相关产品推荐更多 >
万千商家帮你免费找货
0 人在求购买到急需产品
- 详细信息
- 技术资料
- 供应商:
上海康朗生物科技有限公司
- 库存:
大量
- 目录编号:
kl-5511R
- 克隆性:
多克隆
- 抗原来源:
Rabbit
- 保质期:
12个月
- 抗体英文名:
Phospho-NFKB1 (Ser907) antibody
- 抗体名:
磷酸化细胞核因子p50/k基因结合核因子抗体
- 宿主:
Rabbit
- 适应物种:
Human
- 免疫原:
KLH conjugated Synthesised phosphopeptide derived from human NF KappaB p105 around the phosphorylation site of Ser907:PL(p-S)PA
- 亚型:
IgG
- 形态:
冻干粉或液体
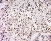
- 应用范围:
WB=1:500-2000 ELISA=1:500-1000 IHC-P=1:400-800 IHC-F=1:400-800 Flow-Cyt=1μg/Test IF=1:100-500
- 浓度:
1mg/ml
- 保存条件:
-20 °C
- 规格:
100ul
Phospho-NFKB1 (Ser907) antibody
| 中文名称 | 磷酸化细胞核因子p50/k基因结合核因子抗体 |
| 别 名 | NFkB p105 / p50 (phospho S907); p-NFkB p105 / p50 (phospho S907); DKFZp686C01211; DNA binding factor KBF1; DNA binding factor KBF1 EBP1; DNA binding factor KBF1 EBP1; DNA-binding factor KBF1; EBP 1; EBP-1; EBP1; KBF1; MGC54151; NF kappa B; NF kappabeta; NF kB1; NFKB 1; NFKB p105; NFKB p50; NFKB1; NFKB1_HUMAN; Nuclear factor kappa B DNA binding subunit; Nuclear factor NF kappa B p105 subunit; Nuclear factor NF kappa B p50 subunit; Nuclear factor NF-kappa-B p50 subunit; Nuclear factor of kappa light polypeptide gene enhancer in B cells 1; Nuclear factor of kappa light polypeptide gene enhancer in B-cells 1; p84/NF-kappa-B1 p98. NFκB-p105/p50; NFκB-p105 / p50; NFκB p105/p50; NF κB p105/p50; NF κB p105 / p50; |
| 规格价格 | 100ul/1580元 购买 大包装/询价 |
| 说 明 书 | 100ul |
| 产品类型 | 磷酸化抗体 |
| 研究领域 | 肿瘤 细胞生物 免疫学 染色质和核信号 信号转导 细胞凋亡 转录调节因子 表观遗传学 |
| 抗体来源 | Rabbit |
| 克隆类型 | Polyclonal |
| 交叉反应 | Human, |
| 产品应用 | WB=1:500-2000 ELISA=1:500-1000 IHC-P=1:400-800 IHC-F=1:400-800 Flow-Cyt=1μg/Test IF=1:100-500 (石蜡切片需做抗原修复) not yet tested in other applications. optimal dilutions/concentrations should be determined by the end user. |
| 分 子 量 | 105kDa |
| 细胞定位 | 细胞核 细胞浆 |
| 性 状 | Lyophilized or Liquid |
| 浓 度 | 1mg/ml |
| 免 疫 原 | KLH conjugated Synthesised phosphopeptide derived from human NF KappaB p105 around the phosphorylation site of Ser907:PL(p-S)PA |
| 亚 型 | IgG |
| 纯化方法 | affinity purified by Protein A |
| 储 存 液 | 0.01M TBS(pH7.4) with 1% BSA, 0.03% Proclin300 and 50% Glycerol. |
| 保存条件 | Store at -20 °C for one year. Avoid repeated freeze/thaw cycles. The lyophilized antibody is stable at room temperature for at least one month and for greater than a year when kept at -20°C. When reconstituted in sterile pH 7.4 0.01M PBS or diluent of antibody the antibody is stable for at least two weeks at 2-4 °C. |
| PubMed | PubMed |
| 产品介绍 | background: This gene encodes a 105 kD protein which can undergo cotranslational processing by the 26S proteasome to produce a 50 kD protein. The 105 kD protein is a Rel protein-specific transcription inhibitor and the 50 kD protein is a DNA binding subunit of the NF-kappa-B (NFKB) protein complex. NFKB is a transcription regulator that is activated by various intra- and extra-cellular stimuli such as cytokines, oxidant-free radicals, ultraviolet irradiation, and bacterial or viral products. Activated NFKB translocates into the nucleus and stimulates the expression of genes involved in a wide variety of biological functions. Inappropriate activation of NFKB has been associated with a number of inflammatory diseases while persistent inhibition of NFKB leads to inappropriate immune cell development or delayed cell growth. Two transcript variants encoding different isoforms have been found for this gene. [provided by RefSeq, Sep 2009]. Function: NF-kappa-B is a pleiotropic transcription factor present in almost all cell types and is the endpoint of a series of signal transduction events that are initiated by a vast array of stimuli related to many biological processes such as inflammation, immunity, differentiation, cell growth, tumorigenesis and apoptosis. NF-kappa-B is a homo- or heterodimeric complex formed by the Rel-like domain-containing proteins RELA/p65, RELB, NFKB1/p105, NFKB1/p50, REL and NFKB2/p52 and the heterodimeric p65-p50 complex appears to be most abundant one. The dimers bind at kappa-B sites in the DNA of their target genes and the individual dimers have distinct preferences for different kappa-B sites that they can bind with distinguishable affinity and specificity. Different dimer combinations act as transcriptional activators or repressors, respectively. NF-kappa-B is controlled by various mechanisms of post-translational modification and subcellular compartmentalization as well as by interactions with other cofactors or corepressors. NF-kappa-B complexes are held in the cytoplasm in an inactive state complexed with members of the NF-kappa-B inhibitor (I-kappa-B) family. In a conventional activation pathway, I-kappa-B is phosphorylated by I-kappa-B kinases (IKKs) in response to different activators, subsequently degraded thus liberating the active NF-kappa-B complex which translocates to the nucleus. NF-kappa-B heterodimeric p65-p50 and RelB-p50 complexes are transcriptional activators. The NF-kappa-B p50-p50 homodimer is a transcriptional repressor, but can act as a transcriptional activator when associated with BCL3. NFKB1 appears to have dual functions such as cytoplasmic retention of attached NF-kappa-B proteins by p105 and generation of p50 by a cotranslational processing. The proteasome-mediated process ensures the production of both p50 and p105 and preserves their independent function, although processing of NFKB1/p105 also appears to occur post-translationally. p50 binds to the kappa-B consensus sequence 5'-GGRNNYYCC-3', located in the enhancer region of genes involved in immune response and acute phase reactions. In a complex with MAP3K8, NFKB1/p105 represses MAP3K8-induced MAPK signaling; active MAP3K8 is released by proteasome-dependent degradation of NFKB1/p105. Subunit: Component of the NF-kappa-B p65-p50 complex. Component of the NF-kappa-B p65-p50 complex. Homodimer; component of the NF-kappa-B p50-p50 complex. Component of the NF-kappa-B p105-p50 complex. Component of the NF-kappa-B p50-c-Rel complex. Component of a complex consisting of the NF-kappa-B p50-p50 homodimer and BCL3. Also interacts with MAP3K8. NF-kappa-B p50 subunit interacts with NCOA3 coactivator, which may coactivate NF-kappa-B dependent expression via its histone acetyltransferase activity. Interacts with DSIPI; this interaction prevents nuclear translocation and DNA-binding. Interacts with SPAG9 and UNC5CL. NFKB1/p105 interacts with CFLAR; the interaction inhibits p105 processing into p50. NFKB1/p105 forms a ternary complex with MAP3K8 and TNIP2. Interacts with GSK3B; the interaction prevents processing of p105 to p50. NFKB1/p50 interacts with NFKBIE. NFKB1/p50 interacts with NFKBIZ. Nuclear factor NF-kappa-B p50 subunit interacts with NFKBID. Directly interacts with MEN1. Interacts with HIF1AN. Subcellular Location: Nucleus. Cytoplasm. Note=Nuclear, but also found in the cytoplasm in an inactive form complexed to an inhibitor (I-kappa-B). Post-translational modifications: While translation occurs, the particular unfolded structure after the GRR repeat promotes the generation of p50 making it an acceptable substrate for the proteasome. This process is known as cotranslational processing. The processed form is active and the unprocessed form acts as an inhibitor (I kappa B-like), being able to form cytosolic complexes with NF-kappa B, trapping it in the cytoplasm. Complete folding of the region downstream of the GRR repeat precludes processing. Phosphorylation at 'Ser-903' and 'Ser-907' primes p105 for proteolytic processing in response to TNF-alpha stimulation. Phosphorylation at 'Ser-927' and 'Ser-932' are required for BTRC/BTRCP-mediated proteolysis. Polyubiquitination seems to allow p105 processing. S-nitrosylation of Cys-61 affects DNA binding. The covalent modification of cysteine by 15-deoxy-Delta12,14-prostaglandin-J2 is autocatalytic and reversible. It may occur as an alternative to other cysteine modifications, such as S-nitrosylation and S-palmitoylation. Similarity: Contains 7 ANK repeats. Contains 1 death domain. Contains 1 RHD (Rel-like) domain. SWISS: P19838 Gene ID: 4790 Database links: Entrez Gene: 4790 Human Omim: 164011 Human SwissProt: P19838 Human Unigene: 618430 Human Important Note: This product as supplied is intended for research use only, not for use in human, therapeutic or diagnostic applications. |
| 产品图片 | ![]() Blank control (blue line): A549 (fixed with 70% ethanol (Overnight at 4℃) and then permeabilized with 90% ice-cold methanol for 30 min on ice). Primary Antibody (green line): Rabbit Anti-Phospho-NFKB1 (Ser907)antibody (bs-5511R),Dilution: 1μg /10^6 cells; Isotype Control Antibody (orange line): Rabbit IgG . Secondary Antibody (white blue line): Goat anti-rabbit IgG-FITC,Dilution: 1μg /test. |
风险提示:丁香通仅作为第三方平台,为商家信息发布提供平台空间。用户咨询产品时请注意保护个人信息及财产安全,合理判断,谨慎选购商品,商家和用户对交易行为负责。对于医疗器械类产品,请先查证核实企业经营资质和医疗器械产品注册证情况。
技术资料暂无技术资料 索取技术资料
Phospho-NFKB1 (Ser907) antibody
¥1580










