相关产品推荐更多 >
万千商家帮你免费找货
0 人在求购买到急需产品
- 详细信息
- 文献和实验
- 技术资料
- 供应商:
上海联迈生物工程有限公司
- 库存:
大量
- 目录编号:
LM-1798R
- 克隆性:
多克隆
- 抗原来源:
Rabbit
- 保质期:
1年
- 抗体英文名:
GLUR2
- 抗体名:
谷氨酸受体2抗体
- 宿主:
Rabbit
- 适应物种:
Human, Mouse, Rat, Dog,
- 免疫原:
KLH conjugated synthetic peptide derived from human GLUR2:151-250/883 <Extracellular>
- 亚型:
IgG
- 形态:
Lyophilized or Liquid
- 应用范围:
WB=1:500-2000 ELISA=1:500-1000 IHC-P=1:400-800 IHC-F=1:400-800 Flow-Cyt=1μg /test IF=1:100-500 (石蜡切片需做抗原修复)
- 浓度:
1mg/ml
- 保存条件:
Store at -20 °C
- 规格:
50ul 100ul 200ul
| 英文名称 | GLUR2 |
| 中文名称 | 谷氨酸受体2抗体 |
| 别 名 | Ionotropic Glutamate receptor 2; Gria2; Glur-2; GluR-B; Glur2; GluR-2; GluR-K2; Glutamate receptor 2; Glutamate receptor ionotropic, AMPA 2; glutamate receptor, ionotropic, N-methyl D-aspartate 1; NMDA receptor subunit ; AMPA-selective glutamate receptor 2; AMPA 2; AMPA 2; AMPA selective glutamate receptor 2; AMPA-selective glutamate receptor 2; AMPA2; GluA2; GLUR 2; GluR B; GluR K2; GluR-2; GluR-B; GluR-K2; GLUR2; GLURB; Glutamate receptor 2; Glutamate receptor ionotropic AMPA 2; Glutamate receptor ionotropic; Gria2; GRIA2_HUMAN; HBGR2. |
| 规格价格 | 50ul/780元 购买 100ul/1380元 购买 200ul/2200元 购买 大包装/询价 |
| 说 明 书 | 50ul 100ul 200ul |
| 研究领域 | 细胞生物 免疫学 神经生物学 信号转导 细胞膜受体 |
| 抗体来源 | Rabbit |
| 克隆类型 | Polyclonal |
| 交叉反应 | Human, Mouse, Rat, Dog, |
| 产品应用 | WB=1:500-2000 ELISA=1:500-1000 IHC-P=1:400-800 IHC-F=1:400-800 Flow-Cyt=1μg /test IF=1:100-500 (石蜡切片需做抗原修复) not yet tested in other applications. optimal dilutions/concentrations should be determined by the end user. |
| 分 子 量 | 97kDa |
| 细胞定位 | 细胞浆 细胞膜 |
| 性 状 | Lyophilized or Liquid |
| 浓 度 | 1mg/ml |
| 免 疫 原 | KLH conjugated synthetic peptide derived from human GLUR2:151-250/883 <Extracellular> |
| 亚 型 | IgG |
| 纯化方法 | affinity purified by Protein A |
| 储 存 液 | 0.01M TBS(pH7.4) with 1% BSA, 0.03% Proclin300 and 50% Glycerol. |
| 保存条件 | Store at -20 °C for one year. Avoid repeated freeze/thaw cycles. The lyophilized antibody is stable at room temperature for at least one month and for greater than a year when kept at -20°C. When reconstituted in sterile pH 7.4 0.01M PBS or diluent of antibody the antibody is stable for at least two weeks at 2-4 °C. |
| PubMed | PubMed |
| 产品介绍 | background: Glutamate receptors are the predominant excitatory neurotransmitter receptors in the mammalian brain and are activated in a variety of normal neurophysiologic processes. This gene product belongs to a family of glutamate receptors that are sensitive to alpha-amino-3-hydroxy-5-methyl-4-isoxazole propionate(AMPA), and function as ligand-activated cation channels. These channels are assembled from 4 related subunits, Gria1-4. The subunit encoded by this gene (Gria2) is subject to RNA editing(CAG->CGG; Q->R) within the second transmembrane domain, which is thought to render the channel impermeable to Ca(2+). Alternative splicing, resulting in transcript variants encoding different isoforms, (including the flip and flop isoforms that vary in their signal transduction properties), has been noted for this gene. Function: Ionotropic glutamate receptor. L-glutamate acts as an excitatory neurotransmitter at many synapses in the central nervous system. Binding of the excitatory neurotransmitter L-glutamate induces a conformation change, leading to the opening of the cation channel, and thereby converts the chemical signal to an electrical impulse. The receptor then desensitizes rapidly and enters a transient inactive state, characterized by the presence of bound agonist. In the presence of CACNG4 or CACNG7 or CACNG8, shows resensitization which is characterized by a delayed accumulation of current flux upon continued application of glutamate. Subunit: Homotetramer or heterotetramer of pore-forming glutamate receptor subunits. Tetramers may be formed by the dimerization of dimers. May interact with MPP4. Forms a ternary complex with GRIP1 and CSPG4. Interacts with ATAD1 in an ATP-dependent manner. ATAD1-catalyzed ATP hydrolysis disrupts binding to ATAD1 and to GRIP1 and leads to AMPAR complex disassembly. Interacts with PICK1 (via PDZ domain). Interacts with PRKCABP and GRIP2. Interacts with GRIA1 and SYNDIG1. Interacts with LRFN1. Found in a complex with GRIA1, GRIA3, GRIA4, CNIH2, CNIH3, CACNG2, CACNG3, CACNG4, CACNG5, CACNG7 and CACNG8. Interacts with CACNG5. Subcellular Location: Cell membrane; Multi-pass membrane protein. Endoplasmic reticulum membrane; Multi-pass membrane protein. Cell junction, synapse, postsynaptic cell membrane; Multi-pass membrane protein. Similarity: Belongs to the glutamate-gated ion channel (TC 1.A.10.1) family. GRIA2 subfamily. SWISS: P42262 Gene ID: 2891 Database links: Entrez Gene: 2891 Human Entrez Gene: 14800 Mouse Entrez Gene: 29627 Rat Omim: 138247 Human SwissProt: P42262 Human SwissProt: P23819 Mouse SwissProt: P19491 Rat Unigene: 32763 Human Unigene: 220224 Mouse Unigene: 91361 Rat Important Note: This product as supplied is intended for research use only, not for use in human, therapeutic or diagnostic applications. |
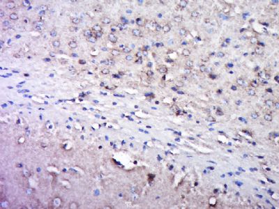
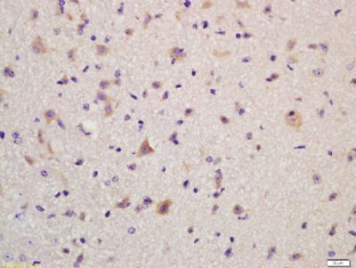
| 产品图片 | ![]() Sample: HepG2 Cell Lysate at 30 ug Primary: Anti-GluR2 (bs-1798R) at 1/300 dilution Secondary: IRDye800CW Goat Anti-Rabbit IgG at 1/20000 dilution Predicted band size: 97 kD Observed band size: 117 kD ![]() Paraformaldehyde-fixed, paraffin embedded (Mouse brain); Antigen retrieval by boiling in sodium citrate buffer (pH6.0) for 15min; Block endogenous peroxidase by 3% hydrogen peroxide for 20 minutes; Blocking buffer (normal goat serum) at 37°C for 30min; Antibody incubation with (GLUR2) Polyclonal Antibody, Unconjugated (bs-1798R) at 1:500 overnight at 4°C, followed by a conjugated secondary (sp-0023) for 20 minutes and DAB staining. ![]() Paraformaldehyde-fixed, paraffin embedded (Rat brain); Antigen retrieval by boiling in sodium citrate buffer (pH6.0) for 15min; Block endogenous peroxidase by 3% hydrogen peroxide for 20 minutes; Blocking buffer (normal goat serum) at 37°C for 30min; Antibody incubation with (GLUR2) Polyclonal Antibody, Unconjugated (bs-1798R) at 1:500 overnight at 4°C, followed by a conjugated secondary (sp-0023) for 20 minutes and DAB staining. ![]() Tissue/cell: mouse brain tissue; 4% Paraformaldehyde-fixed and paraffin-embedded; Antigen retrieval: citrate buffer ( 0.01M, pH 6.0 ), Boiling bathing for 15min; Block endogenous peroxidase by 3% Hydrogen peroxide for 30min; Blocking buffer (normal goat serum,C-0005) at 37∩ for 20 min; Incubation: Anti-GLUR2 Polyclonal Antibody, Unconjugated(bs-1798R) 1:200, overnight at 4∑C, followed by conjugation to the secondary antibody(SP-0023) and DAB(C-0010) staining ![]() Blank control: RSC96(blue) Isotype Control Antibody: Rabbit IgG(orange) ; Secondary Antibody: Goat anti-rabbit IgG-AF647(white blue), Dilution: 1:100 in 1 X PBS containing 0.5% BSA ; Primary Antibody Dilution: 1ugl in 100 uL1X PBS containing 0.5% BSA(green). ![]() Blank control: RSC96(blue) Isotype Control Antibody: Rabbit IgG-AF647(orange) ; Primary Antibody Dilution: 5ul in 100uL1X PBS containing 0.5% BSA(green). ![]() Blank control: RSC96(blue) Isotype Control Antibody: Rabbit IgG-AF647(orange) ; Primary Antibody Dilution: 5ul in 100uL1X PBS containing 0.5% BSA(green). |
风险提示:丁香通仅作为第三方平台,为商家信息发布提供平台空间。用户咨询产品时请注意保护个人信息及财产安全,合理判断,谨慎选购商品,商家和用户对交易行为负责。对于医疗器械类产品,请先查证核实企业经营资质和医疗器械产品注册证情况。
文献和实验从毒品到抗抑郁药物,中国研究团队 Nature 揭示「K 粉
及 GluN2A-L642(同源 GluN2B-L643) 是参与氯胺酮结合的关键氨基酸,在氯胺酮抑制通道活性过程中发挥重要作用。氯胺酮抑制受体机制进一步分析发现,与氯胺酮相互作用的受体 GluN1-Asn616 以及 GluN2B-Leu643 氨基酸的在离子型谷氨酸受体中的保守性,同时分析了手性异构体 R-氯胺酮和 S-氯胺酮在结合和分子机制上的相同点和差异点。通过氯胺酮与 NMDA 受体结合的结构研究,可以促进基于氯胺酮的新型药物开发,特别是与人类 NMDA 受体具有理想相互作用的氯胺酮衍生物和代谢
三句话读懂一篇 CNS:汉堡薯条甜饮料,如何引发糖尿病?生病时发烧、没胃口的背后原因找到了
管疾病高风险个体可能对 ω3 多不饱和脂肪酸的降血压作用更为敏感! 图 7:来源 J Am Heart Assoc 8. Nat Chem Biol:谷氨酸受体异源二聚体在脑组织中高比例表达 代谢型谷氨酸受体是精神系统疾病的重要药物靶点,然而谷氨酸受体异源二聚体是否在大脑中表达情况不明。 2022 年 6 月 9 日,华中科技大学生命科学与技术学院刘剑峰教授课题组在 Nature Chemical Biology 杂志发表研究论文 基于纳米抗体的传感器揭示了大脑中高比例的mGlu异二聚体
症状、意识水平下降等症状的疾病,属于自身免疫性脑炎。女性多见,多伴有卵巢畸胎瘤;亦可发生于儿童或青年男性。 临床诊断 目前此病尚无统一的诊断标准。诊断主要依靠:①临床表现,精神症状及癫痫症状出现早;②脑脊液和血清中检测出抗NMDA受体抗体;③伴发卵巢畸胎瘤(并非必要条件);④对激素及免疫抑制剂治疗效果较好。 抗谷氨酸受体抗体检测试剂盒(间接免疫荧光法): 欧蒙公司间接免疫荧光系统采用转染细胞基质检测抗NMDAR抗体。通过检测临床确诊的NMDAR型脑炎患者
技术资料暂无技术资料 索取技术资料

















