相关产品推荐更多 >
万千商家帮你免费找货
0 人在求购买到急需产品
- 详细信息
- 技术资料
- 供应商:
上海康朗生物科技有限公司
- 库存:
大量
- 目录编号:
kl-4683R
- 克隆性:
多克隆
- 抗原来源:
Rabbit
- 保质期:
12个月
- 抗体英文名:
Caspase-8 subunit p18 antibody
- 抗体名:
半胱氨酸蛋白酶8抗体
- 宿主:
Rabbit
- 适应物种:
Human, Rat, Dog, Pig,
- 免疫原:
KLH conjugated synthetic peptide derived from human Caspase-8 subunit p18:201-300/4496
- 亚型:
IgG
- 形态:
冻干粉或液体
- 应用范围:
WB=1:500-2000 IHC-P=1:400-800 IHC-F=1:400-800 Flow-Cyt=1μg/Test ICC=1:100-500 IF=1:100-500
- 浓度:
1mg/ml
- 保存条件:
-20 °C
- 规格:
100ul 200ul
Caspase-8 subunit p18 antibody
| 中文名称 | 半胱氨酸蛋白酶8抗体 |
| 别 名 | ALPS2B; Amyotrophic lateral sclerosis 2 chromosomal region candidate gene 12 protein; Apoptosis related cysteine peptidase; Apoptotic cysteine protease; Apoptotic protease Mch 5; Apoptotic protease Mch-5; Apoptotic protease Mch5; CAP 4; CAP4; CASP 8; CASP-8; Caspase-8; Caspase8; CASP8; CASP8_HUMAN; Caspase8; Caspase 8 apoptosis related cysteine peptidase; Caspase8; CED 3; FADD homologous ICE/CED 3 like protease; FADD Homologous ICE/CED3 Like Protease; FADD Like ICE antibody FADD-homologous ICE/CED-3-like protease; FADD-like ICE; FLICE; FLJ17672; ICE like apoptotic protease 5; ICE-like apoptotic protease 5; MACH alpha 1/2/3 protein; MACH antibody MACH beta 1/2/3/4 protein antibody MCH 5; MCH5. |
| 规格价格 | 100ul/1380元 购买 200ul/2200元 购买 大包装/询价 |
| 说 明 书 | 100ul 200ul |
| 研究领域 | 细胞生物 神经生物学 细胞凋亡 |
| 抗体来源 | Rabbit |
| 克隆类型 | Polyclonal |
| 交叉反应 | Human, Rat, Dog, Pig, |
| 产品应用 | WB=1:500-2000 IHC-P=1:400-800 IHC-F=1:400-800 Flow-Cyt=1μg/Test ICC=1:100-500 IF=1:100-500 (石蜡切片需做抗原修复) not yet tested in other applications. optimal dilutions/concentrations should be determined by the end user. |
| 分 子 量 | 18/55kDakDa |
| 细胞定位 | 细胞浆 |
| 性 状 | Lyophilized or Liquid |
| 浓 度 | 1mg/ml |
| 免 疫 原 | KLH conjugated synthetic peptide derived from human Caspase-8 subunit p18:201-300/4496 |
| 亚 型 | IgG |
| 纯化方法 | affinity purified by Protein A |
| 储 存 液 | 0.01M TBS(pH7.4) with 1% BSA, 0.03% Proclin300 and 50% Glycerol. |
| 保存条件 | Store at -20 °C for one year. Avoid repeated freeze/thaw cycles. The lyophilized antibody is stable at room temperature for at least one month and for greater than a year when kept at -20°C. When reconstituted in sterile pH 7.4 0.01M PBS or diluent of antibody the antibody is stable for at least two weeks at 2-4 °C. |
| PubMed | PubMed |
| 产品介绍 | background: Caspases are cysteine proteases, expressed as inactive precursors, that mediate apoptosis by proteolysis of specific substrates. Caspases have the ability to cleave after aspartic acid residues. There are two classes of caspases involved in apoptosis; initiators (activation by receptor cluster) and effectors (activation by mitochondrial permeability transition). Proapoptotic signals autocatalytically activate initiator caspases, such as Caspase 8 and Caspase 9. Activated initiator caspases then process effector caspases, such as Caspase 3 and Caspase 7, which in turn cause cell collapse. Function: Most upstream protease of the activation cascade of caspases responsible for the TNFRSF6/FAS mediated and TNFRSF1A induced cell death. Binding to the adapter molecule FADD recruits it to either receptor. The resulting aggregate called death-inducing signaling complex (DISC) performs CASP8 proteolytic activation. The active dimeric enzyme is then liberated from the DISC and free to activate downstream apoptotic proteases. Proteolytic fragments of the N-terminal propeptide (termed CAP3, CAP5 and CAP6) are likely retained in the DISC. Cleaves and activates CASP3, CASP4, CASP6, CASP7, CASP9 and CASP10. May participate in the GZMB apoptotic pathways. Cleaves ADPRT. Hydrolyzes the small-molecule substrate, Ac-Asp-Glu-Val-Asp-|-AMC. Likely target for the cowpox virus CRMA death inhibitory protein. Isoform 5, isoform 6, isoform 7 and isoform 8 lack the catalytic site and may interfere with the pro-apoptotic activity of the complex. Subunit: Heterotetramer that consists of two anti-parallel arranged heterodimers, each one formed by a 18 kDa (p18) and a 10 kDa (p10) subunit. Interacts with FADD, CFLAR and PEA15. Isoform 9 interacts at the endoplasmic reticulum with a complex containing BCAP31, BAP29, BCL2 and/or BCL2L1. Interacts with TNFAIP8L2. Subcellular Location: Cytoplasm. Tissue Specificity: Isoform 1, isoform 5 and isoform 7 are expressed in a wide variety of tissues. Highest expression in peripheral blood leukocytes, spleen, thymus and liver. Barely detectable in brain, testis and skeletal muscle. DISEASE: Defects in CASP8 are the cause of caspase-8 deficiency (CASP8D) [MIM:607271]. CASP8D is a disorder resembling autoimmune lymphoproliferative syndrome (ALPS). It is characterized by lymphadenopathy, splenomegaly, and defective CD95-induced apoptosis of peripheral blood lymphocytes (PBLs). It leads to defects in activation of T-lymphocytes, B-lymphocytes, and natural killer cells leading to immunodeficiency characterized by recurrent sinopulmonary and herpes simplex virus infections and poor responses to immunization. Similarity: Belongs to the peptidase C14A family. Contains 2 DED (death effector) domains. SWISS: Q14790 Gene ID: 841 Database links: Entrez Gene: 841 Human Entrez Gene: 54474 Rat Entrez Gene: 64044 Rat Omim: 601763 Human SwissProt: Q14790 Human SwissProt: Q9JHX4 Rat Unigene: 599762 Human Unigene: 655983 Human Important Note: This product as supplied is intended for research use only, not for use in human, therapeutic or diagnostic applications. 半胱氨酸蛋白酶-8,在凋亡执行阶段起中心作用。 |
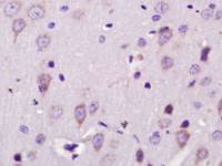
| 产品图片 | ![]() Paraformaldehyde-fixed, paraffin embedded (rat liver); Antigen retrieval by boiling in sodium citrate buffer (pH6.0) for 15min; Block endogenous peroxidase by 3% hydrogen peroxide for 20 minutes; Blocking buffer (normal goat serum) at 37°C for 30min; Antibody incubation with (Caspase-8 subunit p18) Polyclonal Antibody, Unconjugated (bs-4683R) at 1:500 overnight at 4°C, followed by a conjugated secondary (sp-0023) for 20 minutes and DAB staining. ![]() Blank control (blue line): U251 (fixed with 70% ethanol overnight at 4℃ and then permeabilized with 0.1% PBS-Tween for 20 min at room temperature). Primary Antibody (green line): Rabbit Anti-caspase-8 antibody (bs-4683R) Dilution: 0.2 μg /10^6 cells; Isotype Control Antibody (orange line): Rabbit IgG . Secondary Antibody (white blue line): Goat anti-rabbit IgG-PE Dilution: 1μg /test. ![]() Blank control (blue line): Hep G2 (fixed with 70% ethanol (Overnight at 4℃) and then permeabilized with 0.1% PBS-Tween for 20 min at room temperature). Primary Antibody (green line): Rabbit Anti-caspase-8 antibody (bs-4683R),Dilution: 0.2μg /10^6 cells; Isotype Control Antibody (orange line): Rabbit IgG . Secondary Antibody (white blue line): Goat anti-rabbit IgG-PE,dilution: 1μg /test. |
风险提示:丁香通仅作为第三方平台,为商家信息发布提供平台空间。用户咨询产品时请注意保护个人信息及财产安全,合理判断,谨慎选购商品,商家和用户对交易行为负责。对于医疗器械类产品,请先查证核实企业经营资质和医疗器械产品注册证情况。
技术资料暂无技术资料 索取技术资料
Caspase-8 subunit p18 antibody
¥1380 - 2200












