相关产品推荐更多 >
万千商家帮你免费找货
0 人在求购买到急需产品
- 详细信息
- 文献和实验
- 技术资料
- 免疫原:
Recombinant protein encompassing a sequence within the center region of human RPA32. The exact sequence is proprietary.
- 亚型:
IgG
- 形态:
Liquid
- 保存条件:
Store as concentrated solution. Centrifuge briefly prior to opening vial. For short-term storage (1-2 weeks), store at 4ºC. For long-term storage, aliquot and store at -20ºC or below. Avoid multiple freeze-thaw cycles.
- 克隆性:
Polyclonal
- 标记物:
Unconjugated
- 适应物种:
Human, Mouse, Rat
- 保质期:
12 months from the shipping date of the product.
- 抗原来源:
Human
- 目录编号:
GTX113004
- 级别:
Primary Antibodies
- 库存:
Available
- 供应商:
GeneTex
- 宿主:
Rabbit
- 应用范围:
WB, ICC/IF, IHC-P
- 浓度:
1.64 mg/ml (Please refer to the vial label for the specific concentration.)
- 靶点:
RPA32
- 抗体英文名:
RPA32 antibody
- 抗体名:
RPA32 抗体
- 规格:
100 μl/25 μl
| 规格: | 100 μl | 产品价格: | ¥4000.0 |
|---|---|---|---|
| 规格: | 25 μl | 产品价格: | ¥1700.0 |
Whole cell extract (30 μg) was separated by 12% SDS-PAGE, and the membrane was blotted with RPA32 antibody (GTX113004) diluted at 1:1000. The HRP-conjugated anti-rabbit IgG antibody (GTX213110-01) was used to detect the primary antibody.
RPA32 antibody detects RPA32 protein at nucleus by immunofluorescent analysis.
Sample: HeLa cells were fixed in 4% PFA at RT for 15 min.
Green: RPA32 stained by RPA32 antibody (GTX113004) diluted at 1:500.
Red: alpha Tubulin, a cytoskeleton marker, stained by alpha Tubulin antibody [GT114] (GTX628802) diluted at 1:1000.
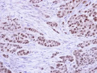
Immunohistochemical analysis of paraffin-embedded A549 Xenograft, using RPA 32 kDa subunit (GTX113004) antibody at 1:100 dilution.
Antigen Retrieval: Trilogy™ (EDTA based, pH 8.0) buffer, 15min
RPA32 antibody detects RPA2 protein by Western blot analysis.
A. 30 μg BCL-1 whole cell lysate/extract
12 % SDS-PAGE
RPA32 antibody (GTX113004) dilution: 1:1000
RPA32 antibody detects RPA2 protein by Western blot analysis.
A. 30 μg PC-12 whole cell lysate/extract
B. 30 μg Rat2 whole cell lysate/extract
12 % SDS-PAGE
RPA32 antibody (GTX113004) dilution: 1:1000
风险提示:丁香通仅作为第三方平台,为商家信息发布提供平台空间。用户咨询产品时请注意保护个人信息及财产安全,合理判断,谨慎选购商品,商家和用户对交易行为负责。对于医疗器械类产品,请先查证核实企业经营资质和医疗器械产品注册证情况。
文献和实验Parisotto M et al., J Exp Med 2018 (PMID:29743291)
The ribonuclease protection assay (RPA)
, 5X transcription buffer, and RPA template set to RT. For each probe synthesis, add the following in order to a 1.5 ml Eppendorf tube: 1 µl RNasin® 1 µl GACU pool 2 µl DTT 4 µl 5X transcription buffer 1 µl RPA Template Set 10 µl [a-32
人 白细胞介素 - 32( IL- 32) 酶联免疫 分析( ELISA ) 试剂 盒使用说明书 本试剂仅供研究使用 目的:本试剂盒用于测定人血清,血浆及相关液体样本中 白细胞介素32(IL-32)的 含量。 实验原理 : 本试剂盒应用 双抗体 夹心法测定 标本 中 人白细胞介素 - 32( IL- 32) 水平。用纯化的 人白细胞介素 - 32( IL- 32)抗体 包被微孔板,制成固相 抗 体,往包被 单抗
人白细胞介素32γ(IL-32γ)酶联免疫分析(ELISA)
人 白细胞介素32γ(IL-32γ) 酶联免疫 分析( ELISA ) 试剂 盒使用说明书 本试剂仅供研究使用 目的:本试剂盒用于测定人血清,血浆及相关液体样本中 白细胞介素32γ(IL-32γ)的 含量。 实验原理 : 本试剂盒应用 双抗体 夹心法测定 标本 中 人白细胞介素32 γ (IL-32 γ ) 水平。用纯化的 人白细胞介素32 γ (IL-32 γ ) 抗体 包被微孔板,制成固相 抗 体,往包被 单抗
技术资料暂无技术资料 索取技术资料






![C5a R1 antibody [S5/1]](https://img1.dxycdn.com/2022/0328/522/1581005275164500453-14.jpg!wh200)


![MMP3 antibody [N1], N-term](https://img1.dxycdn.com/2022/0328/026/5184144822483200453-14.jpg!wh200)

