相关产品推荐更多 >
万千商家帮你免费找货
0 人在求购买到急需产品
- 详细信息
- 询价记录
- 文献和实验
- 技术资料
- 供应商:
上海联迈生物工程有限公司
- 库存:
大量
- 目录编号:
LM-1700R
- 克隆性:
多克隆
- 抗原来源:
Rabbit
- 保质期:
1年
- 抗体英文名:
Wnt3a
- 抗体名:
信号通路Wnt3a抗体
- 宿主:
Rabbit
- 适应物种:
Human, Mouse, Rat, Pig,
- 免疫原:
KLH conjugated synthetic peptide derived from human Wnt3a:281-352/352
- 亚型:
IgG
- 形态:
Lyophilized or Liquid
- 应用范围:
WB=1:500-2000 ELISA=1:500-1000 IHC-P=1:400-800 IHC-F=1:400-800 IF=1:100-500 (石蜡切片需做抗原修复)
- 浓度:
1mg/ml
- 保存条件:
Store at -20 °C
- 规格:
50ul 100ul 200ul
| 英文名称 | Wnt3a |
| 中文名称 | 信号通路Wnt3a抗体 |
| 别 名 | MGC119418; MGC119419; MGC119420; Protein Wnt 3a Precursor; Protein Wnt-3a; Wingless type MMTV integration site family member 3A; Wnt 3a; WNT3A protein. |
![]() |
Specific References (4) | bs-1700R has been referenced in 4 publications. [IF=1.48] Gao, Peng, et al. "Salvianolic acid B improves bone marrow-derived mesenchymal stem cell differentiation into alveolar epithelial cells type I via Wnt signaling." Molecular Medicine Reports. other ; PubMed:25892295 [IF=1.03] Lu, Juan, et al. "Expression of Wnt3a, Wnt10b, β-catenin and DKK1 in periodontium during orthodontic tooth movement in rats." Acta Odontologica Scandinavica (2015): 1-7. IHC-P ; Rat. PubMed:26414930 [IF=2.37] Hayashi, Kouhei, et al. "Involvement of the T-box transcription factor Brachyury in early-stage embryonic mouse salivary gland." Biochemical and Biophysical Research Communications (2016). WB ; Mouse. PubMed:27369076 [IF=13.12] Böscke, Robert, et al. "Wnt Signaling in Chronic Rhinosinusitis with Nasal Polyps." American Journal of Respiratory Cell and Molecular Biology ja (2017). IF(ICC) ; Human. PubMed:28059551 |
| 规格价格 | 50ul/780元 购买 100ul/1380元 购买 200ul/2200元 购买 大包装/询价 |
| 说 明 书 | 50ul 100ul 200ul |
| 研究领域 | 细胞生物 神经生物学 干细胞 细胞分化 |
| 抗体来源 | Rabbit |
| 克隆类型 | Polyclonal |
| 交叉反应 | Human, Mouse, Rat, Pig, |
| 产品应用 | WB=1:500-2000 ELISA=1:500-1000 IHC-P=1:400-800 IHC-F=1:400-800 IF=1:100-500 (石蜡切片需做抗原修复) not yet tested in other applications. optimal dilutions/concentrations should be determined by the end user. |
| 分 子 量 | 37kDa |
| 细胞定位 | 细胞外基质 分泌型蛋白 |
| 性 状 | Lyophilized or Liquid |
| 浓 度 | 1mg/ml |
| 免 疫 原 | KLH conjugated synthetic peptide derived from human Wnt3a:281-352/352 |
| 亚 型 | IgG |
| 纯化方法 | affinity purified by Protein A |
| 储 存 液 | 0.01M TBS(pH7.4) with 1% BSA, 0.03% Proclin300 and 50% Glycerol. |
| 保存条件 | Store at -20 °C for one year. Avoid repeated freeze/thaw cycles. The lyophilized antibody is stable at room temperature for at least one month and for greater than a year when kept at -20°C. When reconstituted in sterile pH 7.4 0.01M PBS or diluent of antibody the antibody is stable for at least two weeks at 2-4 °C. |
| PubMed | PubMed |
| 产品介绍 | background: The WNT gene family consists of structurally related genes which encode secreted signaling proteins. These proteins have been implicated in oncogenesis and in several developmental processes, including regulation of cell fate and patterning during embryogenesis. This gene is a member of the WNT gene family. It encodes a protein which shows 96% amino acid identity to mouse Wnt3A protein, and 84% to human WNT3 protein, another WNT gene product. This gene is clustered with WNT14 gene, another family member, in chromosome 1q42 region. [provided by RefSeq, Jul 2008] Function: Ligand for members of the frizzled family of seven transmembrane receptors. Wnt-3 and Wnt-3a play distinct roles in cell-cell signaling during morphogenesis of the developing neural tube. Subunit: Interacts with PORCN. Interacts with APCDD1 and WLS. Component of the Wnt-Fzd-LRP5-LRP6 signaling complex that contains a WNT protein, a FZD protein and LRP5 or LRP6. Interacts directly in the complex with LRP6. Subcellular Location: Secreted, extracellular space, extracellular matr Tissue Specificity: Moderately expressed in placenta and at low levels in adult lung, spleen, and prostate. Post-translational modifications: Palmitoylation at Ser-209 by PORCN is required for proper trafficking to cell surface, vacuolar acidification is critical to release palmitoylated WNT3A from WLS in secretory vesicles. Similarity: Belongs to the Wnt family. SWISS: P56704 Gene ID: 89780 Database links: Entrez Gene: 89780 Human Entrez Gene: 22416 Mouse Entrez Gene: 303181 Rat Omim: 606359 Human SwissProt: P56704 Human SwissProt: P27467 Mouse Unigene: 336930 Human Unigene: 1367 Mouse Unigene: 130971 Rat Important Note: This product as supplied is intended for research use only, not for use in human, therapeutic or diagnostic applications. Wnt3a是Wnt家族的成员之一,对神经干细胞的增殖及分化有一定的调控作用,Wnt3a蛋白可以促进神经干细胞向神经元分化. |
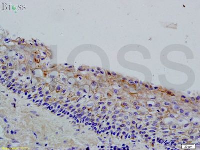
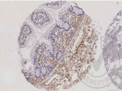
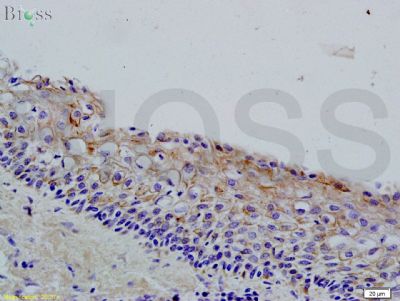
| 产品图片 | ![]() Sample: U2os Cell(Human)Lysate at 30 ug Primary: Anti- Wnt3a (bs-1700R)at 1/300 dilution Secondary: IRDye800CW Goat Anti-Rabbit IgG at 1/20000 dilution Predicted band size: 37kD Observed band size: 37kD ![]() Sample: Brain(Rat) lysate at 30ug; Uterus(Mouse ) lysates, 30ug; Primary: Anti-Wnt3a (bs-1700R) at 1:200 dilution; Secondary: HRP conjugated Goat-Anti-Rabbit IgG(bse-0295G) at 1: 3000 dilution; Predicted band size : 37kD Observed band size : 37kD ![]() Images provided the Independent Validation Program (badge number 029652)Formalin-fixed and paraffin embedded human small intestine labeled with Rabbit Anti-Wnt3a Polyclonal Antibody (bs-1700R) at 1:250 overnight at room temperature followed by conjugation to secondary antibody. ![]() Tissue/cell: rat ovary tissue; 4% Paraformaldehyde-fixed and paraffin-embedded; Antigen retrieval: citrate buffer ( 0.01M, pH 6.0 ), Boiling bathing for 15min; Block endogenous peroxidase by 3% Hydrogen peroxide for 30min; Blocking buffer (normal goat serum,C-0005) at 37℃ for 20 min; Incubation: Anti-Wnt3a Polyclonal Antibody, Unconjugated(bs-1700R) 1:200, overnight at 4°C, followed by conjugation to the secondary antibody(SP-0023) and DAB(C-0010) staining |
风险提示:丁香通仅作为第三方平台,为商家信息发布提供平台空间。用户咨询产品时请注意保护个人信息及财产安全,合理判断,谨慎选购商品,商家和用户对交易行为负责。对于医疗器械类产品,请先查证核实企业经营资质和医疗器械产品注册证情况。
- 作者
- 内容
- 询问日期
文献和实验protein, Drosophila Wnt8 (Dwnt8 or WntD), indicating that this protocol is likelyapplicable to all Wnts. Key words: Wnt , Wnt3A , b-catenin , Purification , Blue Sepharose , Immobilized metal affinitychromatography (IMAC) , Gel filtration , Heparin
三句话读懂一篇 CNS:百岁老人的长寿秘诀;雄性激素越高越有
物 ATPase7/CDC50C 在疟原虫按蚊感染和传播过程中的功能和分子机制,揭示了疟原虫躲避按蚊宿主免疫识别和清除的潜在新机制。疟原虫每年导致全球数十万人死伤,望其早日被消灭!图 3:来源 Science Advances4. Nature Communications: 解析蛋白 Wntless 与 Wnt3a 复合物结构Wnt 蛋白是一类蛋白质信号分子,Wnt 信号转导活动异常导致多种疾病。2021 年 7 月 27 日,西湖大学马丹与周强课题组在 Nature Communications 上发表
。HSP以直接或间接的方式参与了细胞凋亡的调节,其作用靶点涉及不同凋亡信号通路的各主要激酶或关键性调控蛋白。除对凋亡 相关信号转导通路的蛋白质直接调节作用之外,还涉及了一些细胞膜生长因子受体,如EGFR、ErbB2、FLT3及细胞内雌、雄激素受体等蛋白质稳定性和 活性的调节,这种调节作用具有双向性。即既有抗凋亡的作用,也有促凋亡的作用。细胞凋亡分为线粒体通路介导的凋亡及死亡受体通路介导的凋亡,而HSP不同 程度地对这两条通路的活化具有调节作用。Hsp90能过阴断Apaf-1寡聚化,最终阴断凋亡体的形成
技术资料暂无技术资料 索取技术资料















