相关产品推荐更多 >
万千商家帮你免费找货
0 人在求购买到急需产品
- 详细信息
- 技术资料
- 供应商:
上海康朗生物科技有限公司
- 库存:
大量
- 目录编号:
kl-4629R
- 克隆性:
多克隆
- 抗原来源:
Rabbit
- 保质期:
12个月
- 抗体英文名:
Layilin antibody
- 抗体名:
透明质酸受体抗体
- 宿主:
Rabbit
- 适应物种:
Human, Mouse, Rat, Chicken, Dog, Cow, Horse, Rabbit,
- 免疫原:
KLH conjugated synthetic peptide derived from human Layilin:281-382/382
- 亚型:
IgG
- 形态:
冻干粉或液体
- 应用范围:
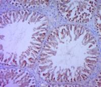
WB=1:500-2000 ELISA=1:500-1000 IHC-P=1:400-800 IHC-F=1:400-800 IF=1:100-500
- 浓度:
1mg/ml
- 保存条件:
-20 °C
- 规格:
100ul 200ul
Layilin antibody
| 中文名称 | 透明质酸受体抗体 |
| 别 名 | Layn; E030012M19Rik; Gm511; LAYN_HUMAN. |
| 规格价格 | 100ul/1380元 购买 200ul/2200元 购买 大包装/询价 |
| 说 明 书 | 100ul 200ul |
| 研究领域 | 肿瘤 细胞生物 免疫学 转录调节因子 激酶和磷酸酶 |
| 抗体来源 | Rabbit |
| 克隆类型 | Polyclonal |
| 交叉反应 | Human, Mouse, Rat, Chicken, Dog, Cow, Horse, Rabbit, |
| 产品应用 | WB=1:500-2000 ELISA=1:500-1000 IHC-P=1:400-800 IHC-F=1:400-800 IF=1:100-500 (石蜡切片需做抗原修复) not yet tested in other applications. optimal dilutions/concentrations should be determined by the end user. |
| 分 子 量 | 41kDa |
| 细胞定位 | 细胞膜 |
| 性 状 | Lyophilized or Liquid |
| 浓 度 | 1mg/ml |
| 免 疫 原 | KLH conjugated synthetic peptide derived from human Layilin:281-382/382 |
| 亚 型 | IgG |
| 纯化方法 | affinity purified by Protein A |
| 储 存 液 | 0.01M TBS(pH7.4) with 1% BSA, 0.03% Proclin300 and 50% Glycerol. |
| 保存条件 | Store at -20 °C for one year. Avoid repeated freeze/thaw cycles. The lyophilized antibody is stable at room temperature for at least one month and for greater than a year when kept at -20°C. When reconstituted in sterile pH 7.4 0.01M PBS or diluent of antibody the antibody is stable for at least two weeks at 2-4 °C. |
| PubMed | PubMed |
| 产品介绍 | background: LAYN is integral membrane protein, and a hyaluronate receptor. It has been shown to bind specifically to hyaluronan but not to other glycosaminoglycans. It is a recently characterized transmembrane protein with homology to C type lectins, and is a membrane binding site for talin in peripheral ruffles of spreading cells. LAYN may have a role in cell adhesion and motility. Function: Receptor for hyaluronate. Subcellular Location: Membrane. Colocalizes with TLN1 at the membrane ruffles. SWISS: Q6UX15 Gene ID: 143903 Database links: Entrez Gene: 143903 Human Entrez Gene: 244864 Mouse Entrez Gene: 500996 Rat SwissProt: Q6UX15 Human SwissProt: Q8C351 Mouse Unigene: 503831 Human Unigene: 335152 Mouse Unigene: 230868 Rat Important Note: This product as supplied is intended for research use only, not for use in human, therapeutic or diagnostic applications. Layilin是一种新发现的特异性透明质酸受体蛋白,目前主要用于肺部肿瘤方面的研究。 |
风险提示:丁香通仅作为第三方平台,为商家信息发布提供平台空间。用户咨询产品时请注意保护个人信息及财产安全,合理判断,谨慎选购商品,商家和用户对交易行为负责。对于医疗器械类产品,请先查证核实企业经营资质和医疗器械产品注册证情况。
技术资料暂无技术资料 索取技术资料
Layilin antibody
¥1380 - 2200









