相关产品推荐更多 >
万千商家帮你免费找货
0 人在求购买到急需产品
- 详细信息
- 文献和实验
- 技术资料
- 供应商:
上海联迈生物工程有限公司
- 库存:
大量
- 目录编号:
LM-6586R
- 克隆性:
多克隆
- 抗原来源:
Rabbit
- 保质期:
1年
- 抗体英文名:
FCAR/CD89
- 抗体名:
免疫球蛋白A Fc段受体1抗体
- 宿主:
Rabbit
- 适应物种:
Human, Rat,
- 免疫原:
KLH conjugated synthetic peptide derived from human FCAR:131-230/287 <Extracellular>
- 亚型:
IgG
- 形态:
Lyophilized or Liquid
- 应用范围:
ELISA=1:500-1000 IHC-P=1:400-800 IHC-F=1:400-800 IF=1:100-500 (石蜡切片需做抗原修复)
- 浓度:
1mg/ml
- 保存条件:
Store at -20 °C
- 规格:
100ul 200ul
| 英文名称 | FCAR/CD89 |
| 中文名称 | 免疫球蛋白A Fc段受体1抗体 |
| 别 名 | CD89; Fc alpha receptor; FCAR; FCAR_HUMAN; IgA Fc receptor; Immunoglobulin alpha Fc receptor. |
| 规格价格 | 100ul/1380元 购买 200ul/2200元 购买 大包装/询价 |
| 说 明 书 | 100ul 200ul |
| 研究领域 | 免疫学 细胞表面分子 细胞类型标志物 |
| 抗体来源 | Rabbit |
| 克隆类型 | Polyclonal |
| 交叉反应 | Human, Rat, |
| 产品应用 | ELISA=1:500-1000 IHC-P=1:400-800 IHC-F=1:400-800 IF=1:100-500 (石蜡切片需做抗原修复) not yet tested in other applications. optimal dilutions/concentrations should be determined by the end user. |
| 分 子 量 | 29kDa |
| 细胞定位 | 细胞膜 分泌型蛋白 |
| 性 状 | Lyophilized or Liquid |
| 浓 度 | 1mg/ml |
| 免 疫 原 | KLH conjugated synthetic peptide derived from human FCAR:131-230/287 <Extracellular> |
| 亚 型 | IgG |
| 纯化方法 | affinity purified by Protein A |
| 储 存 液 | 0.01M TBS(pH7.4) with 1% BSA, 0.03% Proclin300 and 50% Glycerol. |
| 保存条件 | Store at -20 °C for one year. Avoid repeated freeze/thaw cycles. The lyophilized antibody is stable at room temperature for at least one month and for greater than a year when kept at -20°C. When reconstituted in sterile pH 7.4 0.01M PBS or diluent of antibody the antibody is stable for at least two weeks at 2-4 °C. |
| PubMed | PubMed |
| 产品介绍 | background: Binds to the Fc region of immunoglobulins alpha. Mediates several functions including cytokine production. Tissue specificity; Isoform A.1, isoform A.2 and isoform A.3 are differentially expressed between blood and mucosal myeloid cells. Isoform A.1, isoform A.2 and isoform A.3 are expressed in monocytes. Isoform A.1 and isoform A.2 are expressed in alveolar macrophages; however only one isoform is expressed at alveolar macrophages surfaces. Subunit: Associates with the Fc epsilon RI gamma 2 receptor inducing tyrosine phosphorylation of gamma 2. Subcellular Location: Isoform A.1: Cell membrane; Single-pass type I membrane protein. Isoform A.2: Cell membrane; Single-pass type I membrane protein. Isoform A.3: Cell membrane; Single-pass type I membrane protein. Isoform B: Secreted. Isoform B-delta-S2: Secreted. Tissue Specificity: Isoform A.1, isoform A.2 and isoform A.3 are differentially expressed between blood and mucosal myeloid cells. Isoform A.1, isoform A.2 and isoform A.3 are expressed in monocytes. Isoform A.1 and isoform A.2 are expressed in alveolar macrophages; however only one isoform is expressed at alveolar macrophages surfaces. Similarity: Contains 2 Ig-like C2-type (immunoglobulin-like) domains. SWISS: P24071 Gene ID: 2204 Database links: Entrez Gene: 2204 Human Omim: 147045 Human SwissProt: P24071 Human Unigene: 659872 Human Important Note: This product as supplied is intended for research use only, not for use in human, therapeutic or diagnostic applications. |
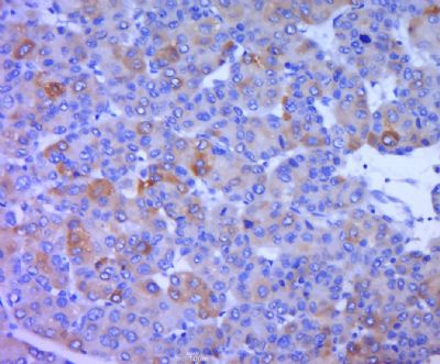
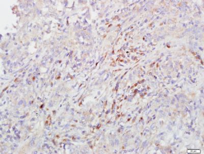
| 产品图片 | ![]() Paraformaldehyde-fixed, paraffin embedded (human brain glioma); Antigen retrieval by boiling in sodium citrate buffer (pH6.0) for 15min; Block endogenous peroxidase by 3% hydrogen peroxide for 20 minutes; Blocking buffer (normal goat serum) at 37°C for 30min; Antibody incubation with (FCAR) Polyclonal Antibody, Unconjugated (bs-6586R) at 1:400 overnight at 4°C, followed by a conjugated secondary (sp-0023) for 20 minutes and DAB staining. ![]() Paraformaldehyde-fixed, paraffin embedded (human liver carcinoma); Antigen retrieval by boiling in sodium citrate buffer (pH6.0) for 15min; Block endogenous peroxidase by 3% hydrogen peroxide for 20 minutes; Blocking buffer (normal goat serum) at 37°C for 30min; Antibody incubation with (FCAR) Polyclonal Antibody, Unconjugated (bs-6586R) at 1:400 overnight at 4°C, followed by a conjugated secondary (sp-0023) for 20 minutes and DAB staining. ![]() Paraformaldehyde-fixed, paraffin embedded (human lung carcinoma); Antigen retrieval by boiling in sodium citrate buffer (pH6.0) for 15min; Block endogenous peroxidase by 3% hydrogen peroxide for 20 minutes; Blocking buffer (normal goat serum) at 37°C for 30min; Antibody incubation with (FCAR) Polyclonal Antibody, Unconjugated (bs-6586R) at 1:400 overnight at 4°C, followed by a conjugated secondary (sp-0023) for 20 minutes and DAB staining. ![]() Paraformaldehyde-fixed, paraffin embedded (rat kidney); Antigen retrieval by boiling in sodium citrate buffer (pH6.0) for 15min; Block endogenous peroxidase by 3% hydrogen peroxide for 20 minutes; Blocking buffer (normal goat serum) at 37°C for 30min; Antibody incubation with (FCAR) Polyclonal Antibody, Unconjugated (bs-6586R) at 1:400 overnight at 4°C, followed by a conjugated secondary (sp-0023) for 20 minutes and DAB staining. ![]() Paraformaldehyde-fixed, paraffin embedded (rat kidney); Antigen retrieval by boiling in sodium citrate buffer (pH6.0) for 15min; Block endogenous peroxidase by 3% hydrogen peroxide for 20 minutes; Blocking buffer (normal goat serum) at 37°C for 30min; Antibody incubation with (FCAR) Polyclonal Antibody, Unconjugated (bs-6586R) at 1:400 overnight at 4°C, followed by a conjugated secondary (sp-0023) for 20 minutes and DAB staining. |
风险提示:丁香通仅作为第三方平台,为商家信息发布提供平台空间。用户咨询产品时请注意保护个人信息及财产安全,合理判断,谨慎选购商品,商家和用户对交易行为负责。对于医疗器械类产品,请先查证核实企业经营资质和医疗器械产品注册证情况。
文献和实验水平。 (二)FcαR(CD89) FcαR(CD89)为分子量60kDa穿膜糖蛋白,胞膜外区206氨基酸,穿膜区19氨基酸,胞浆区为41氨基酸,属Ig超家族成员,胞膜外有2个C2结构域,为中亲和力受体,主要表达于单核细胞、巨噬细胞、中性粒细胞等,介导吞噬、ADCC以及炎症介质的释放。中性粒细胞表面FcαR可结合血清型和分泌型IgA1和IgA2,亲和力约为Kd5×10-7 M。热或化学物质凝集的IgA可刺激中性粒细胞脱颗粒。
免疫球蛋白 Fc 段受体 Fc α R FcαR 即CD89分子,包括a1、a2和a3等不同的异型,其中a1是跨膜形式,胞膜外区有2个IgSFC2样结构域。CD89分布于外周血和黏膜组织中绝大部分吞噬细胞,某些T细胞和B细胞亚群也表达CD89。a1异型表达于单核细胞和中性粒细胞,a2异型表达于肺泡巨噬细胞。CD89可与IgAl和IgA2 h段结合,CD89为IgA中亲和力受体,能结合血清型或分泌型IgAl和IgA2,介导吞噬细胞的吞噬作用、超氧产生、释放
免疫球蛋白 Fc 段受体 FcTRI/ FcTR Ⅱ / FcTR Ⅲ FcTRI 即CD64,属IgSF成员,胞膜外区有3个C2样结构域(图6―3)。CD64组成性表达于单核细胞、Mφ以及IN2,IFN-7可明显上调单核细胞CD64的表达,并可诱导中性粒细胞和嗜酸粒细胞CD64的表达。CD64是高亲和力IgGFc受体,与人单体IgGl、IgG3结合力强,与IgG4结合的亲和力明显降低,与IgG2无结合能力。 CD
技术资料暂无技术资料 索取技术资料















