相关产品推荐更多 >
万千商家帮你免费找货
0 人在求购买到急需产品
- 详细信息
- 文献和实验
- 技术资料
- 供应商:
上海康朗生物科技有限公司
- 库存:
大量
- 目录编号:
kl-5856R
- 克隆性:
多克隆
- 抗原来源:
Rabbit
- 保质期:
12个月
- 抗体英文名:
ADAMTS13 antibody
- 抗体名:
整合素样金属蛋白酶与凝血酶13型抗体
- 宿主:
Rabbit
- 适应物种:
Human, Mouse, Rat, Dog, Pig, Cow, Horse,
- 免疫原:
KLH conjugated synthetic peptide derived from human ADAMTS13:401-500/1427
- 亚型:
IgG
- 形态:
冻干粉或液体
- 应用范围:
WB=1:500-2000 ELISA=1:500-1000 IHC-P=1:400-800 IHC-F=1:400-800 IF=1:100-500
- 浓度:
1mg/ml
- 保存条件:
-20 °C
- 规格:
100ul 200ul
| 中文名称 | 整合素样金属蛋白酶与凝血酶13型抗体 |
| 别 名 | Cleaves the vWF multimers in plasma into smaller forms. Von Willebrand factor cleaving protease; A disintegrin and metalloproteinase with thrombospondin motifs 13; A disintegrin like and metalloprotease (reprolysin type) with thrombospondin type 1 motif 13; A disintegrin like and metalloprotease with thrombospondin type 1 motif 13; ADAM metallopeptidase with thrombospondin type 1 motif 13; ADAM TS 13; ADAM TS13; ADAM-TS 13; ADAM-TS13; ADAMTS 13; ADAMTS-13; ADAMTS13; ADAMTS13 protein; ATS13_HUMAN; C9orf8; TTP; von Willebrand factor-cleaving protease; vWF cleaving protease; vWF CP; vWF-cleaving protease; vWF-CP; vWFCP. |
| 规格价格 | 100ul/1380元 购买 200ul/2200元 购买 大包装/询价 |
| 说 明 书 | 100ul 200ul |
| 研究领域 | 肿瘤 细胞生物 免疫学 信号转导 细胞粘附分子 |
| 抗体来源 | Rabbit |
| 克隆类型 | Polyclonal |
| 交叉反应 | Human, Mouse, Rat, Dog, Pig, Cow, Horse, |
| 产品应用 | WB=1:500-2000 ELISA=1:500-1000 IHC-P=1:400-800 IHC-F=1:400-800 IF=1:100-500 (石蜡切片需做抗原修复) not yet tested in other applications. optimal dilutions/concentrations should be determined by the end user. |
| 分 子 量 | 145kDa |
| 细胞定位 | 分泌型蛋白 |
| 性 状 | Lyophilized or Liquid |
| 浓 度 | 1mg/ml |
| 免 疫 原 | KLH conjugated synthetic peptide derived from human ADAMTS13:401-500/1427 |
| 亚 型 | IgG |
| 纯化方法 | affinity purified by Protein A |
| 储 存 液 | 0.01M TBS(pH7.4) with 1% BSA, 0.03% Proclin300 and 50% Glycerol. |
| 保存条件 | Store at -20 °C for one year. Avoid repeated freeze/thaw cycles. The lyophilized antibody is stable at room temperature for at least one month and for greater than a year when kept at -20°C. When reconstituted in sterile pH 7.4 0.01M PBS or diluent of antibody the antibody is stable for at least two weeks at 2-4 °C. |
| PubMed | PubMed |
| 产品介绍 | background: This gene encodes a member of the ADAMTS (a disintegrin and metalloproteinase with thrombospondin motif) protein family. Members of the family share several distinct protein modules, including a propeptide region, a metalloproteinase domain, a disintegrin-like domain, and a thrombospondin type 1 (TS) motif. Individual members of this family differ in the number of C-terminal TS motifs, and some have unique C-terminal domains. The enzyme encoded by this gene is the von Willebrand Factor (vWF)-cleaving protease, which is responsible for cleaving at the site of Tyr842-Met843 of the vWF molecule. A deficiency of this enzyme is associated with thrombotic thrombocytopenic purpura. Alternative splicing of this gene generates multiple transcript variants encoding different isoforms. [provided by RefSeq, Nov 2008]. Function: Cleaves the vWF multimers in plasma into smaller forms. Subcellular Location: Secreted. Note=Secretion enhanced by O-fucosylation of TSP type-1 repeats. Tissue Specificity: Plasma. Expressed primarily in liver. Post-translational modifications: Glycosylated. O-fucosylated by POFUT2 on a serine or a threonine residue found within the consensus sequence C1-X(2)-(S/T)-C2-G of the TSP type-1 repeat domains where C1 and C2 are the first and second cysteine residue of the repeat, respectively. Fucosylated repeats can then be further glycosylated by the addition of a beta-1,3-glucose residue by the glucosyltransferase, B3GALTL. Fucosylation mediates the efficient secretion of ADAMTS13. May also be C-glycosylated on tryptophan residues within the consensus sequence W-X-X-W of the TPRs, and also N-glycosylated. These other glycosylations can also facilitate secretion. The precursor is processed by a furin endopeptidase which cleaves off the pro-domain. DISEASE: Defects in ADAMTS13 are the cause of thrombotic thrombocytopenic purpura congenital (TTP) [MIM:274150]; also known as Upshaw-Schulman syndrome (USS). A hematologic disease characterized by hemolytic anemia with fragmentation of erythrocytes, thrombocytopenia, diffuse and non-focal neurologic findings, decreased renal function and fever. Similarity: Contains 2 CUB domains. Contains 1 disintegrin domain. Contains 1 peptidase M12B domain. Contains 8 TSP type-1 domains. SWISS: Q76LX8 Gene ID: 11093 Database links: Entrez Gene: 11093 Human Entrez Gene: 279028 Mouse Entrez Gene: 362091 Rat Omim: 604134 Human SwissProt: Q76LX8 Human SwissProt: Q769J6 Mouse Unigene: 131433 Human Unigene: 330084 Mouse Important Note: This product as supplied is intended for research use only, not for use in human, therapeutic or diagnostic applications. 细胞外基质蛋白 |
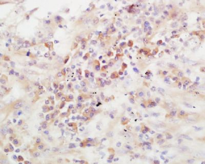
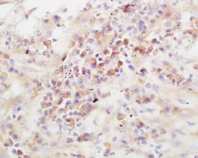
| 产品图片 | ![]() Sample: Liver (Mouse) Lysate at 40 ug Primary: Anti-ADAMTS13 (bs-5856R) at 1/1000 dilution Secondary: IRDye800CW Goat Anti-Rabbit IgG at 1/20000 dilution Predicted band size: 145 kD Observed band size: 155 kD ![]() Tissue/cell: human lung carcinoma; 4% Paraformaldehyde-fixed and paraffin-embedded; Antigen retrieval: citrate buffer ( 0.01M, pH 6.0 ), Boiling bathing for 15min; Block endogenous peroxidase by 3% Hydrogen peroxide for 30min; Blocking buffer (normal goat serum,C-0005) at 37℃ for 20 min; Incubation: Anti-ADAMTS13 Polyclonal Antibody, Unconjugated(bs-5856R) 1:200, overnight at 4°C, followed by conjugation to the secondary antibody(SP-0023) and DAB(C-0010) staining |
风险提示:丁香通仅作为第三方平台,为商家信息发布提供平台空间。用户咨询产品时请注意保护个人信息及财产安全,合理判断,谨慎选购商品,商家和用户对交易行为负责。对于医疗器械类产品,请先查证核实企业经营资质和医疗器械产品注册证情况。
文献和实验Generation of Antibody Molecules Through Antibody Engineering
been overcome to a large extent using genetic-engineering techniques to produce chimeric mouse/human and completely human antibodies. Such an approach is particularly suitable because of the domain structure of the antibody molecule ( 2 ), where functional
The importance of antibody molecules was first recognized in the 1890s, when it was shown that immunity to tetanus and diphtheria was caused by antibodies against the bacterial exotoxins (1 ). Around the same time, it was shown that antisera
General comments: Antibodies, like most proteins, do not like to be freeze-thawed. Avoid repetitive freezing of your solution. The best way to store your antibody is to keep a high protein concentration (>1 mg/ml), add some protease
技术资料暂无技术资料 索取技术资料












