相关产品推荐更多 >
万千商家帮你免费找货
0 人在求购买到急需产品
- 详细信息
- 文献和实验
- 技术资料
- 供应商:
上海联迈生物工程有限公司
- 库存:
大量
- 目录编号:
LM-1124R
- 克隆性:
多克隆
- 抗原来源:
Rabbit
- 保质期:
1年
- 抗体英文名:
5HT1A Receptor
- 抗体名:
5-羟色胺受体1A抗体
- 宿主:
Rabbit
- 适应物种:
Human, Mouse, Rat, Dog, Horse, Rabbit,
- 免疫原:
KLH conjugated synthetic peptide derived from human 5-HTR1A:301-400/422 <Cytoplasmic>
- 亚型:
IgG
- 形态:
Lyophilized or Liquid
- 应用范围:
WB=1:500-2000 ELISA=1:500-1000 IHC-P=1:400-800 IHC-F=1:400-800 IF=1:100-500 (石蜡切片需做抗原修复)
- 浓度:
1mg/ml
- 保存条件:
Store at -20 °C
- 规格:
50ul 100ul 200ul
| 英文名称 | 5HT1A Receptor |
| 中文名称 | 5-羟色胺受体1A抗体 |
| 别 名 | 5HT1A Receptor; HTR1A; 5-HTR1A; 5 HT 1A; 5 HT receptor 1A; 5 HT1A; 5 HT1A receptor; 5 hydroxytryptamine (serotonin) receptor 1A; 5 hydroxytryptamine (serotonin) receptor 1A G protein coupled; 5 hydroxytryptamine receptor 1A; 5-HT-1A; 5-HT1A; 5-hydroxytryptamine receptor 1A; 5HT 1A; 5HT 1A receptor; 5HT receptor 1A; 5HT1a; 5HT1A_HUMAN; ADRB2RL1; ADRBRL1; G 21; G protein coupled receptor; G-21; Gpcr 18; Gpcr18; Guanine nucleotide binding regulatory protein-coupled receptor; PFMCD; Serotonin 1A receptor; Serotonin 5HT1A receptor; Serotonin receptor 1A; |
| 规格价格 | 50ul/780元 购买 100ul/1380元 购买 200ul/2200元 购买 大包装/询价 |
| 说 明 书 | 50ul 100ul 200ul |
| 研究领域 | 肿瘤 免疫学 神经生物学 信号转导 转录调节因子 细胞膜受体 G蛋白偶联受体 G蛋白信号 |
| 抗体来源 | Rabbit |
| 克隆类型 | Polyclonal |
| 交叉反应 | Human, Mouse, Rat, Dog, Horse, Rabbit, |
| 产品应用 | WB=1:500-2000 ELISA=1:500-1000 IHC-P=1:400-800 IHC-F=1:400-800 IF=1:100-500 (石蜡切片需做抗原修复) not yet tested in other applications. optimal dilutions/concentrations should be determined by the end user. |
| 分 子 量 | 46kDa |
| 细胞定位 | 细胞膜 |
| 性 状 | Lyophilized or Liquid |
| 浓 度 | 1mg/ml |
| 免 疫 原 | KLH conjugated synthetic peptide derived from human 5-HTR1A:301-400/422 <Cytoplasmic> |
| 亚 型 | IgG |
| 纯化方法 | affinity purified by Protein A |
| 储 存 液 | 0.01M TBS(pH7.4) with 1% BSA, 0.03% Proclin300 and 50% Glycerol. |
| 保存条件 | Store at -20 °C for one year. Avoid repeated freeze/thaw cycles. The lyophilized antibody is stable at room temperature for at least one month and for greater than a year when kept at -20°C. When reconstituted in sterile pH 7.4 0.01M PBS or diluent of antibody the antibody is stable for at least two weeks at 2-4 °C. |
| PubMed | PubMed |
| 产品介绍 | background: This gene encodes a G protein-coupled receptor for 5-hydroxytryptamine (serotonin), and belongs to the 5-hydroxytryptamine receptor subfamily. Serotonin has been implicated in a number of physiologic processes and pathologic conditions. Inactivation of this gene in mice results in behavior consistent with an increased anxiety and stress response. Mutation in the promoter of this gene has been associated with menstrual cycle-dependent periodic fevers. [provided by RefSeq, Jun 2012]. Function: This is one of the several different receptors for 5-hydroxytryptamine (serotonin), a biogenic hormone that functions as a neurotransmitter, a hormone, and a mitogen. The activity of this receptor is mediated by G proteins that inhibit adenylate cyclase activity. Subcellular Location: Cell membrane; Multi-pass membrane protein. Similarity: Belongs to the G-protein coupled receptor 1 family. 5-hydroxytryptamine receptor subfamily. HTR1A sub-subfamily. SWISS: P19327 Gene ID: 3350 Database links: Entrez Gene: 487230 Dog Entrez Gene: 3350 Human Entrez Gene: 15550 Mouse Entrez Gene: 24473 Rat Omim: 109760 Human SwissProt: Q6XXX9 Dog SwissProt: Q0EAB6 Horse SwissProt: P08908 Human SwissProt: Q64264 Mouse SwissProt: P19327 Rat Unigene: 247940 Human Unigene: 4716 Mouse Unigene: 44486 Rat Important Note: This product as supplied is intended for research use only, not for use in human, therapeutic or diagnostic applications. |
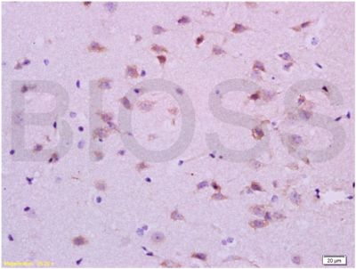
| 产品图片 | ![]() Protein: Brain(Mouse) Lysate at 40 ug Primary: Rabbit Anti- 5HT1A Receptor (bs-1124R) at 1:300; Secondary: 800CW Conjugated Goat (polyclonal) Anti-Rabbit IgG(H+L) at 1: 10000; Predicted band size:46 kD Observed band size:56 kD ![]() Protein: HepG2 lyates(hu); Primary: Rabbit Anti- 5HT1A Receptor (bs-1124R) at 1:300; Secondary: 800CW Conjugated Goat (polyclonal) Anti-Rabbit IgG(H+L) at 1: 10000; Predicted band size:46 kD Observed band size:56 kD ![]() Sample: Jurkat(Human) Cell Lysate at 40 ug Primary: Anti-5HT1A Receptor (bs-1124R) at 1/300 dilution Secondary: IRDye800CW Goat Anti-Rabbit IgG at 1/20000 dilution Predicted band size: 46 kD Observed band size: 46 kD ![]() Tissue/cell: rat brain; 4% Paraformaldehyde-fixed and paraffin-embedded; Antigen retrieval: citrate buffer ( 0.01M, pH 6.0 ), Boiling bathing for 15min; Block endogenous peroxidase by 3% Hydrogen peroxide for 30min; Blocking buffer (normal goat serum,C-0005) at 37℃ for 20 min; Incubation: Anti-5HT1A Receptor Polyclonal Antibody, Unconjugated(bs-1124R) 1:400, overnight at 4°C, followed by conjugation to the secondary antibody(SP-0023) and DAB(C-0010) staining |
风险提示:丁香通仅作为第三方平台,为商家信息发布提供平台空间。用户咨询产品时请注意保护个人信息及财产安全,合理判断,谨慎选购商品,商家和用户对交易行为负责。对于医疗器械类产品,请先查证核实企业经营资质和医疗器械产品注册证情况。
文献和实验Expression of an Integral Membrane Protein, the 5HT5A Receptor
Research in the field of membrane proteins has undergone explosive growth during the last decade, primarily owing to the influence of the powerful techniques of modern molecular biology. Membrane proteins fulfill essential functions
Localization of the myc-Tagged 5HT5A Receptor by Immunogold Staining of Ultrathin Sections
Immunohistochemistry is a powerful technique to localize proteins in tissues and cultured cells as well as in fractions of subcellular compartments, like mitochondria, endoplasmic reticulum, vesicles, and membranes. In most cases, the detection
Protein Kinase C as a Modulator of 5- HT1A and Dopamine- D2 Receptor Signaling
Since its identification as a family of protein kinases that is activated in the presence of calcium, phosphatidyl serine, and diacylglycerol (DAG), protein kinase C (PKC) has been regarded as one of the early steps in receptor signaling
技术资料暂无技术资料 索取技术资料














