相关产品推荐更多 >
万千商家帮你免费找货
0 人在求购买到急需产品
- 详细信息
- 文献和实验
- 技术资料
- 供应商:
上海康朗生物科技有限公司
- 库存:
大量
- 目录编号:
kl-6452R
- 克隆性:
多克隆
- 抗原来源:
Rabbit
- 保质期:
12个月
- 抗体英文名:
Phospho-Paxillin(Ser83) antibody
- 抗体名:
磷酸化桩蛋白Paxillin抗体
- 宿主:
Rabbit
- 适应物种:
Mouse, Rat,
- 免疫原:
KLH conjugated Synthesised phosphopeptide derived from rat Paxillin around the phosphorylation site of Ser83:PP(p-S)PS
- 亚型:
IgG
- 形态:
冻干粉或液体
- 应用范围:
WB=1:500-2000 ELISA=1:500-1000 IHC-P=1:400-800 IHC-F=1:400-800 ICC=1:100-500 IF=1:100-500
- 浓度:
1mg/ml
- 保存条件:
-20 °C
- 规格:
100ul 200ul
| 中文名称 | 磷酸化桩蛋白Paxillin抗体 |
| 别 名 | PXN(phospho S83); Paxillin (Phospho Ser83); Paxillin (Phospho S83); Paired box protein Pax 1; PAX 1; PAX1; Paxillin alpha; PXN; PXN protein; FLJ16691; FLJ23042; FLJ16691; PAXI_HUMAN; Paxillin; PXN protein. |
| 规格价格 | 100ul/1380元 购买 200ul/2200元 购买 大包装/询价 |
| 说 明 书 | 100ul 200ul |
| 研究领域 | 肿瘤 免疫学 |
| 抗体来源 | Rabbit |
| 克隆类型 | Polyclonal |
| 交叉反应 | Mouse, Rat, |
| 产品应用 | WB=1:500-2000 ELISA=1:500-1000 IHC-P=1:400-800 IHC-F=1:400-800 ICC=1:100-500 IF=1:100-500 (石蜡切片需做抗原修复) not yet tested in other applications. optimal dilutions/concentrations should be determined by the end user. |
| 分 子 量 | 68kDa |
| 细胞定位 | 细胞浆 细胞膜 |
| 性 状 | Lyophilized or Liquid |
| 浓 度 | 1mg/ml |
| 免 疫 原 | KLH conjugated Synthesised phosphopeptide derived from rat Paxillin around the phosphorylation site of Ser83:PP(p-S)PS |
| 亚 型 | IgG |
| 纯化方法 | affinity purified by Protein A |
| 储 存 液 | Preservative: 15mM Sodium Azide, Constituents: 1% BSA, 0.01M PBS, pH 7.4 |
| 保存条件 | Store at -20 °C for one year. Avoid repeated freeze/thaw cycles. The lyophilized antibody is stable at room temperature for at least one month and for greater than a year when kept at -20°C. When reconstituted in sterile pH 7.4 0.01M PBS or diluent of antibody the antibody is stable for at least two weeks at 2-4 °C. |
| PubMed | PubMed |
| 产品介绍 | background: Pxn(phospho S83); Paxillin is a 64 kDa cytoskeletal adapter protein involved in organisation and function of focal adhesions, which are critical to cell adhesion and migration. This in turn plays a role in a wide variety of processes including embryogenesis, organogenesis, wound repair, inflammation and cancer. Paxillin contains LD motifs, LIM domains, SH3 and SH2 binding domains that serve as docking sites for cytoskeletal proteins, tyrosine kinases (e.g., FAK, Pyk 2, Src), serine/threonine kinases, GTPase activating proteins and other adaptor proteins (e.g., Actin, Vinculin, Crk). Function: Cytoskeletal protein involved in actin-membrane attachment at sites of cell adhesion to the extracellular matrix (focal adhesion). Subunit: Binds in vitro to vinculin as well as to the SH3 domain of SRC and, when tyrosine phosphorylated, to the SH2 domain of V-CRK. Isoform beta binds to PTK2/FAK1 but weakly to vinculin. Isoform gamma binds to vinculin but only weakly to PTK2/FAK1. Interacts with GIT1, NUDT16L1/SDOS, PARVA and TGFB1I1. Component of cytoplasmic complexes, which also contain GIT1, ARHGEF6 and PAK1. Interacts with PTK2/FAK1 and PTK2B/PYK2. Binds ASAP2. Interacts with unphosphorylated ITGA4. Interacts with RNF5 and PDCD10. Interacts with NEK3 and this interaction is prolactin-dependent. Interacts with PTK6. Subcellular Location: Cytoplasm, cytoskeleton. Cell junction, focal adhesion. Cytoplasm, cell cortex. Post-translational modifications: Phosphorylated by MAPK1/ERK2. Phosphorylated on tyrosine residues during integrin-mediated cell adhesion, embryonic development, fibroblast transformation and following stimulation of cells by mitogens. Phosphorylation at Ser-244 by CDK5 reduces its interaction with PTK2/FAK1 in matrix-cell focal adhesions (MCFA) during oligodendrocytes (OLs) differentiation. Phosphorylation at Tyr-31 and Tyr-118 by PTK6 promote the activation of RAC1 via CRK/CrKII, thereby promoting migration and invasion. Similarity: Belongs to the paxillin family. Contains 4 LIM zinc-binding domains. SWISS: P49023 Gene ID: 19303 Database links: Entrez Gene: 5829 Human Entrez Gene: 19303 Mouse Entrez Gene: 360820 Rat Omim: 602505 Human SwissProt: P49023 Human SwissProt: Q8VI36 Mouse SwissProt: Q66H76 Rat Unigene: 446336 Human Unigene: 18714 Mouse Unigene: 75 Rat Important Note: This product as supplied is intended for research use only, not for use in human, therapeutic or diagnostic applications. |
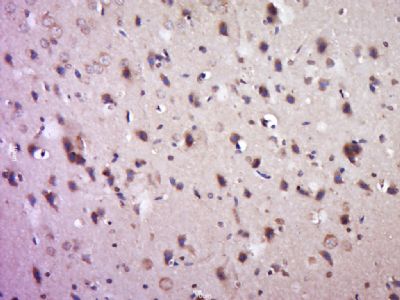
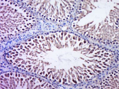
| 产品图片 | ![]() Paraformaldehyde-fixed, paraffin embedded (Rat brain); Antigen retrieval by boiling in sodium citrate buffer (pH6.0) for 15min; Block endogenous peroxidase by 3% hydrogen peroxide for 20 minutes; Blocking buffer (normal goat serum) at 37°C for 30min; Antibody incubation with (Phospho-Paxillin(Ser83)) Polyclonal Antibody, Unconjugated (bs-6452R) at 1:400 overnight at 4°C, followed by a conjugated secondary (sp-0023) for 20 minutes and DAB staining. ![]() Paraformaldehyde-fixed, paraffin embedded (Rat testis); Antigen retrieval by boiling in sodium citrate buffer (pH6.0) for 15min; Block endogenous peroxidase by 3% hydrogen peroxide for 20 minutes; Blocking buffer (normal goat serum) at 37°C for 30min; Antibody incubation with (Phospho-Paxillin(Ser83)) Polyclonal Antibody, Unconjugated (bs-6452R) at 1:400 overnight at 4°C, followed by a conjugated secondary (sp-0023) for 20 minutes and DAB staining. |
风险提示:丁香通仅作为第三方平台,为商家信息发布提供平台空间。用户咨询产品时请注意保护个人信息及财产安全,合理判断,谨慎选购商品,商家和用户对交易行为负责。对于医疗器械类产品,请先查证核实企业经营资质和医疗器械产品注册证情况。
文献和实验【求助】谁有兔抗Paxillin和鼠抗phorsphotyrosine
kelvin12 请问各位同行谁有多余的兔抗Paxillin和鼠抗phorsphotyrosine,能否相赠?谢谢! iammonkey kelvin12战友:你知道paxillin磷酸化的阻断剂是什么吗?正做相关东西,刚接触不太明白! 磷酸化抗体 我公司有现货,具体如下: IBN4001 e-Acetylated Lysine Antibody IBN4006 e
Using Phospho‐Motif Antibodies to Determine Kinase Substrates
comprising both the phosphorylated residue and the surrounding residues that determine kinase specificity, with degenerate residues taking up the remaining positions. Currently, several categories of phospho?motif antibody are commercially available
Optimized Protocol to Make Phospho-Specific Antibodies that Work
, not simply its level of expression. In this review, we will discuss both the design of the phosphopeptide immunogen and immunization. The affinity purification of the phospho-specific antibody as well as the methods most suitable for characterizing
技术资料暂无技术资料 索取技术资料











