相关产品推荐更多 >
万千商家帮你免费找货
0 人在求购买到急需产品
- 详细信息
- 文献和实验
- 技术资料
- 供应商:
上海康朗生物科技有限公司
- 库存:
大量
- 目录编号:
kl-4182R
- 克隆性:
多克隆
- 抗原来源:
Rabbit
- 保质期:
12个月
- 抗体英文名:
RPA32 antibody
- 抗体名:
复制因子A蛋白2
- 宿主:
Rabbit
- 适应物种:
Human, Mouse, Rat, Chicken, Dog, Pig, Cow, Horse, Rabbit,
- 免疫原:
KLH conjugated synthetic peptide derived from human RPA32/RPA2:101-200/270
- 亚型:
IgG
- 形态:
冻干粉或液体
- 应用范围:
WB=1:500-2000 ELISA=1:500-1000 IHC-P=1:400-800 IHC-F=1:400-800 IF=1:100-500
- 浓度:
1mg/ml
- 保存条件:
-20 °C
- 规格:
100ul 200ul
| 中文名称 | 复制因子A蛋白2 |
| 别 名 | 60S acidic ribosomal protein P1; p32; p34; REPA2; Replication factor A protein 2; Replication protein A 32 kDa subunit; Replication protein A 32kDa subunit; Replication protein A 34 kDa subunit; Replication protein A; Replication Protein A2 (32kDa); Replication protein A2; Replication protein A2, 32kDa; RF-A protein 2; Rf-A2; RFA; RFA2_HUMAN; RP-A p32; RP-A p34; RP21C; RPA 2; RPA 32; RPA; Rpa2; RPA32; RPA34; RpLP1; RpP2. |
| 规格价格 | 100ul/1380元 购买 200ul/2200元 购买 大包装/询价 |
| 说 明 书 | 100ul 200ul |
| 研究领域 | 免疫学 染色质和核信号 |
| 抗体来源 | Rabbit |
| 克隆类型 | Polyclonal |
| 交叉反应 | Human, Mouse, Rat, Chicken, Dog, Pig, Cow, Horse, Rabbit, |
| 产品应用 | WB=1:500-2000 ELISA=1:500-1000 IHC-P=1:400-800 IHC-F=1:400-800 IF=1:100-500 (石蜡切片需做抗原修复) not yet tested in other applications. optimal dilutions/concentrations should be determined by the end user. |
| 分 子 量 | 29kDa |
| 细胞定位 | 细胞核 |
| 性 状 | Lyophilized or Liquid |
| 浓 度 | 1mg/ml |
| 免 疫 原 | KLH conjugated synthetic peptide derived from human RPA32/RPA2:101-200/270 |
| 亚 型 | IgG |
| 纯化方法 | affinity purified by Protein A |
| 储 存 液 | 0.01M TBS(pH7.4) with 1% BSA, 0.03% Proclin300 and 50% Glycerol. |
| 保存条件 | Store at -20 °C for one year. Avoid repeated freeze/thaw cycles. The lyophilized antibody is stable at room temperature for at least one month and for greater than a year when kept at -20°C. When reconstituted in sterile pH 7.4 0.01M PBS or diluent of antibody the antibody is stable for at least two weeks at 2-4 °C. |
| PubMed | PubMed |
| 产品介绍 | background: Required for DNA recombination, repair and replication. The activity of RP-A is mediated by single-stranded DNA binding and protein interactions. Functions as component of the alternative replication protein A complex (aRPA). aRPA binds single-stranded DNA and probably plays a role in DNA repair; it does not support chromosomal DNA replication and cell cycle progression through S-phase. In vitro, aRPA cannot promote efficient priming by DNA polymerase alpha but supports DNA polymerase delta synthesis in the presence of PCNA and replication factor C (RFC), the dual incision/excision reaction of nucleotide excision repair and RAD51-dependent strand exchange. Function: Required for DNA recombination, repair and replication. The activity of RP-A is mediated by single-stranded DNA binding and protein interactions. Required for the efficient recruitment of the DNA double-strand break repair factor RAD51 to chromatin in response to DNA damage. Functions as component of the alternative replication protein A complex (aRPA). aRPA binds single-stranded DNA and probably plays a role in DNA repair; it does not support chromosomal DNA replication and cell cycle progression through S-phase. In vitro, aRPA cannot promote efficient priming by DNA polymerase alpha but supports DNA polymerase delta synthesis in the presence of PCNA and replication factor C (RFC), the dual incision/excision reaction of nucleotide excision repair and RAD51-dependent strand exchange. Subunit: Heterotrimer of 70, 32 and 14 kDa chains (canonical replication protein A complex). Component of the alternative replication protein A complex (aRPA) composed of RPA1, RPA3 and RPA4. The DNA-binding activity may reside exclusively on the 70 kDa subunit. Binds to SERTAD3/RBT1. Interacts with TIPIN. Directly interacts with PPP4R2, but not with SMEK2; this interaction is DNA damage-dependent and leads RPA2 dephosphorylation by PPP4C recruitment. Interacts with RAD51, preferentially when hyperphosphorylated. Directly interacts with RFWD3. Subcellular Location: Nucleus. Nucleus, PML body. Note=Also present in PML nuclear bodies. Redistributes to discrete nuclear foci upon DNA damage. Post-translational modifications: Phosphorylated in a cell-cycle-dependent manner (from the S phase until mitosis). In response to DNA damage, recruited to DNA-repair nuclear foci, as an hypophosphorylated form. The necessary dephosphorylation step is catalyzed by PP4. Subsequent hyperphosphorylation, catalyzed by ATR, is required for RAD51 recruitment to chromatin and efficient DNA repair. Can be phosphorylated in vitro by PRKDC/DNA-PK in the presence of Ku and DNA, and by CDK1. Phosphorylation at Thr-21 depends upon RFWD3 presence. SWISS: P15927 Gene ID: 6118 Database links: Entrez Gene: 6118 Human GenBank: NP_002937.1 Human Omim: 179836 Human SwissProt: P15927 Human Unigene: 703070 Human Unigene: 79411 Human Important Note: This product as supplied is intended for research use only, not for use in human, therapeutic or diagnostic applications. |
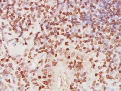
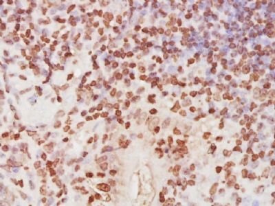
| 产品图片 | ![]() Sample: Bone (Mouse) Lysate at 40 ug Muscle (Mouse) Lysate at 40 ug Primary: Anti-RPA32 (bs-4182R) at 1/300 dilution Secondary: IRDye800CW Goat Anti-Rabbit IgG at 1/20000 dilution Predicted band size: 29 kD Observed band size: 29 kD ![]() Paraformaldehyde-fixed, paraffin embedded (Mouse small intestine); Antigen retrieval by boiling in sodium citrate buffer (pH6.0) for 15min; Block endogenous peroxidase by 3% hydrogen peroxide for 20 minutes; Blocking buffer (normal goat serum) at 37°C for 30min; Antibody incubation with (RPA32) Polyclonal Antibody, Unconjugated (bs-4182R) at 1:400 overnight at 4°C, followed by operating according to SP Kit(Rabbit) (sp-0023) instructionsand DAB staining. |
风险提示:丁香通仅作为第三方平台,为商家信息发布提供平台空间。用户咨询产品时请注意保护个人信息及财产安全,合理判断,谨慎选购商品,商家和用户对交易行为负责。对于医疗器械类产品,请先查证核实企业经营资质和医疗器械产品注册证情况。
文献和实验The ribonuclease protection assay (RPA)
, 5X transcription buffer, and RPA template set to RT. For each probe synthesis, add the following in order to a 1.5 ml Eppendorf tube: 1 µl RNasin® 1 µl GACU pool 2 µl DTT 4 µl 5X transcription buffer 1 µl RPA Template Set 10 µl [a-32
人 白细胞介素 - 32( IL- 32) 酶联免疫 分析( ELISA ) 试剂 盒使用说明书 本试剂仅供研究使用 目的:本试剂盒用于测定人血清,血浆及相关液体样本中 白细胞介素32(IL-32)的 含量。 实验原理 : 本试剂盒应用 双抗体 夹心法测定 标本 中 人白细胞介素 - 32( IL- 32) 水平。用纯化的 人白细胞介素 - 32( IL- 32)抗体 包被微孔板,制成固相 抗 体,往包被 单抗
人白细胞介素32γ(IL-32γ)酶联免疫分析(ELISA)
人 白细胞介素32γ(IL-32γ) 酶联免疫 分析( ELISA ) 试剂 盒使用说明书 本试剂仅供研究使用 目的:本试剂盒用于测定人血清,血浆及相关液体样本中 白细胞介素32γ(IL-32γ)的 含量。 实验原理 : 本试剂盒应用 双抗体 夹心法测定 标本 中 人白细胞介素32 γ (IL-32 γ ) 水平。用纯化的 人白细胞介素32 γ (IL-32 γ ) 抗体 包被微孔板,制成固相 抗 体,往包被 单抗
技术资料暂无技术资料 索取技术资料












