相关产品推荐更多 >
万千商家帮你免费找货
0 人在求购买到急需产品
- 详细信息
- 文献和实验
- 技术资料
- 供应商:
上海联迈生物工程有限公司
- 库存:
大量
- 目录编号:
LM-1858R
- 克隆性:
多克隆
- 抗原来源:
Rabbit
- 保质期:
1年
- 抗体英文名:
Netrin 1
- 抗体名:
轴突导向因子1抗体
- 宿主:
Rabbit
- 适应物种:
Human, Mouse, Rat, Chicken, Dog, Pig, Cow,
- 免疫原:
KLH conjugated synthetic peptide derived from human NtN1:501-604/604
- 亚型:
IgG
- 形态:
Lyophilized or Liquid
- 应用范围:
WB=1:500-2000 ELISA=1:500-1000 IHC-P=1:400-800 IHC-F=1:400-800 IF=1:100-500 (石蜡切片需做抗原修复)
- 浓度:
1mg/ml
- 保存条件:
Store at -20 °C
- 规格:
50ul 100ul 200ul
| 英文名称 | Netrin 1 |
| 中文名称 | 轴突导向因子1抗体 |
| 别 名 | Netrin-1; Netrin1; Netrin 1; Ntn 1; NTN 1L; Ntn1; Ntn-1; NTN1L; Unc6. |
| 规格价格 | 50ul/780元 购买 100ul/1380元 购买 200ul/2200元 购买 大包装/询价 |
| 说 明 书 | 50ul 100ul 200ul |
| 研究领域 | 神经生物学 |
| 抗体来源 | Rabbit |
| 克隆类型 | Polyclonal |
| 交叉反应 | Human, Mouse, Rat, Chicken, Dog, Pig, Cow, |
| 产品应用 | WB=1:500-2000 ELISA=1:500-1000 IHC-P=1:400-800 IHC-F=1:400-800 IF=1:100-500 (石蜡切片需做抗原修复) not yet tested in other applications. optimal dilutions/concentrations should be determined by the end user. |
| 分 子 量 | 64kDa |
| 细胞定位 | 细胞外基质 分泌型蛋白 |
| 性 状 | Lyophilized or Liquid |
| 浓 度 | 1mg/ml |
| 免 疫 原 | KLH conjugated synthetic peptide derived from human NtN1:501-604/604 |
| 亚 型 | IgG |
| 纯化方法 | affinity purified by Protein A |
| 储 存 液 | 0.01M TBS(pH7.4) with 1% BSA, 0.03% Proclin300 and 50% Glycerol. |
| 保存条件 | Store at -20 °C for one year. Avoid repeated freeze/thaw cycles. The lyophilized antibody is stable at room temperature for at least one month and for greater than a year when kept at -20°C. When reconstituted in sterile pH 7.4 0.01M PBS or diluent of antibody the antibody is stable for at least two weeks at 2-4 °C. |
| PubMed | PubMed |
| 产品介绍 | background: Netrin is included in a family of laminin-related secreted proteins. The function of this gene has not yet been defined; however, netrin is thought to be involved in axon guidance and cell migration during development. Mutations and loss of expression of netrin suggest that variation in netrin may be involved in cancer development. [provided by RefSeq, Jul 2008] Function: Netrins control guidance of CNS commissural axons and peripheral motor axons. Its association with either DCC or some UNC5 receptors will lead to axon attraction or repulsion, respectively. It also serve as a survival factor via its association with its receptors which prevent the initiation of apoptosis. Involved in tumorigenesis by regulating apoptosis. Subunit: Binds to its receptors; DCC, DSCAM, UNC5A, UNC5B, UNC5C and probably UNC5D. Subcellular Location: Secreted, extracellular space, extracellular matrix. Tissue Specificity: Widely expressed in normal adult tissues with highest levels in heart, small intestine, colon, liver and prostate. Reduced expression in brain tumors and neuroblastomas. Similarity: Contains 3 laminin EGF-like domains. Contains 1 laminin N-terminal domain. Contains 1 NTR domain. SWISS: O95631 Gene ID: 9423 Database links: Entrez Gene: 9423 Human Entrez Gene: 18208 Mouse Entrez Gene: 114523 Rat Omim: 601614 Human SwissProt: O95631 Human SwissProt: O09118 Mouse SwissProt: Q924Z9 Rat Unigene: 128002 Human Unigene: 660885 Human Unigene: 39095 Mouse Unigene: 41052 Rat Important Note: This product as supplied is intended for research use only, not for use in human, therapeutic or diagnostic applications. Netrin-1是与层粘连蛋白相关的、高度保守的小分子分泌蛋白家族成员的一种。 |
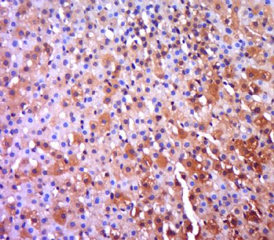
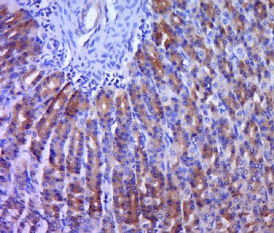
| 产品图片 | ![]() Sample: Heart (Mouse) Lysate at 30 ug Primary: Anti- Netrin1 (bs-1858R) at 1/300 dilution Secondary: IRDye800CW Goat Anti-Mouse IgG at 1/10000 dilution Predicted band size: 64 kD Observed band size: 64 kD ![]() Paraformaldehyde-fixed, paraffin embedded (rat stomach tissue); Antigen retrieval by boiling in sodium citrate buffer (pH6.0) for 15min; Block endogenous peroxidase by 3% hydrogen peroxide for 20 minutes; Blocking buffer (normal goat serum) at 37°C for 30min; Antibody incubation with (Netrin 1) Polyclonal Antibody, Unconjugated (bs-1858R) at 1:400 overnight at 4°C, followed by a conjugated secondary (sp-0023) for 20 minutes and DAB staining. ![]() Paraformaldehyde-fixed, paraffin embedded (Rat adrenal gland); Antigen retrieval by boiling in sodium citrate buffer (pH6.0) for 15min; Block endogenous peroxidase by 3% hydrogen peroxide for 20 minutes; Blocking buffer (normal goat serum) at 37°C for 30min; Antibody incubation with (Netrin 1) Polyclonal Antibody, Unconjugated (bs-1858R) at 1:400 overnight at 4°C, followed by a conjugated secondary (sp-0023) for 20 minutes and DAB staining. |
风险提示:丁香通仅作为第三方平台,为商家信息发布提供平台空间。用户咨询产品时请注意保护个人信息及财产安全,合理判断,谨慎选购商品,商家和用户对交易行为负责。对于医疗器械类产品,请先查证核实企业经营资质和医疗器械产品注册证情况。
文献和实验附加FLAG tag、PA tag、IDH1 (IDH1-FLAG-PA)的骨肉瘤细胞裂解液为电泳样品。(A)泳道1在一次抗体中加入1μg/Mlnz-1,二抗使用抗大鼠Pa tag NZ-1抗体,泳道2在一抗中加入3.5μg/Mlm2,二抗使用抗小鼠FLAG抗体,这两个条件的样品的转录膜经CBB染色再进行比较。结果由于二抗不同产生了一些差别,用PA TAG/NZ-1法可以很好地见到目的条带。(B)在一抗中加入1μg/Mlnz-1,二抗使用抗大鼠Pa tag NZ-1抗体的条件下,对一次抗体
抗肝肾微粒体抗体(LKM)是一种自身抗体。是诊断II型自身免疫性肝炎的血清学指标,靶抗原为LKM-1(细胞色素P450IID6)、LKM-2、LKM-3和肝微粒体。 自身免疫性肝炎按血清学标志至少可分为三型:Ⅰ型(“狼疮样”肝炎)以出现抗核抗体(ANA)、平滑肌抗体(ASMA)、肝细胞膜抗体(LMA抗体)为特征;Ⅱ型以出现LKM抗体为特征;Ⅲ型以出现可溶性肝抗原抗体(SLA抗体)为特征。 LKM-1抗体为自身免疫性肝炎Ⅱ型的血清
Quantitative Analysis of Distal Tip Cell Migration in C. elegans
Correct distal tip cell (DTC) migration in the nematode C. elegans requires sensing soluble and matrix cues, remodeling extracellular matrix, and signaling through conserved integrin and netrin pathways. The DTC executes a complex path
技术资料暂无技术资料 索取技术资料













