相关产品推荐更多 >
万千商家帮你免费找货
0 人在求购买到急需产品
- 详细信息
- 技术资料
- 供应商:
上海联迈生物工程有限公司
- 库存:
大量
- 目录编号:
LM-1235R
- 克隆性:
多克隆
- 抗原来源:
Rabbit
- 保质期:
1年
- 抗体英文名:
Hyaluronidase-1
- 抗体名:
透明质酸酶/玻璃酸酶抗体
- 宿主:
Rabbit
- 适应物种:
Human, Mouse, Rat,
- 免疫原:
KLH conjugated synthetic peptide derived from rat Haase:271-400/449
- 亚型:
IgG
- 形态:
Lyophilized or Liquid
- 应用范围:
ELISA=1:500-1000 IHC-P=1:400-800 IHC-F=1:400-800 IF=1:100-500 (石蜡切片需做抗原修复)
- 浓度:
1mg/ml
- 保存条件:
Store at -20 °C
- 规格:
50ul 100ul 200ul
Hyaluronidase-1透明质酸酶/玻璃酸酶抗体
| 英文名称 | Hyaluronidase-1 |
| 中文名称 | 透明质酸酶/玻璃酸酶抗体 |
| 别 名 | HYA1; HYAL PH-20; HYAL PH20; HYAL1; HYAL3; HYAL5; Haase; Hyaluronidase PH-20; MGC26532; PH-20 Hyaluronidase; PH20; Hyaluronidase PH20; PH20 Hyaluronidase; SPAG15; SPAM-1; SPAM1;Sperm adhesion molecule 1; Sperm surface protein PH-20; Sperm surface protein PH20; zona pellucida binding. LUCA-3; HYAL1_HUMAN; HYAL 1; Hyal-1; HYAL1; HYAL1_HUMAN; Hyaluronidase 1; Hyaluronidase-1; Hyaluronoglucosaminidase 1; Hyaluronoglucosaminidase-1; Hyaluronoglucosaminidase1; LUCA 1; LUCA-1; LUCA1; Lung carcinoma protein 1; MGC45987; NAT6; Plasma hyaluronidase; Tumor suppressor LUCA 1. |
| 规格价格 | 50ul/780元 购买 100ul/1380元 购买 200ul/2200元 购买 大包装/询价 |
| 说 明 书 | 50ul 100ul 200ul |
| 研究领域 | 肿瘤 细胞生物 免疫学 激酶和磷酸酶 |
| 抗体来源 | Rabbit |
| 克隆类型 | Polyclonal |
| 交叉反应 | Human, Mouse, Rat, |
| 产品应用 | ELISA=1:500-1000 IHC-P=1:400-800 IHC-F=1:400-800 IF=1:100-500 (石蜡切片需做抗原修复) not yet tested in other applications. optimal dilutions/concentrations should be determined by the end user. |
| 分 子 量 | 45kDa |
| 细胞定位 | 细胞浆 分泌型蛋白 |
| 性 状 | Lyophilized or Liquid |
| 浓 度 | 1mg/ml |
| 免 疫 原 | KLH conjugated synthetic peptide derived from rat Haase:271-400/449 |
| 亚 型 | IgG |
| 纯化方法 | affinity purified by Protein A |
| 储 存 液 | 0.01M TBS(pH7.4) with 1% BSA, 0.03% Proclin300 and 50% Glycerol. |
| 保存条件 | Store at -20 °C for one year. Avoid repeated freeze/thaw cycles. The lyophilized antibody is stable at room temperature for at least one month and for greater than a year when kept at -20°C. When reconstituted in sterile pH 7.4 0.01M PBS or diluent of antibody the antibody is stable for at least two weeks at 2-4 °C. |
| PubMed | PubMed |
| 产品介绍 | background: Hyaluronidase degrades hyaluronic acid, which is an important structural proteoglycan found in basement membranes and also extracellular matrices. There are six members of the hyaluronidase family. Hyaluronidase PH20 is a GPI-anchored enzyme located on the human sperm surface and inner acrosomal membrane and plays a role in sperm penetration through the the hyaluronic acid-rich cumulus cell layer surrounding the oocyte. Abnormal expression of this gene has been implicated in degradation of basement membranes leading to tumor invasion and metastasis. Function: May have a role in promoting tumor progression. May block the TGFB1-enhanced cell growth. Subcellular Location: Secreted. Lysosome. Tissue Specificity: Highly expressed in liver, kidney, lung and skin. Similarity: Belongs to the glycosyl hydrolase 56 family. Contains 1 EGF-like domain. SWISS: Q76HN1 Gene ID: 367166 Database links: Entrez Gene: 3373 Human Entrez Gene: 15586 Mouse Entrez Gene: 404698 Pig Entrez Gene: 367166 Rat Omim: 607071 Human SwissProt: Q12794 Human SwissProt: Q91ZJ9 Mouse SwissProt: Q6RHW4 Pig SwissProt: Q76HN1 Rat Unigene: 75619 Human Unigene: 10305 Mouse Unigene: 475658 Mouse Unigene: 124438 Rat Important Note: This product as supplied is intended for research use only, not for use in human, therapeutic or diagnostic applications. HAase是一种具有高度底物特异性的蛋白酶,使透明质酸产生低分子化作用的酶之总称,可以特异地作用于透明质酸,通过裂解葡萄糖胺和葡萄糖醛酸的分子键而将透明质酸分解为二糖成分,引起透明质酸的解聚和降解,透明质酸分子从胶原细纤维间隙中释放出来并重新分布,主要定位于细胞外基质影响细胞的增殖、分化及迁移,并在胚胎发育和肿瘤发生发展过程中发挥作用,因而它在胚胎发育、血管形成、免疫监视以及肿瘤发生发展过程中起着重要作用。 |
| 产品图片 |
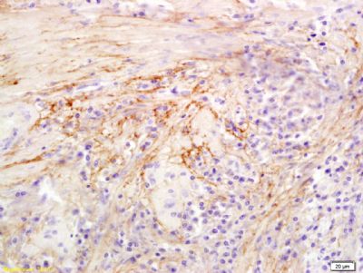
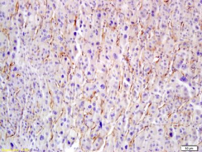
Tissue/cell: human liver carcinoma; 4% Paraformaldehyde-fixed and paraffin-embedded;
Antigen retrieval: citrate buffer ( 0.01M, pH 6.0 ), Boiling bathing for 15min; Block endogenous peroxidase by 3% Hydrogen peroxide for 30min; Blocking buffer (normal goat serum,C-0005) at 37℃ for 20 min; Incubation: Anti-Hyaluronidase-1 Polyclonal Antibody, Unconjugated(bs-1235R) 1:300, overnight at 4°C, followed by conjugation to the secondary antibody(SP-0023) and DAB(C-0010) staining
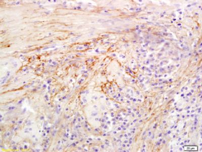
Tissue/cell: human colon carcinoma; 4% Paraformaldehyde-fixed and paraffin-embedded;
Antigen retrieval: citrate buffer ( 0.01M, pH 6.0 ), Boiling bathing for 15min; Block endogenous peroxidase by 3% Hydrogen peroxide for 30min; Blocking buffer (normal goat serum,C-0005) at 37℃ for 20 min; Incubation: Anti-Hyaluronidase-1 Polyclonal Antibody, Unconjugated(bs-1235R) 1:300, overnight at 4°C, followed by conjugation to the secondary antibody(SP-0023) and DAB(C-0010) staining |
风险提示:丁香通仅作为第三方平台,为商家信息发布提供平台空间。用户咨询产品时请注意保护个人信息及财产安全,合理判断,谨慎选购商品,商家和用户对交易行为负责。对于医疗器械类产品,请先查证核实企业经营资质和医疗器械产品注册证情况。
技术资料暂无技术资料 索取技术资料
Hyaluronidase-1透明质酸酶/玻璃酸酶抗体
¥780 - 2200











