相关产品推荐更多 >
万千商家帮你免费找货
0 人在求购买到急需产品
- 详细信息
- 文献和实验
- 技术资料
- 供应商:
上海康朗生物科技有限公司
- 库存:
大量
- 目录编号:
kl-7056R
- 克隆性:
多克隆
- 抗原来源:
Rabbit
- 保质期:
12个月
- 抗体英文名:
FTO antibody
- 抗体名:
脂肪堆积和肥胖相关蛋白抗体
- 宿主:
Rabbit
- 适应物种:
Human, Mouse, Rat, Dog, Pig, Cow, Horse, Rabbit, Sheep,
- 免疫原:
KLH conjugated synthetic peptide derived from human Protein fatso:165-265/505
- 亚型:
IgG
- 形态:
冻干粉或液体
- 应用范围:
WB=1:500-2000 ELISA=1:500-1000 IHC-P=1:400-800 IHC-F=1:400-800 IF=1:100-500
- 浓度:
1mg/ml
- 保存条件:
-20 °C
- 规格:
100ul 200ul
| 中文名称 | 脂肪堆积和肥胖相关蛋白抗体 |
| 别 名 | Alpha-ketoglutarate-dependent dioxygenase FTO; Fat mass and obesity-associated protein; Fto; FTO_HUMAN; Protein fatso. |
| 规格价格 | 100ul/1380元 购买 200ul/2200元 购买 大包装/询价 |
| 说 明 书 | 100ul 200ul |
| 研究领域 | 心血管 细胞生物 免疫学 神经生物学 糖尿病 内分泌病 |
| 抗体来源 | Rabbit |
| 克隆类型 | Polyclonal |
| 交叉反应 | Human, Mouse, Rat, Dog, Pig, Cow, Horse, Rabbit, Sheep, |
| 产品应用 | WB=1:500-2000 ELISA=1:500-1000 IHC-P=1:400-800 IHC-F=1:400-800 IF=1:100-500 (石蜡切片需做抗原修复) not yet tested in other applications. optimal dilutions/concentrations should be determined by the end user. |
| 分 子 量 | 58kDa |
| 细胞定位 | 细胞核 |
| 性 状 | Lyophilized or Liquid |
| 浓 度 | 1mg/ml |
| 免 疫 原 | KLH conjugated synthetic peptide derived from human Protein fatso:165-265/505 |
| 亚 型 | IgG |
| 纯化方法 | affinity purified by Protein A |
| 储 存 液 | 0.01M TBS(pH7.4) with 1% BSA, 0.03% Proclin300 and 50% Glycerol. |
| 保存条件 | Store at -20 °C for one year. Avoid repeated freeze/thaw cycles. The lyophilized antibody is stable at room temperature for at least one month and for greater than a year when kept at -20°C. When reconstituted in sterile pH 7.4 0.01M PBS or diluent of antibody the antibody is stable for at least two weeks at 2-4 °C. |
| PubMed | PubMed |
| 产品介绍 | background: Dioxygenase that repairs alkylated DNA and RNA by oxidative demethylation. Has highest activity towards single-stranded RNA containing 3-methyluracil, followed by single-stranded DNA containing 3-methylthymine. Has low demethylase activity towards single-stranded DNA containing 1-methyladenine or 3-methylcytosine. Has no activity towards 1-methylguanine. Has no detectable activity towards double-stranded DNA. Requires molecular oxygen, alpha-ketoglutarate and iron. Contributes to the regulation of the global metabolic rate, energy expenditure and energy homeostasis. Contributes to the regulation of body size and body fat accumulation. Tissue specificity: Ubiquitously expressed, with relatively high expression in adrenal glands and brain; especially in hypothalamus and pituitary. Function: Dioxygenase that repairs alkylated DNA and RNA by oxidative demethylation. Has highest activity towards single-stranded RNA containing 3-methyluracil, followed by single-stranded DNA containing 3-methylthymine. Has low demethylase activity towards single-stranded DNA containing 1-methyladenine or 3-methylcytosine. Has no activity towards 1-methylguanine. Has no detectable activity towards double-stranded DNA. Requires molecular oxygen, alpha-ketoglutarate and iron. Contributes to the regulation of the global metabolic rate, energy expenditure and energy homeostasis. Contributes to the regulation of body size and body fat accumulation. Subunit: Monomer. May also exist as homodimer. Subcellular Location: Nucleus. Tissue Specificity: Ubiquitously expressed, with relatively high expression in adrenal glands and brain; especially in hypothalamus and pituitary. DISEASE: Defects in FTO are the cause of growth retardation developmental delay coarse facies and early death (GDFD) [MIM:612938]. A severe polymalformation syndrome characterized by postnatal growth retardation, microcephaly, severe psychomotor delay, functional brain deficits and characteristic facial dysmorphism. In some patients, structural brain malformations, cardiac defects, genital anomalies, and cleft palate are observed. Early death occurs by the age of 3 years. Similarity: Belongs to the fto family. SWISS: Q9C0B1 Gene ID: 79068 Database links: UniProtKB/Swiss-Prot: Q9C0B1.3 Important Note: This product as supplied is intended for research use only, not for use in human, therapeutic or diagnostic applications. |
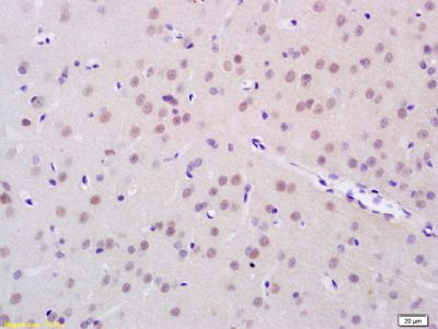
| 产品图片 | ![]() Sample: Hippocampus (Mouse) Lysate at 40 ug Primary: Anti-FTO (bs-7056R) at 1/1000 dilution Secondary: IRDye800CW Goat Anti-Rabbit IgG at 1/20000 dilution Predicted band size: 58 kD Observed band size: 58 kD ![]() Sample: Hela(Human) Cell Lysate at 30 ug Primary: Anti-FTO (bs-7056R) at 1/1000 dilution Secondary: IRDye800CW Goat Anti-Rabbit IgG at 1/20000 dilution Predicted band size: 58 kD Observed band size: 58 kD ![]() Tissue/cell: rat brain tissue; 4% Paraformaldehyde-fixed and paraffin-embedded; Antigen retrieval: citrate buffer ( 0.01M, pH 6.0 ), Boiling bathing for 15min; Block endogenous peroxidase by 3% Hydrogen peroxide for 30min; Blocking buffer (normal goat serum,C-0005) at 37℃ for 20 min; Incubation: Anti-FTO/Protein fatso Polyclonal Antibody, Unconjugated(bs-7056R) 1:200, overnight at 4°C, followed by conjugation to the secondary antibody(SP-0023) and DAB(C-0010) staining |
风险提示:丁香通仅作为第三方平台,为商家信息发布提供平台空间。用户咨询产品时请注意保护个人信息及财产安全,合理判断,谨慎选购商品,商家和用户对交易行为负责。对于医疗器械类产品,请先查证核实企业经营资质和医疗器械产品注册证情况。
文献和实验Generation of Antibody Molecules Through Antibody Engineering
been overcome to a large extent using genetic-engineering techniques to produce chimeric mouse/human and completely human antibodies. Such an approach is particularly suitable because of the domain structure of the antibody molecule ( 2 ), where functional
The importance of antibody molecules was first recognized in the 1890s, when it was shown that immunity to tetanus and diphtheria was caused by antibodies against the bacterial exotoxins (1 ). Around the same time, it was shown that antisera
General comments: Antibodies, like most proteins, do not like to be freeze-thawed. Avoid repetitive freezing of your solution. The best way to store your antibody is to keep a high protein concentration (>1 mg/ml), add some protease
技术资料暂无技术资料 索取技术资料













