相关产品推荐更多 >
万千商家帮你免费找货
0 人在求购买到急需产品
- 详细信息
- 文献和实验
- 技术资料
- 供应商:
上海康朗生物科技有限公司
- 库存:
大量
- 目录编号:
kl-3838R
- 克隆性:
多克隆
- 抗原来源:
Rabbit
- 保质期:
12个月
- 抗体英文名:
TXNDC4 antibody
- 抗体名:
内质网蛋白44抗体
- 宿主:
Rabbit
- 适应物种:
Human, Mouse, Rat, Dog, Pig, Cow,
- 免疫原:
KLH conjugated synthetic peptide derived from human TXNDC4:251-350/409
- 亚型:
IgG
- 形态:
冻干粉或液体
- 应用范围:
IHC-P=1:400-800 IHC-F=1:400-800
- 浓度:
1mg/ml
- 保存条件:
-20 °C
- 规格:
100ul 200ul
| 中文名称 | 内质网蛋白44抗体 |
| 别 名 | Endoplasmic reticulum resident protein 44; Endoplasmic reticulum resident protein 44 kDa; Endoplasmic reticulum resident protein ERp44; ER protein 44; ERP44; KIAA0573; PDIA10; Protein disulfide isomerase family A, member 10; Thioredoxin domain containing 4 (endoplasmic reticulum); Thioredoxin domain containing protein 4; UNQ532/PRO1075; ERP44; ERP44_HUMAN. |
| 规格价格 | 100ul/1380元 购买 200ul/2200元 购买 大包装/询价 |
| 说 明 书 | 100ul 200ul |
| 研究领域 | 细胞生物 免疫学 染色质和核信号 转录调节因子 |
| 抗体来源 | Rabbit |
| 克隆类型 | Polyclonal |
| 交叉反应 | Human, Mouse, Rat, Dog, Pig, Cow, |
| 产品应用 | IHC-P=1:400-800 IHC-F=1:400-800 (石蜡切片需做抗原修复) not yet tested in other applications. optimal dilutions/concentrations should be determined by the end user. |
| 分 子 量 | 44kDa |
| 细胞定位 | 细胞浆 |
| 性 状 | Lyophilized or Liquid |
| 浓 度 | 1mg/ml |
| 免 疫 原 | KLH conjugated synthetic peptide derived from human TXNDC4:251-350/409 |
| 亚 型 | IgG |
| 纯化方法 | affinity purified by Protein A |
| 储 存 液 | 0.01M TBS(pH7.4) with 1% BSA, 0.03% Proclin300 and 50% Glycerol. |
| 保存条件 | Store at -20 °C for one year. Avoid repeated freeze/thaw cycles. The lyophilized antibody is stable at room temperature for at least one month and for greater than a year when kept at -20°C. When reconstituted in sterile pH 7.4 0.01M PBS or diluent of antibody the antibody is stable for at least two weeks at 2-4 °C. |
| PubMed | PubMed |
| 产品介绍 | background: Mediates thiol-dependent retention in the early secretory pathway, forming mixed disulfides with substrate proteins through its conserved CRFS motif. Inhibits the calcium channel activity of ITPR1. May have a role in the control of oxidative protein folding in the endoplasmic reticulum. Required to retain ERO1L and ERO1LB in the endoplasmic reticulum. Function: Mediates thiol-dependent retention in the early secretory pathway, forming mixed disulfides with substrate proteins through its conserved CRFS motif. Inhibits the calcium channel activity of ITPR1. May have a role in the control of oxidative protein folding in the endoplasmic reticulum. Required to retain ERO1L and ERO1LB in the endoplasmic reticulum. Subunit: Forms mixed disulfides with both ERO1L and ERO1LB and cargo folding intermediates. Directly interacts with ITPR1 in a pH-, redox state- and calcium-dependent manner, but not with ITPR2 or ITPR3. The strength of this interaction inversely correlates with calcium concentration. Subcellular Location: Endoplasmic reticulum lumen. Similarity: Contains 1 thioredoxin domain. SWISS: Q9BS26 Gene ID: 23071 Database links: Entrez Gene: 23071 Human Entrez Gene: 506157 Cow Entrez Gene: 474781 Dog Entrez Gene: 76299 Mouse Entrez Gene: 100192437 Pig Entrez Gene: 298066 Rat Omim: 609170 Human SwissProt: Q3T0L2 Cow SwissProt: Q9BS26 Human SwissProt: Q9D1Q6 Mouse Unigene: 154023 Human Unigene: 317701 Mouse Unigene: 2459 Rat Important Note: This product as supplied is intended for research use only, not for use in human, therapeutic or diagnostic applications. |
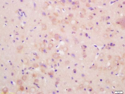
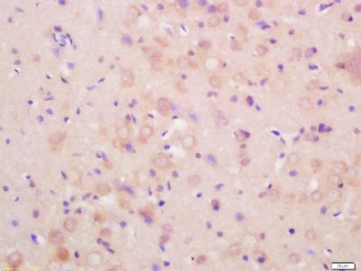
| 产品图片 | ![]() Tissue/cell: mouse brain tissue; 4% Paraformaldehyde-fixed and paraffin-embedded; Antigen retrieval: citrate buffer ( 0.01M, pH 6.0 ), Boiling bathing for 15min; Block endogenous peroxidase by 3% Hydrogen peroxide for 30min; Blocking buffer (normal goat serum,C-0005) at 37∩ for 20 min; Incubation: Anti-TXNDC4 Polyclonal Antibody, Unconjugated(bs-3838R) 1:200, overnight at 4∑C, followed by conjugation to the secondary antibody(SP-0023) and DAB(C-0010) staining |
风险提示:丁香通仅作为第三方平台,为商家信息发布提供平台空间。用户咨询产品时请注意保护个人信息及财产安全,合理判断,谨慎选购商品,商家和用户对交易行为负责。对于医疗器械类产品,请先查证核实企业经营资质和医疗器械产品注册证情况。
文献和实验Generation of Antibody Molecules Through Antibody Engineering
been overcome to a large extent using genetic-engineering techniques to produce chimeric mouse/human and completely human antibodies. Such an approach is particularly suitable because of the domain structure of the antibody molecule ( 2 ), where functional
The importance of antibody molecules was first recognized in the 1890s, when it was shown that immunity to tetanus and diphtheria was caused by antibodies against the bacterial exotoxins (1 ). Around the same time, it was shown that antisera
General comments: Antibodies, like most proteins, do not like to be freeze-thawed. Avoid repetitive freezing of your solution. The best way to store your antibody is to keep a high protein concentration (>1 mg/ml), add some protease
技术资料暂无技术资料 索取技术资料











