least two weeks at 2-4 °C. |
| PubMed | PubMed |
| 产品介绍 | background: Doublecortin (DCX) is a microtubule-associated protein expressed almost exclusively in immature neurons. Neuronal precursors begin to express DCX shortly after exiting the cell cycle, and continue to express DCX for 2-3 weeks as the cells mature into neurons. Downregulation of DCX begins after 2 weeks, and occurs at the same time that these cells begin to express, a marker for mature neurons. Due to the nearly exclusive expression of DCX in developing neurons, this protein has been used increasingly as a marker for neurogenesis. Indeed, the levels of DCX expression increase in response to exercise, which occurs in parallel with increased BrdU labelling, currently a "gold standard" in measuring neurogenesis. Function: Microtubule-associated protein required for initial steps of neuronal dispersion and cortex lamination during cerebral cortex development. May act by competing with the putative neuronal protein kinase DCAMKL1 in binding to a target protein. May in that way participate in a signaling pathway that is crucial for neuronal interaction before and during migration, possibly as part of a calcium ion-dependent signal transduction pathway. May be part with LIS-1 of a overlapping, but distinct, signaling pathways that promote neuronal migration. Subunit: Interacts with tubulin. Subcellular Location: Cytoplasm. Cell projection. Note=Localizes at neurite tips. Tissue Specificity: Highly expressed in neuronal cells of fetal brain (in the majority of cells of the cortical plate, intermediate zone and ventricular zone), but not expressed in other fetal tissues. In the adult, highly expressed in the brain frontal lobe, but very low expression in other regions of brain, and not detected in heart, placenta, lung, liver, skeletal muscles, kidney and pancreas. Post-translational modifications: Phosphorylation by MARK1, MARK2 and PKA regulates its ability to bind mirotubules. DISEASE: Defects in DCX are the cause of lissencephaly X-linked type 1 (LISX1) [MIM:300067]; also called X-LIS or LIS. LISX1 is a classic lissencephaly characterized by mental retardation and seizures that are more severe in male patients. Affected boys show an abnormally thick cortex with absent or severely reduced gyri. Clinical manifestations include feeding problems, abnormal muscular tone, seizures and severe to profound psychomotor retardation. Female patients display a less severe phenotype referred to as 'doublecortex'. Defects in DCX are the cause of subcortical band heterotopia X-linked (SBHX) [MIM:300067]; also known as double cortex or subcortical laminar heterotopia (SCLH). SBHX is a mild brain malformation of the lissencephaly spectrum. It is characterized by bilateral and symmetric plates or bands of gray matter found in the central white matter between the cortex and cerebral ventricles, cerebral convolutions usually appearing normal. Note=A chromosomal aberration involving DCX is found in lissencephaly. Translocation t(X;2)(q22.3;p25.1). Similarity: Contains 2 doublecortin domains. SWISS: O43602 Gene ID: 1641 Database links: Entrez Gene: 1641 Human Entrez Gene: 13193 Mouse Entrez Gene: 84394 Rat Omim: 300121 Human SwissProt: O43602 Human SwissProt: O88809 Mouse SwissProt: Q9ESI7 Rat Unigene: 34780 Human Unigene: 12871 Mouse Unigene: 121471 Rat Important Note: This product as supplied is intended for research use only, not for use in human, therapeutic or diagnostic applications. 神经细胞标志物(Neuronal Marker) |
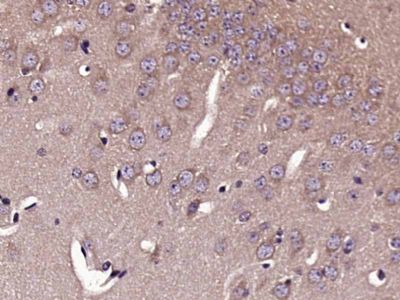
| 产品图片 | ![]() Sample: HepG2(human) Cell Lysate at 40 ug Primary: Anti-DCX'Doublecortinn (bs-20797R) at 1/300 dilution Secondary: IRDye800CW Goat Anti-Rabbit IgG at 1/20000 dilution Predicted band size: 49 kD Observed band size: 49 kD ![]() Paraformaldehyde-fixed, paraffin embedded (Mouse brain); Antigen retrieval by boiling in sodium citrate buffer (pH6.0) for 15min; Block endogenous peroxidase by 3% hydrogen peroxide for 20 minutes; Blocking buffer (normal goat serum) at 37°C for 30min; Antibody incubation with (DCX) Polyclonal Antibody, Unconjugated (bs-20797R) at 1:400 overnight at 4°C, followed by operating according to SP Kit(Rabbit) (sp-0023) instructionsand DAB staining. ![]() Paraformaldehyde-fixed, paraffin embedded (rat brain tissue); Antigen retrieval by boiling in sodium citrate buffer (pH6.0) for 15min; Block endogenous peroxidase by 3% hydrogen peroxide for 20 minutes; Blocking buffer (normal goat serum) at 37°C for 30min; Antibody incubation with (DCX) Polyclonal Antibody, Unconjugated (bs-20797R) at 1:400 overnight at 4°C, followed by a conjugated secondary (sp-0023) for 20 minutes and DAB staining. |
风险提示:丁香通仅作为第三方平台,为商家信息发布提供平台空间。用户咨询产品时请注意保护个人信息及财产安全,合理判断,谨慎选购商品,商家和用户对交易行为负责。对于医疗器械类产品,请先查证核实企业经营资质和医疗器械产品注册证情况。
文献和实验(3)同上。两个磷酸化位点都要做,但是可能在不同的病理条件下,侧重点有所不同,这主要体现在你的论文的讨论中。因此建议实验前多做论文研究,查阅一下别人的发表文章,看看与你的病理模型更相关的是哪个位点。 真爱满行囊 非常感谢你 的回复,现在我遇到的问题是我做出来蛋白总量还有216位点是有变化的,9位因为买的是santa curz的抗体,现在死活做不出来,很头痛,我要说明的问题是他的活性降低,我也看到216位点磷酸化水平降低了,可是现在没有第九位的结果(就是没有办法得到第九
扫描仪中,都采用机械式的二维X,Y线性扫描技术实现,即X,Y方向都采用直线驱动器和直线导轨实现往复运动。此类装置,由于驱动系统的频率限制,驱动器的扫描惯性大,使得扫描效率低,分析时间相当长;并且往复行程长,对直线导轨的精度要求相当高。二、光机结合的二维扫描系统为同样实现生物芯片的二维扫描,我们的实验装置设计如图2,采用了振镜和大数值孔径的远心f-è物镜相结合实现X方向扫描,Y方向的运动仍采用直线驱动器和直线导轨实现。 系统中,对于f-è物镜,满足x=2fè(è为振镜的摆动角度,f为物镜焦距)的线性
目前自动洗板机应用比较广泛,凡是具有酶联免疫吸附技术(ELISA)的酶反应板均可使用。应用范围有:肿瘤标记物的检测、传染性疾病的检查、人类免疫缺陷病毒(HIV)抗体的检测、沙眼衣原体感染的血清学检查和TORCH感染的血清学检查等。应用ELISA完成这些方面的检测后,使用先进的全自动洗板机进行洗板,以保证测试的准确性和提高实验的可靠性。 自动洗板机是进行酶联免疫实验时,检测各种感染性病毒所必备的设备之一,其作用是通过清洗,实现酶联免疫实验过程中结合相与游离相的分离。当前,酶标洗板
技术资料暂无技术资料 索取技术资料













