相关产品推荐更多 >
万千商家帮你免费找货
0 人在求购买到急需产品
- 详细信息
- 文献和实验
- 技术资料
- 供应商:
上海联迈生物工程有限公司
- 库存:
大量
- 目录编号:
LM-12048R
- 克隆性:
多克隆
- 抗原来源:
Rabbit
- 保质期:
1年
- 抗体英文名:
5HT1F Receptor
- 抗体名:
5-羟色胺受体1F抗体
- 宿主:
Rabbit
- 适应物种:
Human, Mouse, Rat, Dog, Pig, Cow, Rabbit, Sheep,
- 免疫原:
KLH conjugated synthetic peptide derived from human 5HT1F Receptor/SR-1F:1-100/366 <Extracellular>
- 亚型:
IgG
- 形态:
Lyophilized or Liquid
- 应用范围:
WB=1:500-2000 ELISA=1:500-1000 IHC-P=1:400-800 IHC-F=1:400-800 ICC=1:100-500 IF=1:100-500 (石蜡切片需做抗原修复)
- 浓度:
1mg/ml
- 保存条件:
Store at -20 °C
- 规格:
100ul 200ul
| 英文名称 | 5HT1F Receptor |
| 中文名称 | 5-羟色胺受体1F抗体 |
| 别 名 | SR-1F; 5 HT 1F; 5 HT1F; 5 hydroxytryptamine (serotonin) receptor 1F; 5 hydroxytryptamine 1F receptor; 5 hydroxytryptamine receptor 1E beta; 5 hydroxytryptamine receptor 1F; 5 hydroxytryptamine serotonin receptor 1E beta; 5 hydroxytryptamine serotonin receptor 1F; 5HT 1F; 5HT1F; HTR 1F; HTR1EB; HTR1EL; HTR1F; MR 77; MR77; Serotonin receptor 1E beta; Serotonin receptor gene; 5HT1F_HUMAN. |
| 规格价格 | 100ul/1380元 购买 200ul/2200元 购买 大包装/询价 |
| 说 明 书 | 100ul 200ul |
| 研究领域 | 神经生物学 细胞膜受体 G蛋白偶联受体 新陈代谢 G蛋白信号 |
| 抗体来源 | Rabbit |
| 克隆类型 | Polyclonal |
| 交叉反应 | Human, Mouse, Rat, Dog, Pig, Cow, Rabbit, Sheep, |
| 产品应用 | WB=1:500-2000 ELISA=1:500-1000 IHC-P=1:400-800 IHC-F=1:400-800 ICC=1:100-500 IF=1:100-500 (石蜡切片需做抗原修复) not yet tested in other applications. optimal dilutions/concentrations should be determined by the end user. |
| 分 子 量 | 42kDa |
| 细胞定位 | 细胞膜 |
| 性 状 | Lyophilized or Liquid |
| 浓 度 | 1mg/ml |
| 免 疫 原 | KLH conjugated synthetic peptide derived from human 5HT1F Receptor/SR-1F:1-100/366 <Extracellular> |
| 亚 型 | IgG |
| 纯化方法 | affinity purified by Protein A |
| 储 存 液 | 0.01M TBS(pH7.4) with 1% BSA, 0.03% Proclin300 and 50% Glycerol. |
| 保存条件 | Store at -20 °C for one year. Avoid repeated freeze/thaw cycles. The lyophilized antibody is stable at room temperature for at least one month and for greater than a year when kept at -20°C. When reconstituted in sterile pH 7.4 0.01M PBS or diluent of antibody the antibody is stable for at least two weeks at 2-4 °C. |
| PubMed | PubMed |
| 产品介绍 | background: The members of the G-protein-coupled receptor family are distinguished by their slow transmitting response to ligand binding. These seven transmembrane proteins include the adrenergic, serotonin and dopamine receptors. The effect of the signaling molecule can be excitatory or inhibitory depending on the type of receptor to which it binds. b-adrenergic bound to adrenaline activates adenylyl cyclase, while a2-adrenergic receptor bound to adrenaline inhibits adenylyl cyclase. Like the a2-adrenergic receptor, serotonin receptor functions are also mediated by G proteins that inhibit the activity of adenylyl cyclase. The serotonin receptors have been classified into several categories, designated SR-1–7 (5HT1–7). Subtypes within the SR-1 group include SR-1A, -1B, -1D, -1E and -1F. Function: 5HT1F is one of the several different receptors for 5-hydroxytryptamine (serotonin), a biogenic hormone that functions as a neurotransmitter, a hormone, and a mitogen. The activity of this receptor is mediated by G proteins that inhibit adenylate cyclase activity. 5HT1F is a member of the GPCR family (subfamily: Serotonin). Expression of 5HT1F has been reported in various brain structures, including cortex, hippocampus, trigeminal ganglia, and cerebral blood vessels. Expression in peripheral tissues is limited to uterus, mesentery, and artery. No expression has been detected in heart, kidney, liver, pancreas, or spleen. Subcellular Location: Cell membrane; Multi pass membrane protein. Similarity: Belongs to the G-protein coupled receptor 1 family. SWISS: P30939 Gene ID: 3355 Database links: Entrez Gene: 3355 Human Entrez Gene: 15557 Mouse Entrez Gene: 60448 Rat Omim: 182134 Human SwissProt: P30939 Human SwissProt: Q02284 Mouse SwissProt: P30940 Rat Unigene: 248136 Human Unigene: 44301 Rat Important Note: This product as supplied is intended for research use only, not for use in human, therapeutic or diagnostic applications. |
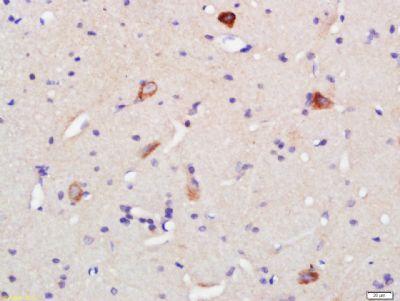
| 产品图片 | ![]() Sample: A549 Cell (Human) Lysate at 40 ug Primary: Anti- 5HT1F Receptor (bs-12048R) at 1/300 dilution Secondary: IRDye800CW Goat Anti-Rabbit IgG at 1/20000 dilution Predicted band size: 42 kD Observed band size: 42 kD ![]() Paraformaldehyde-fixed, paraffin embedded (Mouse brain); Antigen retrieval by boiling in sodium citrate buffer (pH6.0) for 15min; Block endogenous peroxidase by 3% hydrogen peroxide for 20 minutes; Blocking buffer (normal goat serum) at 37°C for 30min; Antibody incubation with (5HT1F Receptor) Polyclonal Antibody, Unconjugated (bs-12048R) at 1:400 overnight at 4°C, followed by operating according to SP Kit(Rabbit) (sp-0023) instructionsand DAB staining. ![]() Paraformaldehyde-fixed, paraffin embedded (Mouse spinal cord); Antigen retrieval by boiling in sodium citrate buffer (pH6.0) for 15min; Block endogenous peroxidase by 3% hydrogen peroxide for 20 minutes; Blocking buffer (normal goat serum) at 37°C for 30min; Antibody incubation with (5HT1F Receptor) Polyclonal Antibody, Unconjugated (bs-12048R) at 1:400 overnight at 4°C, followed by operating according to SP Kit(Rabbit) (sp-0023) instructionsand DAB staining. ![]() Tissue/cell: rat brain tissue; 4% Paraformaldehyde-fixed and paraffin-embedded; Antigen retrieval: citrate buffer ( 0.01M, pH 6.0 ), Boiling bathing for 15min; Block endogenous peroxidase by 3% Hydrogen peroxide for 30min; Blocking buffer (normal goat serum,C-0005) at 37℃ for 20 min; Incubation: Anti-5HT1F Polyclonal Antibody, Unconjugated(bs-12048R) 1:500, overnight at 4°C, followed by conjugation to the secondary antibody(SP-0023) and DAB(C-0010) staining ![]() Tissue/cell: rat brain tissue;4% Paraformaldehyde-fixed and paraffin-embedded; Antigen retrieval: citrate buffer ( 0.01M, pH 6.0 ), Boiling bathing for 15min; Blocking buffer (normal goat serum,C-0005) at 37℃ for 20 min; Incubation: Anti-5HT1F Receptor Polyclonal Antibody, Unconjugated(bs-12048R) 1:200, overnight at 4°C; The secondary antibody was Goat Anti-Rabbit IgG, Cy3 conjugated(bs-0295G-Cy3)used at 1:200 dilution for 40 minutes at 37°C. DAPI(5ug/ml,blue,C-0033) was used to stain the cell nuclei |
风险提示:丁香通仅作为第三方平台,为商家信息发布提供平台空间。用户咨询产品时请注意保护个人信息及财产安全,合理判断,谨慎选购商品,商家和用户对交易行为负责。对于医疗器械类产品,请先查证核实企业经营资质和医疗器械产品注册证情况。
文献和实验Expression of an Integral Membrane Protein, the 5HT5A Receptor
Research in the field of membrane proteins has undergone explosive growth during the last decade, primarily owing to the influence of the powerful techniques of modern molecular biology. Membrane proteins fulfill essential functions
Localization of the myc-Tagged 5HT5A Receptor by Immunogold Staining of Ultrathin Sections
Immunohistochemistry is a powerful technique to localize proteins in tissues and cultured cells as well as in fractions of subcellular compartments, like mitochondria, endoplasmic reticulum, vesicles, and membranes. In most cases, the detection
的肽激素作用于同一脂肪细胞时,存在不同的受体,每种激素分别与之结合。因位于膜上,故与处在同一膜上的腺苷酸环化酶有关。甾类化合物激素的受体称为胞液受体(cytos-ol-receptor),存在于细胞质中,至少其活性部分是蛋白质。关于病毒受体的概念,为了说明病毒的宿主范围,病毒与细胞表面间有抗原抗体反应的互补结构,1929年伯内特(F.M.Burnet)开始研究细胞病毒,发现流感病毒有凝聚红血球的反应,并以此为转机,扩大到其它病毒系统。病毒受体是与病毒粒子特异结合引起病毒侵入和脱外壳反应的结构体
技术资料暂无技术资料 索取技术资料















