相关产品推荐更多 >
万千商家帮你免费找货
0 人在求购买到急需产品
- 详细信息
- 技术资料
- 供应商:
上海康朗生物科技有限公司
- 库存:
大量
- 目录编号:
kl-6883R
- 克隆性:
多克隆
- 抗原来源:
Rabbit
- 保质期:
12个月
- 抗体英文名:
CCBR1 antibody
- 抗体名:
钙离子通道阻端耐药蛋白CCBR1抗体
- 宿主:
Rabbit
- 适应物种:
Human, Mouse, Rat, Dog, Pig, Cow, Horse, Sheep,
- 免疫原:
KLH conjugated synthetic peptide derived from human xCT/CCBR1:201-300/501 <Extracellular>
- 亚型:
IgG
- 形态:
冻干粉或液体
- 应用范围:
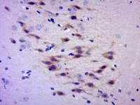
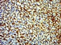
WB=1:500-2000 ELISA=1:500-1000 IHC-P=1:400-800 IHC-F=1:400-800 IF=1:100-500
- 浓度:
1mg/ml
- 保存条件:
-20 °C
- 规格:
100ul 200ul
CCBR1 antibody
| 中文名称 | 钙离子通道阻端耐药蛋白CCBR1抗体 |
| 别 名 | Amino acid transport system xc xCT antibody; Amino acid transport system xc- antibody Calcium channel blocker resistance protein CCBR1; Calcium channel blocker resistance protein CCBR1 antibody; CCBR1; Cysteine/glutamate transporter antibody; cystine/glutamate transporter; SLC7A11; Solute carrier family 7 (anionic amino acid transporter light chain, xc- system), member 11; solute carrier family 7; Solute carrier family 7 member 11; Solute carrier family 7, (cationic amino acid transporter, y+ system) member 11; xCT; XCT_HUMAN. |
| 规格价格 | 100ul/1380元 购买 200ul/2200元 购买 大包装/询价 |
| 说 明 书 | 100ul 200ul |
| 研究领域 | 细胞生物 免疫学 通道蛋白 |
| 抗体来源 | Rabbit |
| 克隆类型 | Polyclonal |
| 交叉反应 | Human, Mouse, Rat, Dog, Pig, Cow, Horse, Sheep, |
| 产品应用 | WB=1:500-2000 ELISA=1:500-1000 IHC-P=1:400-800 IHC-F=1:400-800 IF=1:100-500 (石蜡切片需做抗原修复) not yet tested in other applications. optimal dilutions/concentrations should be determined by the end user. |
| 分 子 量 | 55kDa |
| 细胞定位 | 细胞膜 |
| 性 状 | Lyophilized or Liquid |
| 浓 度 | 1mg/ml |
| 免 疫 原 | KLH conjugated synthetic peptide derived from human xCT/CCBR1:201-300/501 <Extracellular> |
| 亚 型 | IgG |
| 纯化方法 | affinity purified by Protein A |
| 储 存 液 | 0.01M TBS(pH7.4) with 1% BSA, 0.03% Proclin300 and 50% Glycerol. |
| 保存条件 | Store at -20 °C for one year. Avoid repeated freeze/thaw cycles. The lyophilized antibody is stable at room temperature for at least one month and for greater than a year when kept at -20°C. When reconstituted in sterile pH 7.4 0.01M PBS or diluent of antibody the antibody is stable for at least two weeks at 2-4 °C. |
| PubMed | PubMed |
| 产品介绍 | background: This gene encodes a member of a heteromeric, sodium-independent, anionic amino acid transport system that is highly specific for cysteine and glutamate. In this system, designated Xc(-), the anionic form of cysteine is transported in exchange for glutamate. This protein has been identified as the predominant mediator of Kaposi sarcoma-associated herpesvirus fusion and entry permissiveness into cells. Also, increased expression of this gene in primary gliomas (compared to normal brain tissue) was associated with increased glutamate secretion via the XCT channels, resulting in neuronal cell death. [provided by RefSeq, Sep 2011]. Function: Sodium-independent, high-affinity exchange of anionic amino acids with high specificity for anionic form of cystine and glutamate. Subunit: Disulfide-linked heterodimer with the amino acid transport protein SLC3A2/4F2hc (By similarity). Subcellular Location: Membrane; Multi-pass membrane protein. Similarity: Belongs to the amino acid-polyamine-organocation (APC) superfamily. L-type amino acid transporter (LAT) (TC 2.A.3.8) family. SWISS: Q9UPY5 Gene ID: 23657 Database links: UniProtKB/Swiss-Prot: Q9UPY5.1 Important Note: This product as supplied is intended for research use only, not for use in human, therapeutic or diagnostic applications. |
| 产品图片 | ![]() Sample: U-87MG(Human) Cell Lysate at 30 ug Primary: Anti-CCBR1 (bs-6883R) at 1/1000 dilution Secondary: IRDye800CW Goat Anti-Rabbit IgG at 1/20000 dilution Predicted band size: 55 kD Observed band size: 55 kD |
风险提示:丁香通仅作为第三方平台,为商家信息发布提供平台空间。用户咨询产品时请注意保护个人信息及财产安全,合理判断,谨慎选购商品,商家和用户对交易行为负责。对于医疗器械类产品,请先查证核实企业经营资质和医疗器械产品注册证情况。
技术资料暂无技术资料 索取技术资料
CCBR1 antibody
¥1380 - 2200









