相关产品推荐更多 >
万千商家帮你免费找货
0 人在求购买到急需产品
- 详细信息
- 文献和实验
- 技术资料
- 供应商:
上海联迈生物工程有限公司
- 库存:
大量
- 目录编号:
LM-33358M
- 克隆性:
多克隆
- 抗原来源:
Rabbit
- 保质期:
1年
- 抗体英文名:
TTR/Prealbumin
- 抗体名:
转甲状腺素蛋白/前白蛋白单克隆抗体
- 宿主:
Rabbit
- 适应物种:
Human
- 免疫原:
Recombinant human TTR Protein:
- 亚型:
IgG
- 形态:
Lyophilized or Liquid
- 应用范围:
IHC-P=1:400-800 (石蜡切片需做抗原修复)
- 浓度:
1mg/ml
- 保存条件:
Store at -20 °C
- 规格:
50ul 100ul
| 英文名称 | TTR/Prealbumin |
| 中文名称 | 转甲状腺素蛋白/前白蛋白单克隆抗体 |
| 别 名 | Transthyretin; Amyloid polyneuropathy; Amyloidosis I; ATTR; Dysprealbuminemic euthyroidal hyperthyroxinemia; Dystransthyretinemic hyperthyroxinemia; HsT2651; PALB; Prealbumin amyloidosis type I; Senile systemic amyloidosis; TBPA; Transthyretin; TTR; TTR protein; prealbumin; TTHY_HUMAN. |
| 规格价格 | 50ul/860元 购买 100ul/1580元 购买 大包装/询价 |
| 说 明 书 | 50ul 100ul |
| 研究领域 | 生长因子和激素 转运蛋白 |
| 抗体来源 | Mouse |
| 克隆类型 | Monoclonal |
| 克 隆 号 | 3E5 |
| 交叉反应 | Human, |
| 产品应用 | IHC-P=1:400-800 (石蜡切片需做抗原修复) not yet tested in other applications. optimal dilutions/concentrations should be determined by the end user. |
| 分 子 量 | 14kDa |
| 细胞定位 | 细胞浆 分泌型蛋白 |
| 性 状 | Lyophilized or Liquid |
| 浓 度 | 1mg/ml |
| 免 疫 原 | Recombinant human TTR Protein: |
| 亚 型 | IgG |
| 纯化方法 | affinity purified by Protein G |
| 储 存 液 | 0.01M TBS(pH7.4) with 1% BSA, 0.03% Proclin300 and 50% Glycerol. |
| 保存条件 | Store at -20 °C for one year. Avoid repeated freeze/thaw cycles. The lyophilized antibody is stable at room temperature for at least one month and for greater than a year when kept at -20°C. When reconstituted in sterile pH 7.4 0.01M PBS or diluent of antibody the antibody is stable for at least two weeks at 2-4 °C. |
| PubMed | PubMed |
| 产品介绍 | background: This gene encodes transthyretin, one of the three prealbumins including alpha-1-antitrypsin, transthyretin and orosomucoid. Transthyretin is a carrier protein; it transports thyroid hormones in the plasma and cerebrospinal fluid, and also transports retinol (vitamin A) in the plasma. The protein consists of a tetramer of identical subunits. More than 80 different mutations in this gene have been reported; most mutations are related to amyloid deposition, affecting predominantly peripheral nerve and/or the heart, and a small portion of the gene mutations is non-amyloidogenic. The diseases caused by mutations include amyloidotic polyneuropathy, euthyroid hyperthyroxinaemia, amyloidotic vitreous opacities, cardiomyopathy, oculoleptomeningeal amyloidosis, meningocerebrovascular amyloidosis, carpal tunnel syndrome, etc. [provided by RefSeq] Function: Thyroid hormone-binding protein. Probably transports thyroxine from the bloodstream to the brain. Subunit: Homotetramer. Dimer of dimers. In the homotetramer, subunits assemble around a central channel that can accommodate two ligand molecules. Interacts with RBP4. Subcellular Location: Secreted. Cytoplasm. Tissue Specificity: Detected in serum and cerebrospinal fluid (at protein level). Highly expressed in choroid plexus epithelial cells. Detected in retina pigment epithelium and liver. Post-translational modifications: Not glycosylated under normal conditions. Following unfolding, caused for example by variant AMYL-TTR 'Gly-38', the cryptic Asn-118 site is exposed and glycosylated by STT3B-containing OST complex, leading to its degradation by the ER-associated degradation (ERAD) pathway. DISEASE: Defects in TTR are the cause of amyloidosis transthyretin-related (AMYL-TTR) [MIM:105210]. A hereditary eneralized amyloidosis due to transthyretin amyloid deposition. Protein fibrils can form in different tissues leading to amyloid polyneuropathies, amyloidotic cardiomyopathy, carpal tunnel syndrome, systemic senile amyloidosis. The disease includes leptomeningeal amyloidosis that is characterized by primary involvement of the central nervous system. Neuropathologic examination shows amyloid in the walls of leptomeningeal vessels, in pia arachnoid, and subpial deposits. Some patients also develop vitreous amyloid deposition that leads to visual impairment (oculoleptomeningeal amyloidosis). Clinical features include seizures, stroke-like episodes, dementia, psychomotor deterioration, variable amyloid deposition in the vitreous humor. Defects in TTR are a cause of hyperthyroxinemia dystransthyretinemic euthyroidal (HTDE) [MIM:145680]. It is a condition characterized by elevation of total and free thyroxine in healthy, euthyroid persons without detectable binding protein abnormalities. Defects in TTR are a cause of carpal tunnel syndrome type 1 (CTS1) [MIM:115430]. It is a condition characterized by entrapment of the median nerve within the carpal tunnel. Symptoms include burning pain and paresthesias involving the ventral surface of the hand and fingers which may radiate proximally. Impairment of sensation in the distribution of the median nerve and thenar muscle atrophy may occur. This condition may be associated with repetitive occupational trauma, wrist injuries, amyloid neuropathies, rheumatoid arthritis. Similarity: Belongs to the transthyretin family. SWISS: P02766 Gene ID: 7276 Database links: Entrez Gene: 7276 Human Entrez Gene: 22139 Mouse Entrez Gene: 24856 Rat Omim: 176300 Human SwissProt: P27731 Chicken SwissProt: O46375 Cow SwissProt: P02766 Human SwissProt: P07309 Mouse Important Note: This product as supplied is intended for research use only, not for use in human, therapeutic or diagnostic applications. 转甲状腺素(transthyretin,TTR)蛋白由127个氨基酸组成,在生理条件下4个TTR蛋白单体分子结合一个T4单体分子形成聚合体,存在于血液中参与甲状腺素的转运。TTR蛋白基因发生遗传性突变以及在其他因素作用下TTR蛋白聚合体不稳定,容易分离形成单体。立体结构发生变化的TTR单体,进一步重合形成蛋白纤维沉积于全身组织、脏器的细胞间质,引起末梢神经、自主神经感觉障碍以及全身症状为特征的综合临床症状,称为家族性多发性神经性损害(familial amyloidotic polyneuropathy,FAP)。 |
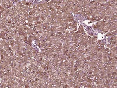
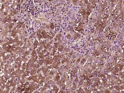
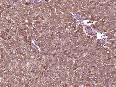
| 产品图片 | ![]() Paraformaldehyde-fixed, paraffin embedded (Human liver); Antigen retrieval by boiling in sodium citrate buffer (pH6.0) for 15min; Block endogenous peroxidase by 3% hydrogen peroxide for 20 minutes; Blocking buffer (normal goat serum) at 37°C for 30min; Antibody incubation with (TTR) Monoclonal Antibody, Unconjugated (bsm-33358M) at 1:400 overnight at 4°C, followed by operating according to SP Kit(Mouse) (sp-0024) instructionsand DAB staining. ![]() Paraformaldehyde-fixed, paraffin embedded (Human liver carcinoma); Antigen retrieval by boiling in sodium citrate buffer (pH6.0) for 15min; Block endogenous peroxidase by 3% hydrogen peroxide for 20 minutes; Blocking buffer (normal goat serum) at 37°C for 30min; Antibody incubation with (TTR) Monoclonal Antibody, Unconjugated (bsm-33358M) at 1:400 overnight at 4°C, followed by operating according to SP Kit(Mouse) (sp-0024) instructionsand DAB staining. |
风险提示:丁香通仅作为第三方平台,为商家信息发布提供平台空间。用户咨询产品时请注意保护个人信息及财产安全,合理判断,谨慎选购商品,商家和用户对交易行为负责。对于医疗器械类产品,请先查证核实企业经营资质和医疗器械产品注册证情况。
文献和实验的吸收。肠粘膜细胞中的锌结合蛋白能与锌结合并将其转动到基度膜一侧,锌在血中与白蛋白结合而送输。锌主要随胰液、胆汁排泄入肠腔。由粪便排出,部分锌可从尿及汗排出。 锌是80多种酶的组成成分或激动剂。如DNA聚合酶,碱性磷酸酶、碳酸酐酶,乳酸脱氢酶、谷氨酸脱氢酶、超氧化物歧化酶等,参与体内多种物质的代谢。锌还参与胰岛素合成。近来还发现,在固醇类及甲状腺素的核受体中DNA结合区,有锌参与构成的锌指结构(详见第一章)。可推测锌在基因调控中亦有重要作用。因此,缺锌会导致多种代谢障碍,如儿童缺锌可引起生长
删除突变的drs基因分析揭示,C末端区以及3个一致重复的N末端区都出现凋亡。Caspase-12、Caspase –9以及Caspase-3都继续被drs激活,Caspase--3,和Caspase-9的抑制剂都抑制drs引起的凋亡。在凋亡过程中没有看到因drs引起线粒体细胞色素C释放到细胞质去,这表明线粒体途径不是drs介导的凋亡,而且,研究人员发现,Drs蛋白能与定位在内质网的凋亡蛋白ASY/Nogo-B/RTN-x(S)结合,并且这些基因共同表达增加了凋亡的效果。这项研究结果提示,由ASY
,2F12;CRIS-3 Leu LFA-1(gp180/95)的α链 与ICAM-1(CD54)和ICAM-2(CD102)结合 CD11b Mol,OKM1; (Mac-1,CR3,integrin αm G,M,NK gp165/95的α链 C3bi和FB受体,与ICAM-1结合,粘附,调理吞噬 CD11c LeuM5;(CR4,integrin αx) M,G,NK,Tsub gp150/95的α链 C3bi受体,调理吞噬
技术资料暂无技术资料 索取技术资料












